CDC25C Antibody

Images

 
Western Blot: CDC25C Antibody [NBP2-89147] - Analysis of Cdc25C on human skin tissue lysate using anti-Cdc25C antibody at 1/500 dilution.
Immunocytochemistry/ Immunofluorescence: CDC25C Antibody [NBP2-89147] - Staining Cdc25C in LOVO cells (green). The nuclear counter stain is DAPI (blue). Cells were fixed in paraformaldehyde, permeabilised with 0.25% ...read more
Immunohistochemistry-Paraffin: CDC25C Antibody [NBP2-89147] - Immunohistochemical analysis of paraffin-embedded mouse uterus tissue using anti-CDC25C antibody. Counter stained with hematoxylin.
Flow Cytometry: CDC25C Antibody [NBP2-89147] - Analysis of LOVO cells with Cdc25C antibody at 1/100 dilution (red) compared with an unlabelled control (cells without incubation with primary antibody; black). Alexa Fluor ...read more
Immunocytochemistry/ Immunofluorescence: CDC25C Antibody [NBP2-89147] - Staining Cdc25C in A431 cells (green). The nuclear counter stain is DAPI (blue). Cells were fixed in paraformaldehyde, permeabilised with 0.25% ...read more
Immunocytochemistry/ Immunofluorescence: CDC25C Antibody [NBP2-89147] - Staining Cdc25C in HUVEC cells (green). The nuclear counter stain is DAPI (blue). Cells were fixed in paraformaldehyde, permeabilised with 0.25% ...read more
Immunohistochemistry-Paraffin: CDC25C Antibody [NBP2-89147] - Analysis of paraffin-embedded rat brain tissue using anti-Cdc25C antibody. Counter stained with hematoxylin.
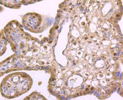
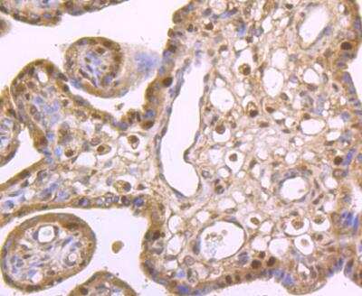
Immunohistochemistry-Paraffin: CDC25C Antibody [NBP2-89147] - Analysis of paraffin-embedded human placenta tissue using anti-Cdc25C antibody. Counter stained with hematoxylin.

Product Details

Summary
Product Discontinued
View other related CDC25C Primary Antibodies

Order Details


    • Catalog Number
      NBP2-89147
    • Availability
      Product Discontinued

    Can't find what you are looking for? Use our Antibody Concierge Service & we will help you locate your antibody!

    Or feel free to contact us for alternative products.

CDC25C Antibody Summary

Immunogen
Synthetic peptide within C-terminal human CDC25C. (SwissProt: P30307 Human; SwissProt: P48967 Mouse; Unigene: 162298 Rat)
Localization
Nucleus.
Isotype
IgG
Clonality
Polyclonal
Host
Rabbit
Gene
CDC25C
Purity
Immunogen affinity purified
Innovator's Reward
Test in a species/application not listed above to receive a full credit towards a future purchase.

Applications/Dilutions

Dilutions
  • Flow Cytometry 1:50-1:100
  • Immunocytochemistry/ Immunofluorescence 1:500-1:2000
  • Immunohistochemistry
  • Immunohistochemistry-Paraffin 1:50-1:200
  • Western Blot 1:500-1:1000
Theoretical MW
53 kDa.
Disclaimer note: The observed molecular weight of the protein may vary from the listed predicted molecular weight due to post translational modifications, post translation cleavages, relative charges, and other experimental factors.

Packaging, Storage & Formulations

Storage
Store at 4C short term. Aliquot and store at -20C long term. Avoid freeze-thaw cycles.
Buffer
PBS (pH7.4), 0.2% BSA, 50% Glycerol
Preservative
0.05% Sodium Azide
Concentration
1 mg/ml
Purity
Immunogen affinity purified

Alternate Names for CDC25C Antibody

  • CDC 25
  • CDC25
  • CDC25C
  • cell division cycle 25 homolog C (S. cerevisiae)
  • cell division cycle 25 homolog C (S. pombe)
  • cell division cycle 25C
  • Dual specificity phosphatase Cdc25C
  • EC 3.1.3.48
  • mitosis inducer CDC25
  • M-phase inducer phosphatase 3
  • phosphotyrosine phosphatase

Background

Cdc25C is highly conserved during evolution and it plays a key role in the regulation of cell division. The encoded protein is a tyrosine phosphatase and belongs to the Cdc25 phosphatase family. It directs dephosphorylation of cyclin B-bound CDC2 and triggers entry into mitosis. It is also thought to suppress p53-induced growth arrest. Multiple alternatively spliced transcript variants of this gene have been described, however, the full-length nature of many of them is not known.

Limitations

This product is for research use only and is not approved for use in humans or in clinical diagnosis. Primary Antibodies are guaranteed for 1 year from date of receipt.

Customers Who Viewed This Item Also Viewed...

NBP1-85729
Species: Hu, Mu, Rt
Applications: ICC/IF, IHC,  IHC-P, WB
NBP2-33466
Species: Hu
Applications: ICC/IF, IHC,  IHC-P, WB
AF6000
Species: Hu, Mu
Applications: IHC, Simple Western, WB
NBP2-29463
Species: Pm, Hu, Pm, Mu
Applications: Flow, ICC/IF, IHC,  IHC-P, WB
NB100-464
Species: Hu, Mu
Applications: IHC,  IHC-P, IP, WB
NBP2-71688
Species: Ca, Hu, Mu, Rt
Applications: CyTOF-ready, Flow, ICC/IF, IHC,  IHC-P, IP, WB
NBP1-85727
Species: Hu
Applications: ICC/IF, IHC,  IHC-P
MAB1648
Species: Hu, Mu, Rt
Applications: IHC, WB
AF1649
Species: Hu, Mu, Rt
Applications: ICC, WB
NB200-103
Species: Hu, Mu, Rt, Xp(-), Ye
Applications: CyTOF-ready, ELISA, Flow-IC, Flow, ICC/IF, IHC, IHC-Fr,  IHC-P, IP, WB
NBP1-33506
Species: Hu, Mu
Applications: IHC,  IHC-P, WB
NBP2-46085
Species: Hu
Applications: IHC,  IHC-P, WB
H00027065-M01
Species: Hu, Rt
Applications: ELISA, ICC/IF, S-ELISA, WB
AF4654
Species: Hu, Mu, Rt
Applications: ICC, IHC, Simple Western, WB
NB100-74502
Species: Hu, Mu, Rt
Applications: ICC/IF, IHC,  IHC-P, IP, WB
AF1230
Species: Hu, Mu, Rt
Applications: IHC, KO, WB
NB100-309
Species: Hu, Pm, Mu, Rt
Applications: ChIP, ELISA, Flow, ICC/IF, IHC,  IHC-P, IP, KD, PAGE, Single-Cell Western, WB
NB100-56098
Species: Ca, Hu, Mu, Rt
Applications: IHC,  IHC-P, IP, WB
NB500-106
Species: Ch, Dr, Fi, Hu, Mar, Mu, Po, Pm, Rb, Rt, Ye, Ze
Applications: ChIP, ChIP, ELISA, Flow, ICC/IF, IHC-FrFl, IHC, IHC-Fr,  IHC-P, IP, Simple Western, WB
NBP2-89147
Species: Hu, Mu, Rt
Applications: WB, Flow, ICC/IF, IHC

Publications for CDC25C Antibody (NBP2-89147) (0)

There are no publications for CDC25C Antibody (NBP2-89147).
By submitting your publication information earn gift cards and discounts for future purchases.

Reviews for CDC25C Antibody (NBP2-89147) (0)

There are no reviews for CDC25C Antibody (NBP2-89147). By submitting a review you will receive an Amazon e-Gift Card or Novus Product Discount.
  • Review with no image -- $10/€7/£6/$10 CAD/¥70 Yuan/¥1110 Yen
  • Review with an image -- $25/€18/£15/$25 CAD/¥150 Yuan/¥2500 Yen

Product General Protocols

Find general support by application which include: protocols, troubleshooting, illustrated assays, videos and webinars.

Video Protocols

WB Video Protocol
ICC/IF Video Protocol

FAQs for CDC25C Antibody (NBP2-89147) (0)

There are no specific FAQs related to this product. Read our general customer & technical service FAQs.

Secondary Antibodies

 

Isotype Controls

Additional CDC25C Products

Research Areas for CDC25C Antibody (NBP2-89147)

Find related products by research area.

Blogs on CDC25C

There are no specific blogs for CDC25C, but you can read our latest blog posts.

Contact Information

Product PDFs

Calculators

Concentration Calculator

The concentration calculator allows you to quickly calculate the volume, mass or concentration of your vial. Simply enter your mass, volume, or concentration values for your reagent and the calculator will determine the rest.

=
÷

Review this Product

Be the first to review our CDC25C Antibody and receive a gift card or discount.

Bioinformatics

Gene Symbol CDC25C