CDC123 Antibody

Images

 
Western Blot: CDC123 Antibody [H00008872-B01P] - Analysis of CDC123 expression in transfected 293T cell line by CDC123 polyclonal antibody. Lane 1: C10orf7 transfected lysate(36.96 KDa). Lane 2: Non-transfected lysate.
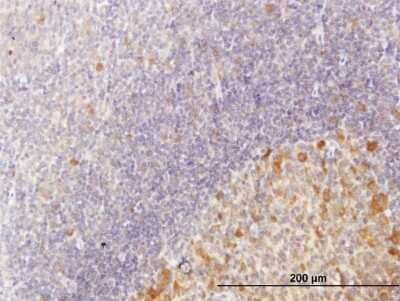
Immunohistochemistry-Paraffin: CDC123 Antibody [H00008872-B01P] - Analysis of purified antibody to C10orf7 on formalin-fixed paraffin-embedded human tonsil. (antibody concentration 3 ug/ml)

Product Details

Summary
Product Discontinued
View other related CDC123 Primary Antibodies

Order Details


    • Catalog Number
      H00008872-B01P
    • Availability
      Product Discontinued

    Can't find what you are looking for? Use our Antibody Concierge Service & we will help you locate your antibody!

    Or feel free to contact us for alternative products.

CDC123 Antibody Summary

Description
Quality control test: Antibody reactive against mammalian transfected lysate.
Immunogen
CDC123 (AAH01600.1, 1 a.a. - 336 a.a.) full-length human protein. MKKEHVLHCQFSAWYPFFRGVTIKSVILPLPQNVKDYLLDDGTLVVSGRDDPPTHSQPDSDDEAEEIQWSDDENTATLTAPEFPEFATKVQEAINSLGGSVFPKLNWSAPRDAYWIAMNSSLKCKTLSDIFLLFKSSDFITRDFTQPFIHCTDDSPDPCIEYELVLRKWCELIPGAEFRCFVKENKLIGISQRDYTQYYDHISKQKEEIRRCIQDFFKKHIQYKFLDEDFVFDIYRDSRGKVWLIDFNPFGEVTDSLLFTWEELISENNLNGDFSEVDAQEQDSPAFRCTNSEVTVQPSPYLSYRLPKDFVDLSTGEDAHKLIDFLKLKRNQQEDD
Specificity
CDC123 - cell division cycle 123 homolog (S. cerevisiae),
Isotype
IgG
Clonality
Polyclonal
Host
Mouse
Gene
CDC123
Purity
Protein A purified
Innovator's Reward
Test in a species/application not listed above to receive a full credit towards a future purchase.

Applications/Dilutions

Dilutions
  • Immunohistochemistry
  • Immunohistochemistry-Paraffin
  • Western Blot
Application Notes
Antibody reactivity against Recombinant Protein with GST tag on ELISA and WB and also on transfected lysate in WB. GST tag alone is used as a negative control. It has been used for IHC-P.

Packaging, Storage & Formulations

Storage
Aliquot and store at -20C or -80C. Avoid freeze-thaw cycles.
Buffer
PBS (pH 7.4)
Preservative
No Preservative
Purity
Protein A purified

Notes

This product is produced by and distributed for Abnova, a company based in Taiwan.

Alternate Names for CDC123 Antibody

  • cell division cycle 123 homolog (S. cerevisiae)
  • cell division cycle protein 123 homolog
  • chromosome 10 open reading frame 7
  • D123C10orf7
  • FLJ13863
  • HT-1080
  • Protein D123
  • PZ32

Background

CDC123 is required for S phase entry of the cell cycle

Limitations

This product is for research use only and is not approved for use in humans or in clinical diagnosis. Primary Antibodies are guaranteed for 1 year from date of receipt.

Customers Who Viewed This Item Also Viewed...

1310-SE
Species: Hu
Applications: EnzAct
MMP200
Species: Ca, Hu, Mu, Po, Rt
Applications: ELISA
NBP1-91258
Species: Bv, Ca, Eq, Fe, Hu, Mu, Po, Rt
Applications: ICC/IF, IHC, IHC-Fr,  IHC-P, Simple Western, WB
NB600-930
Species: Hu, Rt
Applications: ELISA, WB
DMP900
Species: Hu
Applications: ELISA
DVE00
Species: Hu
Applications: ELISA
NBP1-19773
Species: Hu, Mu, Rt
Applications: ELISA, ICC/IF, IHC, IHC-Fr,  IHC-P, WB
DTPA00
Species: Hu
Applications: ELISA
MAB9181
Species: Hu
Applications: CyTOF-ready, Flow, IHC, IP, WB
NBP2-67471
Species: Hu, Mu, Rt
Applications: ICC/IF, IHC,  IHC-P, WB
AF2335
Species: Mu
Applications: CyTOF-ready, Flow, ICC, IHC, IP, WB
NBP1-33188
Species: Hu, Mu
Applications: ICC/IF, IHC,  IHC-P, IP, WB
AF1230
Species: Hu, Mu, Rt
Applications: IHC, KO, WB
NBP2-29463
Species: Pm, Hu, Pm, Mu
Applications: Flow, ICC/IF, IHC,  IHC-P, WB
MAB1417
Species: Bv, Hu, Mu
Applications: ICC, IHC
DTM100
Species: Hu
Applications: ELISA
DTM200
Species: Hu
Applications: ELISA

Publications for CDC123 Antibody (H00008872-B01P) (0)

There are no publications for CDC123 Antibody (H00008872-B01P).
By submitting your publication information earn gift cards and discounts for future purchases.

Reviews for CDC123 Antibody (H00008872-B01P) (0)

There are no reviews for CDC123 Antibody (H00008872-B01P). By submitting a review you will receive an Amazon e-Gift Card or Novus Product Discount.
  • Review with no image -- $10/€7/£6/$10 CAD/¥70 Yuan/¥1110 Yen
  • Review with an image -- $25/€18/£15/$25 CAD/¥150 Yuan/¥2500 Yen

Product General Protocols

Find general support by application which include: protocols, troubleshooting, illustrated assays, videos and webinars.

Video Protocols

WB Video Protocol

FAQs for CDC123 Antibody (H00008872-B01P) (0)

There are no specific FAQs related to this product. Read our general customer & technical service FAQs.

Secondary Antibodies

 

Isotype Controls

Additional CDC123 Products

Research Areas for CDC123 Antibody (H00008872-B01P)

Find related products by research area.

Blogs on CDC123

There are no specific blogs for CDC123, but you can read our latest blog posts.

Contact Information

Product PDFs

Calculators

Concentration Calculator

The concentration calculator allows you to quickly calculate the volume, mass or concentration of your vial. Simply enter your mass, volume, or concentration values for your reagent and the calculator will determine the rest.

=
÷

Review this Product

Be the first to review our CDC123 Antibody and receive a gift card or discount.

Bioinformatics

Gene Symbol CDC123
Entrez
Uniprot