CD99 Antibody (rMIC2/8497) - Azide and BSA Free

Images

 
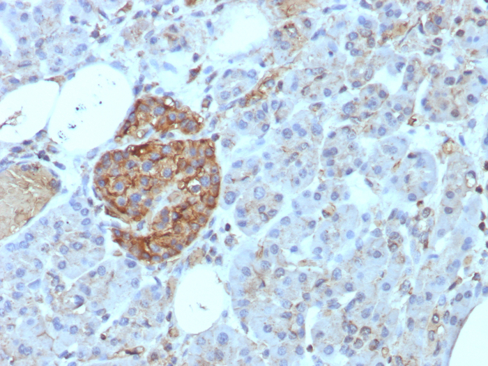
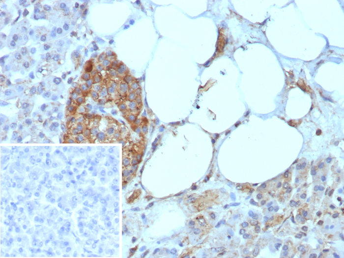
Formalin-fixed, paraffin-embedded human pancreas stained with CD99 antibody (rMIC2/8497). Inset: PBS instead of primary antibody; secondary only negative control.
Formalin-fixed, paraffin-embedded human pancreas stained with CD99 antibody (rMIC2/8497). HIER: Tris/EDTA, pH9.0, 45min. Secondary: HRP-polymer, 30min. DAB, 5min.

Product Details

Summary
Reactivity HuSpecies Glossary
Applications IHC
Clone
rMIC2/8497
Clonality
Monoclonal
Host
Mouse
Conjugate
Unconjugated
Format
Azide and BSA Free
Concentration
1 mg/ml

Order Details

CD99 Antibody (rMIC2/8497) - Azide and BSA Free Summary

Description
Positive Controls: Human pancreas or Ewing s Sarcoma.

Antibody with azide - store at 2 to 8C. Antibody without azide - store at -20 to -80C. Non-hazardous. No MSDS required.
Additional Information
Recombinant Monoclonal Antibody
Immunogen
Recombinant fragment (around aa1-185) of human CD99 protein (exact sequence is proprietary)
Localization
Cell surface.
Isotype
IgM
Clonality
Monoclonal
Host
Mouse
Gene
CD99
Purity
Protein A purified
Innovator's Reward
Test in a species/application not listed above to receive a full credit towards a future purchase.

Applications/Dilutions

Dilutions
  • Immunohistochemistry-Paraffin 1-2 ug/ml
Application Notes
Immunohistochemistry (Formalin-fixed): 1-2ug/ml for 30 minutes. at RT. Staining of formalin-fixed tissues requires heating tissue sections in 10mM Tris with 1mM EDTA, pH 9.0, for 45 min at 95C followed by cooling at RT for 20 minutes.

Optimal dilution for a specific application should be determined.

Packaging, Storage & Formulations

Storage
Store at -20 to -70C. Avoid freeze-thaw cycles.
Buffer
10mM PBS
Preservative
No Preservative
Concentration
1 mg/ml
Purity
Protein A purified

Alternate Names for CD99 Antibody (rMIC2/8497) - Azide and BSA Free

  • 12E7
  • CD99 antigenY homolog
  • CD99 molecule
  • CD99
  • E2 antigen
  • HBA71
  • MIC2 (monoclonal 12E7)
  • MIC2
  • MIC2Y
  • MSK5X
  • pilr-1
  • PILR-L
  • Protein MIC2
  • surface antigen MIC2
  • T-cell surface glycoprotein E2

Background

CD99 is encoded by this gene is a cell surface glycoprotein involved in leukocyte migration, T-cell adhesion, ganglioside GM1 and transmembrane protein transport, and T-cell death by a caspase-independent pathway. In addition, the encoded protein may have the ability to rearrange the actin cytoskeleton and may also act as an oncosuppressor in osteosarcoma. Cyclophilin A binds to CD99 and may act as a signaling regulator of CD99. This gene is found in the pseudoautosomal region of chromosomes X and Y and escapes X-chromosome inactivation. Two transcript variants encoding different isoforms have been found for this gene. [provided by RefSeq]

Limitations

This product is for research use only and is not approved for use in humans or in clinical diagnosis. Primary Antibodies are guaranteed for 1 year from date of receipt.

Customers Who Viewed This Item Also Viewed...

NB100-524
Species: Hu, Mu
Applications: Flow-IC, Flow, ICC/IF, IHC, IHC-Fr,  IHC-P, IP, WB
NBP2-79843
Species: Hu
Applications: CyTOF-ready, ELISA, Flow, ICC/IF, IHC,  IHC-P, PA, WB
7268-CT
Species: Hu
Applications: BA
NB300-223
Species: Bv, Ca, Ch, Eq, Hu, Mu, Po, Rt
Applications: ICC/IF, IHC, IHC-Fr,  IHC-P, WB
AF4117
Species: Rt
Applications: IHC, WB
NB200-182
Species: Hu, Mu
Applications: IHC,  IHC-P, IP, Simple Western, WB
AF3844
Species: Hu, Mu
Applications: IHC
NB110-58870
Species: Hu, Mu, Rt
Applications: ICC/IF, IHC, KD, Simple Western, WB
NB100-56098
Species: Ca, Hu, Mu, Rt
Applications: IHC,  IHC-P, IP, WB
NB300-653
Species: Ch, Fe, Hu, Pm, Mu, Rt
Applications: ELISA, ICC/IF, IHC, IHC-Fr,  IHC-P, IP, WB
NB120-22711
Species: Hu, Mu
Applications: ELISA, Flow, ICC/IF, IHC, IHC-Fr,  IHC-P
AF2408
Species: Hu, Mu
Applications: CyTOF-ready, Flow, ICC, KO, Simple Western, WB
AF1356
Species: Hu, Mu
Applications: CyTOF-ready, Dual ISH-IHC, Flow, IHC, Simple Western, WB
NBP1-84854
Species: Hu, Mu, Rt
Applications: ICC/IF, IHC,  IHC-P, KD, WB
NBP2-67309
Species: Hu, Rt
Applications: Flow, ICC/IF, IHC,  IHC-P, IP, WB
AF114
Species: Mu
Applications: CyTOF-ready, Flow, ICC, IHC, WB
NBP1-87102
Species: Hu, Mu, Rt
Applications: ICC/IF, IHC,  IHC-P, WB
NBP1-87103
Species: Hu, Mu
Applications: IHC,  IHC-P, WB
AF1126
Species: Mu
Applications: ELISA(Cap), ELISA(Det), ELISA(Sta), IHC, IP, WB
NBP2-31368
Species: Hu
Applications: ICC/IF, IHC,  IHC-P, WB

Publications for CD99 Antibody (NBP3-21118) (0)

There are no publications for CD99 Antibody (NBP3-21118).
By submitting your publication information earn gift cards and discounts for future purchases.

Reviews for CD99 Antibody (NBP3-21118) (0)

There are no reviews for CD99 Antibody (NBP3-21118). By submitting a review you will receive an Amazon e-Gift Card or Novus Product Discount.
  • Review with no image -- $10/€7/£6/$10 CAD/¥70 Yuan/¥1110 Yen
  • Review with an image -- $25/€18/£15/$25 CAD/¥150 Yuan/¥2500 Yen

Product General Protocols

Find general support by application which include: protocols, troubleshooting, illustrated assays, videos and webinars.

FAQs for CD99 Antibody (NBP3-21118) (0)

There are no specific FAQs related to this product. Read our general customer & technical service FAQs.

Secondary Antibodies

 

Isotype Controls

Additional CD99 Products

Research Areas for CD99 Antibody (NBP3-21118)

Find related products by research area.

Blogs on CD99

There are no specific blogs for CD99, but you can read our latest blog posts.

Customers Who Bought This Also Bought

Contact Information

Product PDFs

Calculators

Concentration Calculator

The concentration calculator allows you to quickly calculate the volume, mass or concentration of your vial. Simply enter your mass, volume, or concentration values for your reagent and the calculator will determine the rest.

=
÷

Review this Product

Be the first to review our CD99 Antibody (rMIC2/8497) - Azide and BSA Free and receive a gift card or discount.

Bioinformatics

Gene Symbol CD99