CD46 Antibody (JB25-49)

Images

 
Western Blot: CD46 Antibody (JB25-49) [NBP2-75436] - Analysis of CD46 on Siha and PC-3M cell lysates using anti-CD46 antibody at 1/1,000 dilution.
Immunocytochemistry/ Immunofluorescence: CD46 Antibody (JB25-49) [NBP2-75436] - Staining CD46 in HUVEC cells (green). The nuclear counter stain is DAPI (blue). Cells were fixed in paraformaldehyde, permeabilised with ...read more
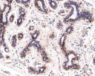
Immunohistochemistry-Paraffin: CD46 Antibody (JB25-49) [NBP2-75436] - Analysis of paraffin-embedded human prostate tissue with Rabbit anti-CD46 antibody washed with ddH2O and PBS, and then probed with the primary ...read more
Immunocytochemistry/ Immunofluorescence: CD46 Antibody (JB25-49) [NBP2-75436] - Staining CD46 in PC-3M cells (green). The nuclear counter stain is DAPI (blue). Cells were fixed in paraformaldehyde, permeabilised with ...read more
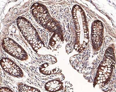
Immunohistochemistry-Paraffin: CD46 Antibody (JB25-49) [NBP2-75436] - Analysis of paraffin-embedded human colon cancer tissue using anti-CD46 antibody. Counter stained with hematoxylin.
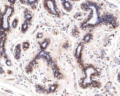
Immunohistochemistry-Paraffin: CD46 Antibody (JB25-49) [NBP2-75436] - Analysis of paraffin-embedded human breast tissue using anti-CD46 antibody. Counter stained with hematoxylin.
Immunohistochemistry-Paraffin: CD46 Antibody (JB25-49) [NBP2-75436] - Analysis of paraffin-embedded human placenta tissue using anti-CD46 antibody. Counter stained with hematoxylin.
Immunohistochemistry-Paraffin: CD46 Antibody (JB25-49) [NBP2-75436] - Analysis of paraffin-embedded rat kidney tissue using anti-CD46 antibody. Counter stained with hematoxylin.
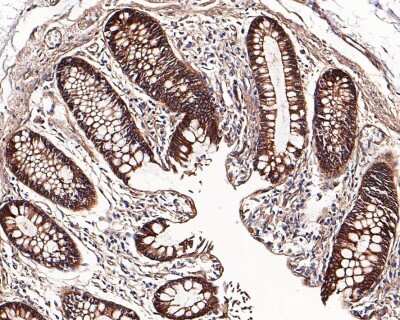
Immunohistochemistry-Paraffin: CD46 Antibody (JB25-49) [NBP2-75436] - Analysis of paraffin-embedded human colon tissue with Rabbit anti-CD46 antibody washed with ddH2O and PBS, and then probed with the primary antibody ...read more
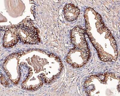
Immunohistochemistry-Paraffin: CD46 Antibody (JB25-49) [NBP2-75436] - Analysis of paraffin-embedded human breast tissue with Rabbit anti-CD46 antibody washed with ddH2O and PBS, and then probed with the primary antibody ...read more

Product Details

Summary
Product Discontinued
View other related CD46 Primary Antibodies

Order Details


    • Catalog Number
      NBP2-75436
    • Availability
      Product Discontinued

    Can't find what you are looking for? Use our Antibody Concierge Service & we will help you locate your antibody!

    Or feel free to contact us for alternative products.

CD46 Antibody (JB25-49) Summary

Additional Information
Recombinant Monoclonal Antibody.
Immunogen
Synthetic peptide within Human CD46 aa 31-80 / 392. (SwissProt: P15529 Human; SwissProt: Q9Z0M4 Rat)
Localization
Acrosome inner membrane.
Isotype
IgG
Clonality
Monoclonal
Host
Rabbit
Gene
CD46
Purity
Protein A purified
Innovator's Reward
Test in a species/application not listed above to receive a full credit towards a future purchase.

Applications/Dilutions

Dilutions
  • Immunocytochemistry/ Immunofluorescence 1:50-1:200
  • Immunohistochemistry
  • Immunohistochemistry-Paraffin 1:50-1:400
  • Western Blot 1:1000-1:5000
Theoretical MW
55 kDa.
Disclaimer note: The observed molecular weight of the protein may vary from the listed predicted molecular weight due to post translational modifications, post translation cleavages, relative charges, and other experimental factors.

Packaging, Storage & Formulations

Storage
Store at 4C short term. Aliquot and store at -20C long term. Avoid freeze-thaw cycles.
Buffer
TBS (pH7.4), 0.05% BSA, 40% Glycerol
Preservative
0.05% Sodium Azide
Concentration
1 mg/ml
Purity
Protein A purified

Alternate Names for CD46 Antibody (JB25-49)

  • AHUS2
  • CD46 antigen
  • CD46 molecule, complement regulatory protein
  • CD46
  • MCP
  • membrane cofactor protein (CD46, trophoblast-lymphocyte cross-reactive antigen)
  • MIC10
  • TLXcomplement regulatory protein
  • trophoblast leucocyte common antigen
  • Trophoblast leukocyte common antigen
  • trophoblast-lymphocyte cross-reactive antigen

Background

CD46 is one of the membrane complement regulatory proteins. CD46 possesses C3b-binding and factor I cofactor activities which play important roles in regulation of complement activation pathway. CD46 is widely distributed on blood cells, endothelial cells, epithelial cells and tumor cell lines. CD46 exists as many isoforms in a variety of tissues. The antigen has a broad distribution and is present on leukocytes, platelets, endothelial cells, epithelial cells and fibroblasts. It is strongly expressed on salivary gland ducts and kidney ducts, moderately on lymphocytes and endothelium, and weakly on interstitial tissues and muscle cells, but not on erythrocytes. It is expressed on thymocytes, B cells, monocytes, granulocytes, NK cells, platelets, epithelial and endothelial cells.

Limitations

This product is for research use only and is not approved for use in humans or in clinical diagnosis. Primary Antibodies are guaranteed for 1 year from date of receipt.

Customers Who Viewed This Item Also Viewed...

7268-CT
Species: Hu
Applications: BA
NBP2-79843
Species: Hu
Applications: CyTOF-ready, ELISA, Flow, ICC/IF, IHC,  IHC-P, PA, WB
NB100-524
Species: Hu, Mu
Applications: Flow-IC, Flow, ICC/IF, IHC, IHC-Fr,  IHC-P, IP, WB
AF2009
Species: Hu
Applications: ICC, IHC
DCP00
Species: Hu
Applications: ELISA
NB500-330
Species: Hu
Applications: B/N, CyTOF-ready, Flow, IHC, IHC-Fr,  IHC-P, IP
NB200-540
Species: Ec, Mu
Applications: CyTOF-ready, Flow-IC, Flow, IA, ICC/IF, IHC, IHC-Fr,  IHC-P, IP
M6000B
Species: Mu
Applications: ELISA
NBP2-29460
Species: Pm, Pm-Cm, Hu, Pm, RM
Applications: Flow, ICC/IF, IHC,  IHC-P, ISH
DY417
Species: Mu
Applications: ELISA
DRN00B
Species: Hu
Applications: ELISA
NB600-1397
Species: Bv, Ca, Hu, Pm, Mu, Rb
Applications: CyTOF-ready, Flow-IC, Flow, ICC/IF, IHC,  IHC-P, IP, MiAr, WB
NBP2-92773
Species: Hu, Mu, Rt
Applications: IHC,  IHC-P, WB
NBP2-45861
Species: Hu, Mu, Rt
Applications: Flow, ICC/IF, IHC,  IHC-P, WB
AF4330
Species: Mu
Applications: CyTOF-ready, Flow, WB
MAB208
Species: Hu
Applications: CyTOF-ready, ELISA(Cap), ELISA(Det), ELISA(Sta), ICC, ICFlow, Neut, Simple Western, WB
AF1445
Species: Mu, Rt
Applications: ELISA(Cap), ELISA(Det), ELISA(Sta), IHC, Neut, Simple Western, WB
485-MI
Species: Mu
Applications: BA

Publications for CD46 Antibody (NBP2-75436) (0)

There are no publications for CD46 Antibody (NBP2-75436).
By submitting your publication information earn gift cards and discounts for future purchases.

Reviews for CD46 Antibody (NBP2-75436) (0)

There are no reviews for CD46 Antibody (NBP2-75436). By submitting a review you will receive an Amazon e-Gift Card or Novus Product Discount.
  • Review with no image -- $10/€7/£6/$10 CAD/¥70 Yuan/¥1110 Yen
  • Review with an image -- $25/€18/£15/$25 CAD/¥150 Yuan/¥2500 Yen

Product General Protocols

Find general support by application which include: protocols, troubleshooting, illustrated assays, videos and webinars.

Video Protocols

WB Video Protocol
ICC/IF Video Protocol

FAQs for CD46 Antibody (NBP2-75436) (0)

There are no specific FAQs related to this product. Read our general customer & technical service FAQs.

Secondary Antibodies

 

Isotype Controls

Additional CD46 Products

Research Areas for CD46 Antibody (NBP2-75436)

Find related products by research area.

Blogs on CD46

There are no specific blogs for CD46, but you can read our latest blog posts.

Contact Information

Product PDFs

Calculators

Concentration Calculator

The concentration calculator allows you to quickly calculate the volume, mass or concentration of your vial. Simply enter your mass, volume, or concentration values for your reagent and the calculator will determine the rest.

=
÷

Review this Product

Be the first to review our CD46 Antibody (JB25-49) and receive a gift card or discount.

Bioinformatics

Gene Symbol CD46