CD40/TNFRSF5 Antibody (LOB7/6) Summary
| Immunogen |
Recognizes human CD40 cell surface antigen, a 48kD glycoprotein expressed by B lymphocytes and weakly by some monocytes. CD40 is involved in the process of B cell selection in germinal centers and is vital in T cell-B cell interactions. |
| Specificity |
Recognizes human CD40 cell surface antigen, a 48kD glycoprotein expressed by B lymphocytes and weakly by some monocytes. CD40 is involved in the process of B cell selection in germinal centers and is vital in T cell-B cell interactions. |
| Isotype |
IgG2a |
| Clonality |
Monoclonal |
| Host |
Mouse |
| Gene |
CD40 |
| Purity |
Protein A purified |
| Innovator's Reward |
Test in a species/application not listed above to receive a full credit towards a future purchase. |
Applications/Dilutions
| Dilutions |
- Flow Cytometry 20 ug/ml
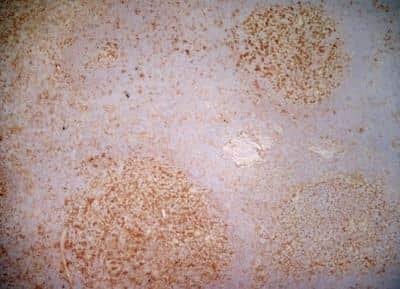
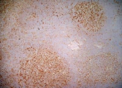
- Immunohistochemistry 1:10-1:500
- Immunohistochemistry-Frozen 1ug/ml - 10ug/ml
- Immunohistochemistry-Paraffin 10 ug/ml
- Immunoprecipitation 1:10-1:500
|
| Application Notes |
This antibody is useful in Immunoprecipitation, Flow Cytometry / , Immunohistochemistry-Paraffin (10 ug/ml), Immunohistochemistry-Frozen (1 - 10 ug/ml). |
Reactivity Notes
Packaging, Storage & Formulations
| Storage |
Store at 4C short term. Aliquot and store at -20C long term. Avoid freeze-thaw cycles. |
| Buffer |
TBS |
| Preservative |
0.09% Sodium Azide |
| Purity |
Protein A purified |
Alternate Names for CD40/TNFRSF5 Antibody (LOB7/6)
Background
CD40 is a costimulatory molecule of the TNF receptor superfamily and is expressed on many cell types, such as B cells, monocytes/macrophages, dendritic cells, endothelial cells, fibroblasts or vascular smooth muscle cells. Interaction of CD40 and its ligand CD154 (CD40L) is required for the generation of antibody responses to T-dependent antigens as well as for the development of germinal centers and memory B cells. In monocytes/macrophages CD40 engagement induces production of pro-inflammatory cytokines and chemokines. CD40-CD154 interactions are also critical for development of CD4 T cell-dependent effector functions. CD40 links innate and adaptive immune responses to bacterial stimuli and serves as an important regulator affecting functions of other costimulatory molecules.
Limitations
This product is for research use only and is not approved for use in humans or in clinical diagnosis. Primary Antibodies are
guaranteed for 1 year from date of receipt.
Customers Who Viewed This Item Also Viewed...
Species: Hu
Applications: ELISA
Species: Hu
Applications: BA
Species: Hu, Rb, Rt
Applications: Flow, IHC, IHC-P, KO, Simple Western, WB
Species: Hu, Mu, Rt
Applications: Flow, ICC/IF, IHC, IHC-Fr, IHC-P, KO, Simple Western, WB
Species: Hu
Applications: BA
Species: Hu
Applications: CyTOF-ready, Dual ISH-IHC, ELISA(Cap), ELISA(Det), ELISA(Sta), Flow, IHC, Neut
Species: Hu, Mu, Rt
Applications: ChIP, ICC/IF, IHC, IHC-P, IP, WB
Species: Hu
Applications: BA
Species: Hu, Mu
Applications: Flow-IC, Flow, ICC/IF, IHC, IHC-Fr, IHC-P, IP, WB
Species: Hu
Applications: CyTOF-ready, ELISA, Flow, ICC/IF, IHC, IHC-P, PA, WB
Species: Rt
Applications: ICC, IHC, IP, KO, WB
Species: Mu, Rt
Applications: WB
Species: Ca, Hu, Pm, Po, Pm, Rt
Applications: Flow, ICC/IF, IHC, IHC-P, WB
Species: Mu
Applications: ELISA
Species: Hu, Mu, Rt
Applications: ICC/IF, IHC, IHC-P, PEP-ELISA, WB
Species: Mu
Applications: ELISA
Species: Hu
Applications: BA
Species: Hu
Applications: BA
Species: Ca, Hu, Mu, Po, Rb, Rt
Applications: Dual ISH-IHC, Flow, ICC/IF, IHC, IHC-Fr, IHC-P, Simple Western, WB
Species: Mu
Applications: AdBlk, IHC, WB
Publications for CD40/TNFRSF5 Antibody (NBP1-39556) (0)
There are no publications for CD40/TNFRSF5 Antibody (NBP1-39556).
By submitting your publication information earn gift cards and discounts for future purchases.
Reviews for CD40/TNFRSF5 Antibody (NBP1-39556) (0)
There are no reviews for CD40/TNFRSF5 Antibody (NBP1-39556).
By submitting a review you will receive an Amazon e-Gift Card or Novus Product Discount.
- Review with no image -- $10/€7/£6/$10 CAD/¥70 Yuan/¥1110 Yen
- Review with an image -- $25/€18/£15/$25 CAD/¥150 Yuan/¥2500 Yen
Product General Protocols
Find general support by application which include: protocols, troubleshooting, illustrated assays, videos and webinars.
FAQs for CD40/TNFRSF5 Antibody (NBP1-39556). (Showing 1 - 3 of 3 FAQ).
-
I wanna know does CD40 antibody for IHC-P comes with positive control slide?
- Our CD40 antibodies do not come with positive control slides however you can use any type of primary carcinoma cell as a positive control. I recommend breast carcinoma as this is what we have tested our CD40 antibodies on.
-
We are studying CD40L in our system. It has been known that both CD40 and CD11b are receptors for CD40L. We need CD40 antibody to neutralize CD40 binding to CD40L, then we may prove what is function for CD11b binding to CD40L. Do you have any CD40 Ab which has block function only between CD40 and CD40L, but not between CD11b and CD40L?
- Unfortunately, none of our CD40 antibodies have been specifically tested for this application.
-
Hello. I would like to know, for 0.05mg CD40 antibody (LOB7/6), how many slides i can produce?
- Unfortunately there is not a way for us to estimate the number of slides you can produce using our product. This will depend on many factors. Depending on your sample type and how highly expressed the protein is you may need to optimize the concentration. It will depend on how much you load and in what volume of solution. The size of your slides, etc.
Secondary Antibodies
| |
Isotype Controls
|
Additional CD40/TNFRSF5 Products
Research Areas for CD40/TNFRSF5 Antibody (NBP1-39556)
Find related products by research area.
|
Blogs on CD40/TNFRSF5