CD200/OX2 Antibody

Images

 
Orthogonal Strategies: Immunohistochemistry-Paraffin: CD200/OX2 Antibody [NBP1-87738] - Analysis in human cerebral cortex and liver tissues. Corresponding CD200 RNA-seq data are presented for the same tissues.
Immunohistochemistry-Paraffin: CD200/OX2 Antibody [NBP1-87738] - Staining of human cerebral cortex shows strong positivity in neurons.
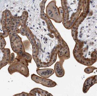
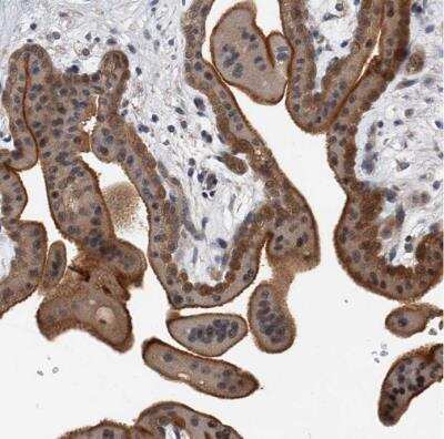
Immunohistochemistry-Paraffin: CD200/OX2 Antibody [NBP1-87738] - Staining of human placenta shows moderate to strong membranous positivity in trophoblastic cells.
Immunohistochemistry-Paraffin: CD200/OX2 Antibody [NBP1-87738] - Staining of human tonsil shows moderate to strong membranous positivity in lymphoid cells.
Immunohistochemistry-Paraffin: CD200/OX2 Antibody [NBP1-87738] - Staining of human liver shows no positivity in hepatocytes as expected.

Product Details

Summary
Product Discontinued
View other related CD200/OX2 Primary Antibodies
Validated by:
       

Orthogonal Strategies

 

Order Details


    • Catalog Number
      NBP1-87738
    • Availability
      Product Discontinued

    Can't find what you are looking for? Use our Antibody Concierge Service & we will help you locate your antibody!

    Or feel free to contact us for alternative products.

CD200/OX2 Antibody Summary

Immunogen
This antibody was developed against Recombinant Protein corresponding to amino acids: EREQLYTPASLKCSLQNAQEALIVTWQKKKAVSPENMVTFSENHGVVIQPAYKDKINITQLGLQNSTITFWNITLEDEGCYMCLFNTFGFGKISGTACLTVYVQPIVSLHYKFSEDHLNITCSATARPAPMVFWKVPRS
Isotype
IgG
Clonality
Polyclonal
Host
Rabbit
Gene
CD200
Purity
Immunogen affinity purified
Innovator's Reward
Test in a species/application not listed above to receive a full credit towards a future purchase.

Applications/Dilutions

Dilutions
  • Immunocytochemistry/ Immunofluorescence
  • Immunohistochemistry 1:50 - 1:200
  • Immunohistochemistry-Paraffin 1:50 - 1:200
Application Notes
ICC/IF reported in scientific literature (PMID: 25599132). For IHC-Paraffin, HIER pH 6 retrieval is recommended.
Publications
Read Publication using
NBP1-87738 in the following applications:

Reactivity Notes

Primate reactivity reported in scientific literature (PMID: 25599132).

Packaging, Storage & Formulations

Storage
Store at 4C short term. Aliquot and store at -20C long term. Avoid freeze-thaw cycles.
Buffer
PBS (pH 7.2) and 40% Glycerol
Preservative
0.02% Sodium Azide
Purity
Immunogen affinity purified

Alternate Names for CD200/OX2 Antibody

  • antigen identified by monoclonal MRC OX-2
  • CD200 antigenMOX1
  • CD200 molecule
  • CD200
  • MOX1
  • MOX2
  • MOX2MRC
  • MRC OX-2 antigen
  • MRC
  • OX-2 membrane glycoprotein
  • OX-2

Background

CD200 costimulates T cell proliferation. It may regulate myeloid cell activity in a variety of tissues. It is a monomorphic determinant expressed on thymocytes, brain, follicular dendritic cells in all lymphoid organs, endothelium and at low levels on some smooth muscle and B lymphocytes. Recent studies have suggested that the CD200 - CD200 ligand system is of importance in the control of macrophage and granulocyte activation.

Limitations

This product is for research use only and is not approved for use in humans or in clinical diagnosis. Primary Antibodies are guaranteed for 1 year from date of receipt.

Customers Who Viewed This Item Also Viewed...

7268-CT
Species: Hu
Applications: BA
NB100-524
Species: Hu, Mu
Applications: Flow-IC, Flow, ICC/IF, IHC, IHC-Fr,  IHC-P, IP, WB
NBP2-79843
Species: Hu
Applications: CyTOF-ready, ELISA, Flow, ICC/IF, IHC,  IHC-P, PA, WB
AF2554
Species: Mu
Applications: CyTOF-ready, Flow, ICC, WB
6507-IL/CF
Species: Hu
Applications: BA
DY417
Species: Mu
Applications: ELISA
202-IL
Species: Hu
Applications: BA
NBP2-25208
Species: Hu, Mu, Rt
Applications: Flow, ICC/IF, IHC, IHC-Fr,  IHC-P, KO, Simple Western, WB
M6000B
Species: Mu
Applications: ELISA
485-MI
Species: Mu
Applications: BA
NBP2-67525
Species: Hu, Mu, Rt
Applications: Flow, ICC/IF, IHC,  IHC-P, WB
MAB2457
Species: Hu, Mu
Applications: CyTOF-ready, ICC, ICFlow, WB
MAB140
Species: Hu
Applications: CyTOF-ready, Dual ISH-IHC, ELISA(Cap), ELISA(Det), ELISA(Sta), Flow, IHC, Neut
NB110-89474
Species: Bv, Ce, ChHa, Hu, Pm, Mu, Rt, RM
Applications: Dual ISH-IHC, Flow-CS, Flow, ICC/IF, IHC, IHC-Fr,  IHC-P, ISH, Simple Western, Single-Cell Western, WB
NB100-39002
Species: Bv, Hu, Mu, Rt
Applications: Dual ISH-IHC, Flow, IB, ICC/IF, IHC,  IHC-P, IP, Single-Cell Western, WB
NB100-56511
Species: Hu, Mu
Applications: Flow, ICC/IF, IHC, IHC-Fr,  IHC-P, IP, KD, KO, WB
NBP1-72042
Species: Hu, Mu, Rt
Applications: ICC/IF, IHC,  IHC-P, PEP-ELISA, WB
NB100-2452
Species: Hu
Applications: IHC,  IHC-P, PEP-ELISA, WB
NBP1-87738
Species: Hu, Pm
Applications: ICC/IF, IHC

Publications for CD200/OX2 Antibody (NBP1-87738)(1)

We have publications tested in 1 confirmed species: Primate.

We have publications tested in 1 application: ICC/IF.


Filter By Application
ICC/IF
(1)
All Applications
Filter By Species
Primate
(1)
All Species

Reviews for CD200/OX2 Antibody (NBP1-87738) (0)

There are no reviews for CD200/OX2 Antibody (NBP1-87738). By submitting a review you will receive an Amazon e-Gift Card or Novus Product Discount.
  • Review with no image -- $10/€7/£6/$10 CAD/¥70 Yuan/¥1110 Yen
  • Review with an image -- $25/€18/£15/$25 CAD/¥150 Yuan/¥2500 Yen

Product General Protocols

Find general support by application which include: protocols, troubleshooting, illustrated assays, videos and webinars.

Video Protocols

ICC/IF Video Protocol

FAQs for CD200/OX2 Antibody (NBP1-87738). (Showing 1 - 1 of 1 FAQ).

  1. We are interested in using your CD200 antibody on canine skin sections (paraffin fixed) for IHC. When comparing the human epitope with the dog's protein, there is 76% ident. Do you as an antibody manufacturer have any experience if this percentage is enough for an antibody to recognize a protein?
    • Generally we recommend that an immunogen share over 80-85% similarity but having taken a look at the immunogen aligned with the dog sequence, there are several stretches of high similarity. As NBP1-87738 is a polyclonal, there will almost certainly be antibodies in the vial that will cross-react with dog. You may need to use this antibody at a higher concentration than is recommended, but there is a high chance that this antibody will cross-react.

Contact Information

Product PDFs

Calculators

Concentration Calculator

The concentration calculator allows you to quickly calculate the volume, mass or concentration of your vial. Simply enter your mass, volume, or concentration values for your reagent and the calculator will determine the rest.

=
÷

Review this Product

Be the first to review our CD200/OX2 Antibody and receive a gift card or discount.

Bioinformatics

Gene Symbol CD200