CD1a Antibody (7A7)

Images

 
Western Blot: CD1a Antibody (7A7) [NBP2-37622] - Western blot analysis using CD1A mouse mAb against K562 (1), RAJI (2), and MOLT4 (3) cell lysate.
Immunocytochemistry/ Immunofluorescence: CD1a Antibody (7A7) [NBP2-37622] - Immunofluorescence analysis of RAJI cells using CD1A mouse mAb (green). Blue: DRAQ5 fluorescent DNA dye.
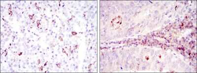
Immunohistochemistry: CD1a Antibody (7A7) [NBP2-37622] - Immunohistochemical analysis of paraffin-embedded brain tissues (left) and submaxillary tumor tissues (right) using CD1A mouse mAb with DAB staining.
Immunohistochemistry: CD1a Antibody (7A7) [NBP2-37622] - Immunohistochemical analysis of paraffin-embedded cervical cancer tissues (left) and colon cancer tissues (right) using CD1A mouse mAb with DAB staining.
ELISA: CD1a Antibody (7A7) [NBP2-37622] - Red: Control Antigen (100ng); Purple: Antigen (10ng); Green: Antigen (50ng); Blue: Antigen (100ng);

Product Details

Summary
Product Discontinued
View other related CD1a Primary Antibodies

Order Details


    • Catalog Number
      NBP2-37622
    • Availability
      Product Discontinued

    Can't find what you are looking for? Use our Antibody Concierge Service & we will help you locate your antibody!

    Or feel free to contact us for alternative products.

CD1a Antibody (7A7) Summary

Immunogen
Purified recombinant fragment of human CD1A expressed in E. Coli.
Isotype
IgG1
Clonality
Monoclonal
Host
Mouse
Gene
CD1A
Purity
Unpurified
Innovator's Reward
Test in a species/application not listed above to receive a full credit towards a future purchase.

Applications/Dilutions

Dilutions
  • ELISA 1:10000
  • Immunocytochemistry/ Immunofluorescence 1:200 - 1:1000
  • Immunohistochemistry 1:200 - 1:1000
  • Immunohistochemistry-Paraffin 1:200 - 1:1000
  • Western Blot 1:500 - 1:2000
Theoretical MW
37 kDa.
Disclaimer note: The observed molecular weight of the protein may vary from the listed predicted molecular weight due to post translational modifications, post translation cleavages, relative charges, and other experimental factors.

Packaging, Storage & Formulations

Storage
Store at 4C short term. Aliquot and store at -20C long term. Avoid freeze-thaw cycles.
Buffer
Ascites
Preservative
0.03% Sodium Azide
Purity
Unpurified

Alternate Names for CD1a Antibody (7A7)

  • CD1
  • CD1a antigen
  • CD1A antigen, a polypeptide
  • CD1a molecule
  • CD1a
  • cluster of differentiation 1 A
  • cortical thymocyte antigen CD1A
  • differentiation antigen CD1-alpha-3
  • epidermal dendritic cell marker CD1a
  • FCB6
  • hTa1 thymocyte antigen
  • HTA1
  • R4
  • T6
  • T-cell surface antigen T6/Leu-6
  • T-cell surface glycoprotein CD1a

Background

All CD1 molecules, except CD1e, are cell surface glycoproteins that are structurally related to the MHC molecules, however, in distinction, CD1 proteins are essentially non polymorphic. CD1 has considerable structural homology with both MHC class I and class II molecules, and CD1 molecules are involved in T cell activation. In contrast to MHC, however, CD1 molecules appear to present predominantly non peptide molecules originating from lipids and glycolipids.

Limitations

This product is for research use only and is not approved for use in humans or in clinical diagnosis. Primary Antibodies are guaranteed for 1 year from date of receipt.

Customers Who Viewed This Item Also Viewed...

MAB6979
Species: Hu
Applications: WB
7268-CT
Species: Hu
Applications: BA
NBP2-79843
Species: Hu
Applications: CyTOF-ready, ELISA, Flow, ICC/IF, IHC,  IHC-P, PA, WB
NB100-524
Species: Hu, Mu
Applications: Flow-IC, Flow, ICC/IF, IHC, IHC-Fr,  IHC-P, IP, WB
NBP2-92630
Species: Hu, Mu, Rt
Applications: ELISA, ICC/IF, IHC,  IHC-P, WB
6507-IL/CF
Species: Hu
Applications: BA
NBP1-19371
Species: Ca, Hu, Mu, Po, Rb, Rt
Applications: Dual ISH-IHC, Flow, ICC/IF, IHC, IHC-Fr,  IHC-P, Simple Western, WB
NBP1-49045
Species: Mu, Rt
Applications: Cell Depl, CyTOF-ready, Flow, ICC/IF, IHC, IHC-Fr,  IHC-P, IP, InhibTFunc
NBP1-72042
Species: Hu, Mu, Rt
Applications: ICC/IF, IHC,  IHC-P, PEP-ELISA, WB
MAB7330
Species: Hu
Applications: CyTOF-ready, ICFlow
485-MI
Species: Mu
Applications: BA
NB120-6405
Species: Rt
Applications: B/N, CyTOF-ready, EM, ELISA, Flow-IC, Flow, ICC/IF, IHC, IHC-Fr,  IHC-P, IP
NB600-1441
Species: Ca, Hu, Mu, Po
Applications: Flow, ICC/IF, IHC, IHC-Fr,  IHC-P, KD
NBP2-25200
Species: Hu
Applications: B/N, Flow, IHC, IHC-Fr, WB
NBP1-31661
Species: Hu, Mu, Rt, Ze
Applications: ICC/IF, IHC,  IHC-P, Simple Western, WB
NBP1-89284
Species: Hu, Po
Applications: ICC/IF, IHC,  IHC-P, KD, WB
NBP2-21792
Species: Hu
Applications: CyTOF-ready, Flow, ICC/IF, IHC,  IHC-P, IP, WB
MAB7446
Species: Hu
Applications: CyTOF-ready, Flow
NBP2-37622
Species: Hu
Applications: WB, ELISA, ICC/IF, IHC

Publications for CD1a Antibody (NBP2-37622) (0)

There are no publications for CD1a Antibody (NBP2-37622).
By submitting your publication information earn gift cards and discounts for future purchases.

Reviews for CD1a Antibody (NBP2-37622) (0)

There are no reviews for CD1a Antibody (NBP2-37622). By submitting a review you will receive an Amazon e-Gift Card or Novus Product Discount.
  • Review with no image -- $10/€7/£6/$10 CAD/¥70 Yuan/¥1110 Yen
  • Review with an image -- $25/€18/£15/$25 CAD/¥150 Yuan/¥2500 Yen

Product General Protocols

Find general support by application which include: protocols, troubleshooting, illustrated assays, videos and webinars.

Video Protocols

WB Video Protocol
ICC/IF Video Protocol

FAQs for CD1a Antibody (NBP2-37622) (0)

There are no specific FAQs related to this product. Read our general customer & technical service FAQs.

Secondary Antibodies

 

Isotype Controls

Additional CD1a Products

Research Areas for CD1a Antibody (NBP2-37622)

Find related products by research area.

Blogs on CD1a

There are no specific blogs for CD1a, but you can read our latest blog posts.

Contact Information

Product PDFs

Calculators

Concentration Calculator

The concentration calculator allows you to quickly calculate the volume, mass or concentration of your vial. Simply enter your mass, volume, or concentration values for your reagent and the calculator will determine the rest.

=
÷

Review this Product

Be the first to review our CD1a Antibody (7A7) and receive a gift card or discount.

Bioinformatics

Gene Symbol CD1A