CCR2 Antibody - BSA Free

Images

 
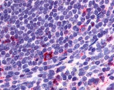
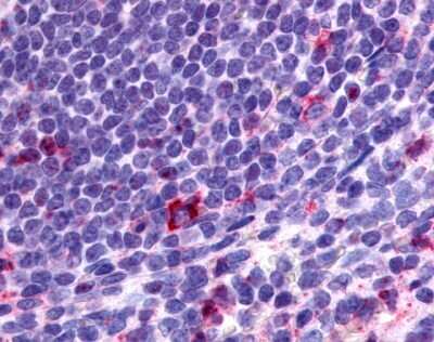
Immunohistochemistry-Paraffin: CCR2 Antibody [NLS1899] - Analysis of anti-CCR2 antibody with human spleen, lymphocytes at 3 ug/ml.

Product Details

Summary
Product Discontinued
View other related CCR2 Primary Antibodies

Order Details


    • Catalog Number
      NLS1899
    • Availability
      Product Discontinued

    Can't find what you are looking for? Use our Antibody Concierge Service & we will help you locate your antibody!

    Or feel free to contact us for alternative products.

CCR2 Antibody - BSA Free Summary

Description
Product can be stored undiluted at 4C for up to 1 month.
Immunogen
Synthetic 20 amino acid peptide from N-terminal extracellular domain of human CCR2.
Epitope
N-Terminus extracellular domain
Localization
Membrane; multi pass membrane protein.
Specificity
Human CCR2. BLAST analysis of the peptide immunogen showed no homology with other human proteins.
Isotype
IgG
Clonality
Polyclonal
Host
Rabbit
Gene
CCR2
Purity
Immunogen affinity purified
Innovator's Reward
Test in a species/application not listed above to receive a full credit towards a future purchase.

Applications/Dilutions

Dilutions
  • Immunohistochemistry
  • Immunohistochemistry-Paraffin 3 - 30 ug/ml
Control
CCR2 Overexpression Lysate

Reactivity Notes

Predicted cross-reactivity based on sequence identity: Gorilla (100%), Gibbon (100%).

Packaging, Storage & Formulations

Storage
Keep as concentrated solution. Aliquot and store at -20C or below. Avoid multiple freeze-thaw cycles.
Buffer
PBS
Preservative
0.1% Sodium Azide
Concentration
1.0 mg/ml
Purity
Immunogen affinity purified

Alternate Names for CCR2 Antibody - BSA Free

  • C-C chemokine receptor type 2
  • C-C CKR-2
  • CC-CKR-2
  • CC-CKR-2CKR2B
  • CCR2
  • CCR-2
  • CCR2A
  • CCR2B
  • CD192 antigen
  • CD192
  • chemokine (C-C motif) receptor 2
  • CKR2
  • CKR2A
  • CMKBR2
  • CMKBR2MGC111760
  • FLJ78302
  • MCP-1 receptor
  • MCP-1-R
  • MCP-1-RMGC103828
  • MGC168006
  • Monocyte chemoattractant protein 1 receptor
  • monocyte chemotactic protein 1 receptor

Background

CCR2, a Chemokine Receptor, is a regulator of monocyte/macrophage traffickingis and is upregulated in response to inflammation. Resistance to HIV-1 infection or delayed progression to AIDS may be linked to CCR2 polymorphisms. The ligand for CCR2 is monocyte chemoattractant protein (MCP-1), a chemokine produced by endothelial cells, smooth muscle cells, and macrophages. Activation of monocytes by MCP-1 may mediate the monocytic infiltration of tissues in atherosclerosis (Boring et al., 1998) and other inflammatory disorders including rheumatoid arthritis, alveolitis, and tumor infiltration. Two isoforms are produced by alternative splicing. CCR2 has been reported to be expressed in a wide variety of tissues, including blood, brain, heart, kidney, liver, lung, ovary, pancreas, spinal cord, spleen, thymus, and vessel. Increased expression of CCR2 has been documented in CD3+ lymphocytes in rheumatoid arthritis (Ruth et al., 2001). ESTs have been isolated from liver/spleen and prostate libraries.

Limitations

This product is for research use only and is not approved for use in humans or in clinical diagnosis. Primary Antibodies are guaranteed for 1 year from date of receipt.

Customers Who Viewed This Item Also Viewed...

DCP00
Species: Hu
Applications: ELISA
MAB182
Species: Hu
Applications: CyTOF-ready, Flow, ICC, Neut
MAB145
Species: Hu
Applications: CyTOF-ready, Flow
DRN00B
Species: Hu
Applications: ELISA
MAB155
Species: Hu
Applications: CyTOF-ready, Flow, IHC, Neut
MAB172
Species: Hu
Applications: CyTOF-ready, Flow, IHC, Neut
MAB330
Species: Hu
Applications: CyTOF-reported, Flow, IHC, Neut
AF-456-NA
Species: Mu
Applications: Neut, WB
NBP1-19371
Species: Ca, Hu, Mu, Po, Rb, Rt
Applications: Dual ISH-IHC, Flow, ICC/IF, IHC, IHC-Fr,  IHC-P, Simple Western, WB
350-NS
Species: Fe, Hu, RM
Applications: BA, BA
M6000B
Species: Mu
Applications: ELISA
MAB160
Species: Hu
Applications: CyTOF-ready, Flow, IHC, Neut
AF5825
Species: Hu, Mu
Applications: CyTOF-ready, Flow, WB
MAB1567
Species: Hu
Applications: CyTOF-reported, Flow
MAB2005
Species: Hu
Applications: CyTOF-ready, Flow, WB
NBP1-90214
Species: Hu
Applications: ICC/IF, IHC,  IHC-P, WB
NBP1-86564
Species: Hu
Applications: ICC/IF, IHC,  IHC-P

Publications for CCR2 Antibody (NLS1899) (0)

There are no publications for CCR2 Antibody (NLS1899).
By submitting your publication information earn gift cards and discounts for future purchases.

Reviews for CCR2 Antibody (NLS1899) (0)

There are no reviews for CCR2 Antibody (NLS1899). By submitting a review you will receive an Amazon e-Gift Card or Novus Product Discount.
  • Review with no image -- $10/€7/£6/$10 CAD/¥70 Yuan/¥1110 Yen
  • Review with an image -- $25/€18/£15/$25 CAD/¥150 Yuan/¥2500 Yen

Product General Protocols

View specific protocols for CCR2 Antibody (NLS1899): Find general support by application which include: protocols, troubleshooting, illustrated assays, videos and webinars.

FAQs for CCR2 Antibody (NLS1899) (0)

There are no specific FAQs related to this product. Read our general customer & technical service FAQs.

Control Lysate(s)

Secondary Antibodies

 

Isotype Controls

Additional CCR2 Products

Research Areas for CCR2 Antibody (NLS1899)

Find related products by research area.

Blogs on CCR2.

Rest in Peace: Is the Receptor Interacting Protein (RIP) Kinase-3 (RIPK3) a Protector or Offender?
By Jamshed Arslan, Pharm. D., PhD. Receptor interacting protein kinases (RIPKs) in necroptosisDeath is perhaps inevitable. Cell death can be programed and immunologically silent (apoptosis), unprogrammed and inflamm...  Read full blog post.

CCR2 or CD192
CCR2 is a receptor for several monocyte chemoattractant proteins (MCP1, MCP3, MCP4) that specifically govern monocyte chemotaxis. CCR2 transduces its downstream signals through increasing intracellular calcium ion levels. For example, MCP1 regulate...  Read full blog post.

CCR2: Affecting Autoimmunity via MCP1 interactions
CCR2, also known as CD192 (cluster of differentiation 192), is a chemokine receptor and is expressed by monocytes, activated T cells, B cells and natural killer cells. This protein is encoded by CCR2 gene in humans. CCR2 gene encodes two protein isofo...  Read full blog post.

MCP1: One Chemoattractant that's Hard to Resist
Monocyte Chemoattractant Protein (MCP1) is a potent monocyte attractant, is a member of the CC chemokine subfamily. MCP1 exerts its effects through binding to G-protein-coupled receptors on the surface of leukocytes targeted for activation and migrati...  Read full blog post.

Contact Information

Product PDFs

Calculators

Concentration Calculator

The concentration calculator allows you to quickly calculate the volume, mass or concentration of your vial. Simply enter your mass, volume, or concentration values for your reagent and the calculator will determine the rest.

=
÷

Review this Product

Be the first to review our CCR2 Antibody - BSA Free and receive a gift card or discount.

Bioinformatics

Gene Symbol CCR2
Entrez
Uniprot