CCDC49 Antibody - BSA Free

Images

 
Immunocytochemistry/ Immunofluorescence: CCDC49 Antibody [NBP2-49381] - Immunofluorescent staining of human cell line HEK 293 shows localization to nuclear speckles.
Orthogonal Strategies: Immunohistochemistry-Paraffin: CCDC49 Antibody [NBP2-49381] - Staining in human bone marrow and liver tissues using anti-CWC25 antibody. Corresponding CWC25 RNA-seq data are presented for ...read more
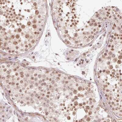
Immunohistochemistry-Paraffin: CCDC49 Antibody [NBP2-49381] - Staining of human testis shows moderate nuclear positivity in cells in seminiferus ducts.
Immunohistochemistry-Paraffin: CCDC49 Antibody [NBP2-49381] - Staining of human bone marrow shows high expression.
Immunohistochemistry-Paraffin: CCDC49 Antibody [NBP2-49381] - Staining of human liver shows low expression as expected.

Product Details

Summary
Reactivity Hu, Mu, RtSpecies Glossary
Applications ICC/IF, IHC
Clonality
Polyclonal
Host
Rabbit
Conjugate
Unconjugated
Format
BSA Free
Validated by:
       

Orthogonal Strategies

 

Order Details

View Available Formulations
Catalog# & Formulation Size Price

CCDC49 Antibody - BSA Free Summary

Description
Novus Biologicals Rabbit CCDC49 Antibody - BSA Free (NBP2-49381) is a polyclonal antibody validated for use in IHC and ICC/IF. All Novus Biologicals antibodies are covered by our 100% guarantee.
Immunogen
This antibody was developed against a recombinant protein corresponding to amino acids: RHAPGYTRKLSAEELERKRQEMMENAKWREEERLNILKRHAKDEEREQRLEKLDSRDGKFIHRMKLESASTSSLEDRVKRNIYSLQRTSVALEKNF
Predicted Species
Mouse (90%), Rat (90%). Backed by our 100% Guarantee.
Isotype
IgG
Clonality
Polyclonal
Host
Rabbit
Gene
CWC25
Purity
Affinity purified
Innovator's Reward
Test in a species/application not listed above to receive a full credit towards a future purchase.

Applications/Dilutions

Dilutions
  • Immunocytochemistry/ Immunofluorescence 0.25-2 ug/ml
  • Immunohistochemistry 1:1000 - 1:2500
  • Immunohistochemistry-Paraffin 1:1000 - 1:2500
Application Notes
For IHC-Paraffin, HIER pH 6 retrieval is recommended. Immunocytochemistry/Immunofluorescence Fixation Permeabilization: Use PFA/Triton X-100.
Control Peptide
CCDC49 Recombinant Protein Antigen (NBP2-49381PEP)

Packaging, Storage & Formulations

Storage
Store at 4C short term. Aliquot and store at -20C long term. Avoid freeze-thaw cycles.
Buffer
PBS (pH 7.2) and 40% Glycerol
Preservative
0.02% Sodium Azide
Purity
Affinity purified

Alternate Names for CCDC49 Antibody - BSA Free

  • CCDC49
  • coiled-coil domain containing 49
  • Coiled-coil domain-containing protein 49
  • CWC25 spliceosome-associated protein homolog (S. cerevisiae)
  • DKFZp779M0968
  • FLJ20291
  • pre-mRNA-splicing factor CWC25 homolog
  • Spliceosome-associated protein homolog CWC25

Limitations

This product is for research use only and is not approved for use in humans or in clinical diagnosis. Primary Antibodies are guaranteed for 1 year from date of receipt.

Customers Who Viewed This Item Also Viewed...

NBP2-13920
Species: Hu
Applications: ICC/IF, IHC,  IHC-P
NBP1-80876
Species: Hu
Applications: IHC,  IHC-P, WB
NBP1-89343
Species: Hu
Applications: ICC/IF, IHC,  IHC-P, WB
NBP2-13923
Species: Hu
Applications: ICC/IF, IHC,  IHC-P, KD, WB
NBP1-85269
Species: Hu, Mu, Rt
Applications: ICC/IF, IHC,  IHC-P, WB
NBP1-92297
Species: Hu, Mu, Rt
Applications: IHC,  IHC-P, WB
NB300-917
Species: Hu, Mu
Applications: ICC/IF, IHC,  IHC-P
NBP1-92692
Species: Hu, Mu, Rt
Applications: ICC/IF, IHC, WB
NBP1-85378
Species: Hu
Applications: IHC,  IHC-P
NB100-79848
Species: Hu
Applications: IHC,  IHC-P, IP, WB
NBP1-53181
Species: Hu
Applications: IHC,  IHC-P, WB
NBP2-47281
Species: Hu
Applications: ICC/IF, IHC,  IHC-P, KD, WB
NBP1-81800
Species: Hu
Applications: ICC/IF, IHC,  IHC-P, KD, WB
NBP2-13301
Species: Hu
Applications: ICC/IF, IHC,  IHC-P
DHAPG0
Species: Hu
Applications: ELISA
NBP2-49381
Species: Hu, Mu, Rt
Applications: ICC/IF, IHC

Publications for CCDC49 Antibody (NBP2-49381) (0)

There are no publications for CCDC49 Antibody (NBP2-49381).
By submitting your publication information earn gift cards and discounts for future purchases.

Reviews for CCDC49 Antibody (NBP2-49381) (0)

There are no reviews for CCDC49 Antibody (NBP2-49381). By submitting a review you will receive an Amazon e-Gift Card or Novus Product Discount.
  • Review with no image -- $10/€7/£6/$10 CAD/¥70 Yuan/¥1110 Yen
  • Review with an image -- $25/€18/£15/$25 CAD/¥150 Yuan/¥2500 Yen

Product General Protocols

Find general support by application which include: protocols, troubleshooting, illustrated assays, videos and webinars.

Video Protocols

ICC/IF Video Protocol

FAQs for CCDC49 Antibody (NBP2-49381) (0)

There are no specific FAQs related to this product. Read our general customer & technical service FAQs.

Customers Who Bought This Also Bought

Contact Information

Product PDFs

Calculators

Concentration Calculator

The concentration calculator allows you to quickly calculate the volume, mass or concentration of your vial. Simply enter your mass, volume, or concentration values for your reagent and the calculator will determine the rest.

=
÷

Review this Product

Be the first to review our CCDC49 Antibody - BSA Free and receive a gift card or discount.

Bioinformatics

Gene Symbol CWC25