Cathepsin D Antibody (13F2)

Images

 
Western Blot: Cathepsin D Antibody (13F2) [NBP2-89156] - Analysis of Cathepsin D on different lysates. Proteins were transferred to a PVDF membrane and blocked with 5% BSA in PBS for 1 hour at room temperature. The ...read more
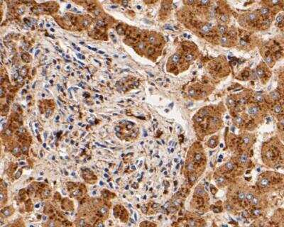
Immunohistochemistry-Paraffin: Cathepsin D Antibody (13F2) [NBP2-89156] - Analysis of paraffin-embedded human liver tissue using anti-Cathepsin D antibody. The section was pre-treated using heat mediated antigen ...read more
Flow Cytometry: Cathepsin D Antibody (13F2) [NBP2-89156] - Flow cytometric analysis of Cathepsin D was done on SKOV-3 cells. The cells were fixed, permeabilized and stained with the primary antibody (EM1901-15, 1/50) ...read more
Immunohistochemistry-Paraffin: Cathepsin D Antibody (13F2) [NBP2-89156] - Analysis of paraffin-embedded rat cerebellum tissue using anti-Cathepsin D antibody. The section was pre-treated using heat mediated antigen ...read more
Immunohistochemistry-Paraffin: Cathepsin D Antibody (13F2) [NBP2-89156] - Analysis of paraffin-embedded rat cerebellum tissue using anti-Cathepsin D antibody. The section was pre-treated using heat mediated antigen ...read more
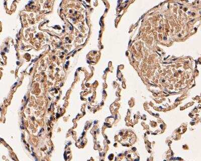
Immunohistochemistry-Paraffin: Cathepsin D Antibody (13F2) [NBP2-89156] - Analysis of paraffin-embedded human lung tissue using anti-Cathepsin D antibody. The section was pre-treated using heat mediated antigen ...read more

Product Details

Summary
Product Discontinued
View other related Cathepsin D Primary Antibodies

Order Details


    • Catalog Number
      NBP2-89156
    • Availability
      Product Discontinued

    Can't find what you are looking for? Use our Antibody Concierge Service & we will help you locate your antibody!

    Or feel free to contact us for alternative products.

Cathepsin D Antibody (13F2) Summary

Immunogen
Recombinant protein within Human Cathepsin D aa 1-412 / 412. (SwissProt: P07339 Human; SwissProt: P18242 Mouse; SwissProt: P24268 Rat)
Localization
Lysosome, extracellular space, melanosome.
Isotype
IgG2b
Clonality
Monoclonal
Host
Mouse
Gene
CTSD
Purity
Protein G purified
Innovator's Reward
Test in a species/application not listed above to receive a full credit towards a future purchase.

Applications/Dilutions

Dilutions
  • Flow Cytometry 1:50-1:100
  • Immunohistochemistry
  • Immunohistochemistry-Paraffin 1:50-1:200
  • Western Blot 1:1000-1:5000
Theoretical MW
45 kDa.
Disclaimer note: The observed molecular weight of the protein may vary from the listed predicted molecular weight due to post translational modifications, post translation cleavages, relative charges, and other experimental factors.

Reactivity Notes

Mouse blocking reagent may be needed for IHC and ICC experiments to reduce high background signal. You can find these reagents under catalog numbers PK-2200-NB and MP-2400-NB. Please contact Technical Support if you have any. Please note that this antibody is reactive to Mouse and derived from the same host, Mouse. Mouse-On-questions.

Packaging, Storage & Formulations

Storage
Store at 4C short term. Aliquot and store at -20C long term. Avoid freeze-thaw cycles.
Buffer
PBS (pH7.4), 0.2% BSA, 50% Glycerol
Preservative
0.05% Sodium Azide
Concentration
2 mg/ml
Purity
Protein G purified

Alternate Names for Cathepsin D Antibody (13F2)

  • cathepsin D (lysosomal aspartyl protease)
  • Cathepsin D
  • CPSD
  • CTSD
  • EC 3.4.23
  • EC 3.4.23.5
  • lysosomal aspartyl peptidase
  • lysosomal aspartyl protease
  • MGC2311
  • neuronal 10

Background

Cathepsin D has been reported to be involved in malignant tumour progression and with prognosis of various human cancers.

Limitations

This product is for research use only and is not approved for use in humans or in clinical diagnosis. Primary Antibodies are guaranteed for 1 year from date of receipt.

Customers Who Viewed This Item Also Viewed...

AF965
Species: Mu
Applications: IHC, Neut, WB
NBP1-90813
Species: Hu
Applications: IHC,  IHC-P, WB
AF5415
Species: Hu
Applications: ICC, IHC, Simple Western, WB
AF4277
Species: Mu
Applications: ELISA(Cap), ELISA(Det), ELISA(Sta), IHC, IP, WB
AF231
Species: Hu
Applications: CyTOF-ready, Dual ISH-IHC, ELISA(Cap), ELISA(Det), ELISA(Sta), Flow, ICC, IHC, IP, Simple Western, WB
NBP1-87511
Species: Hu
Applications: ICC/IF, IHC,  IHC-P, WB
NB100-74513
Species: Hu, Mu, Pm, Rt
Applications: ELISA, ICC/IF, IHC,  IHC-P, IP, WB
NB300-560
Species: Av, Bv, Ma, Hu, Mu, Pm, Rt
Applications: IF, IHC, IHC-Fr,  IHC-P, WB
NB200-103
Species: Hu, Mu, Rt, Xp(-), Ye
Applications: CyTOF-ready, ELISA, Flow-IC, Flow, ICC/IF, IHC, IHC-Fr,  IHC-P, IP, WB
1129-ER
Species: Hu
Applications: BA
NBP1-30027
Species: Hu, Mu, Rt
Applications: ICC/IF, IHC,  IHC-P, WB
AF3398
Species: Hu, Mu, Rt
Applications: ICC, KO, Simple Western, WB
NB120-19294
Species: Hu, Mu, Rt
Applications: ICC/IF, IHC,  IHC-P, WB
1310-SE
Species: Hu
Applications: EnzAct
NB400-152
Species: Hu, Mu, Rt
Applications: ICC/IF, IHC,  IHC-P, WB
MAB1455
Species: Hu
Applications: CyTOF-ready, Dual ISH-IHC, ICC, IHC, ICFlow, Simple Western, WB
AF1013
Species: Mu
Applications: IHC, IP, WB
NB600-930
Species: Hu, Rt
Applications: ELISA, WB
NBP2-89156
Species: Hu, Mu, Rt
Applications: WB, Flow, IHC

Publications for Cathepsin D Antibody (NBP2-89156) (0)

There are no publications for Cathepsin D Antibody (NBP2-89156).
By submitting your publication information earn gift cards and discounts for future purchases.

Reviews for Cathepsin D Antibody (NBP2-89156) (0)

There are no reviews for Cathepsin D Antibody (NBP2-89156). By submitting a review you will receive an Amazon e-Gift Card or Novus Product Discount.
  • Review with no image -- $10/€7/£6/$10 CAD/¥70 Yuan/¥1110 Yen
  • Review with an image -- $25/€18/£15/$25 CAD/¥150 Yuan/¥2500 Yen

Product General Protocols

Find general support by application which include: protocols, troubleshooting, illustrated assays, videos and webinars.

Video Protocols

WB Video Protocol

FAQs for Cathepsin D Antibody (NBP2-89156) (0)

There are no specific FAQs related to this product. Read our general customer & technical service FAQs.

Secondary Antibodies

 

Isotype Controls

Additional Cathepsin D Products

Research Areas for Cathepsin D Antibody (NBP2-89156)

Find related products by research area.

Blogs on Cathepsin D

There are no specific blogs for Cathepsin D, but you can read our latest blog posts.

Contact Information

Product PDFs

Calculators

Concentration Calculator

The concentration calculator allows you to quickly calculate the volume, mass or concentration of your vial. Simply enter your mass, volume, or concentration values for your reagent and the calculator will determine the rest.

=
÷

Review this Product

Be the first to review our Cathepsin D Antibody (13F2) and receive a gift card or discount.

Bioinformatics

Gene Symbol CTSD