Caspase-9 Antibody (JJ08-05) - Pro form

Images

 
Western Blot: Caspase-9 Antibody (JJ08-05) - Pro form [NBP2-67848] - Analysis of pro Caspase 9 on Hela cells lysates using anti-pro Caspase 9 antibody at 1/1,000 dilution.
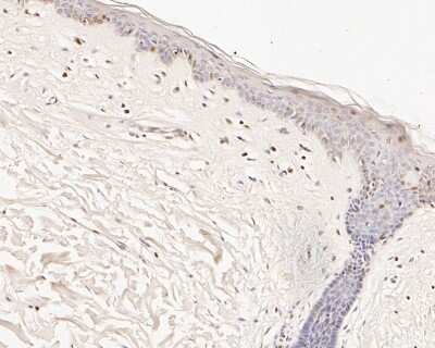
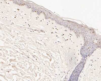
Immunohistochemistry-Paraffin: Caspase-9 Antibody (JJ08-05) - Pro form [NBP2-67848] - Immunohistochemical analysis of paraffin-embedded human skin tissue using anti-pro Caspase-9 antibody. The section was pre-treated ...read more
Flow Cytometry: Caspase-9 Antibody (JJ08-05) - Pro form [NBP2-67848] - Analysis of Jurkat cells with pro Caspase 9 antibody at 1/50 dilution (red) compared with an unlabelled control (cells without incubation with ...read more
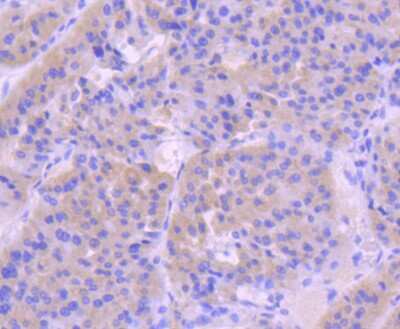
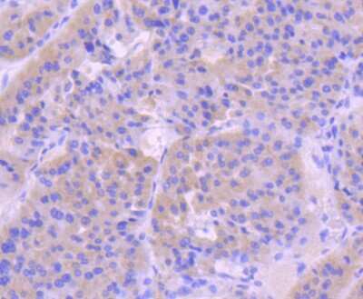
Immunohistochemistry-Paraffin: Caspase-9 Antibody (JJ08-05) - Pro form [NBP2-67848] - Analysis of paraffin-embedded human liver cancer tissue using anti-pro Caspase 9 antibody. Counter stained with hematoxylin.
Immunohistochemistry-Paraffin: Caspase-9 Antibody (JJ08-05) - Pro form [NBP2-67848] - Immunohistochemical analysis of paraffin-embedded human cervix uteri tissue using anti-pro Caspase-9 antibody. The section was ...read more
Immunohistochemistry-Paraffin: Caspase-9 Antibody (JJ08-05) - Pro form [NBP2-67848] - Immunohistochemical analysis of paraffin-embedded human placenta tissue using anti-pro Caspase-9 antibody. The section was ...read more

Product Details

Summary
Product Discontinued
View other related Caspase-9 Primary Antibodies

Order Details


    • Catalog Number
      NBP2-67848
    • Availability
      Product Discontinued

    Can't find what you are looking for? Use our Antibody Concierge Service & we will help you locate your antibody!

    Or feel free to contact us for alternative products.

Caspase-9 Antibody (JJ08-05) - Pro form Summary

Additional Information
Recombinant Monoclonal Antibody.
Immunogen
Synthetic peptide within Human Caspase-9 aa 20-69 / 416. (SwissProt: P55211 Human)
Localization
Cytosol,Nucleus.
Isotype
IgG
Clonality
Monoclonal
Host
Rabbit
Gene
CASP9
Purity
Protein A purified
Innovator's Reward
Test in a species/application not listed above to receive a full credit towards a future purchase.

Applications/Dilutions

Dilutions
  • Flow Cytometry 1:10-1:50
  • Immunohistochemistry
  • Immunohistochemistry-Paraffin 1:50-1:200
  • Western Blot 1:1000-1:2000
Control
Jurkat Staurosporine Treated / Untreated Cell Lysate

Packaging, Storage & Formulations

Storage
Store at 4C short term. Aliquot and store at -20C long term. Avoid freeze-thaw cycles.
Buffer
TBS (pH7.4), 0.05% BSA, 40% Glycerol
Preservative
0.05% Sodium Azide
Concentration
1 mg/ml
Purity
Protein A purified

Alternate Names for Caspase-9 Antibody (JJ08-05) - Pro form

  • APAF-3APAF3
  • apoptotic protease activating factor 3
  • Apoptotic protease Mch-6
  • Apoptotic protease-activating factor 3
  • CASP9
  • CASP-9
  • caspase 9, apoptosis-related cysteine peptidase
  • Caspase9
  • Caspase-9
  • EC 3.4.22.62
  • ICE-LAP6CASPASE-9c
  • ICE-like apoptotic protease 6
  • MCH6apoptosis-related cysteine protease

Background

Caspase 9 (CASP9) is a member of the cysteine-aspartic acid protease (caspase) family that is involved in the execution-phase of cell apoptosis. Caspase 9 is expressed as an inactive proenzyme which then undergos proteolytic processing by upstream caspases, to form an active (cleaved) caspase 9 form.

There are two classes of caspases involved in apoptosis; initiators (activation by receptor cluster) and effectors (activation by mitochondrial permeability transition). Caspase 3 is considered an initiator, as initiated caspase-9 goes on to cleave the effector procaspase-3 and procaspase-7.

Caspase 9 antibodies are important tools for apoptosis studies and research on the caspase family mediated apoptosis signaling pathway.

Limitations

This product is for research use only and is not approved for use in humans or in clinical diagnosis. Primary Antibodies are guaranteed for 1 year from date of receipt.

Customers Who Viewed This Item Also Viewed...

NB100-56116
Species: Ma, Hu, Mu, Rt
Applications: Flow, ICC/IF, IHC, IHC-Fr,  IHC-P, IP, Simple Western, WB
NB100-56503
Species: Dr, Hu, Mu, Rb, Rt
Applications: Flow-CS, Flow-IC, Flow, IB, ICC/IF, IHC,  IHC-P, Simple Western, WB
NB100-56098
Species: Ca, Hu, Mu, Rt
Applications: IHC,  IHC-P, IP, WB
AF820
Species: Hu, Mu
Applications: ICC, IHC, KO, Simple Western, WB
MAB868
Species: Hu
Applications: WB
AF800
Species: Hu, Mu
Applications: IP, Simple Western, WB
NBP2-27335
Species: Hu, Mu, Rt(-)
Applications: CyTOF-ready, Flow, ICC/IF, WB
NB120-13550
Species: Hu, Mu, Rt
Applications: ICC/IF, IHC,  IHC-P, WB
AF860
Species: Hu, Mu
Applications: IP, Simple Western, WB
AF8221
Species: Hu, Mu, Rt
Applications: IHC, KO, Simple Western, WB
NBP2-43728
Species: Hu, Mu, Rt
Applications: ICC/IF, WB
NB200-103
Species: Hu, Mu, Rt, Xp(-), Ye
Applications: CyTOF-ready, ELISA, Flow-IC, Flow, ICC/IF, IHC, IHC-Fr,  IHC-P, IP, WB
375-TL
Species: Hu
Applications: BA
AF887
Species: Hu, Mu, Rt
Applications: CyTOF-ready, IHC, ICFlow, Simple Western, WB
NB100-56311
Species: Hu, Mu
Applications: ICC/IF, IHC,  IHC-P, WB
NBP2-67848
Species: Hu
Applications: WB, Flow, IHC

Publications for Caspase-9 Antibody (NBP2-67848) (0)

There are no publications for Caspase-9 Antibody (NBP2-67848).
By submitting your publication information earn gift cards and discounts for future purchases.

Reviews for Caspase-9 Antibody (NBP2-67848) (0)

There are no reviews for Caspase-9 Antibody (NBP2-67848). By submitting a review you will receive an Amazon e-Gift Card or Novus Product Discount.
  • Review with no image -- $10/€7/£6/$10 CAD/¥70 Yuan/¥1110 Yen
  • Review with an image -- $25/€18/£15/$25 CAD/¥150 Yuan/¥2500 Yen

Product General Protocols

Find general support by application which include: protocols, troubleshooting, illustrated assays, videos and webinars.

Video Protocols

WB Video Protocol

FAQs for Caspase-9 Antibody (NBP2-67848). (Showing 1 - 1 of 1 FAQ).

  1. Could I use HeLa cell lysate as a positive control for Caspase 9 primary antibodies in WB?
    • After looking through our testing it does appear you should be fine using HeLa as a positive control cell lysate for Caspase 9 in Western Blot, as we have used this sample successfully in our QC tests and shown expression of Caspase 9.

Control Lysate(s)

Secondary Antibodies

 

Isotype Controls

Additional Caspase-9 Products

Research Areas for Caspase-9 Antibody (NBP2-67848)

Find related products by research area.

Blogs on Caspase-9.

Pyroptosis: Mechanisms mediating cell death and pro-inflammatory cytokine release
By Victoria OsinskiPyroptosis is an inflammatory form of programmed cell death characterized by the release of pro-inflammatory cytokines IL-1 beta and IL-18.1,10 It is a process distinct from apoptosis and necrosis (T...  Read full blog post.

The Ins and Outs of Survivin
By Rachel M.A. Linger, Ph.D.What is survivin?Survivin is a small (16.5 kDa) protein normally found in human fetal tissue. In contrast, survivin is typically undetectable in most normal adult tissues. Expression of ...  Read full blog post.

Caspase-3, The Executioner of Apoptosis
The Role of Caspase-3 in ApoptosisCaspase-3 enzyme is a member of the family of endoproteases which regulate inflammation and apoptosis signaling networks. Caspase-3 is known as an executioner caspase in apoptosis because of its role in coordinat...  Read full blog post.

Caspase 9 - an important apoptosis marker
Caspases are essential mediators of programmed cell death and are needed for both the induction of apoptosis as well as for aiding the degradation of cellular structures. Initiator caspases (such as Caspase-9) sense and respond to various signals i...  Read full blog post.

A New Standard in Antibody Testing - Simple Western Certified Antibodies
The Western blot is one of the most commonly used antibody assay techniques in cell and molecular biology research since its development over three decades ago, and is considered the gold standard for protein detection and quantification. The tradi...  Read full blog post.

Contact Information

Product PDFs

Calculators

Concentration Calculator

The concentration calculator allows you to quickly calculate the volume, mass or concentration of your vial. Simply enter your mass, volume, or concentration values for your reagent and the calculator will determine the rest.

=
÷

Review this Product

Be the first to review our Caspase-9 Antibody (JJ08-05) - Pro form and receive a gift card or discount.

Bioinformatics

Gene Symbol CASP9