Calretinin Antibody (CALB2/2602) - Azide and BSA Free

Images

 
Western Blot: Calretinin Antibody (CALB2/2602) [NBP3-08323] - Western Blot Analysis of human Brain tissue lysate using Calretinin Mouse Monoclonal Antibody (CALB2/2602).
Immunohistochemistry-Paraffin: Calretinin Antibody (CALB2/2602) [NBP3-08323] - Formalin-fixed, paraffin-embedded human Mesothelioma stained with Calretinin Mouse Monoclonal Antibody (CALB2/2602).
Immunohistochemistry-Paraffin: Calretinin Antibody (CALB2/2602) [NBP3-08323] - Formalin-fixed, paraffin-embedded human Cerebellum stained with Calretinin Mouse Monoclonal Antibody (CALB2/2602).
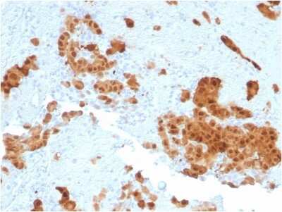
Immunohistochemistry-Paraffin: Calretinin Antibody (CALB2/2602) [NBP3-08323] - Formalin-fixed, paraffin-embedded human Testicular Carcinoma stained with Calretinin Mouse Monoclonal Antibody (CALB2/2602).
Protein Array: Calretinin Antibody (CALB2/2602) [NBP3-08323] - Analysis of Protein Array containing more than 19,000 full-length human proteins using Calretinin Mouse Monoclonal Antibody (CALB2/2602).

Product Details

Summary
Reactivity HuSpecies Glossary
Applications WB, IHC, MA
Clone
CALB2/2602
Clonality
Monoclonal
Host
Mouse
Conjugate
Unconjugated
Format
Azide and BSA Free
Concentration
1 mg/ml

Order Details

Calretinin Antibody (CALB2/2602) - Azide and BSA Free Summary

Description
1.0 mg/ml of antibody purified from rabbit anti-serum by Protein A. Prepared in 10mM PBS WITHOUT BSA. Also available at 200 ug/ml WITH BSA & azide (NBP3-07365).

Antibody with azide - store at 2 to 8C. Antibody without azide - store at -20 to -80C.
Immunogen
Recombinant human Calretinin protein fragment (around aa23-242) (exact sequence is proprietary) (Uniprot: P22676)
Localization
Cytoplasmic and Nuclear
Marker
Mesothelioma Marker
Specificity
It recognizes a protein of about 29kDa, which is identified as Calretinin (also known as Calbindin 2). Calretinin is a vitamin D-dependent calcium-binding protein involved in calcium signaling. It is present in subsets of neurons throughout the brain and spinal chord, including sensory ganglia. Antibody to calretinin is useful in differentiating mesothelioma from adenocarcinomas of the lung. It also aids in differentiating adrenal cortical neoplasms from pheochromocytomas.
Isotype
IgG1 Kappa
Clonality
Monoclonal
Host
Mouse
Gene
CALB2
Purity
Protein A purified
Innovator's Reward
Test in a species/application not listed above to receive a full credit towards a future purchase.

Applications/Dilutions

Dilutions
  • Immunohistochemistry-Paraffin 1-2 ug/ml
  • Protein Array
  • Western Blot 1-2 ug/ml
Application Notes
Immunohistochemistry Formalin-fixed: 1-2ug/ml for 30 minutes at RT. Staining of formalin-fixed tissues requires heating tissue sections in 10mM Tris with 1mM EDTA, pH 9.0, for 45 min at 95C followed by cooling at RT for 20 minutes.
Theoretical MW
29 kDa.
Disclaimer note: The observed molecular weight of the protein may vary from the listed predicted molecular weight due to post translational modifications, post translation cleavages, relative charges, and other experimental factors.

Packaging, Storage & Formulations

Storage
Store at -20 to -80C. Avoid freeze-thaw cycles.
Buffer
10 mM PBS
Preservative
No Preservative
Concentration
1 mg/ml
Purity
Protein A purified

Alternate Names for Calretinin Antibody (CALB2/2602) - Azide and BSA Free

  • 29 kDa calbindin
  • CAB29
  • CAL2
  • CALB2
  • calbindin 2
  • calbindin 2, (29kD, calretinin)
  • calbindin 2, 29kDa (calretinin)
  • calbindin D29K
  • Calretinin
  • CR

Background

Calretinin (CAB29, calbindin 2) is a calcium binding protein that belongs to calbindin family. It is mainly found in neuronal tissue, high expressed in auditory neurons. It has been implicated in as a calcium buffer, calcium sensor, and as a regulator of apoptosis (1). Calretinin is considered as a specific marker of mesothelllal cells; it is the only marker that has the utility in distinguishing between sarcomatoid mesotheliomas and sarcomatoid renal cell carcinomas (2). It is widely used in the panel of makers for distinguishing mesothlioma from adenocarcinoma. Along with calretinin, the panel includes E-cadherin, CEA, and cytokeratin 5/6 (3).

Limitations

This product is for research use only and is not approved for use in humans or in clinical diagnosis. Primary Antibodies are guaranteed for 1 year from date of receipt.

Customers Who Viewed This Item Also Viewed...

H00003347-M01
Species: Hu
Applications: ELISA, ICC/IF, S-ELISA, WB
NBP1-83299
Species: Hu, Mu
Applications: IHC,  IHC-P, WB
NB100-524
Species: Hu, Mu
Applications: Flow-IC, Flow, ICC/IF, IHC, IHC-Fr,  IHC-P, IP, WB
NBP2-79843
Species: Hu
Applications: CyTOF-ready, ELISA, Flow, ICC/IF, IHC,  IHC-P, PA, WB
7268-CT
Species: Hu
Applications: BA
NBP2-50028
Species: Bv, Hu, Mu, Rt
Applications: ICC/IF, IHC-FrFl, IHC,  IHC-P, WB
NB120-11427
Species: Fe, Hu, Mu, Rt
Applications: ELISA, ICC/IF, IHC-FrFl, IHC, IHC-Fr,  IHC-P, IP, WB
NBP2-44520
Species: Ca(-), Hu, Rt(-)
Applications: Flow-IC, Flow, ICC/IF, IF, IHC,  IHC-P, MI, WB
NBP2-62693
Species: Hu
Applications: IHC,  IHC-P
NB600-534
Species: Hu, Mu, Po, V-Vi
Applications: ELISA, Flow, ICC/IF, IHC, IHC-Fr,  IHC-P, In vitro, In vivo, RIA, WB
MAB1455
Species: Hu
Applications: CyTOF-ready, Dual ISH-IHC, ICC, IHC, ICFlow, Simple Western, WB
NBP1-87581
Species: Hu
Applications: IHC,  IHC-P, WB
AF3846
Species: Hu, Mu, Rt
Applications: IHC, WB
H00347527-P01
Species: Hu
Applications: ELISA, AP, PA, WB
MAB6495
Species: Hu
Applications: ICC, Simple Western, WB
AF3398
Species: Hu, Mu, Rt
Applications: ICC, KO, Simple Western, WB
MAB1417
Species: Bv, Hu, Mu
Applications: ICC, IHC
MAB1233
Species: Hu
Applications: CyTOF-ready, Flow, ICC, IP
NB300-560
Species: Av, Bv, Ma, Hu, Mu, Pm, Rt
Applications: IF, IHC, IHC-Fr,  IHC-P, WB
NBP3-08323
Species: Hu
Applications: WB, IHC, MA

Publications for Calretinin Antibody (NBP3-08323) (0)

There are no publications for Calretinin Antibody (NBP3-08323).
By submitting your publication information earn gift cards and discounts for future purchases.

Reviews for Calretinin Antibody (NBP3-08323) (0)

There are no reviews for Calretinin Antibody (NBP3-08323). By submitting a review you will receive an Amazon e-Gift Card or Novus Product Discount.
  • Review with no image -- $10/€7/£6/$10 CAD/¥70 Yuan/¥1110 Yen
  • Review with an image -- $25/€18/£15/$25 CAD/¥150 Yuan/¥2500 Yen

Product General Protocols

Find general support by application which include: protocols, troubleshooting, illustrated assays, videos and webinars.

Video Protocols

WB Video Protocol

FAQs for Calretinin Antibody (NBP3-08323) (0)

There are no specific FAQs related to this product. Read our general customer & technical service FAQs.

Secondary Antibodies

 

Isotype Controls

Additional Calretinin Products

Research Areas for Calretinin Antibody (NBP3-08323)

Find related products by research area.

Blogs on Calretinin.

Using RPE65 as a tool to investigate ocular gene therapies
While not life threatening, blindness and retinal disease are profoundly debilitating and greatly affect quality of life.  Understandably, gene therapy has been subject to controversy given it’s potential effects on the rest of our cellular ...  Read full blog post.

Customers Who Bought This Also Bought

Contact Information

Product PDFs

Calculators

Concentration Calculator

The concentration calculator allows you to quickly calculate the volume, mass or concentration of your vial. Simply enter your mass, volume, or concentration values for your reagent and the calculator will determine the rest.

=
÷

Review this Product

Be the first to review our Calretinin Antibody (CALB2/2602) - Azide and BSA Free and receive a gift card or discount.

Bioinformatics

Gene Symbol CALB2