c-Myb [p Ser11] Antibody (SZ04-81)

Images

 
Immunocytochemistry/ Immunofluorescence: c-Myb [p Ser11] Antibody (SZ04-81) [NBP2-67368] - Staining P-V-Myb+C-Myb(S11) in Ags cells (green). The nuclear counter stain is DAPI (blue). Cells were fixed in ...read more
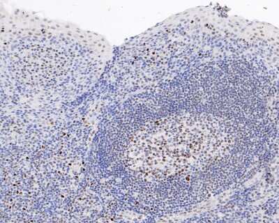
Immunohistochemistry-Paraffin: c-Myb [p Ser11] Antibody (SZ04-81) [NBP2-67368] - Immunohistochemical analysis of paraffin-embedded human tonsil tissue using anti-c-Myb antibody. The section was pre-treated using heat ...read more
Flow Cytometry: c-Myb [p Ser11] Antibody (SZ04-81) [NBP2-67368] - Analysis of MCF-7 cells with P-V-Myb+C-Myb(S11) antibody at 1/50 dilution (blue) compared with an unlabelled control (cells without incubation with ...read more

Product Details

Summary
Product Discontinued
View other related c-Myb Primary Antibodies

Order Details


    • Catalog Number
      NBP2-67368
    • Availability
      Product Discontinued

    Can't find what you are looking for? Use our Antibody Concierge Service & we will help you locate your antibody!

    Or feel free to contact us for alternative products.

c-Myb [p Ser11] Antibody (SZ04-81) Summary

Additional Information
Recombinant Monoclonal Antibody.
Immunogen
Synthetic phospho-peptide corresponding to residues surrounding Ser11 of human V-Myb+C-Myb. (SwissProt: P10242 Human)
Modification
p Ser11
Localization
Nucleus, cytosol.
Isotype
IgG
Clonality
Monoclonal
Host
Rabbit
Gene
MYB
Purity
Protein A purified
Innovator's Reward
Test in a species/application not listed above to receive a full credit towards a future purchase.

Applications/Dilutions

Dilutions
  • Flow Cytometry 1:50-1:100
  • Immunocytochemistry/ Immunofluorescence 1:50-1:200
  • Immunohistochemistry
  • Immunohistochemistry-Paraffin 1:50-1:200
  • Western Blot 1:500

Packaging, Storage & Formulations

Storage
Store at 4C short term. Aliquot and store at -20C long term. Avoid freeze-thaw cycles.
Buffer
TBS (pH7.4), 0.05% BSA, 40% Glycerol
Preservative
0.05% Sodium Azide
Concentration
1 mg/ml
Purity
Protein A purified

Alternate Names for c-Myb [p Ser11] Antibody (SZ04-81)

  • c-myb protein (140 AA)
  • Cmyb
  • c-myb
  • c-myb_CDS
  • c-myb10A_CDS
  • c-myb13A_CDS
  • c-myb14A_CDS
  • c-myb8B_CDS
  • efg
  • Proto-oncogene c-Myb
  • transcriptional activator Myb
  • v-myb avian myeloblastosis viral oncogene homolog
  • v-myb myeloblastosis viral oncogene homolog (avian)

Background

The c-Myb proto-oncogene is a 75 kDa protein involved in growth regulation and differentiation in many different cell types but it is predominantly expressed in immature hemopoietic cells where it plays an important role in cell proliferation. c-Myb activity is directly regulated by cyclin D1 and CDKs and it is believed that c-Myb activity is regulated during the cell cycle in hematopoietic cells (2). Disrupting c-myb function might, therefore, prove an effective therapeutic strategy for controlling leukemic cell growth (3). c-Myb binds to promoter sequences of genes such as c-Myc or Bcl-2 that are expressed in cutaneous T-cell lymphoma.

Limitations

This product is for research use only and is not approved for use in humans or in clinical diagnosis. Primary Antibodies are guaranteed for 1 year from date of receipt.

Customers Who Viewed This Item Also Viewed...

NB600-302
Species: Bv, Dr, Hu, Mu
Applications: ChIP, ELISA, Flow-IC, Flow, IB, ICC/IF, IHC, IHC-Fr,  IHC-P, IP, PLA, S-ELISA, Simple Western, WB
H00004605-M02
Species: Hu
Applications: ELISA, ICC/IF, S-ELISA, WB
NBP2-50037
Species: Hu, Mu, Rt
Applications: ICC/IF, IHC, KO, WB
NBP2-67471
Species: Hu, Mu, Rt
Applications: ICC/IF, IHC,  IHC-P, WB
NBP1-90171
Species: Hu, Mu
Applications: IHC,  IHC-P, WB
202-IL
Species: Hu
Applications: BA
NB200-103
Species: Hu, Mu, Rt, Xp(-), Ye
Applications: CyTOF-ready, ELISA, Flow-IC, Flow, ICC/IF, IHC, IHC-Fr,  IHC-P, IP, WB
NB100-381
Species: Hu
Applications: ChIP, IP, WB
NBP1-47492
Species: Pm, Hu
Applications: ChIP, ELISA, ICC/IF, IHC,  IHC-P, WB
NB100-56098
Species: Ca, Hu, Mu, Rt
Applications: IHC,  IHC-P, IP, WB
AF5414
Species: Hu
Applications: Simple Western, WB
NBP2-27163
Species: Bv, Ca, Eq, Hu, Mu, Pm
Applications: Flow, WB
MAB6979
Species: Hu
Applications: WB
DPSG10
Species: Hu
Applications: ELISA
3047-CC
Species: Hu
Applications: BA
NB600-232
Species: Hu, Mu
Applications: ChIP, IHC,  IHC-P, IP, WB
NBP2-42864
Species: Hu, Mu, Rt
Applications: ICC/IF, IHC,  IHC-P, IP, WB
AF1356
Species: Hu, Mu
Applications: CyTOF-ready, Dual ISH-IHC, Flow, IHC, Simple Western, WB
MEP00B
Species: Mu
Applications: ELISA
M6000B
Species: Mu
Applications: ELISA

Publications for c-Myb Antibody (NBP2-67368) (0)

There are no publications for c-Myb Antibody (NBP2-67368).
By submitting your publication information earn gift cards and discounts for future purchases.

Reviews for c-Myb Antibody (NBP2-67368) (0)

There are no reviews for c-Myb Antibody (NBP2-67368). By submitting a review you will receive an Amazon e-Gift Card or Novus Product Discount.
  • Review with no image -- $10/€7/£6/$10 CAD/¥70 Yuan/¥1110 Yen
  • Review with an image -- $25/€18/£15/$25 CAD/¥150 Yuan/¥2500 Yen

Product General Protocols

Find general support by application which include: protocols, troubleshooting, illustrated assays, videos and webinars.

Video Protocols

WB Video Protocol
ICC/IF Video Protocol

FAQs for c-Myb Antibody (NBP2-67368) (0)

There are no specific FAQs related to this product. Read our general customer & technical service FAQs.

Secondary Antibodies

 

Isotype Controls

Additional c-Myb Products

Research Areas for c-Myb Antibody (NBP2-67368)

Find related products by research area.

Blogs on c-Myb

There are no specific blogs for c-Myb, but you can read our latest blog posts.

Contact Information

Product PDFs

Calculators

Concentration Calculator

The concentration calculator allows you to quickly calculate the volume, mass or concentration of your vial. Simply enter your mass, volume, or concentration values for your reagent and the calculator will determine the rest.

=
÷

Review this Product

Be the first to review our c-Myb [p Ser11] Antibody (SZ04-81) and receive a gift card or discount.

Bioinformatics

Gene Symbol MYB