BXDC5 Antibody - BSA Free

Images

 
Immunocytochemistry/ Immunofluorescence: BXDC5 Antibody [NBP1-89915] - Staining of human cell line SK-MEL-30 shows localization to nucleoli. Antibody staining is shown in green.
Staining of human cerebral cortex shows strong positivity in nucleoli in neurons.
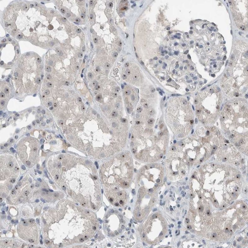
Staining of human kidney shows strong positivity in nucleoli in cells in tubules.
Staining of human rectum shows strong positivity in nucleoli in glandular cells.
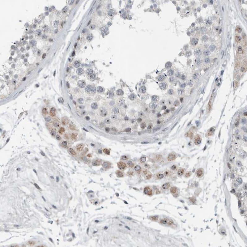
Staining of human testis shows strong positivity in nucleoli in cells in seminiferous ducts and Leydig cells.
Analysis in human cell line SK-MEL-30.

Product Details

Summary
Reactivity HuSpecies Glossary
Applications WB, ICC/IF, IHC
Clonality
Polyclonal
Host
Rabbit
Conjugate
Unconjugated
Format
BSA Free

Order Details

View Available Formulations
Catalog# & Formulation Size Price

BXDC5 Antibody - BSA Free Summary

Description
Novus Biologicals Rabbit BXDC5 Antibody - BSA Free (NBP1-89915) is a polyclonal antibody validated for use in IHC, WB and ICC/IF. All Novus Biologicals antibodies are covered by our 100% guarantee.
Immunogen
This antibody was developed against Recombinant Protein corresponding to amino acids: SGKKSLKRKAAAEELQEAAGAGDGATENGVQPPKAAAFPPGFSISEIKNKQRRHLMFTRWKQQQRKEKLAAKKKLKKEREALGDKAPPKPVPKTID
Isotype
IgG
Clonality
Polyclonal
Host
Rabbit
Gene
RPF1
Purity
Immunogen affinity purified
Innovator's Reward
Test in a species/application not listed above to receive a full credit towards a future purchase.

Applications/Dilutions

Dilutions
  • Immunocytochemistry/ Immunofluorescence 0.25-2 ug/ml
  • Immunohistochemistry 1:20 - 1:50
  • Immunohistochemistry-Paraffin 1:20 - 1:50
  • Western Blot 0.04-0.4 ug/ml
Application Notes
For IHC-Paraffin, HIER pH 6 retrieval is recommended. Immunocytochemistry/Immunofluorescence Fixation Permeabilization: Use PFA/Triton X-100.
Control Peptide
BXDC5 Protein (NBP1-89915PEP)

Packaging, Storage & Formulations

Storage
Store at 4C short term. Aliquot and store at -20C long term. Avoid freeze-thaw cycles.
Buffer
PBS (pH 7.2) and 40% Glycerol
Preservative
0.02% Sodium Azide
Purity
Immunogen affinity purified

Alternate Names for BXDC5 Antibody - BSA Free

  • 2310066N05Rik
  • BBR140
  • brix domain containing 5
  • Brix domain-containing protein 5
  • BXDC5
  • DKFZp761G0415
  • DKFZp761M0215
  • FLJ12475
  • Ribosome biogenesis protein RPF1
  • ribosome production factor 1 homolog (S. cerevisiae)
  • ribosome production factor 1
  • RNA processing factor 1 (RPF1)
  • RP11-118B23.1

Limitations

This product is for research use only and is not approved for use in humans or in clinical diagnosis. Primary Antibodies are guaranteed for 1 year from date of receipt.

Customers Who Viewed This Item Also Viewed...

NBP1-90031
Species: Hu
Applications: ICC/IF, IHC,  IHC-P
NBP1-52038
Species: Hu
Applications: PEP-ELISA, WB
AF7388
Species: Hu
Applications: IHC
NBP2-19784
Species: Hu, Mu, Rt, Ye
Applications: ICC/IF, IHC,  IHC-P, IP, PLA, WB
NBP2-38323
Species: Hu
Applications: ICC/IF, IHC,  IHC-P, WB
NBP1-80835
Species: Hu
Applications: ICC/IF, IHC,  IHC-P, WB
H00023327-P01
Species: Hu
Applications: ELISA, AP, PA, WB
NBP1-31302
Species: Hu, Mu, Rt
Applications: ICC/IF, IHC,  IHC-P, KO, WB
NLS1878
Species: Ba, Hu, Mu, Rt
Applications: EM, Flow, ICC/IF, IHC, IHC-Fr,  IHC-P, WB
NBP2-55073
Species: Hu
Applications: ICC/IF, WB
NBP2-27163
Species: Bv, Ca, Eq, Hu, Mu, Pm
Applications: Flow, WB
NBP2-46214
Species: Hu, Mu, Rt
Applications: IHC,  IHC-P, WB
NBP1-91708
Species: Hu, Mu, Rt
Applications: ICC/IF, IHC,  IHC-P, WB
NBP2-67503
Species: Hu, Mu, Rt
Applications: Flow, ICC/IF, IHC,  IHC-P, IP, WB
H00006047-A01
Species: Hu
Applications: ELISA, IP, WB
NB200-598
Species: Hu, Mu, Pm(-), Ye
Applications: ChIP, CyTOF-ready, ELISA, Flow-IC, Flow, ICC/IF, IP, WB
H00092856-P01
Species: Hu
Applications: ELISA, AP, PA, WB
NBP1-89915
Species: Hu
Applications: WB, ICC/IF, IHC

Publications for BXDC5 Antibody (NBP1-89915) (0)

There are no publications for BXDC5 Antibody (NBP1-89915).
By submitting your publication information earn gift cards and discounts for future purchases.

Reviews for BXDC5 Antibody (NBP1-89915) (0)

There are no reviews for BXDC5 Antibody (NBP1-89915). By submitting a review you will receive an Amazon e-Gift Card or Novus Product Discount.
  • Review with no image -- $10/€7/£6/$10 CAD/¥70 Yuan/¥1110 Yen
  • Review with an image -- $25/€18/£15/$25 CAD/¥150 Yuan/¥2500 Yen

Product General Protocols

Find general support by application which include: protocols, troubleshooting, illustrated assays, videos and webinars.

Video Protocols

WB Video Protocol
ICC/IF Video Protocol

FAQs for BXDC5 Antibody (NBP1-89915) (0)

There are no specific FAQs related to this product. Read our general customer & technical service FAQs.

Customers Who Bought This Also Bought

Contact Information

Product PDFs

Calculators

Concentration Calculator

The concentration calculator allows you to quickly calculate the volume, mass or concentration of your vial. Simply enter your mass, volume, or concentration values for your reagent and the calculator will determine the rest.

=
÷

Review this Product

Be the first to review our BXDC5 Antibody - BSA Free and receive a gift card or discount.

Bioinformatics

Gene Symbol RPF1