BRCA2 Antibody (BRCA2/2158) - Azide and BSA Free

Images

 
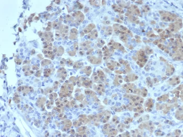
Immunohistochemistry-Paraffin: BRCA2 Antibody (BRCA2/2158) - Azide and BSA Free [NBP3-24027] - Formalin-fixed, paraffin-embedded human salivary gland stained with BRCA2 Antibody (BRCA2/2158). HIER: Tris/EDTA, pH9.0, ...read more

Product Details

Summary
Reactivity HuSpecies Glossary
Applications IHC
Clone
BRCA2/2158
Clonality
Monoclonal
Host
Mouse
Conjugate
Unconjugated
Format
Azide and BSA Free
Concentration
1 mg/ml

Order Details

BRCA2 Antibody (BRCA2/2158) - Azide and BSA Free Summary

Description
Antibody without azide - store at -20 to -80C.
Immunogen
Recombinant fragment (around aa 200-500) of human BRCA2 protein (exact sequence is proprietary)
Localization
Nucleus. Cytoplasm.
Marker
Breast Marker
Isotype
IgG1 Kappa
Clonality
Monoclonal
Host
Mouse
Gene
BRCA2
Purity
Protein A or G purified
Innovator's Reward
Test in a species/application not listed above to receive a full credit towards a future purchase.

Applications/Dilutions

Dilutions
  • Immunohistochemistry-Paraffin 1-2ug/ml
Application Notes
Immunohistochemistry-Paraffin: 1-2ug/ml for 30 minutes at RT. Staining of formalin-fixed tissues requires heating tissue sections in 10mM Tris with 1mM EDTA, pH 9.0, for 45 min at 95C followed by cooling at RT for 20 minutes. Optimal dilution for a specific application should be determined.

Packaging, Storage & Formulations

Storage
Store at -20 to -80C. Avoid freeze-thaw cycles.
Buffer
10mM PBS
Preservative
No Preservative
Concentration
1 mg/ml
Purity
Protein A or G purified

Alternate Names for BRCA2 Antibody (BRCA2/2158) - Azide and BSA Free

  • BRCA1/BRCA2-containing complex, subunit 2
  • BRCA2
  • BRCC2
  • breast and ovarian cancer susceptibility gene, early onset
  • breast cancer 2 tumor suppressor
  • breast cancer 2, early onset
  • breast cancer susceptibility protein BRCA2
  • breast cancer type 2 susceptibility protein
  • BROVCA2
  • FACD
  • FAD
  • FAD1
  • FANCB
  • FANCD
  • FANCD1Fanconi anemia, complementation group D1
  • Fanconi anemia group D1 protein
  • GLM3
  • PNCA2

Background

BRCA 2 is localized to chromosome 13q12 - q13. Loss of heterozygosity of 13q is observed in 25% of sporadic breast tumors, which indicates that BRCA 2 might be a tumor suppressor gene. BRCA 2 confers only a low ovarian cancer risk. Reportedly, in MCF-10F (normal breast epithelial cell line) and MCF-7 (breast cancer cell line) cells the expression of BRCA 2 RNA lowers in G0 and early G1 phases then gets up-regulated at the G1 / S phase junction.

Limitations

This product is for research use only and is not approved for use in humans or in clinical diagnosis. Primary Antibodies are guaranteed for 1 year from date of receipt.

Customers Who Viewed This Item Also Viewed...

NB100-404
Species: Hu
Applications: ChIP, ICC/IF, IHC,  IHC-P, IP, KD, KO, WB
NB200-103
Species: Hu, Mu, Rt, Xp(-), Ye
Applications: CyTOF-ready, ELISA, Flow-IC, Flow, ICC/IF, IHC, IHC-Fr,  IHC-P, IP, WB
NB100-74510
Species: Hu, Mu, Pm, Rt
Applications: ELISA, ICC/IF, IHC,  IHC-P, IP, WB
H00342184-M07
Species: Hu
Applications: ELISA, ICC/IF, WB
NB100-148
Species: Ch, Hu, Mu, Rt
Applications: ChIP, ICC/IF, IHC, IHC-Fr,  IHC-P, IP, In vitro, KD, PLA, WB
NBP2-13075
Species: Ba, Hu, Pm, Mu, Rt
Applications: DB, ELISA, IB, ICC/IF, IHC-FrFl, IHC, IHC-Fr,  IHC-P, IP, WB
NBP1-31302
Species: Hu, Mu, Rt
Applications: ICC/IF, IHC,  IHC-P, KO, WB
NBP2-27335
Species: Hu, Mu, Rt(-)
Applications: CyTOF-ready, Flow, ICC/IF, WB
NBP2-16684
Species: Hu, Mu, Rt
Applications: EM, IHC,  IHC-P, WB
NB100-56503
Species: Dr, Hu, Mu, Rb, Rt
Applications: Flow-CS, Flow-IC, Flow, IB, ICC/IF, IHC,  IHC-P, Simple Western, WB
NB100-74513
Species: Hu, Mu, Pm, Rt
Applications: ELISA, ICC/IF, IHC,  IHC-P, IP, WB
NBP2-92892
Species: Hu, Mu, Rt
Applications: ICC/IF, WB
NBP2-71688
Species: Ca, Hu, Mu, Rt
Applications: CyTOF-ready, Flow, ICC/IF, IHC,  IHC-P, IP, WB
NB100-309
Species: Hu, Pm, Mu, Rt
Applications: ChIP, ELISA, Flow, ICC/IF, IHC,  IHC-P, IP, KD, PAGE, Single-Cell Western, WB
NBP2-92672
Species: Hu, Mu, Rt
Applications: ICC/IF, WB
1129-ER
Species: Hu
Applications: BA
NB300-560
Species: Av, Bv, Ma, Hu, Mu, Pm, Rt
Applications: IF, IHC, IHC-Fr,  IHC-P, WB
NBP1-81838
Species: Hu, Mu
Applications: IHC,  IHC-P, WB
NBP3-16735
Species: Hu, Mu, Rt
Applications: ELISA, ICC/IF, IHC,  IHC-P, WB
NBP1-31883
Species: Hu, Mu
Applications: ICC/IF, IHC,  IHC-P, PLA, Simple Western, WB

Publications for BRCA2 Antibody (NBP3-24027) (0)

There are no publications for BRCA2 Antibody (NBP3-24027).
By submitting your publication information earn gift cards and discounts for future purchases.

Reviews for BRCA2 Antibody (NBP3-24027) (0)

There are no reviews for BRCA2 Antibody (NBP3-24027). By submitting a review you will receive an Amazon e-Gift Card or Novus Product Discount.
  • Review with no image -- $10/€7/£6/$10 CAD/¥70 Yuan/¥1110 Yen
  • Review with an image -- $25/€18/£15/$25 CAD/¥150 Yuan/¥2500 Yen

Product General Protocols

Find general support by application which include: protocols, troubleshooting, illustrated assays, videos and webinars.

FAQs for BRCA2 Antibody (NBP3-24027) (0)

There are no specific FAQs related to this product. Read our general customer & technical service FAQs.

Secondary Antibodies

 

Isotype Controls

Additional BRCA2 Products

Research Areas for BRCA2 Antibody (NBP3-24027)

Find related products by research area.

Blogs on BRCA2.

FANCD2 and DNA damage repair
Fanconi anemia (FA) is a genetically inherited disorder that yields cytogenetic instability, hypersensitivity to DNA crosslinking compounds and defective DNA repair. A variety of genes have been identified within the FA pathway that are referred t...  Read full blog post.

Breast Cancer Infographic
Breast cancer is caused by malignant cells developing in breast tissue. It is the most commonly diagnosed cancer in women, but advancements in treatment options have seen the death rate decline since the 1990s. Common warning signs of breast cancer in...  Read full blog post.

RAD51: The cell's 'Mr. Fix-it'
RAD51 is a recombinase protein encoded by RAD51 gene in humans. Human RAD51 family members are highly similar to bacterial RecA and yeast Rad51, both biochemically and structurally. It is a 339-amino acid protein that plays an important role in homolo...  Read full blog post.

Breast Cancer and RAD51L1 Antibodies
In the United States, breast cancer is one of the most common cancers and the second leading cause of cancer related deaths in women. According to the American Cancer Society's most recent estimates for breast cancer in the United States, there are ab...  Read full blog post.

Determining DMC1's role in Homologus Recombination
The DMC1 gene encodes a 36.7 kDa nuclear protein involved in meiotic homologous recombination. This recombinase is functionally related to the yeast RAD51 and E. coli RecA genes. In contrast to RAD51, which functions in both mitotic and meiotic recomb...  Read full blog post.

Rad51 Antibody Reveals a Canine Model for Human Breast Cancer
Our antibody catalog includes an extensive range of Rad51 antibody reagents. Encoded by the RAD51 gene, the Rad51 protein plays a vital role in DNA repair, interacting with several other proteins, including BRCA1 and BRCA2, to effect homologous recomb...  Read full blog post.

Industrial Chemicals, Tumour Suppressor Genes and the Need for More Research
Human cancer research is the largest research area in our antibody database, with new oncogenes and cell lines being added all the time.Cancer triggers come from many sources, with a worrying amount of evidence to suggest that chemicals we’re in con...  Read full blog post.

Fanconi Antibodies and Cancer Research
We at Novus Biologicals have an extensive antibody databasedevoted to the 13 Fanconi anaemia complementation (FANC) genes, which are involved in the recognition and repair of damaged DNA.The core complex of 8 proteins (FANCA, B, C, E, F, G, L and M)...  Read full blog post.

Customers Who Bought This Also Bought

Contact Information

Product PDFs

Calculators

Concentration Calculator

The concentration calculator allows you to quickly calculate the volume, mass or concentration of your vial. Simply enter your mass, volume, or concentration values for your reagent and the calculator will determine the rest.

=
÷

Review this Product

Be the first to review our BRCA2 Antibody (BRCA2/2158) - Azide and BSA Free and receive a gift card or discount.

Bioinformatics

Gene Symbol BRCA2