Bombesin Receptor Activated Protein Antibody - BSA Free

Images

 
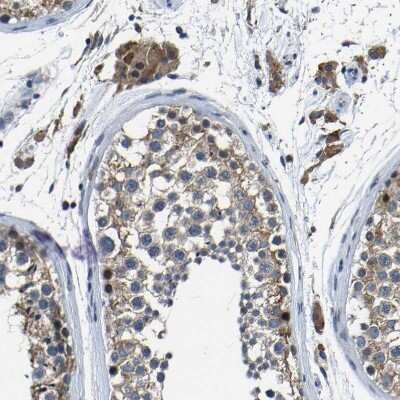
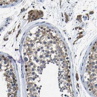
Immunohistochemistry-Paraffin: Bombesin Receptor Activated Protein Antibody [NBP1-93921] - Staining of human testis shows moderate granular cytoplasmic positivity in Leydig cells and seminiferous ducts.
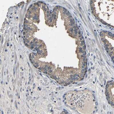
Immunohistochemistry-Paraffin: Bombesin Receptor Activated Protein Antibody [NBP1-93921] - Staining of human prostate shows weak cytoplasmic positivity in glandular cells.
Immunohistochemistry-Paraffin: Bombesin Receptor Activated Protein Antibody [NBP1-93921] - Staining of human rectum shows moderate granular cytoplasmic positivity in goblet cells.
Immunohistochemistry-Paraffin: Bombesin Receptor Activated Protein Antibody [NBP1-93921] - Staining of human skeletal muscle shows no positivity in myocytes as expected.

Product Details

Summary
Reactivity HuSpecies Glossary
Applications IHC, Mycoplasma
Clonality
Polyclonal
Host
Rabbit
Conjugate
Unconjugated
Format
BSA Free

Order Details

View Available Formulations
Catalog# & Formulation Size Price

Bombesin Receptor Activated Protein Antibody - BSA Free Summary

Description
Novus Biologicals Rabbit Bombesin Receptor Activated Protein Antibody - BSA Free (NBP1-93921) is a polyclonal antibody validated for use in IHC. All Novus Biologicals antibodies are covered by our 100% guarantee.
Immunogen
This antibody was developed against Recombinant Protein corresponding to amino acids: QPFSPLAPEPVLSGAHTWRSLIHHIRLMSLPIAKKYMSENKGVPLHGGDEDRPFPDFDPWWTNDCEQNESEPIPANCTGCAQKHLKVMLLEDAPRKFERLHPLVIKTGKPLLEEEIQHFLCQYPEATEGFSEGFFAKWWRCFPERWF
Isotype
IgG
Clonality
Polyclonal
Host
Rabbit
Gene
C6orf89
Purity
Affinity purified
Innovator's Reward
Test in a species/application not listed above to receive a full credit towards a future purchase.

Applications/Dilutions

Dilutions
  • Immunohistochemistry 1:20 - 1:50
  • Immunohistochemistry-Paraffin 1:20 - 1:50
  • Knockdown Validated
Application Notes
For IHC-Paraffin, HIER pH 6 retrieval is recommended. Immunocytochemistry/Immunofluorescence Fixation Permeabilization: Use PFA/Triton X-100.
Control Peptide
Bombesin Receptor Activated Protein Recombinant Protein Antigen (NBP1-93921PEP)

Packaging, Storage & Formulations

Storage
Store at 4C short term. Aliquot and store at -20C long term. Avoid freeze-thaw cycles.
Buffer
PBS (pH 7.2) and 40% Glycerol
Preservative
0.02% Sodium Azide
Purity
Affinity purified

Alternate Names for Bombesin Receptor Activated Protein Antibody - BSA Free

  • C6orf89
  • chromosome 6 open reading frame 89
  • MGC126062
  • UNQ177/PRO203

Limitations

This product is for research use only and is not approved for use in humans or in clinical diagnosis. Primary Antibodies are guaranteed for 1 year from date of receipt.

Customers Who Viewed This Item Also Viewed...

NB100-404
Species: Hu
Applications: ChIP, ICC/IF, IHC,  IHC-P, IP, KD, KO, WB
MAB2476
Species: Hu
Applications: IHC, WB
NB200-103
Species: Hu, Mu, Rt, Xp(-), Ye
Applications: CyTOF-ready, ELISA, Flow-IC, Flow, ICC/IF, IHC, IHC-Fr,  IHC-P, IP, WB
NBP2-92672
Species: Hu, Mu, Rt
Applications: ICC/IF, WB
NBP3-32512
Species: Hu, Mu, Rt
Applications: Flow, IHC,  IHC-P, WB
MAB4540
Species: Hu, Mu, Rt
Applications: IHC, Simple Western, WB
NBP2-71688
Species: Ca, Hu, Mu, Rt
Applications: CyTOF-ready, Flow, ICC/IF, IHC,  IHC-P, IP, WB
AF231
Species: Hu
Applications: CyTOF-ready, Dual ISH-IHC, ELISA(Cap), ELISA(Det), ELISA(Sta), Flow, ICC, IHC, IP, Simple Western, WB
NBP2-29463
Species: Pm, Hu, Pm, Mu
Applications: Flow, ICC/IF, IHC,  IHC-P, WB
NBP2-27335
Species: Hu, Mu, Rt(-)
Applications: CyTOF-ready, Flow, ICC/IF, WB
AF347
Species: Hu
Applications: IHC, Neut, WB
NB100-304
Species: Bt, Bv, Ca, Fi, Gt, Hu, Mu, Pm, Rt
Applications: ChIP, ChIP, Flow-IC, Flow, IB, ICC/IF, IHC, IHC-Fr,  IHC-P, IP, ISH, KD, KO, WB
1129-ER
Species: Hu
Applications: BA
NB300-560
Species: Av, Bv, Ma, Hu, Mu, Pm, Rt
Applications: IF, IHC, IHC-Fr,  IHC-P, WB
NBP1-83107
Species: Hu
Applications: ICC/IF, IHC,  IHC-P, WB
DVE00
Species: Hu
Applications: ELISA
NB100-74513
Species: Hu, Mu, Pm, Rt
Applications: ELISA, ICC/IF, IHC,  IHC-P, IP, WB
NBP1-80610
Species: Hu, Mu, Rt
Applications: ICC/IF, IHC,  IHC-P, WB

Publications for Bombesin Receptor Activated Protein Antibody (NBP1-93921) (0)

There are no publications for Bombesin Receptor Activated Protein Antibody (NBP1-93921).
By submitting your publication information earn gift cards and discounts for future purchases.

Reviews for Bombesin Receptor Activated Protein Antibody (NBP1-93921) (0)

There are no reviews for Bombesin Receptor Activated Protein Antibody (NBP1-93921). By submitting a review you will receive an Amazon e-Gift Card or Novus Product Discount.
  • Review with no image -- $10/€7/£6/$10 CAD/¥70 Yuan/¥1110 Yen
  • Review with an image -- $25/€18/£15/$25 CAD/¥150 Yuan/¥2500 Yen

Product General Protocols

Find general support by application which include: protocols, troubleshooting, illustrated assays, videos and webinars.

FAQs for Bombesin Receptor Activated Protein Antibody (NBP1-93921) (0)

There are no specific FAQs related to this product. Read our general customer & technical service FAQs.

Secondary Antibodies

 

Isotype Controls

Additional Bombesin Receptor Activated Protein Products

Blogs on Bombesin Receptor Activated Protein

There are no specific blogs for Bombesin Receptor Activated Protein, but you can read our latest blog posts.

Customers Who Bought This Also Bought

Contact Information

Product PDFs

Calculators

Concentration Calculator

The concentration calculator allows you to quickly calculate the volume, mass or concentration of your vial. Simply enter your mass, volume, or concentration values for your reagent and the calculator will determine the rest.

=
÷

Review this Product

Be the first to review our Bombesin Receptor Activated Protein Antibody - BSA Free and receive a gift card or discount.

Bioinformatics

Gene Symbol C6orf89