BMP-4 Antibody

Images

 
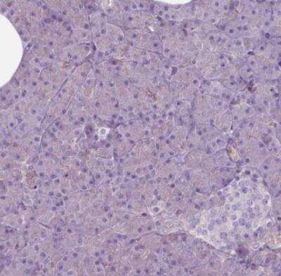
Immunohistochemistry-Paraffin: BMP-4 Antibody [NBP2-49477] - Staining of human pancreas shows no cytoplasmic positivity in exocrine glandular cells as expected.
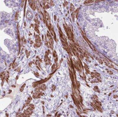
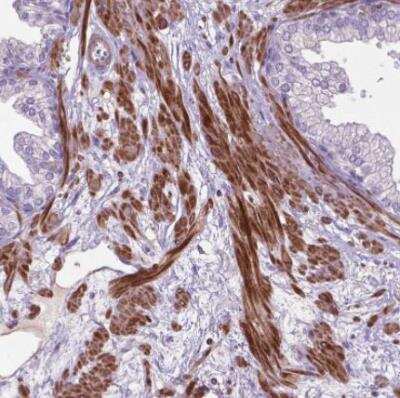
Immunohistochemistry-Paraffin: BMP-4 Antibody [NBP2-49477] - Staining of human prostate shows strong cytoplasmic postivity in smooth muscle cells.
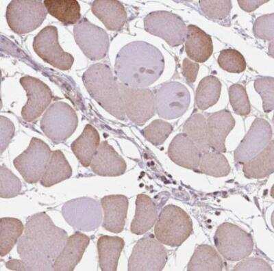
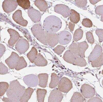
Immunohistochemistry-Paraffin: BMP-4 Antibody [NBP2-49477] - Staining of human skeletal muscle shows moderate ctyoplasmic positivity in myocytes.
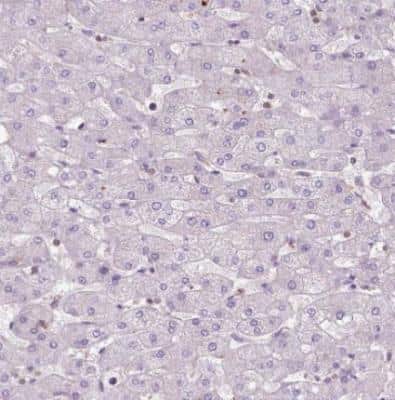
Immunohistochemistry-Paraffin: BMP-4 Antibody [NBP2-49477] - Staining of human liver shows no cytoplasmic positivity in hepatocytes as expected.

Product Details

Summary
Product Discontinued
View other related BMP-4 Primary Antibodies

Order Details


    • Catalog Number
      NBP2-49477
    • Availability
      Product Discontinued

    Can't find what you are looking for? Use our Antibody Concierge Service & we will help you locate your antibody!

    Or feel free to contact us for alternative products.

BMP-4 Antibody Summary

Immunogen
This antibody was developed against a recombinant protein corresponding to amino acids: KVAEIQGHAGGRRSGQSHELLRDFEATLLQMFGLRRRPQPSKSAVIPDYMRDLYRLQSGEEEEEQIHSTGLEYPELP
Predicted Species
Mouse (94%), Rat (94%). Backed by our 100% Guarantee.
Isotype
IgG
Clonality
Polyclonal
Host
Rabbit
Gene
BMP4
Purity
Immunogen affinity purified
Innovator's Reward
Test in a species/application not listed above to receive a full credit towards a future purchase.

Applications/Dilutions

Dilutions
  • Immunohistochemistry 1:200 - 1:500
  • Immunohistochemistry-Paraffin 1:200 - 1:500
Application Notes
For IHC-Paraffin, HIER pH 6 retrieval is recommended.
Publications
Read Publication using
NBP2-49477 in the following applications:

Packaging, Storage & Formulations

Storage
Store at 4C short term. Aliquot and store at -20C long term. Avoid freeze-thaw cycles.
Buffer
PBS (pH 7.2) and 40% Glycerol
Preservative
0.02% Sodium Azide
Purity
Immunogen affinity purified

Alternate Names for BMP-4 Antibody

  • BMP2B
  • BMP-2B
  • BMP2B1
  • BMP2BMCOPS6
  • BMP4
  • BMP-4
  • Bone morphogenetic protein 2B
  • bone morphogenetic protein 4
  • DVR4
  • MCOPS6
  • OFC11
  • ZYME

Background

Bone morphogenetic proteins were originally identified by an ability of demineralized bone extract to induce endochondral osteogenesis in vivo in an extraskeletal site. Through molecular cloning, 7 BMP cDNAs, designated BMP1 through BMP7, have been recovered. BMP2 through BMP7, are members of the transforming growth factor-beta superfamily of regulatory molecules. Transcript variants utilizing alternative promoters and alternative non-coding first exons have been described in the literature.

Limitations

This product is for research use only and is not approved for use in humans or in clinical diagnosis. Primary Antibodies are guaranteed for 1 year from date of receipt.

Customers Who Viewed This Item Also Viewed...

355-BM
Species: Hu, Mu, Rt
Applications: BA
354-BP
Species: Hu
Applications: BA
6057-NG
Species: Hu
Applications: BA
355-BM
Species: Hu, Mu, Rt
Applications: BA
507-BP
Species: Hu
Applications: BA
AF2039
Species: Hu
Applications: IHC, Simple Western, WB
NBP1-85533
Species: Hu
Applications: ICC/IF, IHC,  IHC-P, WB
423-F8
Species: Hu, Mu
Applications: BA
AF5045
Species: Hu, Mu
Applications: IHC, WB
233-FB
Species: Hu
Applications: BA
DVE00
Species: Hu
Applications: ELISA
758-CN/CF
Species: Mu
Applications: BA
354-BP
Species: Hu
Applications: BA
MAB1419
Species: Hu, Rt
Applications: CyTOF-ready, ICC, IHC, ICFlow
345-FG
Species: Hu
Applications: BA
AF956
Species: Hu, Mu
Applications: Block, IHC
AF811
Species: Hu
Applications: CyTOF-ready, Flow, IHC
AF1230
Species: Hu, Mu, Rt
Applications: IHC, KO, WB
NBP2-49477
Species: Hu, Mu, Rt
Applications: IHC

Publications for BMP-4 Antibody (NBP2-49477)(1)

We have publications tested in 1 confirmed species: Human.

We have publications tested in 1 application: IF/IHC.


Filter By Application
IF/IHC
(1)
All Applications
Filter By Species
Human
(1)
All Species
Showing Publication 1 - 1 of 1.
Publication using NBP2-49477 Applications Species
Calniceanu H, Cimpean AM, Raica M et al. RUNX2, BMP4 AND SPARC EXPRESSION IN BONE REGENERATION FOLLOWING BONE SUBSTITUTES BASED SINUS AUGMENTATION HAVE IMPACT ON DENTAL IMPLANTS FAILURE resclinmed.eu 2020-01-01 (IF/IHC, Human) IF/IHC Human

Reviews for BMP-4 Antibody (NBP2-49477) (0)

There are no reviews for BMP-4 Antibody (NBP2-49477). By submitting a review you will receive an Amazon e-Gift Card or Novus Product Discount.
  • Review with no image -- $10/€7/£6/$10 CAD/¥70 Yuan/¥1110 Yen
  • Review with an image -- $25/€18/£15/$25 CAD/¥150 Yuan/¥2500 Yen

Product General Protocols

Find general support by application which include: protocols, troubleshooting, illustrated assays, videos and webinars.

FAQs for BMP-4 Antibody (NBP2-49477) (0)

There are no specific FAQs related to this product. Read our general customer & technical service FAQs.

Contact Information

Product PDFs

Calculators

Concentration Calculator

The concentration calculator allows you to quickly calculate the volume, mass or concentration of your vial. Simply enter your mass, volume, or concentration values for your reagent and the calculator will determine the rest.

=
÷

Review this Product

Be the first to review our BMP-4 Antibody and receive a gift card or discount.

Bioinformatics

Gene Symbol BMP4