Bcl-10 Antibody

Images

 
Genetic Strategies: Western Blot: Bcl-10 Antibody [NBP2-15554] - Wild-type (WT) and BCL10 knockout (KO) HeLa cell extracts (30 ug) were separated by 12% SDS-PAGE, and the membrane was blotted with BCL10 antibody. ...read more
Immunocytochemistry/ Immunofluorescence: Bcl10 Antibody [NBP2-15554] - BCL10 antibody detects BCL10 protein at cytoplasm by immunofluorescent analysis. Sample: HeLa cells were fixed in 2% paraformaldehyde/culture medium ...read more
Immunohistochemistry-Paraffin: Bcl10 Antibody [NBP2-15554] - Immunohistochemical analysis of paraffin-embedded Gastric ca, using antibody at 1:500 dilution.
Western Blot: Bcl10 Antibody [NBP2-15554] - BCL10 antibody detects BCL10 protein by Western blot analysis. A. 30 ug Neuro2A whole cell lysate/extract B. 30 ug GL261 whole cell lysate/extract C. 30 ug C8D30 whole cell ...read more
Immunoprecipitation: Bcl-10 Antibody [NBP2-15554] - IP samples: Raji whole cell extract A. 40 ug Raji whole cell extract B. Control with 4 ug of preimmune Rabbit IgG C. Immunoprecipitation of BCL10 protein by 4 ug BCL10 ...read more
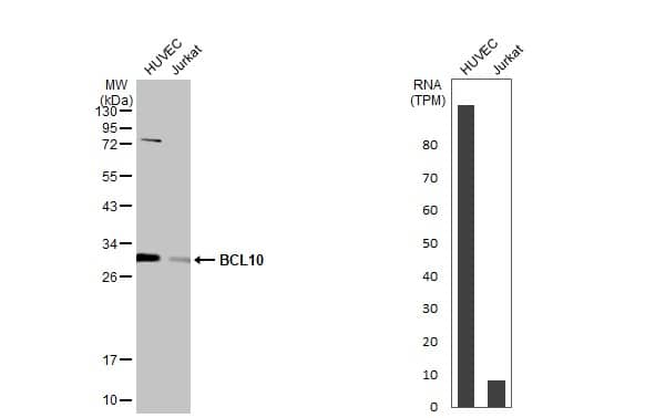
Various whole cell extracts (30 ug) were separated by 12% SDS-PAGE, and the membrane was blotted with BCL10 antibody (NBP2-15554) diluted at 1:1000. The HRP-conjugated anti-rabbit IgG antibody was used to detect the ...read more
Various whole cell extracts (30 ug) were separated by 12% SDS-PAGE, and the membrane was blotted with BCL10 antibody (NBP2-15554) diluted at 1:1000. The HRP-conjugated anti-rabbit IgG antibody was used to detect the ...read more

Product Details

Summary
Reactivity Hu, Mu, Rt, Po, Bv, RMSpecies Glossary
Applications WB, ICC/IF, IHC, IP, KO
Clonality
Polyclonal
Host
Rabbit
Conjugate
Unconjugated
Validated by:
     

Genetic Strategies

   

Order Details

Bcl-10 Antibody Summary

Description
Novus Biologicals Knockout (KO) Validated Rabbit Bcl-10 Antibody (NBP2-15554) is a polyclonal antibody validated for use in IHC, WB, ICC/IF and IP. All Novus Biologicals antibodies are covered by our 100% guarantee.
Immunogen
Recombinant protein encompassing a sequence within the center region of human Bcl-10. The exact sequence is proprietary.
Localization
Cytoplasm; perinuclear region
Predicted Species
Rat (92%), Porcine (92%), Bovine (95%), Rhesus Macaque (99%). Backed by our 100% Guarantee.
Isotype
IgG
Clonality
Polyclonal
Host
Rabbit
Gene
BCL10
Purity
Antigen Affinity-purified
Innovator's Reward
Test in a species/application not listed above to receive a full credit towards a future purchase.

Applications/Dilutions

Dilutions
  • Immunocytochemistry/ Immunofluorescence 1:100-1:1000
  • Immunohistochemistry 1:100-1:1000
  • Immunohistochemistry-Paraffin 1:100-1:1000
  • Immunoprecipitation 1:100-1:500
  • Knockout Validated
  • Western Blot 1:500-1:3000
Theoretical MW
26 kDa.
Disclaimer note: The observed molecular weight of the protein may vary from the listed predicted molecular weight due to post translational modifications, post translation cleavages, relative charges, and other experimental factors.

Packaging, Storage & Formulations

Storage
Aliquot and store at -20C or -80C. Avoid freeze-thaw cycles.
Buffer
PBS, 1% BSA, 20% Glycerol
Preservative
0.01% Thimerosal
Purity
Antigen Affinity-purified

Alternate Names for Bcl-10 Antibody

  • B-cell CLL/lymphoma 10CIPERCLAPB-cell lymphoma/leukemia 10
  • Bcl10
  • Bcl-10
  • CARD-containing apoptotic signaling protein
  • CARD-containing molecule enhancing NF-kappa-B
  • CARD-containing proapoptotic protein
  • CARD-like apoptotic protein
  • CARMEN
  • caspase-recruiting domain-containing protein
  • cCARMEN
  • c-E10
  • c-E10bcl-10
  • CED-3/ICH-1 prodomain homologous E10-like regulator
  • Cellular homolog of vCARMEN
  • cellular-E10
  • CIPER
  • CLAP
  • hCLAP
  • Mammalian CARD-containing adapter molecule E10
  • mE10
  • mE10CARD containing molecule enhancing NF-kB

Background

This gene was identified by its translocation in a case of mucosa-associated lymphoid tissue (MALT) lymphoma. The protein encoded by this gene contains a caspase recruitment domain (CARD), and has been shown to induce apoptosis and to activate NF-kappaB. This protein is reported to interact with other CARD domain containing proteins including CARD9, 10, 11 and 14, which are thought to function as upstream regulators in NF-kappaB signaling. This protein is found to form a complex with MALT1, a protein encoded by another gene known to be translocated in MALT lymphoma. MALT1 and this protein are thought to synergize in the activation of NF-kappaB, and the deregulation of either of them may contribute to the same pathogenetic process that leads to the malignancy. [provided by RefSeq]

Limitations

This product is for research use only and is not approved for use in humans or in clinical diagnosis. Primary Antibodies are guaranteed for 1 year from date of receipt.

Customers Who Viewed This Item Also Viewed...

NB100-56583
Species: Hu, Rb, Rt
Applications: Flow, IHC,  IHC-P, KO, Simple Western, WB
NB100-56158
Species: Hu
Applications: IHC,  IHC-P, IP, WB
NBP3-16849
Species: Hu, Mu, Rt
Applications: ELISA, ICC/IF, IHC,  IHC-P, WB
NBP1-52105
Species: Hu, Rt
Applications: Flow, IHC,  IHC-P, PEP-ELISA, WB
NBP1-33736
Species: Hu, Mu, Rt
Applications: ICC/IF, IHC,  IHC-P, IP, WB
NBP3-46613
Species: Hu, Mu, Rt, Ze
Applications: ELISA, ICC/IF, IHC, WB
NBP2-13754
Species: Hu, Mu, Rt
Applications: ICC/IF, IHC,  IHC-P, WB
202-IL
Species: Hu
Applications: BA
NBP1-33042
Species: Hu, Mu
Applications: ICC/IF, IHC, IHC-Fr,  IHC-P, WB
NBP2-15554
Species: Hu, Mu
Applications: ICC/IF, IHC,  IHC-P, IP, KO, WB
MAB208
Species: Hu
Applications: CyTOF-ready, ELISA(Cap), ELISA(Det), ELISA(Sta), ICC, ICFlow, Neut, Simple Western, WB
AF8171
Species: Hu
Applications: IHC, Simple Western, WB
NBP2-26506
Species: Hu, Mu, Rt
Applications: B/N, In vitro
NB100-56566
Species: Bv, Hu, Ma, Mu, Po, Rt
Applications: B/N, ChIP, CyTOF-ready, DB, Dual ISH-IHC, ELISA(Cap), ELISA, Flow-CS, Flow-IC, Flow, ICC/IF, IHC, IHC-Fr,  IHC-P, In vitro, KD, KO, PAGE, Simple Western, WB
NBP2-00594
Species: Hu, Mu, Rt
Applications: Flow, IHC,  IHC-P, WB
NBP2-26504
Species: Hu, Mu, Rt
Applications: B/N, Func-Inh, In vitro, In vivo
NB100-2176
Species: Hu, Mu, Rt
Applications: ChIP, ICC/IF, IHC,  IHC-P, IP, WB
NB100-56173
Species: Hu
Applications: Flow, ICC/IF, IHC,  IHC-P, IP, WB
AF3235
Species: Hu, Mu, Rt
Applications: IHC, WB
⚠ WARNING: This product can expose you to chemicals including mercury, which is known to the State of California to cause reproductive toxicity with developmental effects.  For more information go to www.P65Warnings.ca.gov.

Publications for Bcl-10 Antibody (NBP2-15554) (0)

There are no publications for Bcl-10 Antibody (NBP2-15554).
By submitting your publication information earn gift cards and discounts for future purchases.

Reviews for Bcl-10 Antibody (NBP2-15554) (0)

There are no reviews for Bcl-10 Antibody (NBP2-15554). By submitting a review you will receive an Amazon e-Gift Card or Novus Product Discount.
  • Review with no image -- $10/€7/£6/$10 CAD/¥70 Yuan/¥1110 Yen
  • Review with an image -- $25/€18/£15/$25 CAD/¥150 Yuan/¥2500 Yen

Product General Protocols

Find general support by application which include: protocols, troubleshooting, illustrated assays, videos and webinars.

Video Protocols

WB Video Protocol
ICC/IF Video Protocol

FAQs for Bcl-10 Antibody (NBP2-15554) (0)

There are no specific FAQs related to this product. Read our general customer & technical service FAQs.

Secondary Antibodies

 

Isotype Controls

Additional Bcl-10 Products

Research Areas for Bcl-10 Antibody (NBP2-15554)

Find related products by research area.

Blogs on Bcl-10

There are no specific blogs for Bcl-10, but you can read our latest blog posts.

Customers Who Bought This Also Bought

Contact Information

Product PDFs

Calculators

Concentration Calculator

The concentration calculator allows you to quickly calculate the volume, mass or concentration of your vial. Simply enter your mass, volume, or concentration values for your reagent and the calculator will determine the rest.

=
÷

Review this Product

Be the first to review our Bcl-10 Antibody and receive a gift card or discount.

Bioinformatics

Gene Symbol BCL10
Uniprot