BAI2 Antibody - BSA Free

Images

 
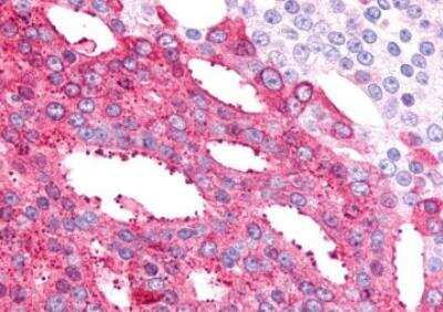
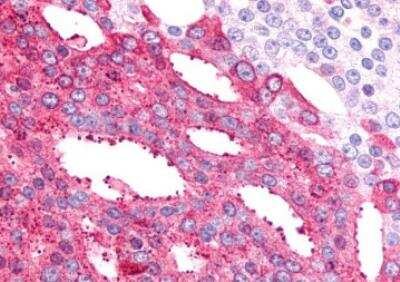
Immunohistochemistry-Paraffin: BAI2 Antibody [NLS981] - Human Prostate, Carcinoma. Immunohistochemistry of formalin-fixed, paraffin-embedded tissue after heat-induced antigen retrieval.
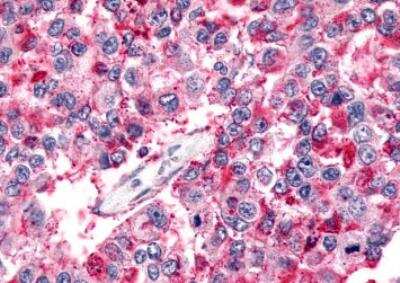
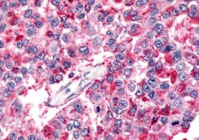
Immunohistochemistry-Paraffin: BAI2 Antibody [NLS981] - Analysis of anti-BAI2 antibody with human brain, glioblastoma.
Immunohistochemistry-Paraffin: BAI2 Antibody [NLS981] - Staining of human brain, neurons and glia using this antibody at 14 ug/ml.
Immunohistochemistry-Paraffin: BAI2 Antibody [NLS981] - Human Lung, Non-Small Cell Carcinoma. Immunohistochemistry of formalin-fixed, paraffin-embedded tissue after heat-induced antigen retrieval.

Product Details

Summary
Reactivity Hu, Pm, Pm-Or, PmSpecies Glossary
Applications WB, IHC
Clonality
Polyclonal
Host
Rabbit
Conjugate
Unconjugated
Format
BSA Free
Concentration
1.0 mg/ml

Order Details

BAI2 Antibody - BSA Free Summary

Description
Product can be stored undiluted at 4C for up to 1 month.
Immunogen
Synthetic 19 amino acid peptide from N-terminal extracellular domain of human BAI2.
Epitope
N-Terminus extracellular domain
Specificity
Human BAI2. BLAST analysis of the peptide immunogen showed no homology with other human proteins.
Predicted Species
Primate (100%), Monkey (95%), Orangutan (95%). Backed by our 100% Guarantee.
Isotype
IgG
Clonality
Polyclonal
Host
Rabbit
Gene
ADGRB2
Purity
Immunogen affinity purified
Innovator's Reward
Test in a species/application not listed above to receive a full credit towards a future purchase.

Applications/Dilutions

Dilutions
  • Immunohistochemistry
  • Immunohistochemistry-Paraffin 14 - 21 ug/ml
  • Western Blot
Application Notes
.

Reactivity Notes

Predicted cross-reactivity based on sequence identity: Gorilla (100%), Marmoset (100%), Hamster (89%), Porcine (89%), Gibbon (84%), Mouse (84%), Rat (84%), Canine (84%).

Packaging, Storage & Formulations

Storage
Keep as concentrated solution. Aliquot and store at -20C or below. Avoid multiple freeze-thaw cycles.
Buffer
PBS
Preservative
0.1% Sodium Azide
Concentration
1.0 mg/ml
Purity
Immunogen affinity purified

Alternate Names for BAI2 Antibody - BSA Free

  • BAI2
  • brain-specific angiogenesis inhibitor 2
  • Brain-specific angiongenesis inhibitor-2

Background

BAI2 is an Orphan-B GPCR with an unknown ligand. Decreased BAI2 expression is correlated with the formation of new blood vessels in a murine ischemic model. Along with BAI2, there are two other brain-specific angiogenesis inhibitor genes, designated BAI1 and BAI3, which have similar tissue specificities and structures. Alternative splice forms of BAI2 are differentially regulated during development. BAI2 expression has been reported primarily in the brain, but is also identified in heart, skeletal muscle, thymus, ovary, and testis. ESTs have been isolated from B-cell/lung/testis, bone, brain, fetus, heart, melanocyte/uterus/fetal heart, nerve, pineal, and placenta libraries.

Limitations

This product is for research use only and is not approved for use in humans or in clinical diagnosis. Primary Antibodies are guaranteed for 1 year from date of receipt.

Customers Who Viewed This Item Also Viewed...

NB110-81586
Species: Hu, Mu
Applications: ICC/IF, IHC,  IHC-P, WB
DVE00
Species: Hu
Applications: ELISA
MAB39651
Species: Hu
Applications: CyTOF-ready, Flow
H00030851-M01
Species: Hu
Applications: ELISA, S-ELISA, Simple Western, WB
NB200-103
Species: Hu, Mu, Rt, Xp(-), Ye
Applications: CyTOF-ready, ELISA, Flow-IC, Flow, ICC/IF, IHC, IHC-Fr,  IHC-P, IP, WB
NLS418
Species: Hu
Applications: IHC,  IHC-P
NBP1-89766
Species: Hu, Mu, Rt
Applications: ICC/IF, IHC,  IHC-P, WB
NB400-114
Species: Ch, Fe, Ha, Hu, Mu, Pl, Po, Pm, Rt
Applications: ICC/IF, IHC,  IHC-P, IP, KD, WB
NB100-1903
Species: Ca, Ha, Hu, Mu, Po, Pm, Rt
Applications: B/N, Flow, ICC/IF, IHC,  IHC-P, IP, WB
NLS2756
Species: Hu, Pm
Applications: ICC, IHC,  IHC-P
NBP1-86422
Species: Hu, Mu
Applications: IHC,  IHC-P
AF3145
Species: Hu
Applications: WB
MAB194
Species: Hu, Mu
Applications: CyTOF-ready, Flow, ICC, WB
NB100-105
Species: Bv, Ca, Fe, Ma, Hu, Pm, Mu, Po, Pm, Rb, Rt, Sh, Xp
Applications: ChIP, ChIP, ELISA, Flow, GS, IA, IB, ICC/IF, IHC-FrFl, IHC, IHC-Fr,  IHC-P, IP, In vitro, KD, KO, LA, PLA, Simple Western, TCS, WB
DY1177-05
Species: Hu
Applications: ELISA
NBP2-45966
Species: Hu, Mu, Rt
Applications: IHC,  IHC-P, WB

Publications for BAI2 Antibody (NLS981) (0)

There are no publications for BAI2 Antibody (NLS981).
By submitting your publication information earn gift cards and discounts for future purchases.

Reviews for BAI2 Antibody (NLS981) (0)

There are no reviews for BAI2 Antibody (NLS981). By submitting a review you will receive an Amazon e-Gift Card or Novus Product Discount.
  • Review with no image -- $10/€7/£6/$10 CAD/¥70 Yuan/¥1110 Yen
  • Review with an image -- $25/€18/£15/$25 CAD/¥150 Yuan/¥2500 Yen

Product General Protocols

View specific protocols for BAI2 Antibody (NLS981): Find general support by application which include: protocols, troubleshooting, illustrated assays, videos and webinars.

Video Protocols

WB Video Protocol

FAQs for BAI2 Antibody (NLS981) (0)

There are no specific FAQs related to this product. Read our general customer & technical service FAQs.

Secondary Antibodies

 

Isotype Controls

Additional BAI2 Products

Research Areas for BAI2 Antibody (NLS981)

Find related products by research area.

Blogs on BAI2

There are no specific blogs for BAI2, but you can read our latest blog posts.

Customers Who Bought This Also Bought

Contact Information

Product PDFs

Calculators

Concentration Calculator

The concentration calculator allows you to quickly calculate the volume, mass or concentration of your vial. Simply enter your mass, volume, or concentration values for your reagent and the calculator will determine the rest.

=
÷

Review this Product

Be the first to review our BAI2 Antibody - BSA Free and receive a gift card or discount.

Bioinformatics

Gene Symbol ADGRB2
Entrez
Uniprot