BAF180/PB1 Antibody (CL0331) - Azide and BSA Free

Images

 
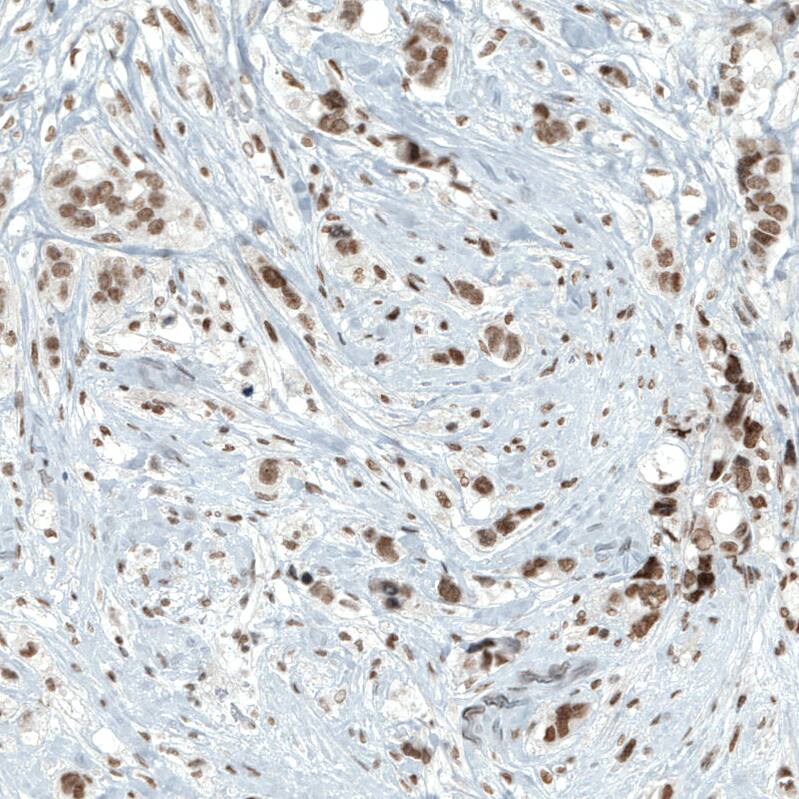
Staining of human breast cancer shows moderate to strong nuclear positivity in tumor cells.
Orthogonal Strategies: Analysis in human endometrium and skeletal muscle tissues using NBP3-43955 antibody. Corresponding BAF180/PB1 RNA-seq data are presented for the same tissues.
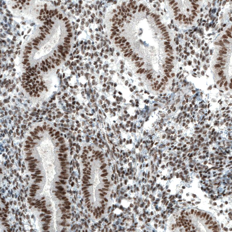
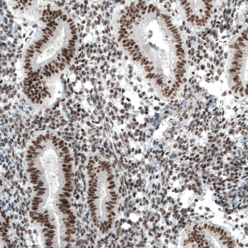
Staining of human endometrium shows strong nuclear positivity in glandular and stromal cells.
Staining of human kidney cancer shows moderate to strong nuclear positivity in tumor cells.
Staining of human skeletal muscle shows no nuclear positivity in striated muscle fibers as expected.
Genetic Strategies: Analysis in RT-4 cells transfected with control siRNA, target specific siRNA probe #1, using Anti-BAF180/PB1 antibody. Remaining relative intensity is presented. Loading control: Anti-GAPDH.

Product Details

Summary
Reactivity HuSpecies Glossary
Applications WB, IHC
Clone
CL0331
Clonality
Monoclonal
Host
Mouse
Conjugate
Unconjugated
Format
Azide and BSA Free
Concentration
LYOPH

Order Details

BAF180/PB1 Antibody (CL0331) - Azide and BSA Free Summary

Description
Novus Biologicals Mouse BAF180/PB1 Antibody (CL0331) - Azide and BSA Free (NBP2-30673) is a monoclonal antibody validated for use in IHC and WB. All Novus Biologicals antibodies are covered by our 100% guarantee.
Immunogen
This antibody was generated using a recombinant protein sequence of Q86U86, with the exact immunogen sequence remaining proprietary.
Isotype
IgG1
Clonality
Monoclonal
Host
Mouse
Gene
PBRM1
Purity
Protein A purified
Innovator's Reward
Test in a species/application not listed above to receive a full credit towards a future purchase.

Applications/Dilutions

Dilutions
  • Immunohistochemistry-Paraffin 1:20 - 1:50
  • Western Blot 1 ug/ml
Application Notes
For IHC-Paraffin, HIER pH 6 retrieval is recommended.

Packaging, Storage & Formulations

Storage
Store at 4C short term. Aliquot and store at -20C long term. Avoid freeze-thaw cycles.
Buffer
Lyophilized from a 0.2 um filtered solution in PBS with Trehalose
Preservative
No Preservative
Concentration
LYOPH
Purity
Protein A purified
Reconstitution Instructions
Centrifuge the vial of lyophilized antibody at 12,000 x g for 20 seconds. Reconstitute by adding sterile, distilled water to achieve a final antibody concentration of 1mg/ml.

Alternate Names for BAF180/PB1 Antibody (CL0331) - Azide and BSA Free

  • BAF180
  • BAF180/PB1
  • BAF180PB1BRG1-associated factor 180
  • hPB1
  • MGC156155
  • MGC156156
  • PB1
  • PBRM1
  • polybromo 1
  • Polybromo-1D
  • protein polybromo-1

Background

The SMARCs (SWI/SNF-related, matrix-associated, actin-dependent regulators of chromatin), and BAFs (BRG1-associated factors), have been identified as components of the mammalian SWI/SNF-like chromatin-remodeling protein complexes. These multi-protein complexes are proposed to function as ATP-driven motors that translocate along DNA and destabilize nucleosomal structures to facilitate transcription factor binding. PB1/BAF180 is a component of the SWI/SNF-B (PBAF) complex. It contains six bromodomains which are defined by a 110 amino-acid module that interacts with acetylated lysine and is found in many chromatin binding proteins and histone acetyltransferases. PB1/BAF180 has been proposed to function as a tumor suppressor protein. Recently, PB1/BAF180 has been found to play a role in mediating cell cycle arrest in response to DNA damage via the regulation of the tumor suppressor p21. Alternate names for PB1/BAF180 include protein polybromo-1, polybromo-1D, BRG1-associated factor 180, hPB1, and PBRM1.

Limitations

This product is for research use only and is not approved for use in humans or in clinical diagnosis. Primary Antibodies are guaranteed for 1 year from date of receipt.

Customers Who Viewed This Item Also Viewed...

H00005555-P01
Species: Hu
Applications: ELISA, AP, PA, PAGE, WB
NBP2-01763
Species: Hu, Mu, Rt
Applications: Flow, IHC,  IHC-P, WB
NBP2-46518
Species: Hu
Applications: IHC,  IHC-P, WB
NBP3-46899
Species: Hu
Applications: ELISA, ICC/IF, WB
H00002038-M01
Species: Hu
Applications: ELISA, ICC/IF, WB
AF1638
Species: Hu, Mu, Rt
Applications: ICC, Simple Western, WB
H00003845-M01
Species: Hu, Mu
Applications: ELISA, ICC/IF, IP, WB
NBP1-83180
Species: Hu
Applications: ICC/IF, IHC,  IHC-P, WB
AF3790
Species: Hu, Mu
Applications: ICC, Simple Western, WB
137-PS
Species: Hu
Applications: BA
H00008878-M01
Species: Bv, Ha, Hu, Mu, Rb, Rt
Applications: ELISA, ICC/IF, IHC, IHC-Fr,  IHC-P, IP, WB
NBP2-61879
Species: Hu, Mu
Applications: ELISA, Flow, IHC,  IHC-P, WB
AF5415
Species: Hu
Applications: ICC, IHC, Simple Western, WB
NBP2-47602
Species: Hu
Applications: ICC/IF, IHC,  IHC-P
NBP1-87466
Species: Hu, Mu, Rt
Applications: ICC/IF, IHC-FrFl, IHC, IHC-Fr,  IHC-P, WB
NBP2-57100
Species: Hu
Applications: ICC/IF
AF5738
Species: Hu
Applications: ICC, KO, WB
AF3398
Species: Hu, Mu, Rt
Applications: ICC, KO, Simple Western, WB
NBP1-89654
Species: Hu
Applications: IHC,  IHC-P, WB
NBP3-43955
Species: Hu
Applications: WB, IHC

Publications for BAF180/PB1 Antibody (NBP3-43955) (0)

There are no publications for BAF180/PB1 Antibody (NBP3-43955).
By submitting your publication information earn gift cards and discounts for future purchases.

Reviews for BAF180/PB1 Antibody (NBP3-43955) (0)

There are no reviews for BAF180/PB1 Antibody (NBP3-43955). By submitting a review you will receive an Amazon e-Gift Card or Novus Product Discount.
  • Review with no image -- $10/€7/£6/$10 CAD/¥70 Yuan/¥1110 Yen
  • Review with an image -- $25/€18/£15/$25 CAD/¥150 Yuan/¥2500 Yen

Product General Protocols

Find general support by application which include: protocols, troubleshooting, illustrated assays, videos and webinars.

Video Protocols

WB Video Protocol

FAQs for BAF180/PB1 Antibody (NBP3-43955) (0)

There are no specific FAQs related to this product. Read our general customer & technical service FAQs.

Secondary Antibodies

 

Isotype Controls

Additional BAF180/PB1 Products

Research Areas for BAF180/PB1 Antibody (NBP3-43955)

Find related products by research area.

Blogs on BAF180/PB1

There are no specific blogs for BAF180/PB1, but you can read our latest blog posts.

Customers Who Bought This Also Bought

Contact Information

Product PDFs

Calculators

Concentration Calculator

The concentration calculator allows you to quickly calculate the volume, mass or concentration of your vial. Simply enter your mass, volume, or concentration values for your reagent and the calculator will determine the rest.

=
÷

Review this Product

Be the first to review our BAF180/PB1 Antibody (CL0331) - Azide and BSA Free and receive a gift card or discount.

Bioinformatics

Gene Symbol PBRM1