ATP5J Antibody (HL2934)

Images

 
Various tissue extracts (50 ug) were separated by 15% SDS-PAGE, and the membrane was blotted with ATP5J antibody [HL2934] (NBP3-48753) diluted at 1:1000. The HRP-conjugated anti-rabbit IgG antibody was used to detect ...read more
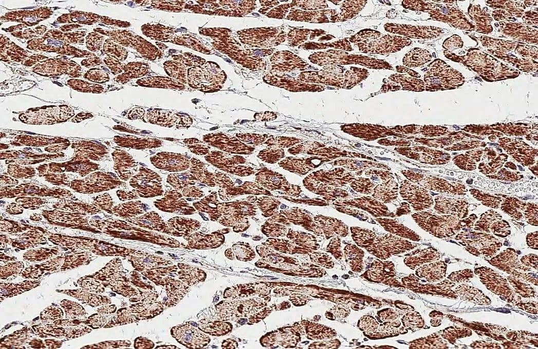
ATP5J antibody [HL2934] detects ATP5J protein by immunohistochemical analysis.Sample: Paraffin-embedded human heart.ATP5J stained by ATP5J antibody [HL2934] (NBP3-48753) diluted at 1:200.Antigen Retrieval: ...read more
ATP5J antibody [HL2934] detects ATP5J protein by immunohistochemical analysis.Sample: Paraffin-embedded human glioblastoma.ATP5J stained by ATP5J antibody [HL2934] (NBP3-48753) diluted at 1:100.Antigen Retrieval: ...read more
Various whole cell extracts (30 ug) were separated by 15% SDS-PAGE, and the membrane was blotted with ATP5J antibody [HL2934] (NBP3-48753) diluted at 1:1000. The HRP-conjugated anti-rabbit IgG antibody was used to ...read more

Product Details

Summary
Reactivity Hu, Mu, RtSpecies Glossary
Applications WB, IHC
Clone
HL2934
Clonality
Monoclonal
Host
Rabbit
Conjugate
Unconjugated

Order Details

ATP5J Antibody (HL2934) Summary

Description
Novus Biologicals Rabbit ATP5J Antibody (HL2934) (NBP3-48753) is a recombinant monoclonal antibody validated for use in IHC and WB. All Novus Biologicals antibodies are covered by our 100% guarantee.
Additional Information
Recombinant Monoclonal Antibody
Immunogen
Full length human ATP5J recombinant protein.
Isotype
IgG
Clonality
Monoclonal
Host
Rabbit
Gene
ATP5J
Purity
Protein A purified
Innovator's Reward
Test in a species/application not listed above to receive a full credit towards a future purchase.

Applications/Dilutions

Dilutions
  • Immunohistochemistry
  • Immunohistochemistry-Paraffin
  • Western Blot 1:500-1:3000

Packaging, Storage & Formulations

Storage
Store at 4C short term. Aliquot and store at -20C long term. Avoid freeze-thaw cycles.
Buffer
PBS
Preservative
No Preservative
Purity
Protein A purified

Alternate Names for ATP5J Antibody (HL2934)

  • ATP synthase, H+ transporting, mitochondrial F0 complex, subunit F6
  • ATP synthase, H+ transporting, mitochondrial Fo complex, subunit F6
  • ATP5
  • ATP5A
  • ATPase subunit F6
  • ATPM
  • coupling factor 6
  • F6
  • mitochondrial ATP synthase, coupling factor 6
  • mitochondrial ATP synthase, subunit F6
  • mitochondrial ATPase coupling factor 6
  • mitochondrial
  • proliferation-inducing protein 36

Background

Mitochondrial ATP synthase catalyzes ATP synthesis, utilizing an electrochemical gradient of protons across the inner membrane during oxidative phosphorylation. It is composed of two linked multi-subunit complexes: the soluble catalytic core, F1, and the membrane-spanning component, F0, which comprises the proton channel. The F1 complex consists of 5 different subunits (alpha, beta, gamma, delta, and epsilon) assembled in a ratio of 3 alpha, 3 beta, and a single representative of the other 3. The F0 seems to have nine subunits (a, b, c, d, e, f, g, F6 and 8). This gene encodes the F6 subunit of the F0 complex, required for F1 and F0 interactions. Alternatively spliced transcript variants encoding different isoforms have been identified for this gene.

Limitations

This product is for research use only and is not approved for use in humans or in clinical diagnosis. Primary Antibodies are guaranteed for 1 year from date of receipt.

Customers Who Viewed This Item Also Viewed...

NBP3-25459
Species: Hu, Rt
Applications: WB
AF904
Species: Hu, Mu, Rt
Applications: IHC, Neut, Simple Western, WB
NBP1-58268
Species: Hu, Mu
Applications: IHC,  IHC-P, WB
H00008458-M06
Species: Hu, Mu, Rt
Applications: ELISA, ICC/IF, WB
NBP2-92921
Species: Hu, Mu, Rt
Applications: ICC/IF, IHC,  IHC-P, WB
AF2338
Species: Hu
Applications: ICC, IP, WB
NBP1-82473
Species: Hu
Applications: IHC,  IHC-P
NB100-91761
Species: Hu, Mu, Rt
Applications: ELISA, ICC/IF, IHC,  IHC-P, WB
NBP3-12581
Species: Hu
Applications: IHC,  IHC-P, WB
211-TBB/CF
Species: Hu
Applications: BA
NBP1-33581
Species: Hu, Mu, Rt
Applications: ELISA, ICC/IF, IHC,  IHC-P, WB
AF2685
Species: Hu
Applications: IHC, Simple Western, WB
MAB1417
Species: Bv, Hu, Mu
Applications: ICC, IHC
NB300-221
Species: Av, Bv, Ca, Ch, ChHa, Dr, Eq, Fe, Ha, Hu, Mu, Ma-Op, Po, Pm, Rb, Rt, Sh, Ze
Applications: ChIP, ICC/IF, IHC, IHC-Fr, IP, KD, Simple Western, Single-Cell Western, WB
NBP2-34294
Species: Hu, Mu, Rt
Applications: Flow, IHC,  IHC-P
NB100-56583
Species: Hu, Rb, Rt
Applications: Flow, IHC,  IHC-P, KO, Simple Western, WB
NBP1-31348
Species: Hu, Mu, Rt
Applications: ICC/IF, IHC,  IHC-P, WB
NBP3-48753
Species: Hu, Mu, Rt
Applications: WB, IHC

Publications for ATP5J Antibody (NBP3-48753) (0)

There are no publications for ATP5J Antibody (NBP3-48753).
By submitting your publication information earn gift cards and discounts for future purchases.

Reviews for ATP5J Antibody (NBP3-48753) (0)

There are no reviews for ATP5J Antibody (NBP3-48753). By submitting a review you will receive an Amazon e-Gift Card or Novus Product Discount.
  • Review with no image -- $10/€7/£6/$10 CAD/¥70 Yuan/¥1110 Yen
  • Review with an image -- $25/€18/£15/$25 CAD/¥150 Yuan/¥2500 Yen

Product General Protocols

Find general support by application which include: protocols, troubleshooting, illustrated assays, videos and webinars.

Video Protocols

WB Video Protocol

FAQs for ATP5J Antibody (NBP3-48753) (0)

There are no specific FAQs related to this product. Read our general customer & technical service FAQs.

Secondary Antibodies

 

Isotype Controls

Additional ATP5J Products

Research Areas for ATP5J Antibody (NBP3-48753)

Find related products by research area.

Blogs on ATP5J

There are no specific blogs for ATP5J, but you can read our latest blog posts.

Customers Who Bought This Also Bought

Contact Information

Product PDFs

Calculators

Concentration Calculator

The concentration calculator allows you to quickly calculate the volume, mass or concentration of your vial. Simply enter your mass, volume, or concentration values for your reagent and the calculator will determine the rest.

=
÷

Review this Product

Be the first to review our ATP5J Antibody (HL2934) and receive a gift card or discount.

Bioinformatics

Gene Symbol ATP5J