ATF3 Antibody (CL1685) - Azide and BSA Free

Images

 
Orthogonal Strategies: Analysis in human placenta and tonsil tissues using NBP3-43991 antibody. Corresponding ATF3 RNA-seq data are presented for the same tissues.
Staining of human fallopian tube shows moderate to strong nuclear positivity in glandular cells.
Staining of human placenta shows strong nuclear positivity in trophoblastic cells.
Staining of RH-30 cells using the Anti-ATF3 monoclonal antibody) .
Staining of human tonsil shows no positivity in lymphoid cells as expected.
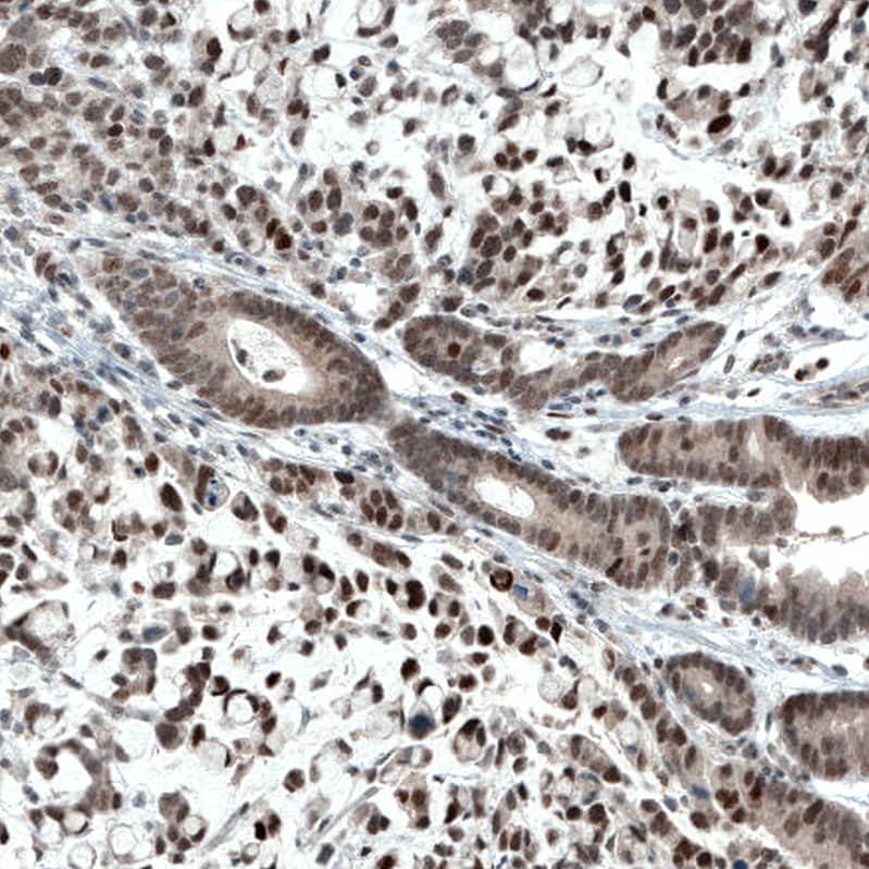
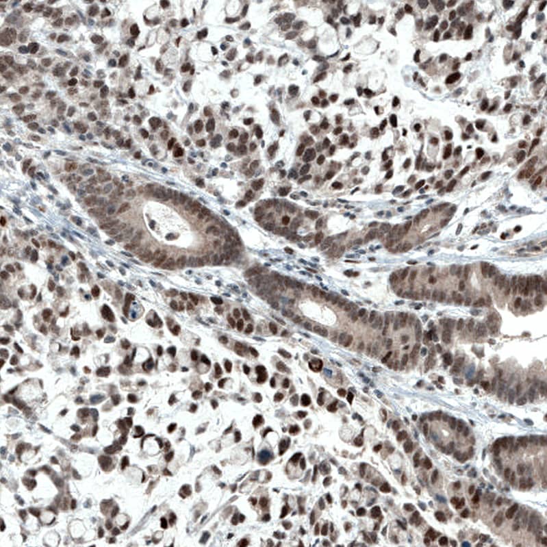
Staining of human stomach cancer shows moderate to strong nuclear positivity in tumor cells.

Product Details

Summary
Reactivity HuSpecies Glossary
Applications ICC/IF, IHC
Clone
CL1685
Clonality
Monoclonal
Host
Mouse
Conjugate
Unconjugated
Format
Azide and BSA Free
Concentration
LYOPH
Validated by:
       

Orthogonal Strategies

 

Order Details

ATF3 Antibody (CL1685) - Azide and BSA Free Summary

Description
Novus Biologicals Mouse ATF3 Antibody (CL1685) - Azide and BSA Free (NBP2-34489) is a monoclonal antibody validated for use in IHC and ICC/IF. All Novus Biologicals antibodies are covered by our 100% guarantee.
Immunogen
This antibody was generated using a recombinant protein sequence of P18847, with the exact immunogen sequence remaining proprietary.
Isotype
IgG1
Clonality
Monoclonal
Host
Mouse
Gene
ATF3
Purity
Protein A purified
Innovator's Reward
Test in a species/application not listed above to receive a full credit towards a future purchase.

Applications/Dilutions

Dilutions
  • Immunocytochemistry/ Immunofluorescence 2-10 ug/ml
  • Immunohistochemistry-Paraffin 1:20 - 1:50
Application Notes
For IHC-Paraffin, HIER pH 6 retrieval is recommended. Immunocytochemistry/ Immunofluorescence/IF Fixation/Permeabilization: PFA/Triton X-100.

Packaging, Storage & Formulations

Storage
Store at 4C short term. Aliquot and store at -20C long term. Avoid freeze-thaw cycles.
Buffer
Lyophilized from a 0.2 um filtered solution in PBS with Trehalose
Preservative
No Preservative
Concentration
LYOPH
Purity
Protein A purified
Reconstitution Instructions
Centrifuge the vial of lyophilized antibody at 12,000 x g for 20 seconds. Reconstitute by adding sterile, distilled water to achieve a final antibody concentration of 1mg/ml.

Alternate Names for ATF3 Antibody (CL1685) - Azide and BSA Free

  • activating transcription factor 3cAMP-dependent transcription factor ATF-3
  • ATF3deltaZip2
  • ATF3deltaZip2c
  • ATF3deltaZip3
  • cyclic AMP-dependent transcription factor ATF-3

Background

Activating transcription factor 3 is a member of the mammalian activation transcription factor/cAMP responsive element-binding (CREB) protein family of transcription factors. Multiple transcript variants encoding two different isoforms have been found for this gene. The longer isoform represses rather than activates transcription from promoters with ATF binding elements. The shorter isoform (deltaZip2) lacks the leucine zipper protein-dimerization motif and does not bind to DNA, and it stimulates transcription presumably by sequestering inhibitory co-factors away from the promoter. It is possible that alternative splicing of the ATF3 gene may be physiologically important in the regulation of target genes.

Limitations

This product is for research use only and is not approved for use in humans or in clinical diagnosis. Primary Antibodies are guaranteed for 1 year from date of receipt.

Customers Who Viewed This Item Also Viewed...

212-GD
Species: Hu
Applications: Bind, BA
NBP2-67471
Species: Hu, Mu, Rt
Applications: ICC/IF, IHC,  IHC-P, WB
1310-SE
Species: Hu
Applications: EnzAct
NBP2-50037
Species: Hu, Mu, Rt
Applications: ICC/IF, IHC, KO, WB
NB600-1335
Species: Hu, Mu, Pm, Rt
Applications: ChIP, ELISA, Flow, GS, ICC/IF, IHC,  IHC-P, IP, KD, Simple Western, WB
MAB17761
Species: Hu, Mu, Rt
Applications: ICC, WB
NB200-103
Species: Hu, Mu, Rt, Xp(-), Ye
Applications: CyTOF-ready, ELISA, Flow-IC, Flow, ICC/IF, IHC, IHC-Fr,  IHC-P, IP, WB
M6000B
Species: Mu
Applications: ELISA
AF2818
Species: Hu
Applications: ICC, WB
AF1230
Species: Hu, Mu, Rt
Applications: IHC, KO, WB
DYC2510-2
Species: Hu, Mu, Rt
Applications: ELISA
NB100-81798
Species: Hu, Mu, Rt
Applications: ICC/IF, IHC,  IHC-P, WB
NBP2-67766
Species: Hu, Mu, Rt
Applications: Flow, ICC/IF, IHC,  IHC-P, IP, WB
AF2214
Species: Hu
Applications: ICC, IHC, WB
NBP1-89544
Species: Hu
Applications: ChIP-EXO-SEQ, ICC/IF, IHC,  IHC-P, WB
NBP1-32822
Species: Al, Av, Hu, Mu, Pl, Rt, Ze
Applications: ChIP, Flow, ICC/IF, IHC,  IHC-P, IP, KD, Simple Western, WB
NBP3-16602
Species: Hu, Mu, Rt
Applications: IHC,  IHC-P, IP, WB
DGD150
Species: Hu
Applications: ELISA
NBP3-43991
Species: Hu
Applications: ICC/IF, IHC

Publications for ATF3 Antibody (NBP3-43991) (0)

There are no publications for ATF3 Antibody (NBP3-43991).
By submitting your publication information earn gift cards and discounts for future purchases.

Reviews for ATF3 Antibody (NBP3-43991) (0)

There are no reviews for ATF3 Antibody (NBP3-43991). By submitting a review you will receive an Amazon e-Gift Card or Novus Product Discount.
  • Review with no image -- $10/€7/£6/$10 CAD/¥70 Yuan/¥1110 Yen
  • Review with an image -- $25/€18/£15/$25 CAD/¥150 Yuan/¥2500 Yen

Product General Protocols

Find general support by application which include: protocols, troubleshooting, illustrated assays, videos and webinars.

Video Protocols

ICC/IF Video Protocol

FAQs for ATF3 Antibody (NBP3-43991) (0)

There are no specific FAQs related to this product. Read our general customer & technical service FAQs.

Secondary Antibodies

 

Isotype Controls

Additional ATF3 Products

Research Areas for ATF3 Antibody (NBP3-43991)

Find related products by research area.

Blogs on ATF3.

Chemotherapy-induced metastasis: An unexpected foe?
By Yoskaly Lazo-Fernandez, PhD IntroductionEvidence has accumulated recently indicating that common cancer therapies might stimulate metastasis in a significant number of cancer patients1. In fact, neoadjuvant che...  Read full blog post.

Multifaceted Roles of Matrix Metalloproteinase-2 (MMP2) in Normal and Disease State
MMP2 is a 72 kDa enzymatic protein and it belongs to matrix metalloproteinases (MMPs), a heterogenous family of zinc/calcium-dependent TIMPs (tissue inhibitors of matrix metalloproteinases) regulated matrix-degrading endopeptidases which are class...  Read full blog post.

Customers Who Bought This Also Bought

Contact Information

Product PDFs

Calculators

Concentration Calculator

The concentration calculator allows you to quickly calculate the volume, mass or concentration of your vial. Simply enter your mass, volume, or concentration values for your reagent and the calculator will determine the rest.

=
÷

Review this Product

Be the first to review our ATF3 Antibody (CL1685) - Azide and BSA Free and receive a gift card or discount.

Bioinformatics

Gene Symbol ATF3