Astrin Antibody (CL10078) - Azide and BSA Free

Images

 
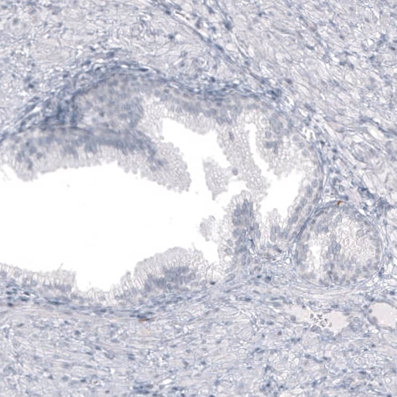
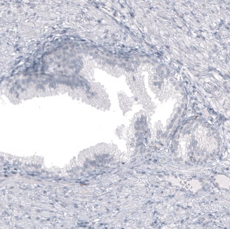
Orthogonal Strategies: Analysis in human testis and endometrium tissues using NBP3-44199 antibody. Corresponding Astrin RNA-seq data are presented for the same tissues.
Staining of human endometrium shows very weak cytoplasmic positivity in glandular cells as expected.
Staining of human prostate shows no cytoplasmic positivity in glandular cells as expected.
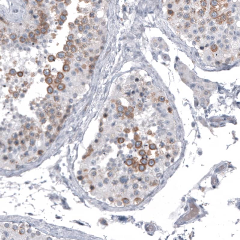
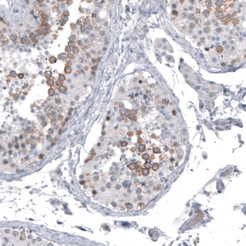
Staining of human testis shows moderate cytoplasmic positivity in cells in seminiferous ducts.
Analysis in human cell line RH-30.
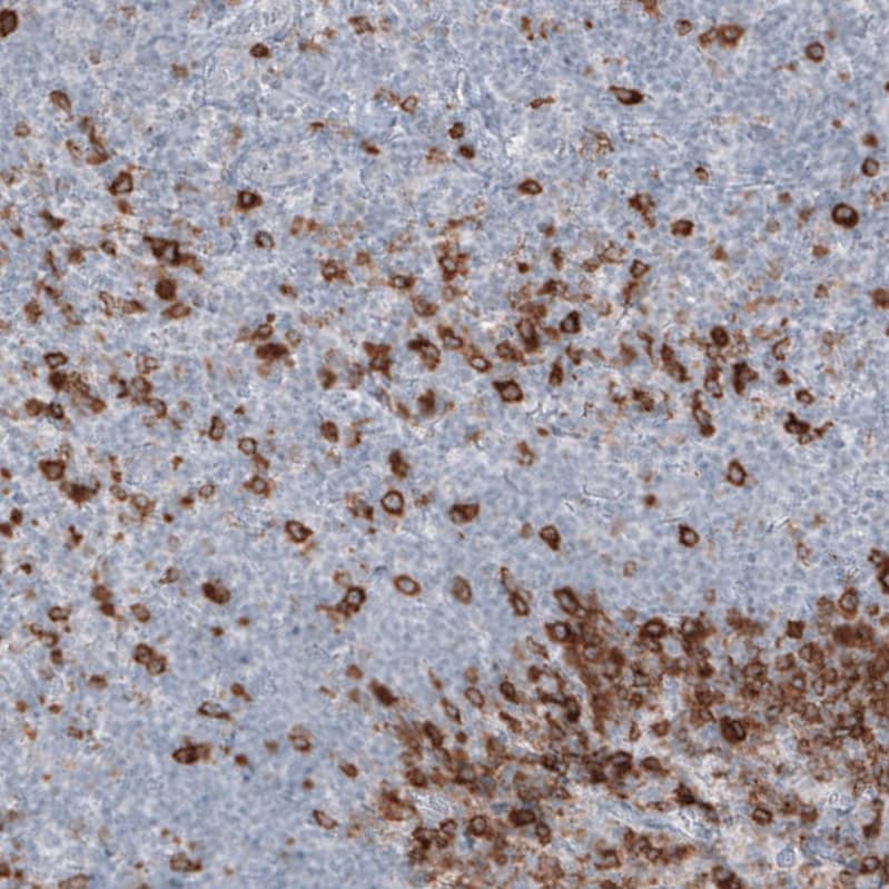
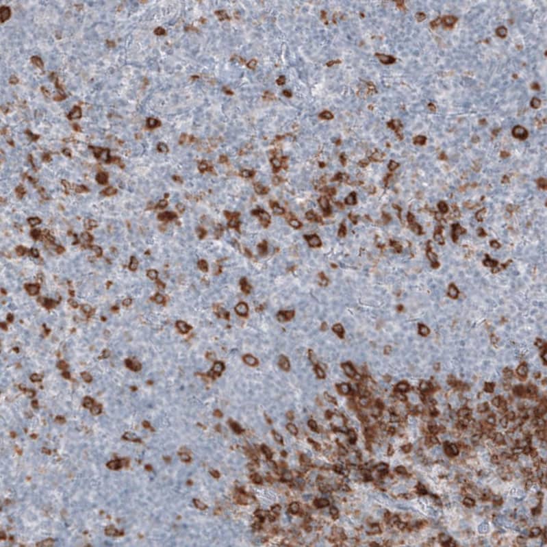
Staining of human tonsil shows strong cytoplasmic positivity in non-germinal center cells.

Product Details

Summary
Reactivity HuSpecies Glossary
Applications WB, IHC
Clone
CL10078
Clonality
Monoclonal
Host
Mouse
Conjugate
Unconjugated
Format
Azide and BSA Free
Concentration
LYOPH
Validated by:
       

Orthogonal Strategies

 

Order Details

Astrin Antibody (CL10078) - Azide and BSA Free Summary

Description
Novus Biologicals Mouse Astrin Antibody (CL10078) - Azide and BSA Free (NBP2-88942) is a monoclonal antibody validated for use in IHC and WB. All Novus Biologicals antibodies are covered by our 100% guarantee.
Immunogen
This antibody was generated using a synthetic peptide of Q96R06, with the exact immunogen sequence remaining proprietary.
Isotype
IgG1
Clonality
Monoclonal
Host
Mouse
Gene
SPAG5
Purity
Protein A purified
Innovator's Reward
Test in a species/application not listed above to receive a full credit towards a future purchase.

Applications/Dilutions

Dilutions
  • Immunohistochemistry-Paraffin 1:500 - 1:1000
  • Western Blot 1 ug/ml
Application Notes
For IHC-Paraffin, HIER pH 6 retrieval is recommended.

Packaging, Storage & Formulations

Storage
Store at 4C short term. Aliquot and store at -20C long term. Avoid freeze-thaw cycles.
Buffer
Lyophilized from a 0.2 um filtered solution in PBS with Trehalose
Preservative
No Preservative
Concentration
LYOPH
Purity
Protein A purified
Reconstitution Instructions
Centrifuge the vial of lyophilized antibody at 12,000 x g for 20 seconds. Reconstitute by adding sterile, distilled water to achieve a final antibody concentration of 1mg/ml.

Alternate Names for Astrin Antibody (CL10078) - Azide and BSA Free

  • Astrin
  • DEEPEST
  • hMAP126
  • MAP126mitotic spindle coiled-coil related protein
  • mitotic spindle associated protein p126
  • Mitotic spindle-associated protein p126
  • sperm associated antigen 5
  • sperm-associated antigen 5

Background

Astrin encodes a protein associated with the mitotic spindle apparatus. The encoded protein may be involved in the functional and dynamic regulation of mitotic spindles.

Limitations

This product is for research use only and is not approved for use in humans or in clinical diagnosis. Primary Antibodies are guaranteed for 1 year from date of receipt.

Customers Who Viewed This Item Also Viewed...

NBP3-45857
Species: Hu, Mu
Applications: ELISA, ICC/IF, IHC, WB
NBP2-13657
Species: Hu
Applications: ICC/IF, IHC,  IHC-P
NBP3-47266
Species: Hu, Mu, Rt
Applications: ELISA, IHC, WB
NBP2-03563
Species: Hu, Rt
Applications: Flow, ICC/IF, IHC,  IHC-P, WB
H00004957-M01
Species: Ce, Hu
Applications: ELISA, ICC/IF, IHC, WB
NBP1-48291
Species: Hu, Mu, Rt
Applications: Flow, IHC,  IHC-P, IP, WB
NBP2-15910
Species: Hu, Mu
Applications: ICC/IF, IHC,  IHC-P, WB
462-TEC
Species: Mu
Applications: BA
NBP2-15837
Species: Hu, Mu, Rt
Applications: ICC/IF, IHC,  IHC-P, WB
NB500-170
Species: Av, Hu, Mu, Po, Rt
Applications: Flow, IB, ICC/IF, IHC, IHC-Fr,  IHC-P, IP, KO, WB
NBP1-89663
Species: Hu
Applications: ICC/IF, IHC,  IHC-P
NBP1-94007
Species: Hu
Applications: ICC/IF, IHC,  IHC-P, Simple Western
H00009700-M01
Species: Hu, Mu
Applications: ELISA, ICC/IF, IHC,  IHC-P, WB
NB600-302
Species: Bv, Dr, Hu, Mu
Applications: ChIP, ELISA, Flow-IC, Flow, IB, ICC/IF, IHC, IHC-Fr,  IHC-P, IP, PLA, S-ELISA, Simple Western, WB
NBP2-25162
Species: Bv, Eq, Hu, Mu, Po, Rt
Applications: ICC/IF, IHC, PLA, WB
NBP1-81765
Species: Hu
Applications: IHC,  IHC-P
NBP1-51843
Species: Hu, Mu
Applications: ICC/IF, IHC,  IHC-P, Simple Western, WB
NBP2-14040
Species: Hu
Applications: IHC,  IHC-P, WB

Publications for Astrin Antibody (NBP3-44199) (0)

There are no publications for Astrin Antibody (NBP3-44199).
By submitting your publication information earn gift cards and discounts for future purchases.

Reviews for Astrin Antibody (NBP3-44199) (0)

There are no reviews for Astrin Antibody (NBP3-44199). By submitting a review you will receive an Amazon e-Gift Card or Novus Product Discount.
  • Review with no image -- $10/€7/£6/$10 CAD/¥70 Yuan/¥1110 Yen
  • Review with an image -- $25/€18/£15/$25 CAD/¥150 Yuan/¥2500 Yen

Product General Protocols

Find general support by application which include: protocols, troubleshooting, illustrated assays, videos and webinars.

Video Protocols

WB Video Protocol

FAQs for Astrin Antibody (NBP3-44199) (0)

There are no specific FAQs related to this product. Read our general customer & technical service FAQs.

Customers Who Bought This Also Bought

Contact Information

Product PDFs

Calculators

Concentration Calculator

The concentration calculator allows you to quickly calculate the volume, mass or concentration of your vial. Simply enter your mass, volume, or concentration values for your reagent and the calculator will determine the rest.

=
÷

Review this Product

Be the first to review our Astrin Antibody (CL10078) - Azide and BSA Free and receive a gift card or discount.

Bioinformatics

Gene Symbol SPAG5