Apolipoprotein H/ApoH Antibody (APOH/3705) - Azide and BSA Free

Images

 
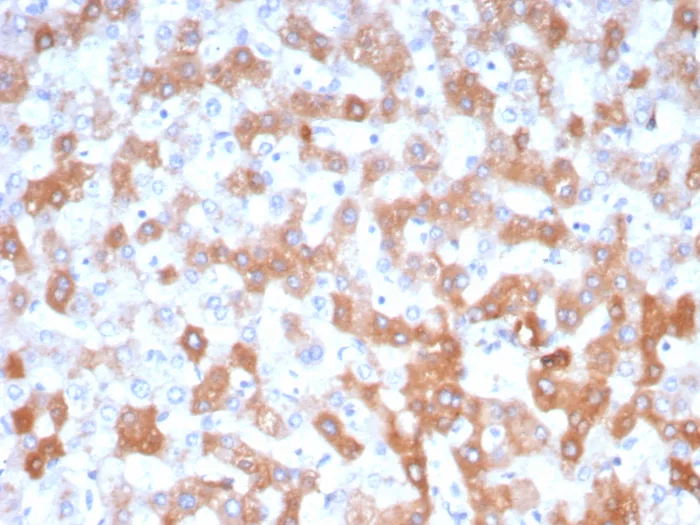
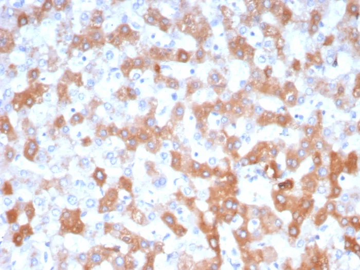
Formalin-fixed, paraffin-embedded human liver stained with Apolipoprotein H/ApoH Antibody (APOH/3705) - Azide and BSA Free. HIER: Tris/EDTA, pH9.0, 45min. 2°C: HRP-polymer, 30min. DAB, 5min.
Analysis of Protein Array containing more than 19,000 full-length human proteins using Apolipoprotein H/ApoH Antibody (APOH/3705) - Azide and BSA Free.

Product Details

Summary
Reactivity HuSpecies Glossary
Applications IHC
Clone
APOH/3705
Clonality
Monoclonal
Host
Mouse
Conjugate
Unconjugated
Format
Azide and BSA Free
Concentration
1 mg/ml

Order Details

Apolipoprotein H/ApoH Antibody (APOH/3705) - Azide and BSA Free Summary

Description
Antibody without azide - store at -20 to -80C. Non-hazardous. No MSDS required.
Immunogen
Human recombinant Apolipoprotein H/ApoH protein fragment (around aa 592-689) (exact sequence is proprietary)
Localization
Secreted
Isotype
IgG1 Kappa
Clonality
Monoclonal
Host
Mouse
Gene
APOH
Purity
Protein A or G purified
Innovator's Reward
Test in a species/application not listed above to receive a full credit towards a future purchase.

Applications/Dilutions

Dilutions
  • Immunohistochemistry-Paraffin 1-2ug/ml for 30 minutes at RT
Application Notes
Immunohistochemistry-Paraffin 1-2ug/ml for 30 minutes at RT. Optimal dilution for a specific application should be determined.. Staining of formalin-fixed tissues requires heating tissue sections in 10mM Tris with 1mM EDTA, pH 9.0, for 45 min at 95C followed by cooling at RT for 20 minutes

Packaging, Storage & Formulations

Storage
Store at -20 to -80C. Avoid freeze-thaw cycles.
Buffer
10mM PBS
Preservative
No Preservative
Concentration
1 mg/ml
Purity
Protein A or G purified

Alternate Names for Apolipoprotein H/ApoH Antibody (APOH/3705) - Azide and BSA Free

  • Activated protein C-binding protein
  • Anticardiolipin cofactor
  • APC inhibitor
  • APOH
  • apo-H
  • apolipoprotein H (beta-2-glycoprotein I)
  • Apolipoprotein H
  • B2G1
  • B2GP1
  • B2GPI
  • Beta
  • beta(2)GPI
  • beta-2-glycoprotein 1
  • Beta-2-glycoprotein I
  • BG

Background

Apolipoprotein H has been implicated in a variety of physiologic pathways including lipoprotein metabolism, coagulation, and the production of antiphospholipid autoantibodies. APOH may be a required cofactor for anionic phospholipid binding by the antiphospholipid autoantibodies found in sera of many patients with lupus and primary antiphospholipid syndrome, but it does not seem to be required for the reactivity of antiphospholipid autoantibodies associated with infections.

Limitations

This product is for research use only and is not approved for use in humans or in clinical diagnosis. Primary Antibodies are guaranteed for 1 year from date of receipt.

Customers Who Viewed This Item Also Viewed...

MAB1417
Species: Bv, Hu, Mu
Applications: ICC, IHC
NBP2-02541
Species: Hu, Pm, Mu, Pm, Rt
Applications: ICC/IF, IHC,  IHC-P, WB
NBP2-24653
Species: Hu, Mu, Rt
Applications: IHC,  IHC-P, WB
NB100-168
Species: Hu, Mu(-)
Applications: CyTOF-ready, Flow-IC, Flow, ICC/IF, IHC,  IHC-P, Simple Western, WB
NBP1-30027
Species: Hu, Mu, Rt
Applications: ICC/IF, IHC,  IHC-P, WB
NBP1-89200
Species: Hu, Mu
Applications: IHC,  IHC-P, Simple Western, WB
NBP1-87511
Species: Hu
Applications: ICC/IF, IHC,  IHC-P, WB
MAB1249
Species: Hu, Mu
Applications: CyTOF-ready, ICC, ICFlow
NBP2-34294
Species: Hu, Mu, Rt
Applications: Flow, IHC,  IHC-P
NBP1-58268
Species: Hu, Mu
Applications: IHC,  IHC-P, WB
AF2009
Species: Hu
Applications: ICC, IHC
NBP2-33280
Species: Hu
Applications: ICC/IF, IHC,  IHC-P, WB
NBP2-20383
Species: Hu, Mu
Applications: ICC/IF, IHC,  IHC-P, WB
485-MI
Species: Mu
Applications: BA
DKK300
Species: Hu
Applications: ELISA
NBP1-81768
Species: Hu, Mu, Rt
Applications: ICC/IF, IHC,  IHC-P, WB
MAB1455
Species: Hu
Applications: CyTOF-ready, Dual ISH-IHC, ICC, IHC, ICFlow, Simple Western, WB
H00005555-P01
Species: Hu
Applications: ELISA, AP, PA, PAGE, WB
NBP3-26956
Species: Hu
Applications: IHC

Publications for Apolipoprotein H/ApoH Antibody (NBP3-26956) (0)

There are no publications for Apolipoprotein H/ApoH Antibody (NBP3-26956).
By submitting your publication information earn gift cards and discounts for future purchases.

Reviews for Apolipoprotein H/ApoH Antibody (NBP3-26956) (0)

There are no reviews for Apolipoprotein H/ApoH Antibody (NBP3-26956). By submitting a review you will receive an Amazon e-Gift Card or Novus Product Discount.
  • Review with no image -- $10/€7/£6/$10 CAD/¥70 Yuan/¥1110 Yen
  • Review with an image -- $25/€18/£15/$25 CAD/¥150 Yuan/¥2500 Yen

Product General Protocols

Find general support by application which include: protocols, troubleshooting, illustrated assays, videos and webinars.

FAQs for Apolipoprotein H/ApoH Antibody (NBP3-26956) (0)

There are no specific FAQs related to this product. Read our general customer & technical service FAQs.

Customers Who Bought This Also Bought

Contact Information

Product PDFs

Calculators

Concentration Calculator

The concentration calculator allows you to quickly calculate the volume, mass or concentration of your vial. Simply enter your mass, volume, or concentration values for your reagent and the calculator will determine the rest.

=
÷

Review this Product

Be the first to review our Apolipoprotein H/ApoH Antibody (APOH/3705) - Azide and BSA Free and receive a gift card or discount.

Bioinformatics

Gene Symbol APOH