Anillin Antibody (CL0301) - Azide and BSA Free

Images

 
Orthogonal Strategies: Analysis in human testis and skeletal muscle tissues using NBP3-43944 antibody. Corresponding Anillin RNA-seq data are presented for the same tissues.
Staining of A-431 cells using the Anti-ATAD2 monoclonal antibody) .
Lane 1: Marker [kDa]Lane 2: Human cell line U-251 MG
Staining of human skeletal muscle shows no nuclear positivity in striated muscle fibers as expected.
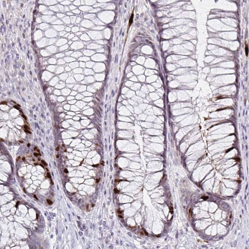
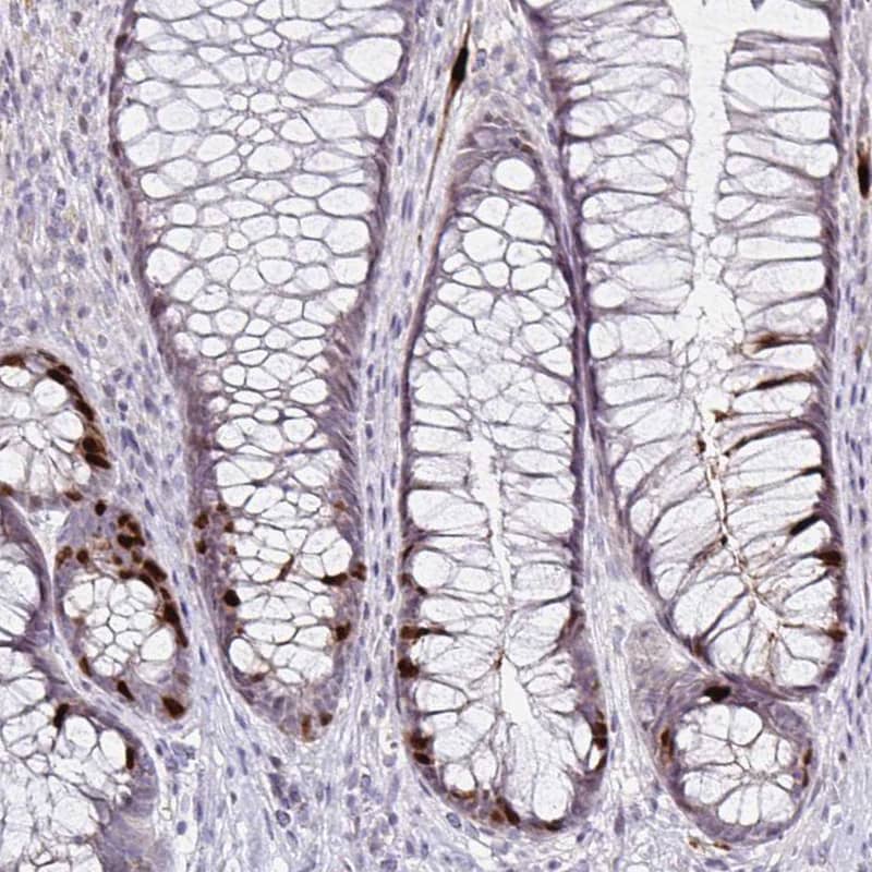
Staining of human rectum shows moderate to strong nuclear positivity in a subset of glandular cells.
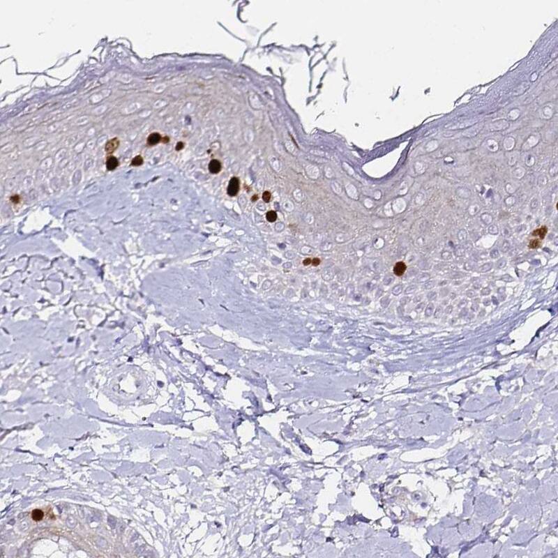
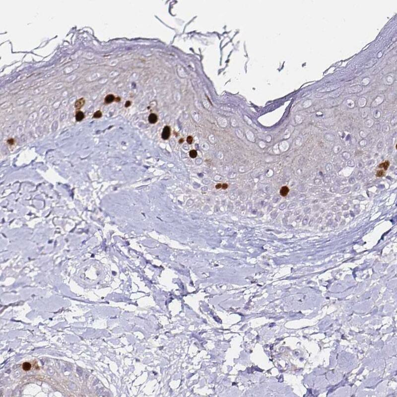
Staining of human skin shows moderate to strong nuclear positivity in a subset of dermal cells.
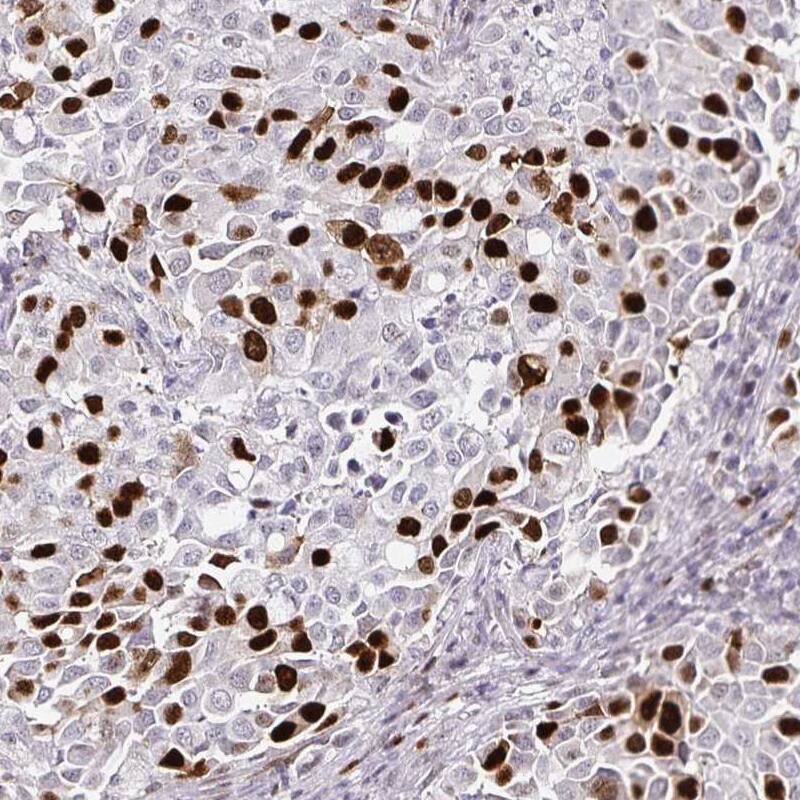
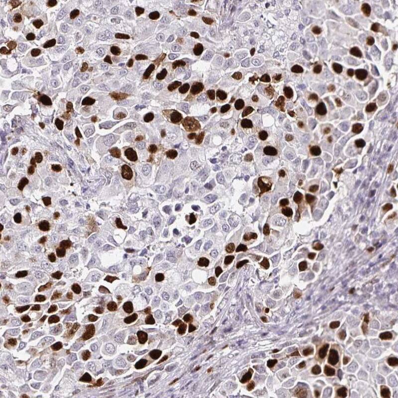
Staining of human lung cancer shows moderate to strong nuclear positivity in a subset of tumor cells.
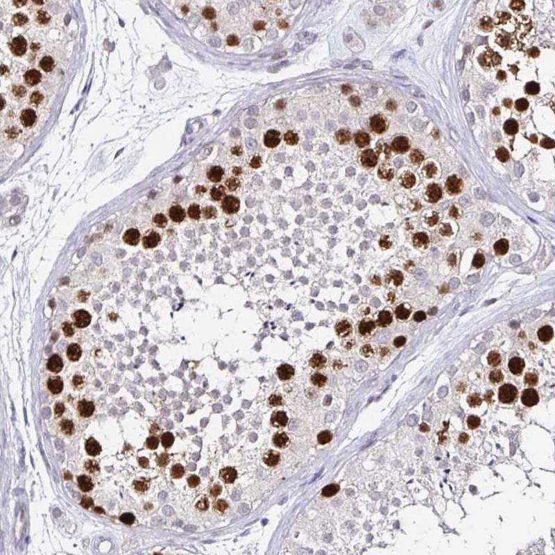
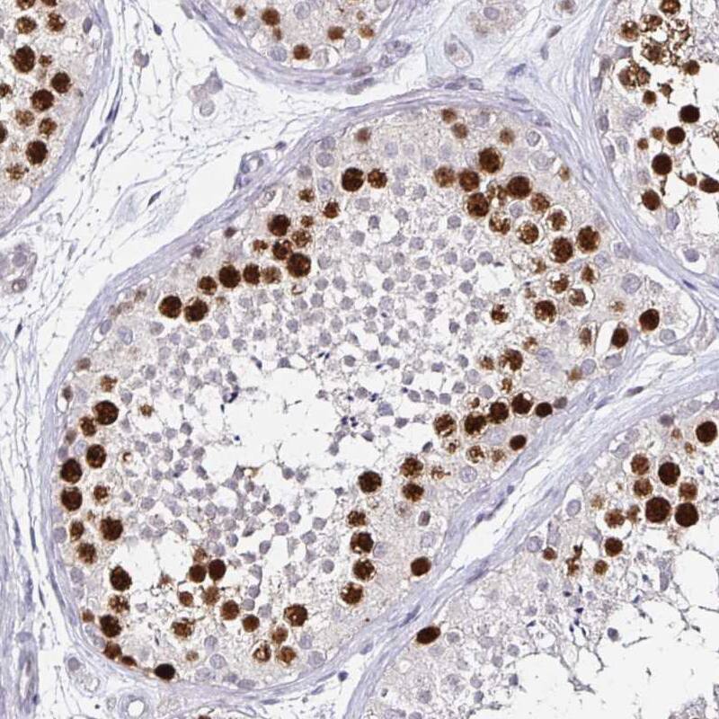
Staining of human testis shows moderate to strong nuclear positivity in a subset of cells in seminiferous ducts.
Staining of U-251 cells using the Anti-ATAD2 monoclonal antibody) .

Product Details

Summary
Reactivity HuSpecies Glossary
Applications WB, ICC/IF, IHC
Clone
CL0301
Clonality
Monoclonal
Host
Mouse
Conjugate
Unconjugated
Format
Azide and BSA Free
Concentration
LYOPH
Validated by:
       

Orthogonal Strategies

 

Order Details

Anillin Antibody (CL0301) - Azide and BSA Free Summary

Description
Novus Biologicals Mouse Anillin Antibody (CL0301) - Azide and BSA Free (NBP2-52907) is a monoclonal antibody validated for use in IHC, WB and ICC/IF. All Novus Biologicals antibodies are covered by our 100% guarantee.
Immunogen
This antibody was generated using a recombinant protein sequence of Q9NQW6, with the exact immunogen sequence remaining proprietary.
Isotype
IgG1
Clonality
Monoclonal
Host
Mouse
Gene
ANLN
Purity
Protein A purified
Innovator's Reward
Test in a species/application not listed above to receive a full credit towards a future purchase.

Applications/Dilutions

Dilutions
  • Immunocytochemistry/ Immunofluorescence 2-10 ug/ml
  • Immunohistochemistry-Paraffin 1:50 - 1:200
  • Western Blot 1 ug/ml
Application Notes
For IHC-Paraffin, HIER pH 6 retrieval is recommended. For Immunocytochemistry/ Immunofluorescence/IF, PFA/Triton X-100 is recommended for fixation/permeabilization.

Packaging, Storage & Formulations

Storage
Store at 4C short term. Aliquot and store at -20C long term. Avoid freeze-thaw cycles.
Buffer
Lyophilized from a 0.2 um filtered solution in PBS with Trehalose
Preservative
No Preservative
Concentration
LYOPH
Purity
Protein A purified
Reconstitution Instructions
Centrifuge the vial of lyophilized antibody at 12,000 x g for 20 seconds. Reconstitute by adding sterile, distilled water to achieve a final antibody concentration of 1mg/ml.

Alternate Names for Anillin Antibody (CL0301) - Azide and BSA Free

  • actin-binding protein anillin
  • anillin (Drosophila Scraps homolog), actin binding protein
  • ANILLIN
  • anillin, actin binding protein (scraps homolog, Drosophila)
  • anillin, actin binding protein
  • DKFZp779A055
  • Drosophila Scraps homolog
  • scra
  • Scraps

Background

Anillin is a 124 kDa scaffolding protein that plays an important role in cell division. Anillin interacts with septins and mediates septin filament assembly and stabilization in the construction of the contractile ring responsible for cleavage furrow formation and cytokinesis.

Limitations

This product is for research use only and is not approved for use in humans or in clinical diagnosis. Primary Antibodies are guaranteed for 1 year from date of receipt.

Customers Who Viewed This Item Also Viewed...

NBP1-32975
Species: Hu, Mu
Applications: ICC/IF, IHC,  IHC-P, KO, WB
AF1106
Species: Hu
Applications: IP, WB
H00003347-M01
Species: Hu
Applications: ELISA, ICC/IF, S-ELISA, WB
NB100-524
Species: Hu, Mu
Applications: Flow-IC, Flow, ICC/IF, IHC, IHC-Fr,  IHC-P, IP, WB
NBP2-79843
Species: Hu
Applications: CyTOF-ready, ELISA, Flow, ICC/IF, IHC,  IHC-P, PA, WB
7268-CT
Species: Hu
Applications: BA
H00347527-P01
Species: Hu
Applications: ELISA, AP, PA, WB
AF3846
Species: Hu, Mu, Rt
Applications: IHC, WB
AF1356
Species: Hu, Mu
Applications: CyTOF-ready, Dual ISH-IHC, Flow, IHC, Simple Western, WB
NBP2-45731
Species: Ca, Hu, Pm
Applications: IHC,  IHC-P, WB
AF2009
Species: Hu
Applications: ICC, IHC
NBP1-83790
Species: Hu
Applications: IHC,  IHC-P, WB
NB600-534
Species: Hu, Mu, Po, V-Vi
Applications: ELISA, Flow, ICC/IF, IHC, IHC-Fr,  IHC-P, In vitro, In vivo, RIA, WB
MAB2772
Species: Hu, Pm
Applications: Block, CyTOF-ready, ELISA(Cap), ELISA(Det), ELISA(Sta), Flow, ICC
NBP2-58917
Species: Hu
Applications: IHC,  IHC-P, WB
NBP1-89158
Species: Hu, Rt
Applications: IHC,  IHC-P, Simple Western, WB
NBP1-88220
Species: Hu, Mu, Rt
Applications: ICC/IF, IHC,  IHC-P, KD, WB
NBP1-86616
Species: Hu
Applications: IHC,  IHC-P, WB
NBP2-67605
Species: Hu, Pm, Mu
Applications: ICC/IF, IHC,  IHC-P, IP, ISH, WB
NBP3-43944
Species: Hu
Applications: WB, ICC/IF, IHC

Publications for Anillin Antibody (NBP3-43944) (0)

There are no publications for Anillin Antibody (NBP3-43944).
By submitting your publication information earn gift cards and discounts for future purchases.

Reviews for Anillin Antibody (NBP3-43944) (0)

There are no reviews for Anillin Antibody (NBP3-43944). By submitting a review you will receive an Amazon e-Gift Card or Novus Product Discount.
  • Review with no image -- $10/€7/£6/$10 CAD/¥70 Yuan/¥1110 Yen
  • Review with an image -- $25/€18/£15/$25 CAD/¥150 Yuan/¥2500 Yen

Product General Protocols

Find general support by application which include: protocols, troubleshooting, illustrated assays, videos and webinars.

Video Protocols

WB Video Protocol
ICC/IF Video Protocol

FAQs for Anillin Antibody (NBP3-43944) (0)

There are no specific FAQs related to this product. Read our general customer & technical service FAQs.

Customers Who Bought This Also Bought

Contact Information

Product PDFs

Calculators

Concentration Calculator

The concentration calculator allows you to quickly calculate the volume, mass or concentration of your vial. Simply enter your mass, volume, or concentration values for your reagent and the calculator will determine the rest.

=
÷

Review this Product

Be the first to review our Anillin Antibody (CL0301) - Azide and BSA Free and receive a gift card or discount.

Bioinformatics

Gene Symbol ANLN