alpha-Fetoprotein/AFP Antibody (CL9772) - Azide and BSA Free

Images

 
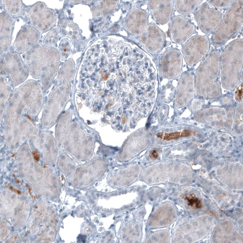
Staining of human kidney shows moderate positivity in secretion.
Staining of human liver shows moderate positivity in secretion.
Staining of human skeletal muscle shows no positivity as expected.
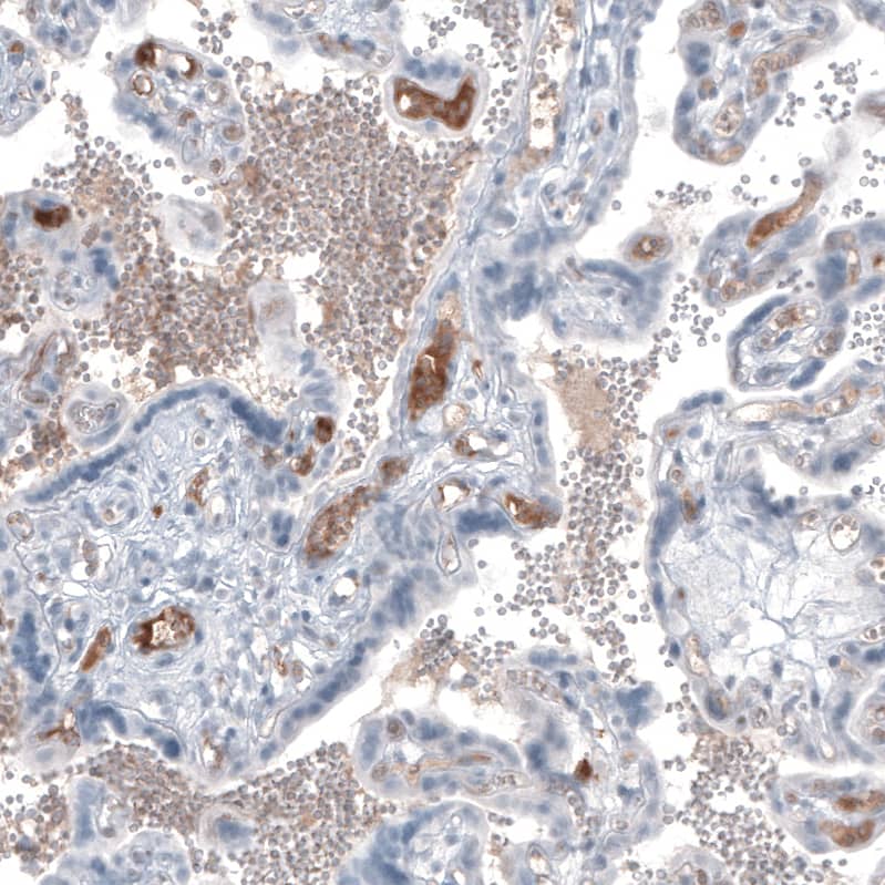
Staining of human placenta shows moderate positivity in secretion.
Analysis in human cell line HepG2.

Product Details

Summary
Reactivity HuSpecies Glossary
Applications WB, IHC
Clone
CL9772
Clonality
Monoclonal
Host
Mouse
Conjugate
Unconjugated
Format
Azide and BSA Free
Concentration
LYOPH

Order Details

alpha-Fetoprotein/AFP Antibody (CL9772) - Azide and BSA Free Summary

Description
Novus Biologicals Mouse alpha-Fetoprotein/AFP Antibody (CL9772) - Azide and BSA Free (NBP3-21160) is a monoclonal antibody validated for use in IHC and WB. All Novus Biologicals antibodies are covered by our 100% guarantee.
Immunogen
This antibody was generated using a recombinant protein sequence of P02771, with the exact immunogen sequence remaining proprietary.
Isotype
IgG1
Clonality
Monoclonal
Host
Mouse
Gene
AFP
Purity
Protein A purified
Innovator's Reward
Test in a species/application not listed above to receive a full credit towards a future purchase.

Applications/Dilutions

Dilutions
  • Immunohistochemistry-Paraffin 1:200 - 1:500
  • Western Blot 1 ug/ml
Application Notes
For IHC-Paraffin, HIER pH 6 retrieval is recommended.

Packaging, Storage & Formulations

Storage
Store at 4C short term. Aliquot and store at -20C long term. Avoid freeze-thaw cycles.
Buffer
Lyophilized from a 0.2 um filtered solution in PBS with Trehalose
Preservative
No Preservative
Concentration
LYOPH
Purity
Protein A purified
Reconstitution Instructions
Centrifuge the vial of lyophilized antibody at 12,000 x g for 20 seconds. Reconstitute by adding sterile, distilled water to achieve a final antibody concentration of 1mg/ml.

Alternate Names for alpha-Fetoprotein/AFP Antibody (CL9772) - Azide and BSA Free

  • AFP
  • Alpha-1-fetoprotein
  • alpha-fetoglobulin
  • alpha-Fetoprotein
  • DSCAM2
  • FETA
  • HP
  • HPAFP

Background

Alpha 1 Fetoprotein encodes alpha-fetoprotein, a major plasma protein produced by the yolk sac and the liver during fetal life. Alpha-fetoprotein expression in adults is often associated with hepatoma or teratoma. However, hereditary persistance of alpha-fetoprotein may also be found in individuals with no obvious pathology. The protein is thought to be the fetal counterpart of serum albumin, and the alpha-fetoprotein and albumin genes are present in tandem in the same transcriptional orientation on chromosome 4. Alpha-fetoprotein is found in monomeric as well as dimeric and trimeric forms, and binds copper, nickel, fatty acids and bilirubin. The level of alpha-fetoprotein in amniotic fluid is used to measure renal loss of protein to screen for spina bifida and anencephaly.

Limitations

This product is for research use only and is not approved for use in humans or in clinical diagnosis. Primary Antibodies are guaranteed for 1 year from date of receipt.

Customers Who Viewed This Item Also Viewed...

MAB1455
Species: Hu
Applications: CyTOF-ready, Dual ISH-IHC, ICC, IHC, ICFlow, Simple Western, WB
NBP2-34594
Species: Hu, Pm
Applications: CyTOF-ready, Flow, ICC/IF, IHC,  IHC-P
AF4478
Species: Hu
Applications: IHC, WB
NBP3-41306
Species: Hu, Mu, Rt
Applications: WB
NBP2-13980
Species: Hu
Applications: ICC/IF, IHC,  IHC-P, WB
NBP1-58268
Species: Hu, Mu
Applications: IHC,  IHC-P, WB
MAB4169
Species: Hu
Applications: IHC, WB
H00093659-P01
Species: Hu
Applications: ELISA, AP, PA, WB
NB100-687
Species: Hu, Mu, Rt
Applications: Flow, ICC/IF, IHC,  IHC-P, Simple Western, WB
2914-HT
Species: Hu
Applications: BA
NB100-1519
Species: Hu, Mu, Rt
Applications: Flow, ICC/IF, IHC-FrFl, PEP-ELISA, WB
DKK300
Species: Hu
Applications: ELISA
294-HG
Species: Hu
Applications: BA
MAB1268
Species: Hu
Applications: ICC, IHC, IP, Simple Western, WB
M6000B
Species: Mu
Applications: ELISA
NB200-103
Species: Hu, Mu, Rt, Xp(-), Ye
Applications: CyTOF-ready, ELISA, Flow-IC, Flow, ICC/IF, IHC, IHC-Fr,  IHC-P, IP, WB
NB300-223
Species: Bv, Ca, Ch, Eq, Hu, Mu, Po, Rt
Applications: ICC/IF, IHC, IHC-Fr,  IHC-P, WB
930-ADB
Species: Hu
Applications: EnzAct

Publications for alpha-Fetoprotein/AFP Antibody (NBP3-44134) (0)

There are no publications for alpha-Fetoprotein/AFP Antibody (NBP3-44134).
By submitting your publication information earn gift cards and discounts for future purchases.

Reviews for alpha-Fetoprotein/AFP Antibody (NBP3-44134) (0)

There are no reviews for alpha-Fetoprotein/AFP Antibody (NBP3-44134). By submitting a review you will receive an Amazon e-Gift Card or Novus Product Discount.
  • Review with no image -- $10/€7/£6/$10 CAD/¥70 Yuan/¥1110 Yen
  • Review with an image -- $25/€18/£15/$25 CAD/¥150 Yuan/¥2500 Yen

Product General Protocols

Find general support by application which include: protocols, troubleshooting, illustrated assays, videos and webinars.

Video Protocols

WB Video Protocol

FAQs for alpha-Fetoprotein/AFP Antibody (NBP3-44134) (0)

There are no specific FAQs related to this product. Read our general customer & technical service FAQs.

Customers Who Bought This Also Bought

Contact Information

Product PDFs

Calculators

Concentration Calculator

The concentration calculator allows you to quickly calculate the volume, mass or concentration of your vial. Simply enter your mass, volume, or concentration values for your reagent and the calculator will determine the rest.

=
÷

Review this Product

Be the first to review our alpha-Fetoprotein/AFP Antibody (CL9772) - Azide and BSA Free and receive a gift card or discount.

Bioinformatics

Gene Symbol AFP