Alpha Actinin 4 Antibody (JU20-23)

Images

 
Western Blot: Alpha Actinin 4 Antibody (JU20-23) [NBP2-75404] - Analysis of alpha Actinin 4 on different lysates using anti-alpha Actinin 4 antibody at 1/500 dilution.Positive control:Lane 1: Hela Lane 2: PC-12Lane ...read more
Immunocytochemistry/ Immunofluorescence: Alpha Actinin 4 Antibody (JU20-23) [NBP2-75404] - Staining alpha Actinin 4 in LOVO cells (green). The nuclear counter stain is DAPI (blue). Cells were fixed in paraformaldehyde, ...read more
Immunohistochemistry-Paraffin: Alpha Actinin 4 Antibody (JU20-23) [NBP2-75404] - Analysis of paraffin-embedded mouse colon tissue using anti-alpha Actinin 4 antibody. Counter stained with hematoxylin.
Flow Cytometry: Alpha Actinin 4 Antibody (JU20-23) [NBP2-75404] - Analysis of A549 cells with alpha Actinin 4 antibody at 1/100 dilution (red) compared with an unlabelled control (cells without incubation with primary ...read more
Immunocytochemistry/ Immunofluorescence: Alpha Actinin 4 Antibody (JU20-23) [NBP2-75404] - Staining alpha Actinin 4 in A549 cells (green). The nuclear counter stain is DAPI (blue). Cells were fixed in paraformaldehyde, ...read more
Immunocytochemistry/ Immunofluorescence: Alpha Actinin 4 Antibody (JU20-23) [NBP2-75404] - Staining alpha Actinin 4 in Hela cells (green). The nuclear counter stain is DAPI (blue). Cells were fixed in paraformaldehyde, ...read more
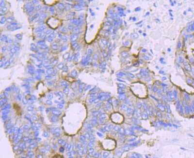
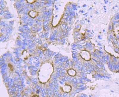
Immunohistochemistry-Paraffin: Alpha Actinin 4 Antibody (JU20-23) [NBP2-75404] - Analysis of paraffin-embedded human colon cancer tissue using anti-alpha Actinin 4 antibody. Counter stained with hematoxylin.

Product Details

Summary
Product Discontinued
View other related Alpha Actinin 4 Primary Antibodies

Order Details


    • Catalog Number
      NBP2-75404
    • Availability
      Product Discontinued

    Can't find what you are looking for? Use our Antibody Concierge Service & we will help you locate your antibody!

    Or feel free to contact us for alternative products.

Alpha Actinin 4 Antibody (JU20-23) Summary

Additional Information
Recombinant Monoclonal Antibody.
Immunogen
Synthetic peptide within Human Alpha Actinin 4 aa 1-50 / 911. (SwissProt: O43707 Human; SwissProt: P57780 Mouse; SwissProt: Q9QXQ0 Rat)
Localization
Cell junction. Cytoplasm. Nucleus.
Isotype
IgG
Clonality
Monoclonal
Host
Rabbit
Gene
ACTN4
Purity
Protein A purified
Innovator's Reward
Test in a species/application not listed above to receive a full credit towards a future purchase.

Applications/Dilutions

Dilutions
  • Flow Cytometry 1:50-1:100
  • Immunocytochemistry/ Immunofluorescence 1:100-1:500
  • Immunohistochemistry
  • Immunohistochemistry-Paraffin 1:50-1:200
  • Immunoprecipitation 1:10-1:50
  • Western Blot 1:500-1:2000
Theoretical MW
105 kDa.
Disclaimer note: The observed molecular weight of the protein may vary from the listed predicted molecular weight due to post translational modifications, post translation cleavages, relative charges, and other experimental factors.

Packaging, Storage & Formulations

Storage
Store at 4C short term. Aliquot and store at -20C long term. Avoid freeze-thaw cycles.
Buffer
TBS (pH7.4), 0.05% BSA, 40% Glycerol
Preservative
0.05% Sodium Azide
Concentration
1 mg/ml
Purity
Protein A purified

Alternate Names for Alpha Actinin 4 Antibody (JU20-23)

  • actinin alpha4 isoform
  • actinin, alpha 4
  • ACTININ-4
  • alpha-actinin-4
  • DKFZp686K23158
  • F-actin cross-linking protein
  • focal segmental glomerulosclerosis 1
  • FSGS
  • FSGS1
  • Non-muscle alpha-actinin 4

Background

Alpha actinins belong to the spectrin gene superfamily which represents a diverse group of cytoskeletal proteins, including the alpha and beta spectrins and dystrophins. Alpha actinin is an actin-binding protein with multiple roles in different cell types. In nonmuscle cells, the cytoskeletal isoform is found along microfilament bundles and adherens-type junctions, where it is involved in binding actin to the membrane. In contrast, skeletal, cardiac, and smooth muscle isoforms are localized to the Z-disc and analogous dense bodies, where they help anchor the myofibrillar actin filaments. This gene encodes a nonmuscle, alpha actinin isoform which is concentrated in the cytoplasm, and thought to be involved in metastatic processes. Mutations in this gene have been associated with focal and segmental glomerulosclerosis.

Limitations

This product is for research use only and is not approved for use in humans or in clinical diagnosis. Primary Antibodies are guaranteed for 1 year from date of receipt.

Customers Who Viewed This Item Also Viewed...

AF3159
Species: Mu
Applications: IHC
NBP2-75624
Species: Hu, Mu, Rt
Applications: Flow, ICC/IF, IHC,  IHC-P, mIF, WB
NBP1-32797
Species: Hu, Mu, Rt
Applications: IHC,  IHC-P, Simple Western, WB
MAB1455
Species: Hu
Applications: CyTOF-ready, Dual ISH-IHC, ICC, IHC, ICFlow, Simple Western, WB
NBP2-39100
Species: Hu, Mu, Rt
Applications: ELISA, ICC/IF, IHC,  IHC-P, WB
AF1638
Species: Hu, Mu, Rt
Applications: ICC, Simple Western, WB
H00003845-M01
Species: Hu, Mu
Applications: ELISA, ICC/IF, IP, WB
NB110-60011
Species: Hu
Applications: ICC/IF, IHC, IHC-Fr,  IHC-P, IP, Simple Western, WB
NBP1-48251
Species: Hu, Mu, Rt
Applications: ICC/IF, IHC,  IHC-P, KO, WB
MAB1228
Species: Hu
Applications: CyTOF-ready, Flow, IHC, IP
NB100-417
Species: Hu, Mu, Pl, Rt
Applications: ChIP, Dual ISH-IHC, ELISA, Flow, GS, IB, ICC/IF, IHC, IHC-Fr,  IHC-P, IP, MiAr, PLA, Simple Western, WB
NBP1-90625
Species: Hu, Mu, Rt
Applications: ICC/IF, IHC,  IHC-P, WB
NBP1-77260
Species: Hu, Mu, Rt
Applications: ELISA, ICC/IF, IHC,  IHC-P, WB
AF1513
Species: Mu
Applications: CyTOF-ready, Flow, IHC, IP, Simple Western, WB
NBP2-57362
Species: Hu
Applications: ICC/IF, WB
NBP1-89917
Species: Hu
Applications: ICC/IF, IHC,  IHC-P, WB
MAB1417
Species: Bv, Hu, Mu
Applications: ICC, IHC

Publications for Alpha Actinin 4 Antibody (NBP2-75404) (0)

There are no publications for Alpha Actinin 4 Antibody (NBP2-75404).
By submitting your publication information earn gift cards and discounts for future purchases.

Reviews for Alpha Actinin 4 Antibody (NBP2-75404) (0)

There are no reviews for Alpha Actinin 4 Antibody (NBP2-75404). By submitting a review you will receive an Amazon e-Gift Card or Novus Product Discount.
  • Review with no image -- $10/€7/£6/$10 CAD/¥70 Yuan/¥1110 Yen
  • Review with an image -- $25/€18/£15/$25 CAD/¥150 Yuan/¥2500 Yen

Product General Protocols

Video Protocols

WB Video Protocol
ICC/IF Video Protocol

FAQs for Alpha Actinin 4 Antibody (NBP2-75404) (0)

There are no specific FAQs related to this product. Read our general customer & technical service FAQs.

Secondary Antibodies

 

Isotype Controls

Additional Alpha Actinin 4 Products

Research Areas for Alpha Actinin 4 Antibody (NBP2-75404)

Find related products by research area.

Blogs on Alpha Actinin 4

There are no specific blogs for Alpha Actinin 4, but you can read our latest blog posts.

Contact Information

Product PDFs

Calculators

Concentration Calculator

The concentration calculator allows you to quickly calculate the volume, mass or concentration of your vial. Simply enter your mass, volume, or concentration values for your reagent and the calculator will determine the rest.

=
÷

Review this Product

Be the first to review our Alpha Actinin 4 Antibody (JU20-23) and receive a gift card or discount.

Bioinformatics

Gene Symbol ACTN4