ALKBH8 Antibody - BSA Free

Images

 
Western Blot: ALKBH8 Antibody [NBP3-38393] - Western blot analysis of various lysates, using ALKBH8 Rabbit pAb at 1:14000 dilution.Secondary antibody: HRP-conjugated Goat anti-Rabbit IgG (H+L) at 1:10000 ...read more
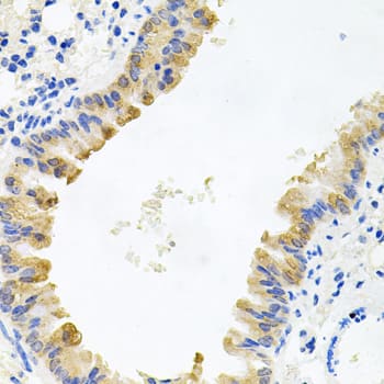
Immunohistochemistry: ALKBH8 Antibody [NBP3-38393] - Immunohistochemistry analysis of paraffin-embedded Mouse lung using ALKBH8 Rabbit pAb at dilution of 1:100 (40x lens). Microwave antigen retrieval performed with ...read more
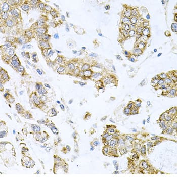
Immunohistochemistry: ALKBH8 Antibody [NBP3-38393] - Immunohistochemistry analysis of paraffin-embedded Human gastric cancer using ALKBH8 Rabbit pAb at dilution of 1:100 (40x lens). Microwave antigen retrieval performed ...read more

Product Details

Summary
Reactivity Hu, Mu, RtSpecies Glossary
Applications WB, ELISA, IHC
Clonality
Polyclonal
Host
Rabbit
Conjugate
Unconjugated
Format
BSA Free

Order Details

View Available Formulations
Catalog# & Formulation Size Price

ALKBH8 Antibody - BSA Free Summary

Description
Novus Biologicals Rabbit ALKBH8 Antibody - BSA Free (NBP3-38393) is a polyclonal antibody validated for use in IHC, WB and ELISA. All Novus Biologicals antibodies are covered by our 100% guarantee.
Immunogen
Recombinant fusion protein containing a sequence corresponding to amino acids 1-230 of human ALKBH8 (NP_620130.2).

Sequence:
MDSNHQSNYKLSKTEKKFLRKQIKAKHTLLRHEGIETVSYATQSLVVANGGLGNGVSRNQLLPVLEKCGLVDALLMPPNKPYSFARYRTTEESKRAYVTLNGKEVVDDLGQKITLYLNFVEKVQWKELRPQALPPGLMVVEEIISSEEEKMLLESVDWTEDTDNQNSQKSLKHRRVKHFGYEFHYENNNVDKDKPLSGGLPDICESFLEKWLRKGYIKHKPDQMTINQYE
Isotype
IgG
Clonality
Polyclonal
Host
Rabbit
Gene
ALKBH8
Purity
Affinity purified
Innovator's Reward
Test in a species/application not listed above to receive a full credit towards a future purchase.

Applications/Dilutions

Dilutions
  • ELISA
  • Immunohistochemistry
  • Immunohistochemistry-Paraffin 1:100 - 1:200
  • Western Blot 1:2000 - 1:10000
Theoretical MW
75 kDa.
Disclaimer note: The observed molecular weight of the protein may vary from the listed predicted molecular weight due to post translational modifications, post translation cleavages, relative charges, and other experimental factors.

Packaging, Storage & Formulations

Storage
Store at -20C. Avoid freeze-thaw cycles.
Buffer
PBS (pH 7.3), 50% glycerol
Preservative
0.02% Sodium Azide
Purity
Affinity purified

Alternate Names for ALKBH8 Antibody - BSA Free

  • ABH8MGC10235
  • AlkB homologue 8
  • alkB, alkylation repair homolog 8 (E. coli)
  • alkylated DNA repair protein alkB homolog 8
  • EC 1.14.11.-
  • EC 2.1.1.-
  • FLJ38204
  • Probable alpha-ketoglutarate-dependent dioxygenase ABH8
  • S-adenosyl-L-methionine-dependent tRNA methyltransferase ABH8

Background

ALKBH8 may inhibit apoptosis and promote cell survival and angiogenesis

Limitations

This product is for research use only and is not approved for use in humans or in clinical diagnosis. Primary Antibodies are guaranteed for 1 year from date of receipt.

Customers Who Viewed This Item Also Viewed...

H00008846-B01P
Species: Hu, Mu
Applications: ICC/IF, IHC,  IHC-P, WB
NBP2-16182
Species: Hu, Mu, Rt
Applications: ICC/IF, IHC,  IHC-P, WB
NB100-81657
Species: Hu, Mu
Applications: ChIP, IHC,  IHC-P, IP, WB
NBP1-76276
Species: Hu, Mu, Rt
Applications: ELISA, IHC,  IHC-P, WB
NBP1-68874
Species: Hu, Mu, Rt
Applications: PEP-ELISA, WB
AF8691
Species: Hu, Mu, Rt
Applications: IHC, KO, Simple Western, WB
NBP1-81575
Species: Hu, Mu, Rt
Applications: ICC/IF, IHC,  IHC-P, WB
NB100-56346
Species: Hu, Mu, Sh
Applications: ELISA, Flow, IHC,  IHC-P, WB
NBP1-31546
Species: Hu, Mu, Rt
Applications: Flow, ICC/IF, IHC,  IHC-P, IP, WB
AF3798
Species: Hu, Mu, Rt
Applications: IHC, KO, Simple Western, WB
H00010598-M01
Species: Hu, Mu, Rt
Applications: ELISA, ICC/IF, S-ELISA, WB
MAB17761
Species: Hu, Mu, Rt
Applications: ICC, WB
NBP3-16285
Species: Hu
Applications: ICC/IF, IHC,  IHC-P, IP, WB
NBP2-37568
Species: Hu
Applications: ELISA, Flow, ICC/IF, IHC,  IHC-P, WB
NBP2-14737
Species: Hu
Applications: IHC,  IHC-P
AF1230
Species: Hu, Mu, Rt
Applications: IHC, KO, WB
NBP1-47839
Species: Ca, Hu, Mu, Rt
Applications: Flow, ICC/IF, IHC,  IHC-P, IP, WB
NBP3-38393
Species: Hu, Mu, Rt
Applications: WB, ELISA, IHC

Publications for ALKBH8 Antibody (NBP3-38393) (0)

There are no publications for ALKBH8 Antibody (NBP3-38393).
By submitting your publication information earn gift cards and discounts for future purchases.

Reviews for ALKBH8 Antibody (NBP3-38393) (0)

There are no reviews for ALKBH8 Antibody (NBP3-38393). By submitting a review you will receive an Amazon e-Gift Card or Novus Product Discount.
  • Review with no image -- $10/€7/£6/$10 CAD/¥70 Yuan/¥1110 Yen
  • Review with an image -- $25/€18/£15/$25 CAD/¥150 Yuan/¥2500 Yen

Product General Protocols

Find general support by application which include: protocols, troubleshooting, illustrated assays, videos and webinars.

Video Protocols

WB Video Protocol

FAQs for ALKBH8 Antibody (NBP3-38393) (0)

There are no specific FAQs related to this product. Read our general customer & technical service FAQs.

Customers Who Bought This Also Bought

Contact Information

Product PDFs

Calculators

Concentration Calculator

The concentration calculator allows you to quickly calculate the volume, mass or concentration of your vial. Simply enter your mass, volume, or concentration values for your reagent and the calculator will determine the rest.

=
÷

Review this Product

Be the first to review our ALKBH8 Antibody - BSA Free and receive a gift card or discount.

Bioinformatics

Gene Symbol ALKBH8