ALDH4A1 Antibody (7E2)

Images

 
Western Blot: ALDH4A1 Antibody (7E2) [NBP2-75400] - Analysis of ALDH4A1 on SK-Br-3 (1) and HepG2 (2) cell lysate using anti-ALDH4A1 antibody at 1/1,000 dilution.
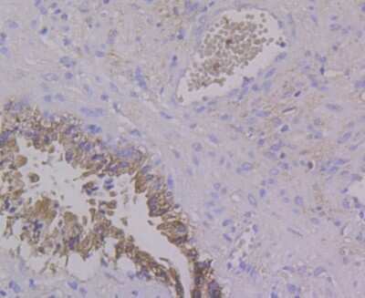
Immunohistochemistry-Paraffin: ALDH4A1 Antibody (7E2) [NBP2-75400] - Analysis of paraffin-embedded human kidney tissue using anti-ALDH4A1 antibody. Counter stained with hematoxylin.
Immunohistochemistry-Paraffin: ALDH4A1 Antibody (7E2) [NBP2-75400] - Analysis of paraffin-embedded human prostate tissue using anti-ALDH4A1 antibody. Counter stained with hematoxylin.
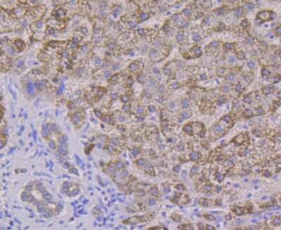
Immunohistochemistry-Paraffin: ALDH4A1 Antibody (7E2) [NBP2-75400] - Analysis of paraffin-embedded human liver tissue using anti-ALDH4A1 antibody. Counter stained with hematoxylin.
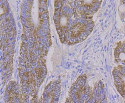
Immunohistochemistry-Paraffin: ALDH4A1 Antibody (7E2) [NBP2-75400] - Analysis of paraffin-embedded human colon cancer tissue using anti-ALDH4A1 antibody. Counter stained with hematoxylin.

Product Details

Summary
Product Discontinued
View other related ALDH4A1 Primary Antibodies

Order Details


    • Catalog Number
      NBP2-75400
    • Availability
      Product Discontinued

    Can't find what you are looking for? Use our Antibody Concierge Service & we will help you locate your antibody!

    Or feel free to contact us for alternative products.

ALDH4A1 Antibody (7E2) Summary

Immunogen
Synthetic peptide within Human ALDH4A1 aa 514-563 / 563. (SwissProt: P30038 Human; SwissProt: P0C2X9 Rat)
Localization
Mitochondrion.
Isotype
IgG1
Clonality
Monoclonal
Host
Mouse
Gene
ALDH4A1
Purity
Protein G purified
Innovator's Reward
Test in a species/application not listed above to receive a full credit towards a future purchase.

Applications/Dilutions

Dilutions
  • Immunohistochemistry
  • Immunohistochemistry-Paraffin 1:50-1:200
  • Western Blot 1:1000-1:2000
Theoretical MW
62 kDa.
Disclaimer note: The observed molecular weight of the protein may vary from the listed predicted molecular weight due to post translational modifications, post translation cleavages, relative charges, and other experimental factors.

Packaging, Storage & Formulations

Storage
Store at 4C short term. Aliquot and store at -20C long term. Avoid freeze-thaw cycles.
Buffer
PBS (pH7.4), 0.2% BSA, 50% Glycerol
Preservative
0.05% Sodium Azide
Concentration
2 mg/ml
Purity
Protein G purified

Alternate Names for ALDH4A1 Antibody (7E2)

  • aldehyde dehydrogenase 4 family, member A1
  • Aldehyde dehydrogenase family 4 member A1
  • ALDH4DKFZp779M035
  • delta-1-pyrroline-5-carboxylate dehydrogenase, mitochondrial
  • EC 1.5.1.12
  • mitochondrial delta-1-pyrroline 5-carboxylate dehydrogenase
  • P5C dehydrogenase
  • P5CD
  • P5CDH

Background

ALDH4A1 belongs to the aldehyde dehydrogenase family of proteins. This enzyme is a mitochondrial matrix NAD-dependent dehydrogenase which catalyzes the second step of the proline degradation pathway, converting pyrroline-5-carboxylate to glutamate. Deficiency of this enzyme is associated with type II hyperprolinemia, an autosomal recessive disorder characterized by accumulation of delta-1-pyrroline-5-carboxylate (P5C) and proline. Two transcript variants encoding the same protein have been identified for this gene.

Limitations

This product is for research use only and is not approved for use in humans or in clinical diagnosis. Primary Antibodies are guaranteed for 1 year from date of receipt.

Customers Who Viewed This Item Also Viewed...

NB100-2832
Species: Hu
Applications: ELISA, IHC,  IHC-P
NBP2-20016
Species: Hu
Applications: ICC/IF, IHC,  IHC-P, WB
NBP1-83239
Species: Bv, Hu
Applications: IHC,  IHC-P, WB
NBP2-02483
Species: Hu
Applications: Flow, ICC/IF, IHC,  IHC-P, WB
NBP1-81838
Species: Hu
Applications: IHC,  IHC-P, WB
AF5869
Species: Hu, Mu
Applications: ICC, IHC, IP, Simple Western, WB
NBP2-37397
Species: Hu, Mu, Rt
Applications: CyTOF-ready, ELISA, Flow, ICC/IF, IHC,  IHC-P, WB
NB100-182
Species: Av, Ca, Hu, Ma, Mu, Pm, Rt, Ze
Applications: ChIP, ChIP, Flow, IB, ICC/IF, IHC,  IHC-P, IP, KD, KO, RNAi, Simple Western, WB
NB100-74510
Species: Hu, Mu, Pm, Rt
Applications: ELISA, ICC/IF, IHC,  IHC-P, IP, WB
NBP2-52477
Species: Hu
Applications: CyTOF-ready, ELISA, Flow, IHC,  IHC-P, WB
NBP1-83324
Species: Hu, Mu, Rt
Applications: ICC/IF, IHC,  IHC-P, WB
MAB2476
Species: Hu
Applications: IHC, WB
NBP1-89150
Species: Hu
Applications: IHC,  IHC-P, WB
NBP2-45731
Species: Ca, Hu, Pm
Applications: IHC,  IHC-P, WB
NBP1-86616
Species: Hu
Applications: IHC,  IHC-P, WB
NBP1-86996
Species: Hu
Applications: ICC/IF, IHC,  IHC-P, WB
NBP1-87308
Species: Hu, Mu, Rt
Applications: IHC,  IHC-P, WB
NBP2-75400
Species: Hu, Rt
Applications: WB, IHC

Publications for ALDH4A1 Antibody (NBP2-75400) (0)

There are no publications for ALDH4A1 Antibody (NBP2-75400).
By submitting your publication information earn gift cards and discounts for future purchases.

Reviews for ALDH4A1 Antibody (NBP2-75400) (0)

There are no reviews for ALDH4A1 Antibody (NBP2-75400). By submitting a review you will receive an Amazon e-Gift Card or Novus Product Discount.
  • Review with no image -- $10/€7/£6/$10 CAD/¥70 Yuan/¥1110 Yen
  • Review with an image -- $25/€18/£15/$25 CAD/¥150 Yuan/¥2500 Yen

Product General Protocols

Find general support by application which include: protocols, troubleshooting, illustrated assays, videos and webinars.

Video Protocols

WB Video Protocol

FAQs for ALDH4A1 Antibody (NBP2-75400) (0)

There are no specific FAQs related to this product. Read our general customer & technical service FAQs.

Contact Information

Product PDFs

Calculators

Concentration Calculator

The concentration calculator allows you to quickly calculate the volume, mass or concentration of your vial. Simply enter your mass, volume, or concentration values for your reagent and the calculator will determine the rest.

=
÷

Review this Product

Be the first to review our ALDH4A1 Antibody (7E2) and receive a gift card or discount.

Bioinformatics

Gene Symbol ALDH4A1