ALDH5A1 Antibody - BSA Free

Images

 
Immunocytochemistry/ Immunofluorescence: ALDH5A1 Antibody [NBP1-86996] - Staining of human cell line CACO-2 shows localization to mitochondria. Antibody staining is shown in green.
Orthogonal Strategies: Analysis in human liver and placenta tissues Corresponding ALDH5A1 RNA-seq data are presented for the same tissues.
Staining of human kidney shows strong granular cytoplasmic positivity in cells in tubules.
Staining of human duodenum shows strong granular cytoplasmic positivity in glandular cells.
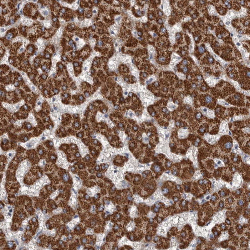
Staining of human liver shows strong granular cytoplasmic positivity in hepatocytes.
Staining of human placenta shows negative to very weak granular cytoplasmic positivity in trophoblastic cells.
Analysis in human cell line Jurkat.

Product Details

Summary
Reactivity Hu, Mu, RtSpecies Glossary
Applications WB, ICC/IF, IHC
Clonality
Polyclonal
Host
Rabbit
Conjugate
Unconjugated
Format
BSA Free
Validated by:
       

Orthogonal Strategies

 

Order Details

View Available Formulations
Catalog# & Formulation Size Price

ALDH5A1 Antibody - BSA Free Summary

Description
Novus Biologicals Rabbit ALDH5A1 Antibody - BSA Free (NBP1-86996) is a polyclonal antibody validated for use in IHC, WB and ICC/IF. Anti-ALDH5A1 Antibody: Cited in 1 publication. All Novus Biologicals antibodies are covered by our 100% guarantee.
Immunogen
This antibody was developed against Recombinant Protein corresponding to amino acids: ANSVKRVSMELGGLAPFIVFDSANVDQAVAGAMASKFRNTGQTCVCSNQFLVQRGIHDAFVKAFAEAMKKNLRVGNGFEEGTTQGPLINEKAVEKVEKQV
Predicted Species
Mouse (94%), Rat (93%). Backed by our 100% Guarantee.
Isotype
IgG
Clonality
Polyclonal
Host
Rabbit
Gene
ALDH5A1
Purity
Affinity purified
Innovator's Reward
Test in a species/application not listed above to receive a full credit towards a future purchase.

Applications/Dilutions

Dilutions
  • Immunocytochemistry/ Immunofluorescence 0.25-2 ug/ml
  • Immunohistochemistry 1:200 - 1:500
  • Immunohistochemistry-Paraffin 1:200 - 1:500
  • Western Blot 0.04-0.4 ug/ml
Application Notes
WB reported in scientific literature (PMID: 24551133). For IHC-Paraffin, HIER pH 6 retrieval is recommended. ICC/IF Fixation Permeabilization: Use PFA/Triton X-100.
Theoretical MW
57 kDa.
Disclaimer note: The observed molecular weight of the protein may vary from the listed predicted molecular weight due to post translational modifications, post translation cleavages, relative charges, and other experimental factors.
Control Peptide
ALDH5A1 Protein (NBP1-86996PEP)
Publications
Read Publication using NBP1-86996.

Reactivity Notes

Reactivity reported in scientific literature (PMID: 24551133)

Packaging, Storage & Formulations

Storage
Store at 4C short term. Aliquot and store at -20C long term. Avoid freeze-thaw cycles.
Buffer
PBS (pH 7.2) and 40% Glycerol
Preservative
0.02% Sodium Azide
Purity
Affinity purified

Alternate Names for ALDH5A1 Antibody - BSA Free

  • aldehyde dehydrogenase 5 family, member A1
  • EC 1.2.1
  • EC 1.2.1.24
  • NAD(+)-dependent succinic semialdehyde dehydrogenase
  • SSADHmitochondrial

Background

ALDH5A1 belongs to the aldehyde dehydrogenase family of proteins. This gene encodes a mitochondrial NAD(+)-dependent succinic semialdehyde dehydrogenase. A deficiency of this enzyme, known as 4-hydroxybutyricaciduria, is a rare inborn error in the metabolism of the neurotransmitter 4-aminobutyric acid (GABA). In response to the defect, physiologic fluids from patients accumulate GHB, a compound with numerous neuromodulatory properties. Two transcript variants encoding distinct isoforms have been identified for this gene.

Limitations

This product is for research use only and is not approved for use in humans or in clinical diagnosis. Primary Antibodies are guaranteed for 1 year from date of receipt.

Customers Who Viewed This Item Also Viewed...

NBP2-21598
Species: Hu, Mu, Rt
Applications: ICC/IF, IHC, IHC-Fr,  IHC-P, WB
NB600-101
Species: Bv, Ha, Hu, Mu, Pm, Rt
Applications: B/N, DB, EM, Flow, ICC/IF, IHC,  IHC-P, IP, KD, PA, Simple Western, WB
NBP1-87122
Species: Hu
Applications: ICC/IF, IHC,  IHC-P, WB
NB110-41404
Species: Bv, Hu, Mu, Rt
Applications: ICC/IF, IHC, WB
AF2086
Species: Hu, Mu, Rt
Applications: IHC, Simple Western, WB
NBP2-02164
Species: Hu, Mu, Rt
Applications: Flow, ICC/IF, IHC,  IHC-P, WB
NBP2-42388
Species: Hu
Applications: ICC/IF, IHC,  IHC-P, KD, WB
7954-GM/CF
Species: Hu
Applications: BA
NBP1-32828
Species: Hu, Mu
Applications: ICC/IF, IHC,  IHC-P, WB
AF3398
Species: Hu, Mu, Rt
Applications: ICC, KO, Simple Western, WB
NBP1-81838
Species: Hu, Mu
Applications: IHC,  IHC-P, WB
AF009
Species: Hu
Applications: IHC, WB
AF2247
Species: Hu
Applications: IHC, WB
NBP2-37397
Species: Hu, Mu, Rt
Applications: CyTOF-ready, ELISA, Flow, ICC/IF, IHC,  IHC-P, WB
AF3998
Species: Hu
Applications: WB
NBP1-89150
Species: Hu
Applications: IHC,  IHC-P, WB
NBP2-02483
Species: Hu
Applications: Flow, ICC/IF, IHC,  IHC-P, WB
NBP1-86996
Species: Hu, Mu, Rt
Applications: WB, ICC/IF, IHC

Publications for ALDH5A1 Antibody (NBP1-86996)(1)

We have publications tested in 1 application: WB.


Filter By Application
WB
(1)
All Applications
Filter By Species
All Species

Reviews for ALDH5A1 Antibody (NBP1-86996) (0)

There are no reviews for ALDH5A1 Antibody (NBP1-86996). By submitting a review you will receive an Amazon e-Gift Card or Novus Product Discount.
  • Review with no image -- $10/€7/£6/$10 CAD/¥70 Yuan/¥1110 Yen
  • Review with an image -- $25/€18/£15/$25 CAD/¥150 Yuan/¥2500 Yen

Product General Protocols

Find general support by application which include: protocols, troubleshooting, illustrated assays, videos and webinars.

Video Protocols

WB Video Protocol
ICC/IF Video Protocol

FAQs for ALDH5A1 Antibody (NBP1-86996) (0)

There are no specific FAQs related to this product. Read our general customer & technical service FAQs.

Secondary Antibodies

 

Isotype Controls

Additional ALDH5A1 Products

Research Areas for ALDH5A1 Antibody (NBP1-86996)

Find related products by research area.

Blogs on ALDH5A1

There are no specific blogs for ALDH5A1, but you can read our latest blog posts.

Customers Who Bought This Also Bought

Contact Information

Product PDFs

Calculators

Concentration Calculator

The concentration calculator allows you to quickly calculate the volume, mass or concentration of your vial. Simply enter your mass, volume, or concentration values for your reagent and the calculator will determine the rest.

=
÷

Review this Product

Be the first to review our ALDH5A1 Antibody - BSA Free and receive a gift card or discount.

Bioinformatics

Gene Symbol ALDH5A1
Entrez
Uniprot