AIF Antibody

Images

 
Western Blot: AIF Antibody [NBP1-52444] - Western blot analysis of AIF in K562 cell lysate with AIF antibody at 1 ug/mL.
Immunocytochemistry: AIF Antibody [NBP1-52444] - Immunocytochemistry of AIF in Jurkat cells with AIF antibody at 2 ug/ml.
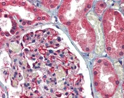
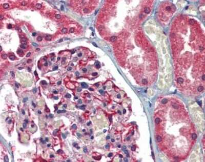
Immunohistochemistry-Paraffin: AIF Antibody [NBP1-52444] - Analysis of anti-AIFM1 / AIF antibody with human kidney at concentration 5 ug/ml.
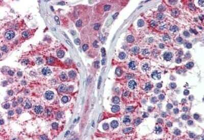
Immunohistochemistry-Paraffin: AIF Antibody [NBP1-52444] - Staining of human testis. Immunohistochemistry of formalin-fixed, paraffin-embedded tissue after heat-induced antigen retrieval. Antibody concentration 5 ug/ml.
Immunofluorescence: AIF Antibody [NBP1-52444] - Immunofluorescence of AIF in K562 cells with AIF antibody at 20 ug/ml.

Product Details

Summary
Product Discontinued
View other related AIF Primary Antibodies

Order Details


    • Catalog Number
      NBP1-52444
    • Availability
      Product Discontinued

    Can't find what you are looking for? Use our Antibody Concierge Service & we will help you locate your antibody!

    Or feel free to contact us for alternative products.

AIF Antibody Summary

Immunogen
A peptide corresponding to amino acids near the N-terminus of mature human AIF. The immunogen is located within amino acids 90 - 140 of AIF.
Specificity
Multiple isoforms of AIF are known to exist.
Isotype
IgG
Clonality
Polyclonal
Host
Rabbit
Gene
AIFM1
Purity
Ion exchange chromatography
Innovator's Reward
Test in a species/application not listed above to receive a full credit towards a future purchase.

Applications/Dilutions

Dilutions
  • ELISA 1:100 - 1:2000
  • Immunocytochemistry/ Immunofluorescence 20 ug/ml
  • Immunohistochemistry
  • Immunohistochemistry-Paraffin 5 ug/ml
  • Western Blot 0.25-1 ug/ml

Packaging, Storage & Formulations

Storage
Store at 4C short term. Aliquot and store at -20C long term. Avoid freeze-thaw cycles.
Buffer
PBS
Preservative
0.02% Sodium Azide
Concentration
1 mg/ml
Purity
Ion exchange chromatography

Alternate Names for AIF Antibody

  • AIF
  • AIFapoptosis-inducing factor 1, mitochondrial
  • AIFM1
  • apoptosis-inducing factor, mitochondrion-associated, 1
  • COXPD6
  • MGC111425
  • PDCD8
  • PDCD8striatal apoptosis-inducing factor
  • programmed cell death 8 (apoptosis-inducing factor)
  • Programmed cell death protein 8

Background

AIF, or apoptosis-inducing factor, is a flavoprotein localized to the mitochondrial membrane that plays a primary role in caspase-independent cell death, or apoptosis (1,2). AIF translocates to the nucleus when apoptosis is induced and causes mitochondria to release the apoptogenic proteins, cytochrome c and caspase-9. Apoptotic activity of AIF leads to chromatin condensation and DNA fragmentation (1). Similar to cytochrome c, AIF is a bifunctional protein with an oxidoreductase function and a second apoptogenic function. In contrast to cytochrome c, however, AIF acts in a caspase-independent fashion (2,3,4).

Limitations

This product is for research use only and is not approved for use in humans or in clinical diagnosis. Primary Antibodies are guaranteed for 1 year from date of receipt.

Customers Who Viewed This Item Also Viewed...

NB100-56503
Species: Dr, Hu, Mu, Rb, Rt
Applications: Flow-CS, Flow-IC, Flow, IB, ICC/IF, IHC,  IHC-P, Simple Western, WB
NBP2-27335
Species: Hu, Mu, Rt(-)
Applications: CyTOF-ready, Flow, ICC/IF, WB
AF820
Species: Hu, Mu
Applications: ICC, IHC, KO, Simple Western, WB
NB100-56098
Species: Ca, Hu, Mu, Rt
Applications: IHC,  IHC-P, IP, WB
NB100-56311
Species: Hu, Mu
Applications: ICC/IF, IHC,  IHC-P, WB
NBP1-76657
Species: Ca, Hu, Mu, Rt
Applications: ELISA, ICC/IF, IHC,  IHC-P, WB
NB100-56118
Species: Ca, Ma, Hu, Mu, Rt
Applications: Flow-IC, ICC/IF, IHC, IHC-Fr,  IHC-P, IP, WB
AF800
Species: Hu, Mu
Applications: IP, Simple Western, WB
NBP2-43728
Species: Hu, Mu, Rt
Applications: ICC/IF, WB
NB200-103
Species: Hu, Mu, Rt, Xp(-), Ye
Applications: CyTOF-ready, ELISA, Flow-IC, Flow, ICC/IF, IHC, IHC-Fr,  IHC-P, IP, WB
AF860
Species: Hu, Mu
Applications: IP, Simple Western, WB
NB100-56116
Species: Ma, Hu, Mu, Rt
Applications: Flow, ICC/IF, IHC, IHC-Fr,  IHC-P, IP, Simple Western, WB
MAB868
Species: Hu
Applications: WB
AF1458
Species: Hu, Mu, Rt
Applications: ICC, Simple Western, WB
AF8221
Species: Hu, Mu, Rt
Applications: IHC, KO, Simple Western, WB
AF1230
Species: Hu, Mu, Rt
Applications: IHC, KO, WB

Publications for AIF Antibody (NBP1-52444) (0)

There are no publications for AIF Antibody (NBP1-52444).
By submitting your publication information earn gift cards and discounts for future purchases.

Reviews for AIF Antibody (NBP1-52444) (0)

There are no reviews for AIF Antibody (NBP1-52444). By submitting a review you will receive an Amazon e-Gift Card or Novus Product Discount.
  • Review with no image -- $10/€7/£6/$10 CAD/¥70 Yuan/¥1110 Yen
  • Review with an image -- $25/€18/£15/$25 CAD/¥150 Yuan/¥2500 Yen

Product General Protocols

Find general support by application which include: protocols, troubleshooting, illustrated assays, videos and webinars.

Video Protocols

WB Video Protocol
ICC/IF Video Protocol

FAQs for AIF Antibody (NBP1-52444) (0)

There are no specific FAQs related to this product. Read our general customer & technical service FAQs.

Contact Information

Product PDFs

Calculators

Concentration Calculator

The concentration calculator allows you to quickly calculate the volume, mass or concentration of your vial. Simply enter your mass, volume, or concentration values for your reagent and the calculator will determine the rest.

=
÷

Review this Product

Be the first to review our AIF Antibody and receive a gift card or discount.

Bioinformatics

Gene Symbol AIFM1
Entrez
Uniprot