AGPAT9 Antibody - BSA Free

Images

 
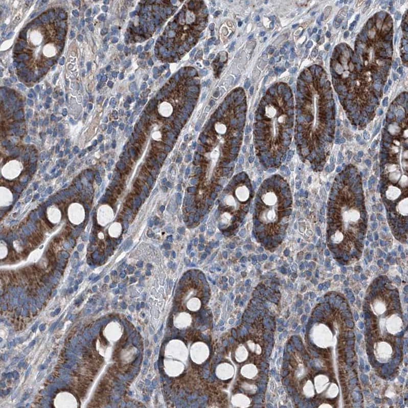
Immunohistochemistry-Paraffin: AGPAT9 Antibody [NBP1-93692] - Staining of human duodenum shows strong cytoplasmic positivity with a granular pattern in glandular cells.
Staining of human skin shows strong cytoplasmic positivity in squamous epithelial cells in the suprabasal layer.
Staining of human kidney shows strong cytoplasmic positivity in cells in tubules.
Staining of human duodenum shows strong cytoplasmic positivity in glandular cells.
Staining of human cerebral cortex shows strong cytoplasmic positivity in neurons.

Product Details

Summary
Reactivity Hu, Mu, RtSpecies Glossary
Applications Simple Western, IHC
Clonality
Polyclonal
Host
Rabbit
Conjugate
Unconjugated
Format
BSA Free

Order Details

View Available Formulations
Catalog# & Formulation Size Price

AGPAT9 Antibody - BSA Free Summary

Description
Novus Biologicals Rabbit AGPAT9 Antibody - BSA Free (NBP1-93692) is a polyclonal antibody validated for use in IHC and Simple Western. All Novus Biologicals antibodies are covered by our 100% guarantee.
Immunogen
This antibody was developed against Recombinant Protein corresponding to amino acids: ILVKTLEWATIRIEKGTPKESILKNSASVGIIQRDESPMEKGLSGLRGRDFELSDVFYFSKKGLEAIVEDEVTQRFSSEELVSWNLLTRTN
Predicted Species
Mouse (96%), Rat (93%). Backed by our 100% Guarantee.
Isotype
IgG
Clonality
Polyclonal
Host
Rabbit
Gene
GPAT3
Purity
Immunogen affinity purified
Innovator's Reward
Test in a species/application not listed above to receive a full credit towards a future purchase.

Applications/Dilutions

Dilutions
  • Immunohistochemistry 1:500 - 1:1000
  • Immunohistochemistry-Paraffin 1:500 - 1:1000
  • Simple Western 1:100
Application Notes
For IHC-Paraffin, HIER pH 6 retrieval is recommended.
Theoretical MW
49 kDa.
Disclaimer note: The observed molecular weight of the protein may vary from the listed predicted molecular weight due to post translational modifications, post translation cleavages, relative charges, and other experimental factors.
Control Peptide
AGPAT9 Protein (NBP1-93692PEP)

Packaging, Storage & Formulations

Storage
Store at 4C short term. Aliquot and store at -20C long term. Avoid freeze-thaw cycles.
Buffer
PBS (pH 7.2) and 40% Glycerol
Preservative
0.02% Sodium Azide
Purity
Immunogen affinity purified

Alternate Names for AGPAT9 Antibody - BSA Free

  • 1-acylglycerol-3-phosphate O-acyltransferase 9
  • acyl-CoA:glycerol-3-phosphate acyltransferase 3
  • glycerol-3-phosphate acyltransferase 3
  • GPAT3
  • GPAT-3,1-acylglycerol-3-phosphate O-acyltransferase 8
  • hGPAT3
  • HMFN0839,1-AGP acyltransferase 9
  • lysophosphatidic acid acyltransferase theta
  • MAG1
  • MAG-1
  • MGC11324
  • theta
  • UNQ2753/PRO6492

Limitations

This product is for research use only and is not approved for use in humans or in clinical diagnosis. Primary Antibodies are guaranteed for 1 year from date of receipt.

Customers Who Viewed This Item Also Viewed...

NB100-116
Species: Hu, Mu, Pm, Rt
Applications: ChIP, ELISA, GS, IB, ICC/IF, IHC, IHC-Fr,  IHC-P, IP, KD, PLA, Simple Western, WB
NBP1-76907
Species: Hu, Mu, Rt
Applications: ELISA, ICC/IF, IHC,  IHC-P, WB
AF821
Species: Hu, Mu
Applications: WB
NBP3-48199
Species: Hu, Mu, Rt
Applications: ELISA, IHC, IP, WB
H00005980-Q01
Species: Hu
Applications: ELISA, AP, PA, WB
NBP2-02056
Species: Ca, Hu, Pm, Mu, Rt
Applications: IHC,  IHC-P, WB
NB100-106
Species: Hu, Mu, Po, Pm, Rb, Rt
Applications: ELISA, Flow-IC, Flow, IB, ICC/IF, IHC, IHC-Fr,  IHC-P, IP, PLA, WB
NBP3-12366
Species: Ch, Hu, Mu, Rt
Applications: ELISA, IHC,  IHC-P, IP, WB
NBP1-31417
Species: Hu
Applications: ICC/IF, IHC,  IHC-P, WB
NBP2-24457
Species: Hu, Mu, Pm
Applications: IHC,  IHC-P, WB
NBP1-88927
Species: Hu, Mu
Applications: ICC/IF, IHC,  IHC-P, WB
NB100-150
Species: Hu, Mu
Applications: ChIP, ICC/IF, IP, Simple Western, WB
NBP2-58116
Species: Hu
Applications: ICC/IF, KD, WB
NBP2-01020
Species: Hu, Mu
Applications: Flow, ICC/IF, IHC,  IHC-P, WB
NBP1-32405
Species: Hu, Mu, Rt
Applications: ICC/IF, IHC,  IHC-P, IP, WB
MAB1417
Species: Bv, Hu, Mu
Applications: ICC, IHC
NBP2-34294
Species: Hu, Mu, Rt
Applications: Flow, IHC,  IHC-P

Publications for AGPAT9 Antibody (NBP1-93692) (0)

There are no publications for AGPAT9 Antibody (NBP1-93692).
By submitting your publication information earn gift cards and discounts for future purchases.

Reviews for AGPAT9 Antibody (NBP1-93692) (0)

There are no reviews for AGPAT9 Antibody (NBP1-93692). By submitting a review you will receive an Amazon e-Gift Card or Novus Product Discount.
  • Review with no image -- $10/€7/£6/$10 CAD/¥70 Yuan/¥1110 Yen
  • Review with an image -- $25/€18/£15/$25 CAD/¥150 Yuan/¥2500 Yen

Product General Protocols

Find general support by application which include: protocols, troubleshooting, illustrated assays, videos and webinars.

FAQs for AGPAT9 Antibody (NBP1-93692) (0)

There are no specific FAQs related to this product. Read our general customer & technical service FAQs.

Customers Who Bought This Also Bought

Contact Information

Product PDFs

Calculators

Concentration Calculator

The concentration calculator allows you to quickly calculate the volume, mass or concentration of your vial. Simply enter your mass, volume, or concentration values for your reagent and the calculator will determine the rest.

=
÷

Review this Product

Be the first to review our AGPAT9 Antibody - BSA Free and receive a gift card or discount.

Bioinformatics

Gene Symbol GPAT3
Entrez
Uniprot