ADAM10 Antibody (CL13808) - Azide and BSA Free

Images

 
Orthogonal Strategies: Analysis in human prostate and skeletal muscle tissues using NBP3-43825 antibody. Corresponding ADAM10 RNA-seq data are presented for the same tissues.
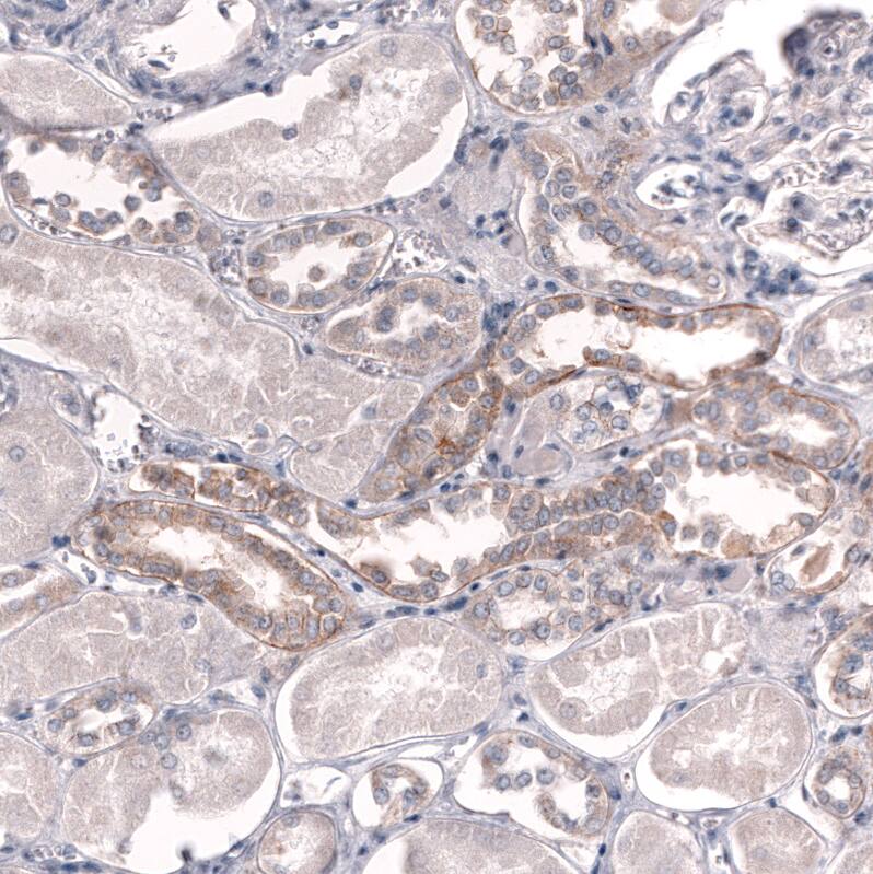
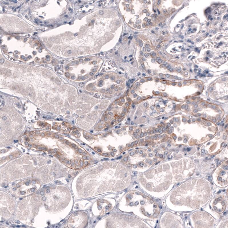
Staining of human kidney shows weak to moderate membranous positivity in cells in tubules.
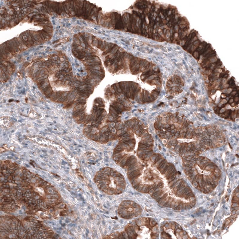
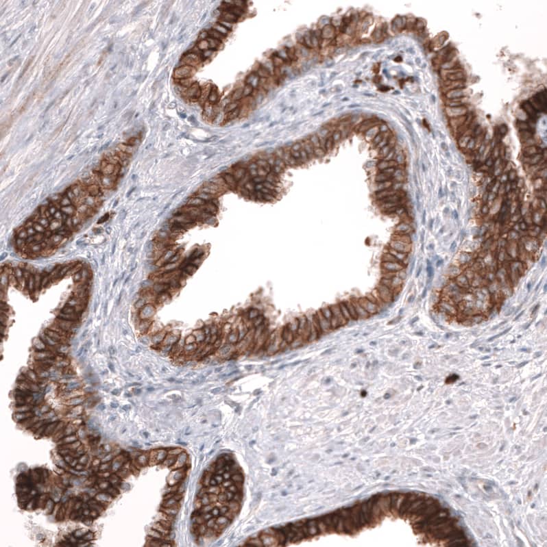
Staining of human fallopian tube shows strong membranous positivity in glandular cells.
Staining of human glioblastoma multiforme shows moderate to strong cytoplasmic positivity in tumor cells.
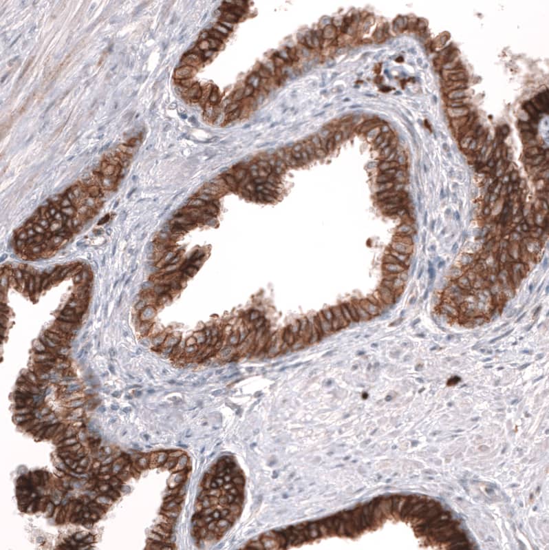
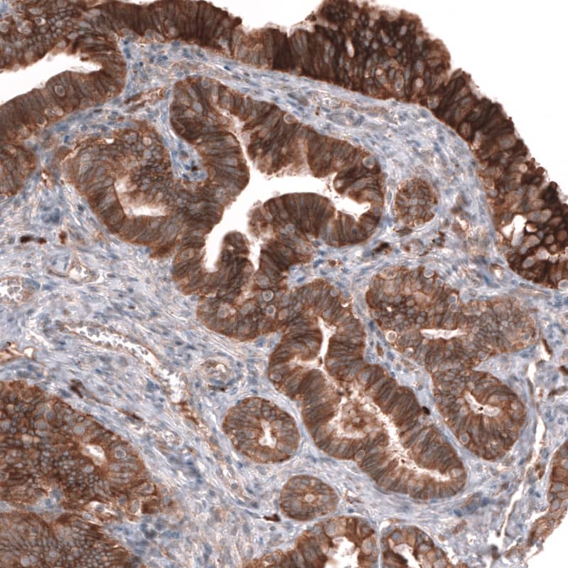
Staining of human prostate shows strong membranous positivity in glandular cells.
Staining of human skeletal muscle shows no positivity in myocytes as expected.
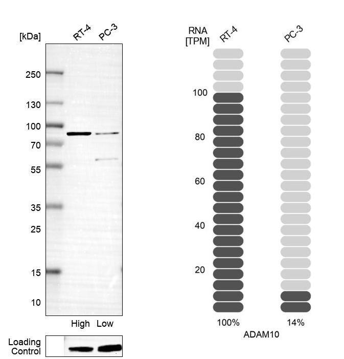
Orthogonal Strategies: Analysis in human cell lines RT-4 and PC-3 using Anti-ADAM10 antibody. Corresponding ADAM10 RNA-seq data are presented for the same cell lines. Loading control: Anti-PFN1

Product Details

Summary
Reactivity HuSpecies Glossary
Applications WB, IHC
Clone
CL13808
Clonality
Monoclonal
Host
Mouse
Conjugate
Unconjugated
Format
Azide and BSA Free
Concentration
LYOPH
Validated by:
       

Orthogonal Strategies

 

Order Details

ADAM10 Antibody (CL13808) - Azide and BSA Free Summary

Description
Novus Biologicals Mouse ADAM10 Antibody (CL13808) - Azide and BSA Free (NBP3-24577) is a monoclonal antibody validated for use in IHC and WB. All Novus Biologicals antibodies are covered by our 100% guarantee.
Immunogen
This antibody was generated using a synthetic peptide of O14672, with the exact immunogen sequence remaining proprietary.
Isotype
IgG1
Clonality
Monoclonal
Host
Mouse
Gene
ADAM10
Purity
Protein A purified
Innovator's Reward
Test in a species/application not listed above to receive a full credit towards a future purchase.

Applications/Dilutions

Dilutions
  • Immunohistochemistry-Paraffin 1:1000 - 1:2500
  • Western Blot 1 ug/ml
Application Notes
For IHC-Paraffin, we recommend using Heat-Induced Epitope Retrieval (HIER) with a pH level of 6. This optimized retrieval method ensures the best results for your experiments.

Packaging, Storage & Formulations

Storage
Store at 4C short term. Aliquot and store at -20C long term. Avoid freeze-thaw cycles.
Buffer
Lyophilized from a 0.2 um filtered solution in PBS with Trehalose
Preservative
No Preservative
Concentration
LYOPH
Purity
Protein A purified
Reconstitution Instructions
Centrifuge the vial of lyophilized antibody at 12,000 x g for 20 seconds. Reconstitute by adding sterile, distilled water to achieve a final antibody concentration of 1mg/ml.

Alternate Names for ADAM10 Antibody (CL13808) - Azide and BSA Free

  • a disintegrin and metalloprotease domain 10
  • a disintegrin and metalloproteinase domain 10
  • AD10
  • ADAM 10
  • ADAM metallopeptidase domain 10
  • ADAM10
  • CD156c antigen
  • CD156c
  • CDw156
  • disintegrin and metalloproteinase domain-containing protein 10
  • EC 3.4.24
  • HsT18717
  • kuz
  • Kuzbanian protein homolog
  • Kuzbanian
  • MADM
  • MADMEC 3.4.24.81
  • Mammalian disintegrin-metalloprotease

Background

Proinflammatory cytokine tumor necrosis factor-alpha (TNF-a) contributes to a variety of inflammatory responses and programmed cell death. Notch receptor and its ligand participate in cell fate decisions during vertebrate development and are associated with several human disorders, including a T-cell lymphoma. TNF-a, notch and its ligand delta are all membrane-bond molecules, which are cleaved by proteases to release mature proteins or functional receptor. ADAM10, a metalloprotease-disintegrin in the family of mammalian ADAM (for a disintegrin and metalloprotease), was recently identified to cleave TNF-a, notch and its ligand delta (1-3). The genes encoding human, mouse, and bovine ADAM10 were recently cloned and designated ADAM 10, kuzbanian (KUZ), and MADM, respectively, (1,2,4). ADAM10 mRNA is expressed in a variety of human and bovine tissues (1,4).

Limitations

This product is for research use only and is not approved for use in humans or in clinical diagnosis. Primary Antibodies are guaranteed for 1 year from date of receipt.

Customers Who Viewed This Item Also Viewed...

930-ADB
Species: Hu
Applications: EnzAct
NBP2-13075
Species: Ba, Hu, Pm, Mu, Rt
Applications: DB, ELISA, IB, ICC/IF, IHC-FrFl, IHC, IHC-Fr,  IHC-P, IP, WB
MAB931
Species: Hu, Mu
Applications: CyTOF-ready, IHC, ICFlow, WB
AF949
Species: Hu, Mu
Applications: CyTOF-ready, Flow, IHC, IP, KO, WB
AF231
Species: Hu
Applications: CyTOF-ready, Dual ISH-IHC, ELISA(Cap), ELISA(Det), ELISA(Sta), Flow, ICC, IHC, IP, Simple Western, WB
NB100-74510
Species: Hu, Mu, Pm, Rt
Applications: ELISA, ICC/IF, IHC,  IHC-P, IP, WB
NB100-56605
Species: Av, Bv, Sh
Applications: WB
236-EG
Species: Hu
Applications: BA
MAB935
Species: Hu
Applications: CyTOF-ready, ICC, IHC, IP, ICFlow, WB
DTM100
Species: Hu
Applications: ELISA
NBP2-22203
Species: Hu, Pm, Mu, Rt
Applications: ELISA, Flow, ICC/IF, IHC,  IHC-P, WB
AF1230
Species: Hu, Mu, Rt
Applications: IHC, KO, WB
NB300-889
Species: Hu, Mu
Applications: Flow, ICC/IF, IHC,  IHC-P, PEP-ELISA
AF1031
Species: Hu
Applications: ICC, IP, WB
AF976
Species: Hu, Pm
Applications: CyTOF-ready, ELISA(Cap), ELISA(Det), ELISA(Sta), Flow, IHC, Neut, WB
NB100-2682
Species: Hu, Mu
Applications: CyTOF-ready, ELISA, Flow-CS, Flow, ICC/IF, IF, IHC, IHC-Fr,  IHC-P, IP, WB
NBP3-43825
Species: Hu
Applications: WB, IHC

Publications for ADAM10 Antibody (NBP3-43825) (0)

There are no publications for ADAM10 Antibody (NBP3-43825).
By submitting your publication information earn gift cards and discounts for future purchases.

Reviews for ADAM10 Antibody (NBP3-43825) (0)

There are no reviews for ADAM10 Antibody (NBP3-43825). By submitting a review you will receive an Amazon e-Gift Card or Novus Product Discount.
  • Review with no image -- $10/€7/£6/$10 CAD/¥70 Yuan/¥1110 Yen
  • Review with an image -- $25/€18/£15/$25 CAD/¥150 Yuan/¥2500 Yen

Product General Protocols

Find general support by application which include: protocols, troubleshooting, illustrated assays, videos and webinars.

Video Protocols

WB Video Protocol

FAQs for ADAM10 Antibody (NBP3-43825) (0)

There are no specific FAQs related to this product. Read our general customer & technical service FAQs.

Secondary Antibodies

 

Isotype Controls

Additional ADAM10 Products

Research Areas for ADAM10 Antibody (NBP3-43825)

Find related products by research area.

Blogs on ADAM10

There are no specific blogs for ADAM10, but you can read our latest blog posts.

Customers Who Bought This Also Bought

Contact Information

Product PDFs

Calculators

Concentration Calculator

The concentration calculator allows you to quickly calculate the volume, mass or concentration of your vial. Simply enter your mass, volume, or concentration values for your reagent and the calculator will determine the rest.

=
÷

Review this Product

Be the first to review our ADAM10 Antibody (CL13808) - Azide and BSA Free and receive a gift card or discount.

Bioinformatics

Gene Symbol ADAM10