ACTH Antibody (CLIP/7197R) - Azide and BSA Free

Images

 
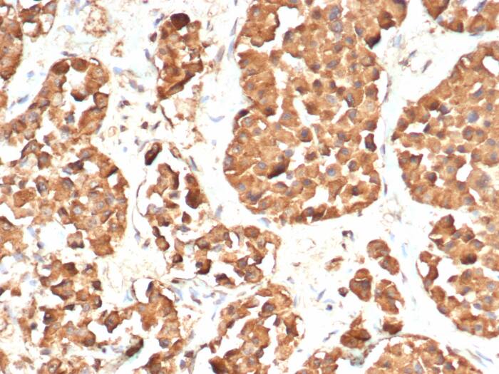
Formalin-fixed, paraffin-embedded human pituitary gland stained with ACTH antibody (CLIP/7197R) - Azide and BSA Free. HIER: Tris/EDTA, pH9.0, 45min. Secondary: HRP-polymer, 30min. DAB, 5min.

Product Details

Summary
Reactivity HuSpecies Glossary
Applications IHC
Clone
CLIP/7197R
Clonality
Monoclonal
Host
Rabbit
Conjugate
Unconjugated
Format
Azide and BSA Free
Concentration
1 mg/ml

Order Details

ACTH Antibody (CLIP/7197R) - Azide and BSA Free Summary

Description
Antibody without azide - store at -20 to -80C.
Additional Information
Recombinant Monoclonal Antibody
Immunogen
N-terminal fragment of human ACTH conjugated to KLH
Localization
Cytoplasm. Secreted.
Marker
Pituitary Marker
Specificity
This monoclonal antibody is specific to Synacthen (aa1-24 of ACTH); does not react with CLIP (aa17-39 of ACTH). Anti-ACTH is a useful marker in classification of pituitary tumors and the study of pituitary disease. It reacts with ACTH-producing cells (corticotrophs). It also may react with other tumors (e.g. some small cell carcinomas of the lung) causing paraneoplastic syndromes by secreting ACTH.
Isotype
IgG Kappa
Clonality
Monoclonal
Host
Rabbit
Gene
POMC
Purity
Protein A or G purified
Innovator's Reward
Test in a species/application not listed above to receive a full credit towards a future purchase.

Applications/Dilutions

Dilutions
  • Immunohistochemistry-Paraffin 1-2ug/ml
Application Notes
Immunohistochemistry-Paraffin: 1-2ug/ml for 30 minutes at RT. Staining of formalin-fixed tissues requires heating tissue sections in 10mM Tris with 1mM EDTA, pH 9.0, for 45 min at 95C followed by cooling at RT for 20 minutes. Optimal dilution for a specific application should be determined.

Reactivity Notes

Expected to show a broad species reactivity.

Packaging, Storage & Formulations

Storage
Store at -20 to -80C. Avoid freeze-thaw cycles.
Buffer
10mM PBS
Preservative
No Preservative
Concentration
1 mg/ml
Purity
Protein A or G purified

Alternate Names for ACTH Antibody (CLIP/7197R) - Azide and BSA Free

  • ACTH
  • adrenocorticotropic hormone
  • Adrenocorticotropin
  • alpha-melanocyte-stimulating hormone
  • alpha-MSH
  • beta-endorphin
  • beta-LPH
  • beta-melanocyte-stimulating hormone
  • beta-MSH
  • CLIP
  • Corticotropin
  • corticotropin-like intermediary peptide
  • corticotropin-lipotropin
  • gamma-LPH
  • gamma-MSH
  • lipotropin beta
  • lipotropin gamma
  • LPH
  • melanotropin alpha
  • melanotropin beta
  • melanotropin gamma
  • met-enkephalin
  • MSH
  • NPP
  • POC
  • pro-ACTH-endorphin
  • proopiomelanocortin preproprotein
  • proopiomelanocortin
  • pro-opiomelanocortin

Background

ACTH occurs in cells of the anterior pituitary and in neurons in brain. It regulates the corticosteroid production in the adrenal cortex. Beta endorphin and Met enkephalin are endogenous opiates. MSH (melanocyte stimulating hormone) increases the pigmentation of skin by increasing melanin production in melanocytes.

Limitations

This product is for research use only and is not approved for use in humans or in clinical diagnosis. Primary Antibodies are guaranteed for 1 year from date of receipt.

Customers Who Viewed This Item Also Viewed...

H00001392-M02
Species: Hu
Applications: ELISA, IHC,  IHC-P, S-ELISA, WB
AF1445
Species: Mu, Rt
Applications: ELISA(Cap), ELISA(Det), ELISA(Sta), IHC, Neut, Simple Western, WB
AF009
Species: Hu
Applications: IHC, WB
MAB1417
Species: Bv, Hu, Mu
Applications: ICC, IHC
7570-GH
Species: Hu
Applications: EnzAct
NBP1-46535
Species: Hu, Mu, Rb, Rt, Xp
Applications: ICC/IF, IHC-FrFl, IHC, IHC-Fr,  IHC-P, WB
9134-TN
Species: Hu
Applications: BA
AF1067
Species: Hu, Mu, Rt
Applications: ELISA, IHC, Neut, WB
AF1067
Species: Hu, Mu, Rt
Applications: ELISA, IHC, Neut, WB
NBP1-90927
Species: Hu
Applications: IHC,  IHC-P, WB
NBP2-38770
Species: Hu
Applications: WB
NBP1-30027
Species: Hu, Mu, Rt
Applications: ICC/IF, IHC,  IHC-P, WB
H00005087-M01
Species: Hu, Pm, Mu
Applications: ChIP, ELISA, ICC/IF, IHC,  IHC-P, IP, S-ELISA, WB
NBP2-34014
Species: Hu
Applications: IHC,  IHC-P
AF4277
Species: Mu
Applications: ELISA(Cap), ELISA(Det), ELISA(Sta), IHC, IP, WB
DLP00
Species: Hu
Applications: ELISA
NBP2-37447
Species: Hu
Applications: CyTOF-ready, ELISA, Flow, ICC/IF, IHC,  IHC-P
AF245
Species: Hu
Applications: CyTOF-ready, Flow, WB
NBP3-24042
Species: Hu
Applications: IHC

Publications for ACTH Antibody (NBP3-24042) (0)

There are no publications for ACTH Antibody (NBP3-24042).
By submitting your publication information earn gift cards and discounts for future purchases.

Reviews for ACTH Antibody (NBP3-24042) (0)

There are no reviews for ACTH Antibody (NBP3-24042). By submitting a review you will receive an Amazon e-Gift Card or Novus Product Discount.
  • Review with no image -- $10/€7/£6/$10 CAD/¥70 Yuan/¥1110 Yen
  • Review with an image -- $25/€18/£15/$25 CAD/¥150 Yuan/¥2500 Yen

Product General Protocols

Find general support by application which include: protocols, troubleshooting, illustrated assays, videos and webinars.

FAQs for ACTH Antibody (NBP3-24042) (0)

There are no specific FAQs related to this product. Read our general customer & technical service FAQs.

Secondary Antibodies

 

Isotype Controls

Additional ACTH Products

Array NBP3-24042

Research Areas for ACTH Antibody (NBP3-24042)

Find related products by research area.

Blogs on ACTH

There are no specific blogs for ACTH, but you can read our latest blog posts.

Customers Who Bought This Also Bought

Contact Information

Product PDFs

Calculators

Concentration Calculator

The concentration calculator allows you to quickly calculate the volume, mass or concentration of your vial. Simply enter your mass, volume, or concentration values for your reagent and the calculator will determine the rest.

=
÷

Review this Product

Be the first to review our ACTH Antibody (CLIP/7197R) - Azide and BSA Free and receive a gift card or discount.

Bioinformatics

Gene Symbol POMC