| Reactivity | HuSpecies Glossary |
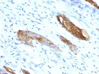
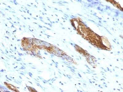
| Applications | IHC, IHC-P, ICC/IF |
| Clone | 33C13 |
| Clonality | Monoclonal |
| Host | Mouse |
| Conjugate | Unconjugated |
| Concentration | 0.2 mg/ml |
| Immunogen | Mucin isolated from an ovarian cyst fluid |
| Localization | Cell Surface |
| Specificity | This MAb preferably reacts with determinants of chain A and H type 3(Gal1-3GalNAc-R) and 4 (Gal1-3GalNAc-R), but not with type 1 and 2 chain structures. It is not reactive with immuno-dominant A trisaccharide. This MAb is applicable for tissue staining in tumor patients with blood groups A and AB. It shows a highly heterogeneous reactivity in human colon tumor tissue and adjacent mucosa. Blood-group antigens are generally defined as molecules formed by sequential addition of saccharides to the carbohydrate side chains of lipids and proteins detected on erythrocytes and certain epithelial cells. The A, B and H antigens are reported to undergo modulation during malignant cellular transformation. Blood group related antigens represent a group of carbohydrate determinants carried on both glycolipids and glycoproteins. They are usually mucin-type, and are detected on erythrocytes, certain epithelial cells, and in secretions of certain individuals. Sixteen genetically and biosynthetically distinct but inter-related specificities belong to this group of antigens, including A, B, H, Lewis A, Lewis B, Lewis X, Lewis Y, and precursor type 1 chain antigens. |
| Isotype | IgG1 Kappa |
| Clonality | Monoclonal |
| Host | Mouse |
| Gene | ABO |
| Purity | Protein A or G purified |
| Innovator's Reward | Test in a species/application not listed above to receive a full credit towards a future purchase. |
| Dilutions |
|
| Application Notes | Hu-chromosome location: 9q34.2 Immunohistochemistry-Paraffin 0.5 - 1.0 ug/ml for 30 minutes at RT; Staining of formalin-fixed tissues requires boiling tissue sections in 10mM citrate buffer, pH 6.0, for 10 - 20 min followed by cooling at RT for 20 minutes. The 7mL size is a pre-diluted size and no additional dilutions are required before using this item for the intended application. |
| Storage | Store at 4C. |
| Buffer | 10mM PBS and 0.05% BSA |
| Preservative | 0.05% Sodium Azide |
| Concentration | 0.2 mg/ml |
| Purity | Protein A or G purified |
Secondary Antibodies |
Isotype Controls |
| Alexa Fluor 350 | NBP2-47866AF350 | |
| Alexa Fluor 405 | NBP2-47866AF405 | |
| Alexa Fluor 488 | NBP2-47866AF488 | |
| Alexa Fluor 532 | NBP2-47866AF532 | |
| Alexa Fluor 594 | NBP2-47866AF594 | |
| Alexa Fluor 647 | NBP2-47866AF647 | |
| Alexa Fluor 700 | NBP2-47866AF700 | |
| Alexa Fluor 750 | NBP2-47866AF750 | |
| Biotin | NBP2-47866B | |
| DyLight 350 | NBP2-47866UV | |
| DyLight 405 | NBP2-47866V | |
| DyLight 488 | NBP2-47866G | |
| DyLight 550 | NBP2-47866R | |
| DyLight 594 | NBP2-47866DL594 | |
| DyLight 650 | NBP2-47866C | |
| DyLight 680 | NBP2-47866FR | |
| DyLight 755 | NBP2-47866IR | |
| FITC | NBP2-47866F | |
| HRP | NBP2-47866H | |
| Janelia Fluor 549 | NBP2-47866JF549 | |
| Janelia Fluor 646 | NBP2-47866JF646 |
Diseases for ABO, Blood Group A Antigen Antibody (NBP2-44627)Discover more about diseases related to ABO, Blood Group A Antigen Antibody (NBP2-44627).
| Pathways for ABO, Blood Group A Antigen Antibody (NBP2-44627)View related products by pathway.
|
PTMs for ABO, Blood Group A Antigen Antibody (NBP2-44627)Learn more about PTMs related to ABO, Blood Group A Antigen Antibody (NBP2-44627).
|

The concentration calculator allows you to quickly calculate the volume, mass or concentration of your vial. Simply enter your mass, volume, or concentration values for your reagent and the calculator will determine the rest.