5'-Nucleotidase/CD73 Antibody (1D7)

Images

 
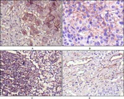
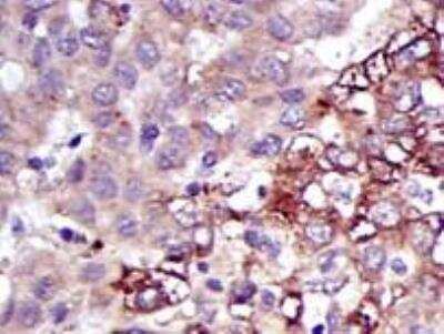
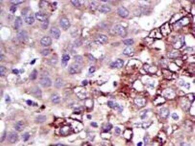
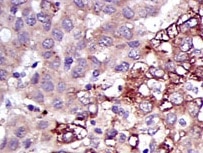
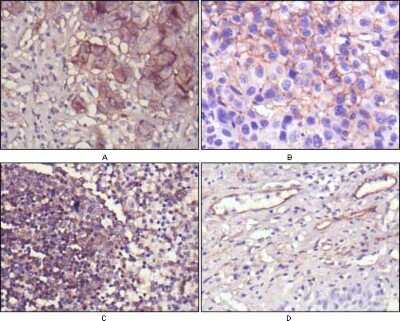
Immunohistochemistry-Paraffin: 5'-Nucleotidase/CD73 Antibody (1D7) [NBP1-47495] - Analysis of human lung cancer (A), cholangiocarcinorna (B), lymph node (C) and esophagus (D) tissues using NT5E mouse mAb with DAB ...read more

Product Details

Summary
Reactivity HuSpecies Glossary
Applications ELISA, IHC, IHC-P
Clone
1D7
Clonality
Monoclonal
Host
Mouse
Conjugate
Unconjugated

Order Details

5'-Nucleotidase/CD73 Antibody (1D7) Summary

Immunogen
Purified recombinant fragment of NT5E expressed in E. Coli.
Isotype
IgG1
Clonality
Monoclonal
Host
Mouse
Gene
NT5E
Purity
Unpurified
Innovator's Reward
Test in a species/application not listed above to receive a full credit towards a future purchase.

Applications/Dilutions

Dilutions
  • ELISA 1:10000
  • Immunohistochemistry 1:10 - 1:500
  • Immunohistochemistry-Paraffin 1:200 - 1:1000
Theoretical MW
70 kDa.
Disclaimer note: The observed molecular weight of the protein may vary from the listed predicted molecular weight due to post translational modifications, post translation cleavages, relative charges, and other experimental factors.

Packaging, Storage & Formulations

Storage
Store at 4C short term. Aliquot and store at -20C long term. Avoid freeze-thaw cycles.
Buffer
Ascites
Preservative
0.03% Sodium Azide
Purity
Unpurified

Alternate Names for 5'-Nucleotidase/CD73 Antibody (1D7)

  • 5' nucleotidase (CD73)
  • 5'-NT
  • 5-NT
  • 5'-Nucleotidase
  • 5'-nucleotidase, ecto (CD73)
  • CD73 antigen
  • CD73
  • E5NT
  • EC 3.1.3.5
  • Ecto-5'-nucleotidase
  • eN
  • eNT
  • NT
  • NT55'-nucleotidase
  • NT5E
  • NTE
  • Purine 5-Prime-Nucleotidase

Background

Ecto-5-prime-nucleotidase (5-prime-ribonucleotide phosphohydrolase; EC 3.1.3.5) catalyzes the conversion at neutral pH of purine 5-prime mononucleotides to nucleosides, the preferred substrate being AMP. The enzyme consists of a dimer of 2 identical 70-kD subunits bound by a glycosyl phosphatidyl inositol linkage to the external face of the plasma membrane. The enzyme is used as a marker of lymphocyte differentiation. Consequently, a deficiency of NT5 occurs in a variety of immunodeficiency diseases (e.g., see MIM 102700, MIM 300300). Other forms of 5-prime nucleotidase exist in the cytoplasm and lysosomes and can be distinguished from ecto-NT5 by their substrate affinities, requirement for divalent magnesium ion, activation by ATP, and inhibition by inorganic phosphate.[supplied by OMIM]

Limitations

This product is for research use only and is not approved for use in humans or in clinical diagnosis. Primary Antibodies are guaranteed for 1 year from date of receipt.

Customers Who Viewed This Item Also Viewed...

NBP2-33903
Species: Hu
Applications: IHC, IHC-P
NBP1-87404
Species: Hu, Mu, Rt
Applications: WB, Flow, ICC/IF, IHC, IHC-P, KD
NBP2-22122
Species: Hu, Mu
Applications: WB, ELISA, ICC/IF, IHC, IHC-P
NBP2-79843
Species: Hu
Applications: WB, ELISA, Flow, ICC/IF, IHC, IHC-P, PA, CyTOF-ready
NB100-524
Species: Hu, Mu
Applications: WB, Flow, ICC/IF, IHC, IHC-Fr, IHC-P, IP, Flow-IC
NBP1-31329
Species: Hu, Mu, Rt
Applications: WB, ICC/IF, IHC, IHC-Fr, IHC-P
NB100-65543
Species: Rt
Applications: WB, Flow, ICC/IF, IHC, IHC-Fr, IP
NB100-77417
Species: Hu, Mu
Applications: WB, Flow, Func, ICC/IF, IHC, IHC-Fr, IHC-P, IP, In vitro, In vivo, CyTOF-ready
H00010908-M08
Species: Hu
Applications: WB, ELISA, IHC, IHC-P
NB600-1071
Species: Mu, Rt
Applications: WB, ELISA, Flow, ICC/IF, IHC, IHC-Fr, IHC-P, IP
NBP1-90071
Species: Hu, Mu, Po, Eq
Applications: WB, Flow, ICC/IF, IHC, IHC-P
NB300-187
Species: Hu, Mu, Rt
Applications: ICC/IF, IHC
NBP2-15291
Species: Hu, Mu, Rt
Applications: WB, ICC/IF, IHC, IHC-P
BBA10
Species: Hu
Applications: WB, Simple Western, Flow, IHC, IP, CyTOF-ready
NBP2-24916
Species: Hu, Mu, Rt, Bv
Applications: WB, IHC, IHC-P
NBP2-34260
Species: Hu, Mu, Po, Bv, Rb
Applications: WB, Flow, ICC/IF, IHC, IHC-Fr, IHC-P

Publications for 5'-Nucleotidase/CD73 Antibody (NBP1-47495) (0)

There are no publications for 5'-Nucleotidase/CD73 Antibody (NBP1-47495).
By submitting your publication information earn gift cards and discounts for future purchases.

Reviews for 5'-Nucleotidase/CD73 Antibody (NBP1-47495) (0)

There are no reviews for 5'-Nucleotidase/CD73 Antibody (NBP1-47495). By submitting a review you will receive an Amazon e-Gift Card or Novus Product Discount.
  • Review with no image -- $10/€7/£6/$10 CAD/¥70 Yuan/¥1110 Yen
  • Review with an image -- $25/€18/£15/$25 CAD/¥150 Yuan/¥2500 Yen

Product General Protocols

Find general support by application which include: protocols, troubleshooting, illustrated assays, videos and webinars.

FAQs for 5'-Nucleotidase/CD73 Antibody (NBP1-47495). (Showing 1 - 1 of 1 FAQ).

  1. We are interested in CD73 antibodies that could react with dog, please let me know which products in your catalog you would recommend.
    • We do not currently carry any CD73 antibodies that have been validated for use in dog samples. However, if you are interested in testing any of our CD73 antibodies with dog samples you would be eligible for our Innovators Reward Program, in which you can get a discount voucher for the purchase price of the product. Please contact us at innovators@novusbio.com with any questions regarding this program.

Secondary Antibodies

 

Isotype Controls

Other Available Formats

Additional 5'-Nucleotidase/CD73 Products

Bioinformatics Tool for 5'-Nucleotidase/CD73 Antibody (NBP1-47495)

Discover related pathways, diseases and genes to 5'-Nucleotidase/CD73 Antibody (NBP1-47495). Need help? Read the Bioinformatics Tool Guide for instructions on using this tool.
Visit Tool

Diseases for 5'-Nucleotidase/CD73 Antibody (NBP1-47495)

Discover more about diseases related to 5'-Nucleotidase/CD73 Antibody (NBP1-47495).
 

Pathways for 5'-Nucleotidase/CD73 Antibody (NBP1-47495)

View related products by pathway.

PTMs for 5'-Nucleotidase/CD73 Antibody (NBP1-47495)

Learn more about PTMs related to 5'-Nucleotidase/CD73 Antibody (NBP1-47495).
 

Research Areas for 5'-Nucleotidase/CD73 Antibody (NBP1-47495)

Find related products by research area.

Blogs on 5'-Nucleotidase/CD73.

Adenosine Inhibits T cell Tumor Infiltration: KCa3.1, a New Anticancer Target
By Yoskaly Lazo-Fernandez, PhD Role of Adenosine in the Tumor Microenvironment a Target for Cancer TherapyThe tumor microenvironment (TME) tends to be concentrated in the purine nucleoside adenosine, a direct resu...  Read full blog post.

CD73 (Cluster of differentiation 73, ecto-5'-nucleotidase)
CD73 is a 70kD glycosyl-phosphatidylinositol (GPI)-anchored cell surface molecule that belongs to the 5'-nucleosidase family. It hydrolyzes extracellular nucleotides into membrane permeable nucleosides and is found as both a membrane-bound and soluble...  Read full blog post.

Coronavirus Brochure

Customers Who Bought This Also Bought

Contact Information

Learn the difference between western blot and simple western

Product PDFs

Calculators

Concentration Calculator

The concentration calculator allows you to quickly calculate the volume, mass or concentration of your vial. Simply enter your mass, volume, or concentration values for your reagent and the calculator will determine the rest.

=
÷

Review this Product

Be the first to review our 5'-Nucleotidase/CD73 Antibody (1D7) and receive a gift card or discount.

Bioinformatics

Gene Symbol NT5E
Entrez
Uniprot
COVID-19 update