ZNF35 Antibody - BSA Free

Images

 
Western Blot: ZNF35 Antibody [NBP2-30842] - Analysis in control (vector only transfected HEK293T lysate) and ZNF35 over-expression lysate (Co-expressed with a C-terminal myc-DDK tag (3.1 kDa) in mammalian HEK293T cells).
Immunocytochemistry/ Immunofluorescence: ZNF35 Antibody [NBP2-30842] - Immunofluorescent staining of human cell line PC-3 shows localization to nucleoplasm & cytosol.
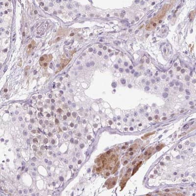
Immunohistochemistry-Paraffin: ZNF35 Antibody [NBP2-30842] - Staining of human testis shows nuclear and cytoplasmic positivity in cells in seminiferous ducts and Leydig cells.

Product Details

Summary
Reactivity HuSpecies Glossary
Applications WB, ICC/IF, IHC
Clonality
Polyclonal
Host
Rabbit
Conjugate
Unconjugated
Format
BSA Free

Order Details

View Available Formulations
Catalog# & Formulation Size Price

ZNF35 Antibody - BSA Free Summary

Description
Novus Biologicals Rabbit ZNF35 Antibody - BSA Free (NBP2-30842) is a polyclonal antibody validated for use in IHC, WB and ICC/IF. All Novus Biologicals antibodies are covered by our 100% guarantee.
Immunogen
This antibody was developed against a recombinant protein corresponding to amino acids: QASSQQVHSENIKVWAPVQGLQTGLDGSEEEEKGQNISWDMAVVLKATQEAPAASTLGSYSLPGTLAKSEILETHGTMNFLGA
Isotype
IgG
Clonality
Polyclonal
Host
Rabbit
Gene
ZNF35
Purity
Affinity purified
Innovator's Reward
Test in a species/application not listed above to receive a full credit towards a future purchase.

Applications/Dilutions

Dilutions
  • Immunocytochemistry/ Immunofluorescence 0.25-2 ug/ml
  • Immunohistochemistry 1:500 - 1:1000
  • Immunohistochemistry-Paraffin 1:500 - 1:1000
  • Western Blot 0.04-0.4 ug/ml
Application Notes
For IHC-Paraffin, HIER pH 6 retrieval is recommended. Immunocytochemistry/Immunofluorescence Fixation Permeabilization: Use PFA/Triton X-100.
Control Peptide
ZNF35 Protein (NBP2-30842PEP)

Packaging, Storage & Formulations

Storage
Store at 4C short term. Aliquot and store at -20C long term. Avoid freeze-thaw cycles.
Buffer
PBS (pH 7.2) and 40% Glycerol
Preservative
0.02% Sodium Azide
Purity
Affinity purified

Alternate Names for ZNF35 Antibody - BSA Free

  • BRF2
  • Butyrate response factor 2
  • ERF2ERF-2
  • Protein TIS11D
  • RNF162Czinc finger protein 36, C3H1 type-like 2
  • TIS11DEGF-response factor 2
  • zinc finger protein 36, C3H type-like 1
  • zinc finger protein 36, C3H type-like 2
  • zinc finger protein, C3H type, 36-like 2

Background

ZNF35 may be involved in transcriptional regulation. Involved in cell differentiation and/or proliferation

Limitations

This product is for research use only and is not approved for use in humans or in clinical diagnosis. Primary Antibodies are guaranteed for 1 year from date of receipt.

Customers Who Viewed This Item Also Viewed...

AF2334
Species: Hu
Applications: ICC, IHC, IP, Simple Western, WB
AF2905
Species: Hu
Applications: ELISA, ICC, WB
NBP1-49045
Species: Mu, Rt
Applications: Cell Depl, CyTOF-ready, Flow, ICC/IF, IHC, IHC-Fr,  IHC-P, IP, InhibTFunc
NB110-59723
Species: Hu, Mu, Po
Applications: ICC/IF, IHC,  IHC-P, WB
NBP2-45731
Species: Ca, Hu, Pm
Applications: IHC,  IHC-P, WB
NBP1-19371
Species: Ca, Hu, Mu, Po, Rb, Rt
Applications: Dual ISH-IHC, Flow, ICC/IF, IHC, IHC-Fr,  IHC-P, Simple Western, WB
NBP1-86616
Species: Hu
Applications: IHC,  IHC-P, WB
NBP2-38234
Species: Hu
Applications: IHC,  IHC-P
NBP1-85333
Species: Hu, Mu
Applications: ICC/IF, IHC,  IHC-P, WB
AF2818
Species: Hu
Applications: ICC, WB
NBP2-58917
Species: Hu
Applications: IHC,  IHC-P, WB
AF3398
Species: Hu, Mu, Rt
Applications: ICC, KO, Simple Western, WB
NBP1-85594
Species: Hu
Applications: ICC/IF, IHC,  IHC-P, WB
NBP1-72042
Species: Hu, Mu, Rt
Applications: ICC/IF, IHC,  IHC-P, PEP-ELISA, WB
NBP1-82847
Species: Hu
Applications: ICC/IF, IHC,  IHC-P, WB
H00005018-D01P
Species: Hu
Applications: ICC/IF, WB
NBP2-30842
Species: Hu
Applications: WB, ICC/IF, IHC

Publications for ZNF35 Antibody (NBP2-30842) (0)

There are no publications for ZNF35 Antibody (NBP2-30842).
By submitting your publication information earn gift cards and discounts for future purchases.

Reviews for ZNF35 Antibody (NBP2-30842) (0)

There are no reviews for ZNF35 Antibody (NBP2-30842). By submitting a review you will receive an Amazon e-Gift Card or Novus Product Discount.
  • Review with no image -- $10/€7/£6/$10 CAD/¥70 Yuan/¥1110 Yen
  • Review with an image -- $25/€18/£15/$25 CAD/¥150 Yuan/¥2500 Yen

Product General Protocols

Find general support by application which include: protocols, troubleshooting, illustrated assays, videos and webinars.

Video Protocols

WB Video Protocol
ICC/IF Video Protocol

FAQs for ZNF35 Antibody (NBP2-30842) (0)

There are no specific FAQs related to this product. Read our general customer & technical service FAQs.

Customers Who Bought This Also Bought

Contact Information

Product PDFs

Calculators

Concentration Calculator

The concentration calculator allows you to quickly calculate the volume, mass or concentration of your vial. Simply enter your mass, volume, or concentration values for your reagent and the calculator will determine the rest.

=
÷

Review this Product

Be the first to review our ZNF35 Antibody - BSA Free and receive a gift card or discount.

Bioinformatics

Gene Symbol ZNF35
Uniprot