ZNF133 Antibody - BSA Free

Images

 
Western Blot: ZNF133 Antibody [NBP2-20963] - Sample (30 ug of whole cell lysate) A: HCT116 7. 5% SDS PAGE gel, diluted at 1:5000.
Immunocytochemistry/ Immunofluorescence: ZNF133 Antibody [NBP2-20963] - Analysis of paraformaldehyde-fixed HeLa, using antibody at 1:200 dilution.
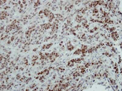
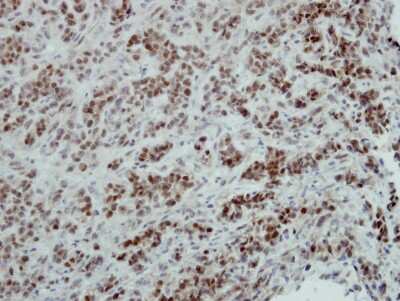
Immunohistochemistry-Paraffin: ZNF133 Antibody [NBP2-20963] - ZNF133 antibody detects ZNF133 protein at nucleus in human colon cancer by immunohistochemical analysis. Sample: Paraffin-embedded human colon cancer. ZNF133 ...read more
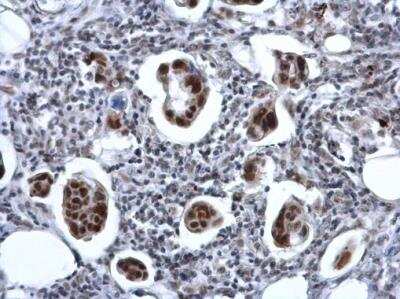
Immunohistochemistry-Paraffin: ZNF133 Antibody [NBP2-20963] - Immunohistochemical analysis of paraffin-embedded TOV-21G xenograft, using antibody at 1:100 dilution.
Immunohistochemistry-Paraffin: ZNF133 Antibody [NBP2-20963] - ZNF133 antibody detects ZNF133 protein at nucleus in human breast cancer by immunohistochemical analysis. Sample: Paraffin-embedded human breast cancer. ...read more

Product Details

Summary
Reactivity HuSpecies Glossary
Applications WB, ICC/IF, IHC
Clonality
Polyclonal
Host
Rabbit
Conjugate
Unconjugated
Format
BSA Free

Order Details

ZNF133 Antibody - BSA Free Summary

Description
Novus Biologicals Rabbit ZNF133 Antibody - BSA Free (NBP2-20963) is a polyclonal antibody validated for use in IHC, WB and ICC/IF. All Novus Biologicals antibodies are covered by our 100% guarantee.
Immunogen
Recombinant protein encompassing a sequence within the center region of human ZNF133. The exact sequence is proprietary.
Localization
Nucleus
Isotype
IgG
Clonality
Polyclonal
Host
Rabbit
Gene
ZNF133
Purity
Antigen Affinity-purified
Innovator's Reward
Test in a species/application not listed above to receive a full credit towards a future purchase.

Applications/Dilutions

Dilutions
  • Immunocytochemistry/ Immunofluorescence 1:100-1:1000
  • Immunohistochemistry 10 - 1:500
  • Immunohistochemistry-Paraffin 1:100-1:1000
  • Western Blot 1:1000-1:10000
Theoretical MW
73 kDa.
Disclaimer note: The observed molecular weight of the protein may vary from the listed predicted molecular weight due to post translational modifications, post translation cleavages, relative charges, and other experimental factors.

Reactivity Notes

Immunogen displays the following percentage of sequence identity for non-tested species: Bovine (81%).

Packaging, Storage & Formulations

Storage
Aliquot and store at -20C or -80C. Avoid freeze-thaw cycles.
Buffer
0.1M Tris, 0.1M Glycine, 20% Glycerol
Preservative
0.01% Thimerosal
Purity
Antigen Affinity-purified

Alternate Names for ZNF133 Antibody - BSA Free

  • EC 2.1.1
  • EC 2.1.1.43
  • pHZ-13
  • pHZ-66
  • zinc finger protein 133 (clone pHZ-13)
  • zinc finger protein 133
  • zinc finger protein 150 (pHZ-66)
  • Zinc finger protein 150
  • ZNF150

Background

May be involved in transcriptional regulation as a repressor.

Limitations

This product is for research use only and is not approved for use in humans or in clinical diagnosis. Primary Antibodies are guaranteed for 1 year from date of receipt.

Customers Who Viewed This Item Also Viewed...

NBP3-16858
Species: Hu, Mu, Rt
Applications: IHC,  IHC-P, WB
NBP1-31308
Species: Bv, Hu, Mu, Rt
Applications: ICC/IF, IHC,  IHC-P, Simple Western, WB
NB600-533
Species: Hu, Mu
Applications: Flow, ICC/IF, IHC, IP, Simple Western, WB
H00055422-B01P
Species: Hu
Applications: ICC/IF, WB
AF2894
Species: Hu, Mu
Applications: CyTOF-ready, ICFlow, Simple Western, WB
NBP2-59679
Species: Hu
Applications: ICC/IF, IHC,  IHC-P, WB
NB200-109
Species: Hu, Mu
Applications: ChIP, ChIP, CyTOF-ready, Flow, GS, ICC/IF, IP, WB
1129-ER
Species: Hu
Applications: BA
NBP2-30392
Species: Hu
Applications: IHC,  IHC-P
MAB2669
Species: Hu
Applications: IHC, Simple Western, WB
NB600-302
Species: Bv, Dr, Hu, Mu
Applications: ChIP, ELISA, Flow-IC, Flow, IB, ICC/IF, IHC, IHC-Fr,  IHC-P, IP, PLA, S-ELISA, Simple Western, WB
NBP1-79850
Species: Hu, Mu
Applications: IHC,  IHC-P, IP, WB
NBP2-15581
Species: Dr, Hu, Mu, Rt
Applications: ICC/IF, IHC,  IHC-P, WB
NBP2-45928
Species: Hu, Mu, Rt
Applications: ICC/IF, WB
NB600-600
Species: Ca, Hu, Mu
Applications: ChIP, ELISA, Flow-IC, IB, ICC/IF, IHC,  IHC-P, KD, WB
MAB9096
Species: Hu
Applications: IHC, WB
NBP3-25228
Species: Hu
Applications: ICC/IF
NB600-936
Species: Bv, Ce, Ch, ChHa, Hu, I, In, Mu, Po, Pm, Rt, Xp, Ze
Applications: ICC/IF, IHC,  IHC-P, Simple Western, WB
NBP2-38627
Species: Hu
Applications: ICC/IF, IHC,  IHC-P, WB
⚠ WARNING: This product can expose you to chemicals including mercury, which is known to the State of California to cause reproductive toxicity with developmental effects.  For more information go to www.P65Warnings.ca.gov.

Publications for ZNF133 Antibody (NBP2-20963) (0)

There are no publications for ZNF133 Antibody (NBP2-20963).
By submitting your publication information earn gift cards and discounts for future purchases.

Reviews for ZNF133 Antibody (NBP2-20963) (0)

There are no reviews for ZNF133 Antibody (NBP2-20963). By submitting a review you will receive an Amazon e-Gift Card or Novus Product Discount.
  • Review with no image -- $10/€7/£6/$10 CAD/¥70 Yuan/¥1110 Yen
  • Review with an image -- $25/€18/£15/$25 CAD/¥150 Yuan/¥2500 Yen

Product General Protocols

Find general support by application which include: protocols, troubleshooting, illustrated assays, videos and webinars.

Video Protocols

WB Video Protocol
ICC/IF Video Protocol

FAQs for ZNF133 Antibody (NBP2-20963) (0)

There are no specific FAQs related to this product. Read our general customer & technical service FAQs.

Customers Who Bought This Also Bought

Contact Information

Product PDFs

Calculators

Concentration Calculator

The concentration calculator allows you to quickly calculate the volume, mass or concentration of your vial. Simply enter your mass, volume, or concentration values for your reagent and the calculator will determine the rest.

=
÷

Review this Product

Be the first to review our ZNF133 Antibody - BSA Free and receive a gift card or discount.

Bioinformatics

Gene Symbol ZNF133