ZMYND11 Antibody - BSA Free

Images

 
Immunocytochemistry/ Immunofluorescence: ZMYND11 Antibody [NBP2-20960] - Detection of ZMYND11 protein at nucleus by immunofluorescent analysis. Sample: A431 cells were fixed in 4% paraformaldehyde at RT for 15 min. ...read more
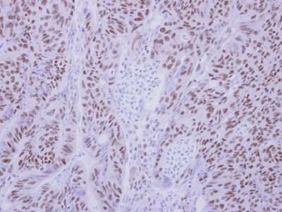
Immunohistochemistry-Paraffin: ZMYND11 Antibody [NBP2-20960] - Human colon carcinoma, using BS69 antibody antibody at 1:250 dilution. Antigen Retrieval: Trilogy™ (EDTA based, pH 8.0) buffer, 15min.
Non-transfected (-) and transfected (+) 293T whole cell extracts were separated by 7.5% SDS-PAGE, and the membrane was blotted with BS69 antibody (NBP2-20960) diluted at 1:2000. The HRP-conjugated anti-rabbit IgG ...read more
Various whole cell extracts (30 ug) were separated by 7.5% SDS-PAGE, and the membrane was blotted with BS69 antibody (NBP2-20960) diluted at 1:1000. The HRP-conjugated anti-rabbit IgG antibody was used to detect the ...read more

Product Details

Summary
Reactivity Hu, Mu, Rt, RMSpecies Glossary
Applications WB, ICC/IF, IHC, Mycoplasma
Clonality
Polyclonal
Host
Rabbit
Conjugate
Unconjugated
Format
BSA Free

Order Details

ZMYND11 Antibody - BSA Free Summary

Description
Novus Biologicals Rabbit ZMYND11 Antibody - BSA Free (NBP2-20960) is a polyclonal antibody validated for use in IHC, WB and ICC/IF. Anti-ZMYND11 Antibody: Cited in 1 publication. All Novus Biologicals antibodies are covered by our 100% guarantee.
Immunogen
Recombinant protein encompassing a sequence within the center region of human ZMYND11. The exact sequence is proprietary.
Localization
Nucleus
Predicted Species
Mouse (97%), Rat (97%), Rhesus Macaque (99%). Backed by our 100% Guarantee.
Isotype
IgG
Clonality
Polyclonal
Host
Rabbit
Gene
ZMYND11
Purity
Antigen Affinity-purified
Innovator's Reward
Test in a species/application not listed above to receive a full credit towards a future purchase.

Applications/Dilutions

Dilutions
  • Immunocytochemistry/ Immunofluorescence 1:100-1:1000
  • Immunohistochemistry 1:100-1:1000
  • Immunohistochemistry-Paraffin 1:100-1:1000
  • Knockdown Validated
  • Western Blot 1:500-1:3000
Theoretical MW
66 kDa.
Disclaimer note: The observed molecular weight of the protein may vary from the listed predicted molecular weight due to post translational modifications, post translation cleavages, relative charges, and other experimental factors.
Publications
Read Publication using
NBP2-20960 in the following applications:

Packaging, Storage & Formulations

Storage
Aliquot and store at -20C or -80C. Avoid freeze-thaw cycles.
Buffer
PBS, 20% Glycerol
Preservative
0.025% Proclin 300
Purity
Antigen Affinity-purified

Alternate Names for ZMYND11 Antibody - BSA Free

  • adenovirus 5 E1A binding protein
  • Adenovirus 5 E1A-binding protein
  • bone morphogenetic protein receptor-associated molecule 1
  • BRAM1
  • MGC111056
  • MYND domain containing 11
  • Protein BS69
  • zinc finger MYND domain-containing protein 11
  • zinc finger, MYND-type containing 11

Background

The protein encoded by this gene was first identified by its ability to bind the adenovirus E1A protein. The protein localizes to the nucleus. It functions as a transcriptional repressor, and expression of E1A inhibits this repression. Alternatively spliced transcript variants encoding different isoforms have been identified. [provided by RefSeq]

Limitations

This product is for research use only and is not approved for use in humans or in clinical diagnosis. Primary Antibodies are guaranteed for 1 year from date of receipt.

Customers Who Viewed This Item Also Viewed...

NBP1-28863
Species: Hu
Applications: ELISA, ICC/IF, IHC,  IHC-P, WB
NBP1-84841
Species: Hu
Applications: ICC/IF, IHC,  IHC-P, WB
NB120-13810
Species: Mu, Po, Rt
Applications: IB, ICC/IF, IHC,  IHC-P, IP, KD, Simple Western, WB
NB100-56583
Species: Hu, Rb, Rt
Applications: Flow, IHC,  IHC-P, KO, Simple Western, WB
MAB6495
Species: Hu
Applications: ICC, Simple Western, WB
NB100-56176
Species: Hu, Mu, Rt
Applications: IHC,  IHC-P, IP, WB
MAB17761
Species: Hu, Mu, Rt
Applications: ICC, WB
M6000B
Species: Mu
Applications: ELISA
AF3578
Species: Hu, Mu
Applications: ICC, WB
NBP2-24875
Species: Ca, Hu, Mu
Applications: BA, B/N, Flow-IC, Flow, ICC/IF, IHC,  IHC-P, WB
AF2658
Species: Hu
Applications: ICC, IHC, WB
NBP1-80306
Species: Av, Hu
Applications: ICC/IF, IHC,  IHC-P, KD, WB
MAB2476
Species: Hu
Applications: IHC, WB
MAB3277
Species: Hu, Mu, Rt
Applications: ICC, KO, WB
NBP2-26506
Species: Hu, Mu, Rt
Applications: B/N, In vitro
NBP1-80943
Species: Hu
Applications: ICC/IF, IHC,  IHC-P
NB200-106
Species: Mu, Rt
Applications: ELISA, ICC/IF, IHC, IHC-Fr,  IHC-P, WB
⚠ WARNING: This product can expose you to chemicals including mercury, which is known to the State of California to cause reproductive toxicity with developmental effects.  For more information go to www.P65Warnings.ca.gov.

Publications for ZMYND11 Antibody (NBP2-20960)(1)

We have publications tested in 1 confirmed species: Human.

We have publications tested in 1 application: IF/IHC.


Filter By Application
IF/IHC
(1)
All Applications
Filter By Species
Human
(1)
All Species

Reviews for ZMYND11 Antibody (NBP2-20960) (0)

There are no reviews for ZMYND11 Antibody (NBP2-20960). By submitting a review you will receive an Amazon e-Gift Card or Novus Product Discount.
  • Review with no image -- $10/€7/£6/$10 CAD/¥70 Yuan/¥1110 Yen
  • Review with an image -- $25/€18/£15/$25 CAD/¥150 Yuan/¥2500 Yen

Product General Protocols

Find general support by application which include: protocols, troubleshooting, illustrated assays, videos and webinars.

Video Protocols

WB Video Protocol
ICC/IF Video Protocol

FAQs for ZMYND11 Antibody (NBP2-20960) (0)

There are no specific FAQs related to this product. Read our general customer & technical service FAQs.

Secondary Antibodies

 

Isotype Controls

Additional ZMYND11 Products

Research Areas for ZMYND11 Antibody (NBP2-20960)

Find related products by research area.

Blogs on ZMYND11

There are no specific blogs for ZMYND11, but you can read our latest blog posts.

Customers Who Bought This Also Bought

Contact Information

Product PDFs

Calculators

Concentration Calculator

The concentration calculator allows you to quickly calculate the volume, mass or concentration of your vial. Simply enter your mass, volume, or concentration values for your reagent and the calculator will determine the rest.

=
÷

Review this Product

Be the first to review our ZMYND11 Antibody - BSA Free and receive a gift card or discount.

Bioinformatics

Gene Symbol ZMYND11
Uniprot