ZC3H12D Antibody - BSA Free

Images

 
Immunohistochemistry-Paraffin: ZC3H12D Antibody [NBP1-91249] - Staining of human tonsil shows moderate cytoplasmic positivity in germinal center cells.
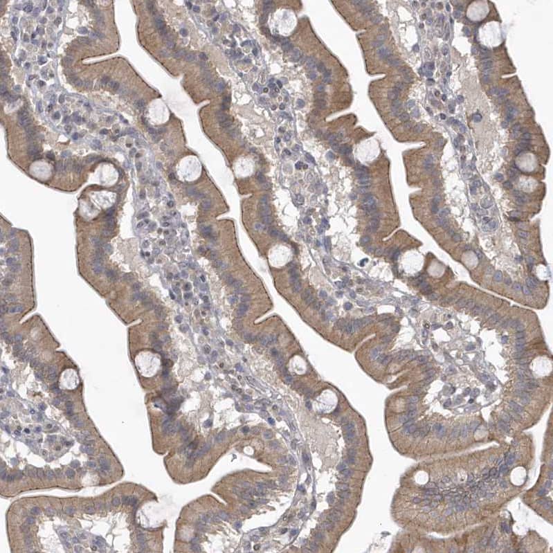
Staining of human duodenum shows moderate cytoplasmic positivity in glandular cells.
Staining of human skeletal muscle shows moderate cytoplasmic positivity in myocytes.
Staining of human tonsil shows moderate cytoplasmic positivity in germinal center cells.
Analysis in control (vector only transfected HEK293T lysate) and ZC3H12D over-expression lysate (Co-expressed with a C-terminal myc-DDK tag (~3.1 kDa) in mammalian HEK293T cells).
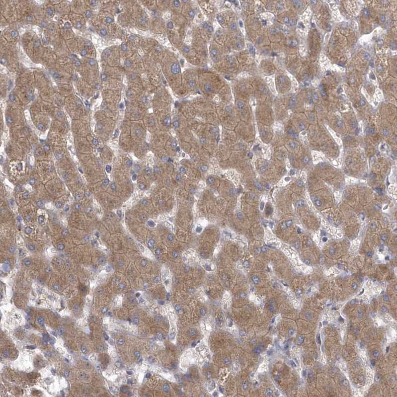
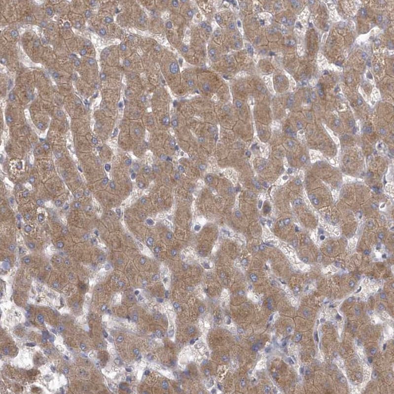
Staining of human liver shows moderate cytoplasmic positivity in hepatocytes.

Product Details

Summary
Reactivity HuSpecies Glossary
Applications WB, IHC
Clonality
Polyclonal
Host
Rabbit
Conjugate
Unconjugated
Format
BSA Free

Order Details

View Available Formulations
Catalog# & Formulation Size Price

ZC3H12D Antibody - BSA Free Summary

Description
Novus Biologicals Rabbit ZC3H12D Antibody - BSA Free (NBP1-91249) is a polyclonal antibody validated for use in IHC and WB. All Novus Biologicals antibodies are covered by our 100% guarantee.
Immunogen
This antibody was developed against Recombinant Protein corresponding to amino acids: GYDREDVLRVLGKLGEGALVNDVLQELIRTGSRPGALEHPAAPRLVPRGSCGVPDSAQRGPGTALEEDFRTLA
Isotype
IgG
Clonality
Polyclonal
Host
Rabbit
Gene
ZC3H12D
Purity
Immunogen affinity purified
Innovator's Reward
Test in a species/application not listed above to receive a full credit towards a future purchase.

Applications/Dilutions

Dilutions
  • Immunohistochemistry 1:50 - 1:200
  • Immunohistochemistry-Paraffin 1:50 - 1:200
  • Western Blot 0.04-0.4 ug/ml
Application Notes
For IHC-Paraffin, HIER pH 6 retrieval is recommended.
Control Peptide
ZC3H12D Protein (NBP1-91249PEP)

Packaging, Storage & Formulations

Storage
Store at 4C short term. Aliquot and store at -20C long term. Avoid freeze-thaw cycles.
Buffer
PBS (pH 7.2) and 40% Glycerol
Preservative
0.02% Sodium Azide
Purity
Immunogen affinity purified

Alternate Names for ZC3H12D Antibody - BSA Free

  • C6orf95
  • FLJ46041
  • MCP-induced protein 4
  • p34
  • TFL
  • transformed follicular lymphoma
  • tumor suppressor TFL
  • zinc finger CCCH-type containing 12D

Limitations

This product is for research use only and is not approved for use in humans or in clinical diagnosis. Primary Antibodies are guaranteed for 1 year from date of receipt.

Customers Who Viewed This Item Also Viewed...

NBP1-85729
Species: Hu, Mu, Rt
Applications: ICC/IF, IHC,  IHC-P, WB
NBP2-33466
Species: Hu
Applications: ICC/IF, IHC,  IHC-P, WB
NBP2-29463
Species: Pm, Hu, Pm, Mu
Applications: Flow, ICC/IF, IHC,  IHC-P, WB
AF6000
Species: Hu, Mu
Applications: IHC, Simple Western, WB
NB500-106
Species: Ch, Dr, Fi, Hu, Mar, Mu, Po, Pm, Rb, Rt, Ye, Ze
Applications: ChIP, ChIP, ELISA, Flow, ICC/IF, IHC-FrFl, IHC, IHC-Fr,  IHC-P, IP, Simple Western, WB
AF1230
Species: Hu, Mu, Rt
Applications: IHC, KO, WB
NBP2-46085
Species: Hu
Applications: IHC,  IHC-P, WB
H00027065-M01
Species: Hu, Rt
Applications: ELISA, ICC/IF, S-ELISA, WB
NB200-106
Species: Mu, Rt
Applications: ELISA, ICC/IF, IHC, IHC-Fr,  IHC-P, WB
NBP2-00776
Species: Ca, Hu, Pm, Mu, Rt
Applications: Flow, ICC/IF, IHC,  IHC-P, WB
NB200-103
Species: Hu, Mu, Rt, Xp(-), Ye
Applications: CyTOF-ready, ELISA, Flow-IC, Flow, ICC/IF, IHC, IHC-Fr,  IHC-P, IP, WB
NBP1-89790
Species: Hu, Mu, Rt
Applications: ICC/IF, IHC,  IHC-P, WB
MAB32652
Species: Hu
Applications: CyTOF-ready, ELISA, Flow, KO
NBP3-07348
Species: Hu
Applications: Flow, ICC/IF, PA
H00002965-M01
Species: Hu
Applications: ELISA, ICC/IF, IHC,  IHC-P, KD, S-ELISA, WB
NB100-56098
Species: Ca, Hu, Mu, Rt
Applications: IHC,  IHC-P, IP, WB
H00000902-M01
Species: Hu
Applications: ELISA, ICC/IF, IHC,  IHC-P, S-ELISA, WB
NBP2-45184
Species: Hu, Mu, Rt
Applications: Flow, ICC/IF, IHC,  IHC-P, WB
NB100-2204
Species: Hu, Mu
Applications: IHC,  IHC-P, IP, WB

Publications for ZC3H12D Antibody (NBP1-91249) (0)

There are no publications for ZC3H12D Antibody (NBP1-91249).
By submitting your publication information earn gift cards and discounts for future purchases.

Reviews for ZC3H12D Antibody (NBP1-91249) (0)

There are no reviews for ZC3H12D Antibody (NBP1-91249). By submitting a review you will receive an Amazon e-Gift Card or Novus Product Discount.
  • Review with no image -- $10/€7/£6/$10 CAD/¥70 Yuan/¥1110 Yen
  • Review with an image -- $25/€18/£15/$25 CAD/¥150 Yuan/¥2500 Yen

Product General Protocols

Find general support by application which include: protocols, troubleshooting, illustrated assays, videos and webinars.

Video Protocols

WB Video Protocol

FAQs for ZC3H12D Antibody (NBP1-91249) (0)

There are no specific FAQs related to this product. Read our general customer & technical service FAQs.

Secondary Antibodies

 

Isotype Controls

Additional ZC3H12D Products

Research Areas for ZC3H12D Antibody (NBP1-91249)

Find related products by research area.

Blogs on ZC3H12D

There are no specific blogs for ZC3H12D, but you can read our latest blog posts.

Customers Who Bought This Also Bought

Contact Information

Product PDFs

Calculators

Concentration Calculator

The concentration calculator allows you to quickly calculate the volume, mass or concentration of your vial. Simply enter your mass, volume, or concentration values for your reagent and the calculator will determine the rest.

=
÷

Review this Product

Be the first to review our ZC3H12D Antibody - BSA Free and receive a gift card or discount.

Bioinformatics

Gene Symbol ZC3H12D