XIAP Antibody

Images

 
Western Blot: XIAP Antibody - Unpurified [NB100-56184] - Analysis of XIAP using this antibody to XIAP at 1:2000. Full-length recombinat XIAP was recognized; the antibody did not but not the other recombinant IAP ...read more
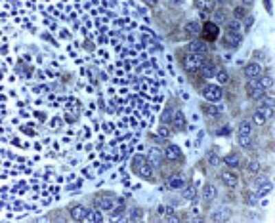
Immunohistochemistry-Paraffin: XIAP Antibody - Unpurified [NB100-56184] - Analysis of XIAP in formalin-fixed, paraffin-embedded human esophageal carcinoma using this antibody at 1:2000. Hematoxylin-eosin counterstain.
Western Blot: XIAP Antibody - Unpurified [NB100-56184] - Analysis of XIAP in various tumor cell lines using this antibody at 1:2000.

Product Details

Summary
Product Discontinued
View other related XIAP Primary Antibodies

Order Details


    • Catalog Number
      NB100-56184
    • Availability
      Product Discontinued

    Can't find what you are looking for? Use our Antibody Concierge Service & we will help you locate your antibody!

    Or feel free to contact us for alternative products.

XIAP Antibody Summary

Immunogen
Recombinant BIR2 domain protein fragment of human XIAP was used as immunogen. The BIR2 domain used for immunogen corresponds to amino acids 163-230 of human XIAP (Deveraux et al, 1999).
Specificity
The antibody recognizes epitopes in the BIR2 domain of XIAP. Therefore it can recognize full-length XIAP and XIAP cleavage fragments containing the BIR2 domain. However, XIAP cleavage fragments may be biologically unstable, and therefore cleavage fragments may be difficult to detect.
Isotype
IgG
Clonality
Polyclonal
Host
Rabbit
Gene
XIAP
Purity
Unpurified
Innovator's Reward
Test in a species/application not listed above to receive a full credit towards a future purchase.

Applications/Dilutions

Dilutions
  • Immunohistochemistry
  • Immunohistochemistry-Paraffin 1:1000-1:5000
  • Immunoprecipitation 1:50-1:200
  • Western Blot 1:1000-1:2000
Control
XIAP Overexpression Lysate

Packaging, Storage & Formulations

Storage
Store at 4C short term. Aliquot and store at -20C long term. Avoid freeze-thaw cycles.
Buffer
Whole antisera
Preservative
0.02% Sodium Azide
Purity
Unpurified

Alternate Names for XIAP Antibody

  • API3X-linked inhibitor of apoptosis protein
  • apoptosis inhibitor 3
  • baculoviral IAP repeat-containing 4
  • baculoviral IAP repeat-containing protein 4
  • BIRC4
  • BIRC4XLP2
  • E3 ubiquitin-protein ligase XIAP
  • EC 6.3.2.-
  • hIAP3
  • hIAP-3
  • hILP
  • IAP3
  • IAP-3
  • IAP-like protein
  • ILP
  • ILP1
  • Inhibitor of apoptosis protein 3
  • MIHA
  • XIAP
  • X-linked IAP
  • X-linked inhibitor of apoptosis

Background

XIAP [human X-linked IAP, hILP (human IAP-like protein), MIHA, BIRC4) is a member of the family of inhibitor of apoptosis proteins (IAP). IAPs suppress mitochondria-dependent and independent apoptosis by binding to and inhibiting caspases through their BIR domains (reviewed in Liston et al, 2003; Wright and Duckett, 2005). Resistance towards apoptosis is a hallmark of cancer cells, and overexpression of IAPs can contribute to the development of cancer though inhibiting apoptosis. In addition to at least one BIR domain, some IAP members also have a RING-type finger motif at their carboxyl-terminal. The RING finger domain of several IAPs, including XIAP, have E3 ubiquitin ligase activity and target the degradation of Smac/DIABLO through ubiquitination (Morizane et al, 2005). Smac/DIABLO is a death inducer and functions by inhibiting IAP-caspase interactions, thereby promoting apoptosis. Degradation of cell death inducers like Smac/DIABLO is thought to be a conserved mechanism by which IAPs enhance their anti-apoptotic activity, thereby promoting cell survival. XIAP is highly characterized with respect to its structure and biochemical mechanisms and has received interest as a therapeutic target (reviewed in Schimmer, 2006). Since XIAP blocks a substantial portion of the apoptosis pathway and is associated with chemoresistance in cancer cells, inhibiting XIAP has been a focus for potential therapeutics. Approaches have included antisense oligonucleotides and small molecule inhibitors. Small molecules that that target the BIR2 and BIR3 domains of XIAP are considered particularly attractive. This is because the BIR domains inhibit caspase activity, and it is thought that removing the inhibition should increase the cell's ability to undergo apoptosis as well as decrease its potential for chemoresistance. Full-length human XIAP is a 497 amino acid protein and migrates at approx. 53 kDa on SDS-PAGE.

Limitations

This product is for research use only and is not approved for use in humans or in clinical diagnosis. Primary Antibodies are guaranteed for 1 year from date of receipt.

Customers Who Viewed This Item Also Viewed...

NB100-56311
Species: Hu, Mu
Applications: ICC/IF, IHC,  IHC-P, WB
AF800
Species: Hu, Mu
Applications: IP, Simple Western, WB
NB100-56098
Species: Ca, Hu, Mu, Rt
Applications: IHC,  IHC-P, IP, WB
NB100-56118
Species: Ca, Ma, Hu, Mu, Rt
Applications: Flow-IC, ICC/IF, IHC, IHC-Fr,  IHC-P, IP, WB
NB500-201
Species: Ca, Fe, Gp, Ha, Hu, Mu, Rt
Applications: ChIP, Dual ISH-IHC, ELISA, Flow, ICC/IF, IHC, IHC-Fr,  IHC-P, IP, KD, Simple Western, WB
NBP2-33680
Species: Hu
Applications: IHC,  IHC-P
NBP3-25355
Species: Dr, Hu, Mu
Applications: IHC,  IHC-P, WB
AF4670
Species: Hu
Applications: CyTOF-ready, Flow, IHC, KO, Neut, WB
NBP2-14214
Species: Hu
Applications: IHC,  IHC-P
NB100-56116
Species: Ma, Hu, Mu, Rt
Applications: Flow, ICC/IF, IHC, IHC-Fr,  IHC-P, IP, Simple Western, WB
AF8181
Species: Hu
Applications: IHC, KO, Simple Western, WB
NB100-56503
Species: Dr, Hu, Mu, Rb, Rt
Applications: Flow-CS, Flow-IC, Flow, IB, ICC/IF, IHC,  IHC-P, Simple Western, WB
NB100-56583
Species: Hu, Rb, Rt
Applications: Flow, IHC,  IHC-P, KO, Simple Western, WB
AF887
Species: Hu, Mu, Rt
Applications: CyTOF-ready, IHC, ICFlow, Simple Western, WB
AF820
Species: Hu, Mu
Applications: ICC, IHC, KO, Simple Western, WB
Supplier Logo

Publications for XIAP Antibody (NB100-56184) (0)

There are no publications for XIAP Antibody (NB100-56184).
By submitting your publication information earn gift cards and discounts for future purchases.

Reviews for XIAP Antibody (NB100-56184) (0)

There are no reviews for XIAP Antibody (NB100-56184). By submitting a review you will receive an Amazon e-Gift Card or Novus Product Discount.
  • Review with no image -- $10/€7/£6/$10 CAD/¥70 Yuan/¥1110 Yen
  • Review with an image -- $25/€18/£15/$25 CAD/¥150 Yuan/¥2500 Yen

Product General Protocols

Find general support by application which include: protocols, troubleshooting, illustrated assays, videos and webinars.

Video Protocols

WB Video Protocol

FAQs for XIAP Antibody (NB100-56184) (0)

There are no specific FAQs related to this product. Read our general customer & technical service FAQs.

Control Lysate(s)

Secondary Antibodies

 

Isotype Controls

Additional XIAP Products

Research Areas for XIAP Antibody (NB100-56184)

Find related products by research area.

Blogs on XIAP.

The Ins and Outs of Survivin
By Rachel M.A. Linger, Ph.D.What is survivin?Survivin is a small (16.5 kDa) protein normally found in human fetal tissue. In contrast, survivin is typically undetectable in most normal adult tissues. Expression of ...  Read full blog post.

Apoptosis and Necroptosis Part II: Inhibitors of apoptosis proteins (IAPs); Key regulators of the balance between necroptosis, apoptosis and survival
In the first installment of this two-part blog post titled "Apoptosis and Necroptosis: Important factors to identify both types of programmed cell death", the mechanisms by which cell death occurs and ways to identify these pathways were ...  Read full blog post.

Caspase 9 - an important apoptosis marker
Caspases are essential mediators of programmed cell death and are needed for both the induction of apoptosis as well as for aiding the degradation of cellular structures. Initiator caspases (such as Caspase-9) sense and respond to various signals i...  Read full blog post.

cIAP2 - balancing cell death and cell survival
The inhibitor of apoptosis proteins (IAPs) are important regulators of cell death and inflammation. The cellular inhibitor of apoptosis protein 2 (cIAP2) contains three Baculovirus IAP repeat (BIR) domains, a Ubiquitin associated (UBA) domain, and ...  Read full blog post.

Contact Information

Product PDFs

Calculators

Concentration Calculator

The concentration calculator allows you to quickly calculate the volume, mass or concentration of your vial. Simply enter your mass, volume, or concentration values for your reagent and the calculator will determine the rest.

=
÷

Review this Product

Be the first to review our XIAP Antibody and receive a gift card or discount.

Bioinformatics

Gene Symbol XIAP
Entrez