WTAP Antibody (PCRP-WTAP-1A4) - Azide and BSA Free

Images

 
Analysis of Protein Array containing more than 19,000 full-length human proteins using WTAP antibody (PCRP-WTAP-1A4) - Azide and BSA Free
Flow Cytometric Analysis of PFA-fixed HeLa cells. WTAP antibody (PCRP-WTAP-1A4) - Azide and BSA Free followed by goat anti-mouse IgG-CF488 (blue); unstained cells (red).
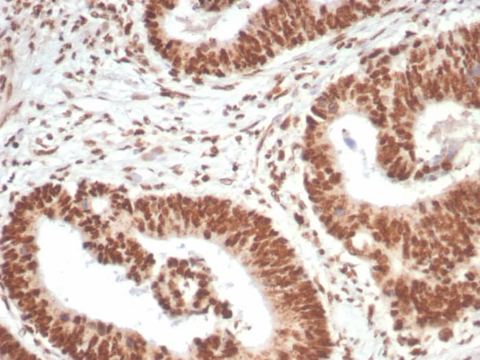
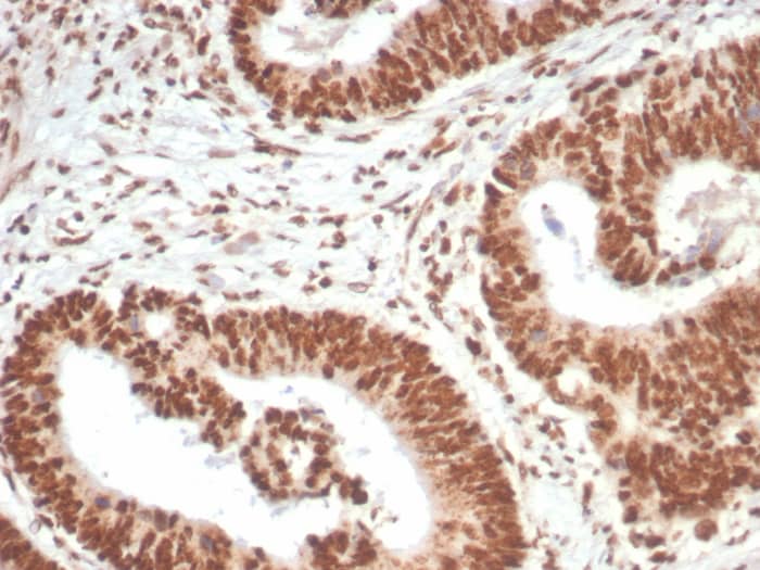
Formalin-fixed, paraffin-embedded human colon carcinoma stained with WTAP antibody (PCRP-WTAP-1A4) - Azide and BSA Free. HIER: Tris/EDTA, pH9.0, 45min. Secondary: HRP-polymer, 30min. DAB, 5min.

Product Details

Summary
Reactivity HuSpecies Glossary
Applications Flow, IHC
Clone
PCRP-WTAP-1A4
Clonality
Monoclonal
Host
Mouse
Conjugate
Unconjugated
Format
Azide and BSA Free
Concentration
1 mg/ml

Order Details

WTAP Antibody (PCRP-WTAP-1A4) - Azide and BSA Free Summary

Description
Antibody without azide - store at -20 to -80C.
Immunogen
Recombinant full-length human WTAP protein
Localization
Nucleus. Nucleolus.
Isotype
IgG2b Kappa
Clonality
Monoclonal
Host
Mouse
Gene
WTAP
Purity
Protein A or G purified
Innovator's Reward
Test in a species/application not listed above to receive a full credit towards a future purchase.

Applications/Dilutions

Dilutions
  • Flow Cytometry 1-2ug/million cells
  • Immunohistochemistry-Paraffin 1-2ug/ml
Application Notes
Immunohistochemistry-Paraffin: 1-2ug/ml for 30 minutes at RT. Staining of formalin-fixed tissues requires heating tissue sections in 10mM Tris with 1mM EDTA, pH 9.0, for 45 min at 95C followed by cooling at RT for 20 minutes. Optimal dilution for a specific application should be determined.

Packaging, Storage & Formulations

Storage
Store at -20 to -80C. Avoid freeze-thaw cycles.
Buffer
10mM PBS
Preservative
No Preservative
Concentration
1 mg/ml
Purity
Protein A or G purified

Alternate Names for WTAP Antibody (PCRP-WTAP-1A4) - Azide and BSA Free

  • Female-lethal(2)D homolog
  • hFL(2)D
  • KIAA0105DKFZp686F20131
  • MGC3925
  • PNAS-132
  • pre-mRNA-splicing regulator WTAP
  • putative pre-mRNA splicing regulator female-lethal(2D)
  • Wilms tumor 1 associated protein
  • Wilms tumor 1-associating protein
  • Wilms' tumour 1-associating protein
  • WT1-associated protein

Background

The Wilms tumor suppressor gene WT1 appears to play a role in both transcriptional and posttranscriptional regulation of certain cellular genes. This gene encodes a WT1-associating protein, which is a ubiquitously expressed nuclear protein. Like WT1 protein, this protein is localized throughout the nucleoplasm as well as in speckles and partially colocalizes with splicing factors. Alternative splicing of this gene results in three transcript variants, two of which encode the same isoform. [provided by RefSeq]

Limitations

This product is for research use only and is not approved for use in humans or in clinical diagnosis. Primary Antibodies are guaranteed for 1 year from date of receipt.

Customers Who Viewed This Item Also Viewed...

NB110-60011
Species: Hu
Applications: ICC/IF, IHC, IHC-Fr,  IHC-P, IP, Simple Western, WB
308-FK
Species: Hu
Applications: BA
AF3159
Species: Mu
Applications: IHC
NBP2-88921
Species: Hu
Applications: ICC/IF, IHC,  IHC-P, WB
251-KG
Species: Hu
Applications: BA
NBP2-22203
Species: Hu, Pm, Mu, Rt
Applications: ELISA, Flow, ICC/IF, IHC,  IHC-P, WB
NBP2-39100
Species: Hu, Mu, Rt
Applications: ELISA, ICC/IF, IHC,  IHC-P, WB
NB100-64775
Species: Hu
Applications: CyTOF-ready, ELISA, Flow, Func, IHC, IHC-Fr, IHC-P (-), IP
NB100-524
Species: Hu, Mu
Applications: Flow-IC, Flow, ICC/IF, IHC, IHC-Fr,  IHC-P, IP, WB
NBP3-17383
Species: Hu
Applications: ICC/IF,  IHC-P
NB200-103
Species: Hu, Mu, Rt, Xp(-), Ye
Applications: CyTOF-ready, ELISA, Flow-IC, Flow, ICC/IF, IHC, IHC-Fr,  IHC-P, IP, WB
AF2400
Species: Hu
Applications: ChIP, ICC, IHC, WB
739-G9
Species: Mu
Applications: BA
212-GD
Species: Hu
Applications: Bind, BA
H00003611-M01
Species: Hu, Mu, Rt
Applications: ELISA, ICC/IF, KD, S-ELISA, WB
H00003126-P01
Species: Hu
Applications: ELISA, AP, PA, WB
NB500-106
Species: Ch, Dr, Fi, Hu, Mar, Mu, Po, Pm, Rb, Rt, Ye, Ze
Applications: ChIP, ChIP, ELISA, Flow, ICC/IF, IHC-FrFl, IHC, IHC-Fr,  IHC-P, IP, Simple Western, WB
NBP2-24585
Species: Hu, Mu
Applications: IHC,  IHC-P, WB

Publications for WTAP Antibody (NBP3-23995) (0)

There are no publications for WTAP Antibody (NBP3-23995).
By submitting your publication information earn gift cards and discounts for future purchases.

Reviews for WTAP Antibody (NBP3-23995) (0)

There are no reviews for WTAP Antibody (NBP3-23995). By submitting a review you will receive an Amazon e-Gift Card or Novus Product Discount.
  • Review with no image -- $10/€7/£6/$10 CAD/¥70 Yuan/¥1110 Yen
  • Review with an image -- $25/€18/£15/$25 CAD/¥150 Yuan/¥2500 Yen

Product General Protocols

Find general support by application which include: protocols, troubleshooting, illustrated assays, videos and webinars.

FAQs for WTAP Antibody (NBP3-23995) (0)

There are no specific FAQs related to this product. Read our general customer & technical service FAQs.

Secondary Antibodies

 

Isotype Controls

Additional WTAP Products

Research Areas for WTAP Antibody (NBP3-23995)

Find related products by research area.

Blogs on WTAP

There are no specific blogs for WTAP, but you can read our latest blog posts.

Customers Who Bought This Also Bought

Contact Information

Product PDFs

Calculators

Concentration Calculator

The concentration calculator allows you to quickly calculate the volume, mass or concentration of your vial. Simply enter your mass, volume, or concentration values for your reagent and the calculator will determine the rest.

=
÷

Review this Product

Be the first to review our WTAP Antibody (PCRP-WTAP-1A4) - Azide and BSA Free and receive a gift card or discount.

Bioinformatics

Gene Symbol WTAP