WNK1 Antibody (JG36-91)

Images

 
Western Blot: WNK1 Antibody (JG36-91) [NBP2-75712] - Analysis of WNK1 on A549 cell lysates using anti-WNK1 antibody at 1/1,000 dilution.
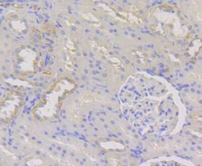
Immunohistochemistry-Paraffin: WNK1 Antibody (JG36-91) [NBP2-75712] - Analysis of paraffin-embedded rat kidney tissue using anti-WNK1 antibody. Counter stained with hematoxylin.
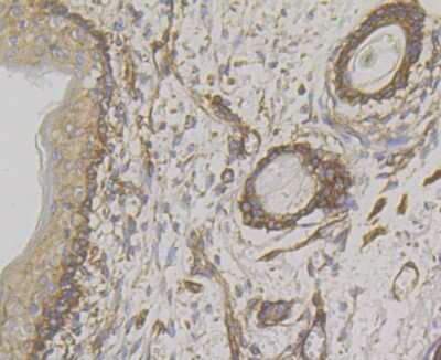
Immunohistochemistry-Paraffin: WNK1 Antibody (JG36-91) [NBP2-75712] - Analysis of paraffin-embedded human skin tissue using anti-WNK1 antibody. Counter stained with hematoxylin.
Immunohistochemistry-Paraffin: WNK1 Antibody (JG36-91) [NBP2-75712] - Analysis of paraffin-embedded human breast cancer tissue using anti-WNK1 antibody. Counter stained with hematoxylin.
Immunohistochemistry-Paraffin: WNK1 Antibody (JG36-91) [NBP2-75712] - Analysis of paraffin-embedded mouse testis tissue using anti-WNK1 antibody. Counter stained with hematoxylin.

Product Details

Summary
Product Discontinued
View other related WNK1 Primary Antibodies

Order Details


    • Catalog Number
      NBP2-75712
    • Availability
      Product Discontinued

    Can't find what you are looking for? Use our Antibody Concierge Service & we will help you locate your antibody!

    Or feel free to contact us for alternative products.

WNK1 Antibody (JG36-91) Summary

Additional Information
Recombinant Monoclonal Antibody.
Immunogen
Synthetic peptide within Human WNK1 aa 33-82 / 2382. (SwissProt: Q9H4A3 Human; SwissProt: P83741 Mouse; SwissProt: Q9JIH7 Rat)
Localization
Cytoplasm.
Isotype
IgG
Clonality
Monoclonal
Host
Rabbit
Gene
WNK1
Purity
Protein A purified
Innovator's Reward
Test in a species/application not listed above to receive a full credit towards a future purchase.

Applications/Dilutions

Dilutions
  • Immunohistochemistry
  • Immunohistochemistry-Paraffin 1:50-1:200
  • Western Blot 1:500-1:2000
Theoretical MW
251 kDa.
Disclaimer note: The observed molecular weight of the protein may vary from the listed predicted molecular weight due to post translational modifications, post translation cleavages, relative charges, and other experimental factors.
Publications
Read Publication using
NBP2-75712 in the following applications:

  • WB
    1 publication

Packaging, Storage & Formulations

Storage
Store at 4C short term. Aliquot and store at -20C long term. Avoid freeze-thaw cycles.
Buffer
TBS (pH7.4), 0.05% BSA, 40% Glycerol
Preservative
0.05% Sodium Azide
Concentration
1 mg/ml
Purity
Protein A purified

Alternate Names for WNK1 Antibody (JG36-91)

  • EC 2.7.11
  • EC 2.7.11.1
  • Erythrocyte 65 kDa protein
  • HSAN2hereditary sensory neuropathy, type II
  • HSN2MGC163339
  • hWNK1
  • KDP
  • KDPMGC163341
  • KIAA0344
  • Kinase deficient protein
  • p65
  • PHA2C
  • PRKWNK1
  • PRKWNK1PSK
  • prostate-derived sterile 20-like kinase
  • Protein kinase lysine-deficient 1
  • Protein kinase with no lysine 1
  • protein kinase, lysine deficient 1
  • serine/threonine-protein kinase WNK1
  • WNK lysine deficient protein kinase 1
  • WNK1

Background

WNK lysine deficient protein kinase 1 (WNK1) is a cytoplasmic serine-threonine kinase expressed in the distal nephron which likely plays an important role in hypertension. WNK1 is responsible for controling Na+ and Cl- ion transport by inhibiting the activity of other related protein kinases, such as WNK4.

WNK1 mutations have been associated with Gordon hyperkalemia-hypertension syndrome (pseudohypoaldosteronism type II) and congenital sensory neuropathy.

WNK1 is also known as Human Accelerated Region 5, and is thought to have played a key role in differentiating humans from apes.

Limitations

This product is for research use only and is not approved for use in humans or in clinical diagnosis. Primary Antibodies are guaranteed for 1 year from date of receipt.

Customers Who Viewed This Item Also Viewed...

NB100-56583
Species: Hu, Rb, Rt
Applications: Flow, IHC,  IHC-P, KO, Simple Western, WB
AF632
Species: Hu
Applications: AgAct, Simple Western, WB
NBP1-88650
Species: Hu
Applications: IHC,  IHC-P, KD, WB
NBP2-01345
Species: Hu, Mu, Rt
Applications: Flow, ICC/IF, IHC,  IHC-P, WB
M6000B
Species: Mu
Applications: ELISA
NB100-2176
Species: Hu, Mu, Rt
Applications: ChIP, ICC/IF, IHC,  IHC-P, IP, WB
MAB8930
Species: Hu
Applications: ICC, Simple Western, WB
NB100-56507
Species: Hu, Mu, Rt
Applications: CyTOF-ready, Flow, ICC/IF, IHC,  IHC-P, IP, KO, Simple Western, WB
NB300-605
Species: Hu, Mu, Po, Rt
Applications: Flow, IB, ICC/IF, IHC, IHC-Fr,  IHC-P, In vitro, WB
AF1230
Species: Hu, Mu, Rt
Applications: IHC, KO, WB
AF2699
Species: Mu
Applications: Simple Western, WB
NB100-689
Species: Hu, Rt
Applications: IHC, IHC-Fr,  IHC-P, Simple Western, WB
NBP2-50037
Species: Hu, Mu, Rt
Applications: ICC/IF, IHC, KO, WB
NBP2-47415
Species: Hu
Applications: ICC/IF, IHC,  IHC-P, WB
AF3235
Species: Hu, Mu, Rt
Applications: IHC, WB
AF887
Species: Hu, Mu, Rt
Applications: CyTOF-ready, IHC, ICFlow, Simple Western, WB
NBP2-22203
Species: Hu, Pm, Mu, Rt
Applications: ELISA, Flow, ICC/IF, IHC,  IHC-P, WB
MAB17761
Species: Hu, Mu, Rt
Applications: ICC, WB
MAB208
Species: Hu
Applications: CyTOF-ready, ELISA(Cap), ELISA(Det), ELISA(Sta), ICC, ICFlow, Neut, Simple Western, WB

Publications for WNK1 Antibody (NBP2-75712)(1)

We have publications tested in 1 confirmed species: Mouse.

We have publications tested in 1 application: WB.


Filter By Application
WB
(1)
All Applications
Filter By Species
Mouse
(1)
All Species

Reviews for WNK1 Antibody (NBP2-75712) (0)

There are no reviews for WNK1 Antibody (NBP2-75712). By submitting a review you will receive an Amazon e-Gift Card or Novus Product Discount.
  • Review with no image -- $10/€7/£6/$10 CAD/¥70 Yuan/¥1110 Yen
  • Review with an image -- $25/€18/£15/$25 CAD/¥150 Yuan/¥2500 Yen

Product General Protocols

Find general support by application which include: protocols, troubleshooting, illustrated assays, videos and webinars.

Video Protocols

WB Video Protocol

FAQs for WNK1 Antibody (NBP2-75712) (0)

There are no specific FAQs related to this product. Read our general customer & technical service FAQs.

Secondary Antibodies

 

Isotype Controls

Additional WNK1 Products

Array NBP2-75712

Research Areas for WNK1 Antibody (NBP2-75712)

Find related products by research area.

Blogs on WNK1

There are no specific blogs for WNK1, but you can read our latest blog posts.

Contact Information

Product PDFs

Calculators

Concentration Calculator

The concentration calculator allows you to quickly calculate the volume, mass or concentration of your vial. Simply enter your mass, volume, or concentration values for your reagent and the calculator will determine the rest.

=
÷

Review this Product

Be the first to review our WNK1 Antibody (JG36-91) and receive a gift card or discount.

Bioinformatics

Gene Symbol WNK1