WDR74 Antibody - BSA Free

Images

 
Western Blot: WDR74 Antibody [NBP1-77140] - Mouse liver tissue lysate with NSA1 antibody at (A) 1 and (B) 2 ug/mL.
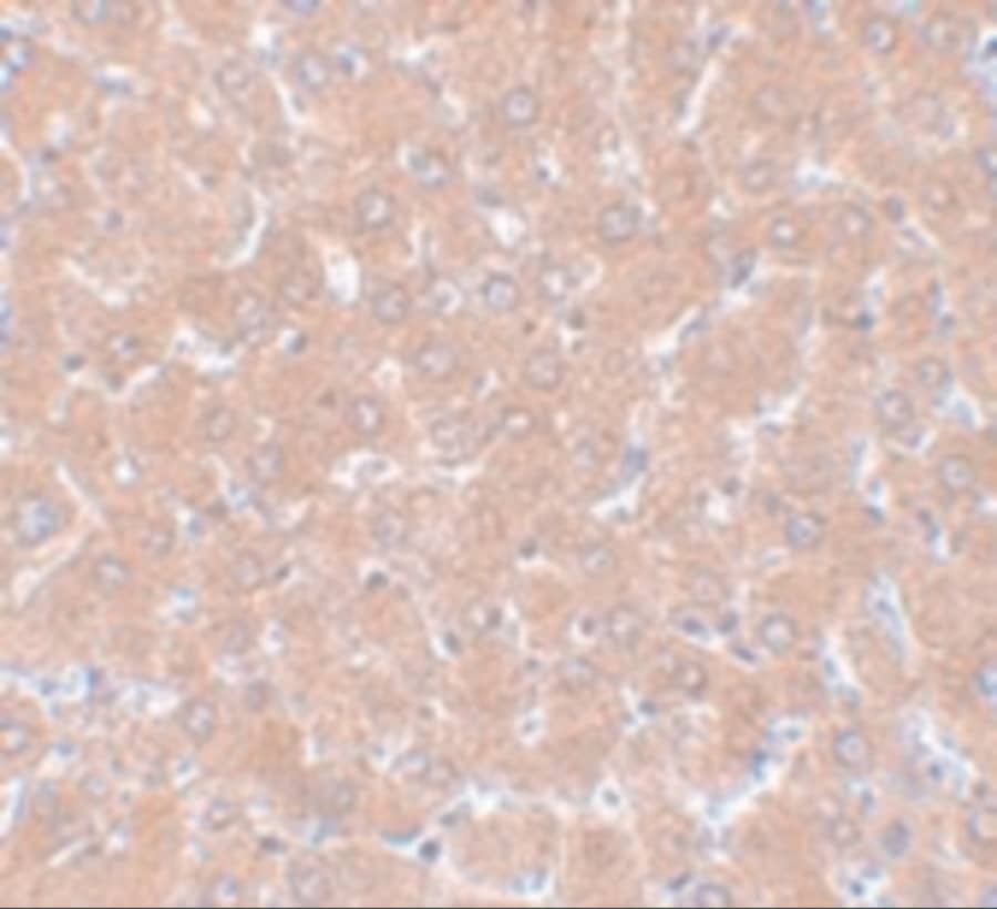
Immunohistochemistry: WDR74 Antibody - BSA Free [NBP1-77140] - Immunohistochemistry of WDR74 in rat liver tissue with WDR74 antibody at 5 ug/mL.
Immunocytochemistry/ Immunofluorescence: WDR74 Antibody - BSA Free [NBP1-77140] - Immunofluorescence of WDR74 in rat liver tissue with WDR74 antibody at 20 ug/mL.

Product Details

Summary
Reactivity Hu, Mu, Rt, BvSpecies Glossary
Applications WB, ELISA, ICC/IF, IHC
Clonality
Polyclonal
Host
Rabbit
Conjugate
Unconjugated
Format
BSA Free
Concentration
1 mg/ml

Order Details

WDR74 Antibody - BSA Free Summary

Description
Novus Biologicals Rabbit WDR74 Antibody - BSA Free (NBP1-77140) is a polyclonal antibody validated for use in IHC, WB, ELISA and ICC/IF. All Novus Biologicals antibodies are covered by our 100% guarantee.
Immunogen
Antibody was raised against an 18 amino acid synthetic peptide near the carboxy terminus of human NSA1. The immunogen is located within amino acids 320 - 370 of NSA1. Amino Acid Squence: EPQEPNKVPLEDTETDEL
Predicted Species
Bovine (94%). Backed by our 100% Guarantee.
Isotype
IgG
Clonality
Polyclonal
Host
Rabbit
Gene
WDR74
Purity
Peptide affinity purified
Innovator's Reward
Test in a species/application not listed above to receive a full credit towards a future purchase.

Applications/Dilutions

Dilutions
  • ELISA 1:100-1:2000
  • Immunocytochemistry/ Immunofluorescence 20 ug/ml
  • Immunohistochemistry 5 ug/ml
  • Immunohistochemistry-Paraffin 5 ug/ml
  • Western Blot 1-2 ug/ml
Control Peptide
WDR74 Peptide (NBP1-77140PEP)

Packaging, Storage & Formulations

Storage
Store at 4C short term. Aliquot and store at -20C long term. Avoid freeze-thaw cycles.
Buffer
PBS
Preservative
0.02% Sodium Azide
Concentration
1 mg/ml
Purity
Peptide affinity purified

Alternate Names for WDR74 Antibody - BSA Free

  • FLJ10439
  • FLJ21730
  • NOP seven-associated protein 1
  • NSA1
  • WD repeat domain 74
  • WD repeat-containing protein 74

Background

The yeast nucleolar protein NOP7 is necessary for the maturation of 66S preribosomes and interacts with numerous other proteins. One such protein is an essential, conserved WD repeat protein, NOP seven-associated protein 1 (NSA1), that is also required for the yeast 66S ribosome assembly. NSA1 is also associated with the AAA ATPase Rix7, and release of NSA1 from a novel late nucleolar pre-60S requires the Rix7 function. NSA1 has also been found upregulated in mammalian cancer cells, suggesting it may also play a role in cell proliferation.

Limitations

This product is for research use only and is not approved for use in humans or in clinical diagnosis. Primary Antibodies are guaranteed for 1 year from date of receipt.

Customers Who Viewed This Item Also Viewed...

MAB8370
Species: Hu
Applications: CyTOF-ready, Flow
NB200-103
Species: Hu, Mu, Rt, Xp(-), Ye
Applications: CyTOF-ready, ELISA, Flow-IC, Flow, ICC/IF, IHC, IHC-Fr,  IHC-P, IP, WB
NBP2-45490
Species: Hu, Mu, Rt
Applications: ICC/IF, IHC,  IHC-P, WB
MAB5140
Species: Hu
Applications: IHC
NB600-231
Species: Hu
Applications: IHC,  IHC-P, KD, WB
MAB8200
Species: Hu, Mu
Applications: IHC
NBP1-81714
Species: Hu
Applications: ICC/IF, IHC,  IHC-P, WB
NBP1-52038
Species: Hu
Applications: PEP-ELISA, WB
MAB7745
Species: Hu
Applications: IHC, KO, Simple Western, WB
NBP3-38596
Species: Hu, Mu, Rt
Applications: ELISA, ICC/IF, WB
NB100-56098
Species: Ca, Hu, Mu, Rt
Applications: IHC,  IHC-P, IP, WB
1827-SF/CF
Species: Hu
Applications: BA
NBL1-13654
Species: Hu
Applications: WB
NBP2-03644
Species: Hu, Mu, Rt
Applications: Flow, ICC/IF, IHC,  IHC-P, WB
AF3460
Species: Hu
Applications: IHC
NBP2-61784
Species: Hu
Applications: ELISA, Flow, ICC/IF, IHC,  IHC-P, WB
NBP2-00513
Species: Hu, Pm, Mu, Rt
Applications: Flow, ICC/IF, IHC,  IHC-P, WB
NBP1-77140
Species: Hu, Mu, Rt, Bv
Applications: WB, ELISA, ICC/IF, IHC

Publications for WDR74 Antibody (NBP1-77140) (0)

There are no publications for WDR74 Antibody (NBP1-77140).
By submitting your publication information earn gift cards and discounts for future purchases.

Reviews for WDR74 Antibody (NBP1-77140) (0)

There are no reviews for WDR74 Antibody (NBP1-77140). By submitting a review you will receive an Amazon e-Gift Card or Novus Product Discount.
  • Review with no image -- $10/€7/£6/$10 CAD/¥70 Yuan/¥1110 Yen
  • Review with an image -- $25/€18/£15/$25 CAD/¥150 Yuan/¥2500 Yen

Product General Protocols

Find general support by application which include: protocols, troubleshooting, illustrated assays, videos and webinars.

Video Protocols

WB Video Protocol
ICC/IF Video Protocol

FAQs for WDR74 Antibody (NBP1-77140) (0)

There are no specific FAQs related to this product. Read our general customer & technical service FAQs.

Secondary Antibodies

 

Isotype Controls

Additional WDR74 Products

Research Areas for WDR74 Antibody (NBP1-77140)

Find related products by research area.

Blogs on WDR74

There are no specific blogs for WDR74, but you can read our latest blog posts.

Customers Who Bought This Also Bought

Contact Information

Product PDFs

Calculators

Concentration Calculator

The concentration calculator allows you to quickly calculate the volume, mass or concentration of your vial. Simply enter your mass, volume, or concentration values for your reagent and the calculator will determine the rest.

=
÷

Review this Product

Be the first to review our WDR74 Antibody - BSA Free and receive a gift card or discount.

Bioinformatics

Gene Symbol WDR74
Uniprot