USP25 Antibody - BSA Free Summary
| Immunogen |
Recombinant fusion protein containing a sequence corresponding to amino acids 1-230 of human USP25 (NP_037528.3). MTVEQNVLQQSAAQKHQQTFLNQLREITGINDTQILQQALKDSNGNLELAVAFLTAKNAKTPQQEETTYYQTALPGNDRYISVGSQADTNVIDLTGDDKDDLQRAIALSLAESNRAFRETGITDEEQAISRVLEASIAENKACLKRTPTEVWRDSRNPYDRKRQDKAPVGLKNVGNTCWFSAVIQSLFNLLEFRRLVLNYKPPSNAQDLPRNQKEHRNLPFMRELRYLFA |
| Isotype |
IgG |
| Clonality |
Polyclonal |
| Host |
Rabbit |
| Gene |
USP25 |
| Purity |
Affinity purified |
| Innovator's Reward |
Test in a species/application not listed above to receive a full credit towards a future purchase. |
Applications/Dilutions
| Dilutions |
- Immunoprecipitation 1:50 - 1:100
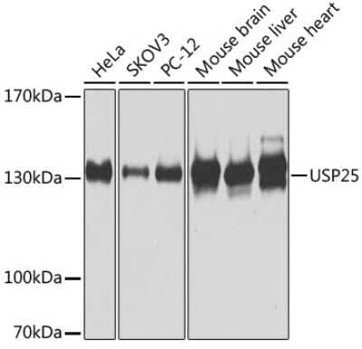
- Western Blot 1:500 - 1:2000
|
Packaging, Storage & Formulations
| Storage |
Store at -20C. Avoid freeze-thaw cycles. |
| Buffer |
PBS (pH 7.3), 50% glycerol |
| Preservative |
0.02% Sodium Azide |
| Purity |
Affinity purified |
Alternate Names for USP25 Antibody - BSA Free
Background
USP25 is a ubiquitin-specific protease. Ubiquitin (MIM 191339) is a highly conserved 76-amino acid protein involved in regulation of intracellular protein breakdown, cell cycle regulation, and stress response. Ubiquitin is released from degraded proteins by disassembly of the polyubiquitin chains, which is mediated by ubiquitin-specific proteases (USPs), such as USP25 (Valero et al., 1999 [PubMed 10644437]).
Limitations
This product is for research use only and is not approved for use in humans or in clinical diagnosis. Primary Antibodies are
guaranteed for 1 year from date of receipt.
Customers Who Viewed This Item Also Viewed...
Species: Hu
Applications: ICC/IF, IHC, IHC-P, WB
Species: Hu, Mu, Rt
Applications: ICC/IF, IHC, IHC-P, WB
Species: Hu, Mu, Rt
Applications: ELISA, ICC/IF, IHC, IHC-P, KD, WB
Species: Hu
Applications: IHC, IHC-P, IP, WB (-)
Species: Hu
Applications: IHC, IHC-P, WB
Species: Hu, Mu
Applications: ICC/IF, IHC, IHC-P, IP, WB
Species: Hu
Applications: ICC/IF, IHC, IHC-P, WB
Species: Hu
Applications: EnzAct
Species: Hu, Mu, Rt
Applications: ELISA, ICC/IF, IHC, IHC-Fr, IHC-P, KD, WB
Species: Hu, Mu, Rt
Applications: ICC/IF, IHC, IHC-P, WB
Species: Hu, Mu, Rt
Applications: EnzAct
Species: Hu
Applications: ELISA, ICC/IF, IP, S-ELISA, WB
Species: Hu, Mu
Applications: IHC, WB
Species: Hu
Applications: IHC, IHC-P
Species: Ha, Hu, Mu
Applications: ICC/IF, IHC, IHC-P, IP, KO, WB
Species: Ma, Hu, Mu, Rt
Applications: IHC, IHC-Fr, IHC-P, IP, WB
Species: Hu, Mu, Rt
Applications: B/N, In vitro
Species: Hu, Mu
Applications: IHC, IHC-P, IP, Simple Western, WB
Species: Mu
Applications: PEP-ELISA, WB
Species: Hu, Mu, Rt
Applications: WB, IP
Publications for USP25 Antibody (NBP2-93685) (0)
There are no publications for USP25 Antibody (NBP2-93685).
By submitting your publication information earn gift cards and discounts for future purchases.
Reviews for USP25 Antibody (NBP2-93685) (0)
There are no reviews for USP25 Antibody (NBP2-93685).
By submitting a review you will receive an Amazon e-Gift Card or Novus Product Discount.
- Review with no image -- $10/€7/£6/$10 CAD/¥70 Yuan/¥1110 Yen
- Review with an image -- $25/€18/£15/$25 CAD/¥150 Yuan/¥2500 Yen
Product General Protocols
Find general support by application which include: protocols, troubleshooting, illustrated assays, videos and webinars.
Video Protocols
FAQs for USP25 Antibody (NBP2-93685) (0)
Secondary Antibodies
| |
Isotype Controls
|
Additional USP25 Products
Research Areas for USP25 Antibody (NBP2-93685)
Find related products by research area.
|
Blogs on USP25