Ubiquitin B Antibody (JM09-67)

Images

 
Western Blot: Ubiquitin B Antibody (JM09-67) [NBP2-66759] - Analysis of K63-linkage Specific Ubiquitin on Hela cells lysates using anti-K63-linkage Specific Ubiquitin antibody at 1/1,000 dilution.
Immunocytochemistry/ Immunofluorescence: Ubiquitin B Antibody (JM09-67) [NBP2-66759] - Staining K63-linkage Specific Ubiquitin in N2A cells (red). The nuclear counter stain is DAPI (blue). Cells were fixed in ...read more
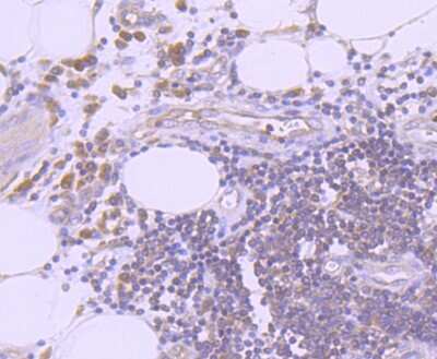
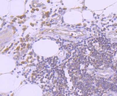
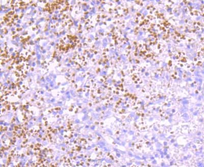
Immunohistochemistry-Paraffin: Ubiquitin B Antibody (JM09-67) [NBP2-66759] - Analysis of paraffin-embedded human spleen tissue using anti-K63-linkage Specific Ubiquitin antibody. Counter stained with hematoxylin.
Immunocytochemistry/ Immunofluorescence: Ubiquitin B Antibody (JM09-67) [NBP2-66759] - Staining K63-linkage Specific Ubiquitin in 293T cells (red). The nuclear counter stain is DAPI (blue). Cells were fixed in ...read more
Immunocytochemistry/ Immunofluorescence: Ubiquitin B Antibody (JM09-67) [NBP2-66759] - Staining K63-linkage Specific Ubiquitin in Hela cells (red). The nuclear counter stain is DAPI (blue). Cells were fixed in ...read more
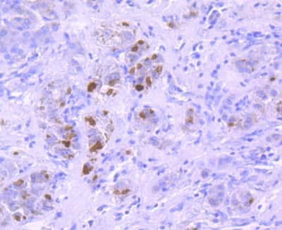
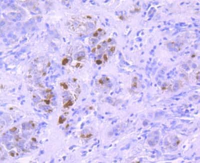
Immunohistochemistry-Paraffin: Ubiquitin B Antibody (JM09-67) [NBP2-66759] - Analysis of paraffin-embedded human colon cancer tissue using anti-K63-linkage Specific Ubiquitin antibody. Counter stained with hematoxylin.
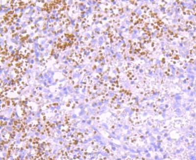
Immunohistochemistry-Paraffin: Ubiquitin B Antibody (JM09-67) [NBP2-66759] - Analysis of paraffin-embedded human liver cancer tissue using anti-K63-linkage Specific Ubiquitin antibody. Counter stained with hematoxylin.

Product Details

Summary
Product Discontinued
View other related Ubiquitin B Primary Antibodies

Order Details


    • Catalog Number
      NBP2-66759
    • Availability
      Product Discontinued

    Can't find what you are looking for? Use our Antibody Concierge Service & we will help you locate your antibody!

    Or feel free to contact us for alternative products.

Ubiquitin B Antibody (JM09-67) Summary

Additional Information
Recombinant Monoclonal Antibody.
Immunogen
Synthetic peptide within human k63-linkage specific ubiquitin aa 36-85. (SwissProt: P0CG47 Human; SwissProt: P0CG48 Human; SwissProt: P62979 Human; SwissProt: P62987 Human; SwissProt: P0CG49 Mouse; SwissProt: P62991 Mouse; SwissProt: P0CG51 Rat; SwissProt: P62989 Rat)
Localization
Cytoplasm, Nucleus.
Isotype
IgG
Clonality
Monoclonal
Host
Rabbit
Gene
UBB
Purity
Protein A purified
Innovator's Reward
Test in a species/application not listed above to receive a full credit towards a future purchase.

Applications/Dilutions

Dilutions
  • Immunocytochemistry/ Immunofluorescence 1:100-1:500
  • Immunohistochemistry
  • Immunohistochemistry-Paraffin 1:50-1:200
  • Western Blot 1:1000

Packaging, Storage & Formulations

Storage
Store at 4C short term. Aliquot and store at -20C long term. Avoid freeze-thaw cycles.
Buffer
TBS (pH7.4), 0.05% BSA, 40% Glycerol
Preservative
0.05% Sodium Azide
Concentration
1 mg/ml
Purity
Protein A purified

Alternate Names for Ubiquitin B Antibody (JM09-67)

  • FLJ25987
  • MGC8385
  • polyubiquitin B
  • polyubiquitin-B
  • RPS27A
  • UBA52
  • UBC
  • ubiquitin B
  • Ubiquitin+1

Background

ubiquitin B encodes ubiquitin, one of the most conserved proteins known. Ubiquitin is required for ATP-dependent, nonlysosomal intracellular protein degradation of abnormal proteins and normal proteins with a rapid turnover. Ubiquitin is covalently bound to proteins to be degraded, and presumably labels these proteins for degradation. Ubiquitin also binds to histone H2A in actively transcribed regions but does not cause histone H2A degradation, suggesting that ubiquitin is also involved in regulation of gene expression. This gene consists of three direct repeats of the ubiquitin coding sequence with no spacer sequence. Consequently, the protein is expressed as a polyubiquitin precursor with a final amino acid after the last repeat. Aberrant form of this protein has been noticed in patients with Alzheimer's and Down syndrome.

Limitations

This product is for research use only and is not approved for use in humans or in clinical diagnosis. Primary Antibodies are guaranteed for 1 year from date of receipt.

Customers Who Viewed This Item Also Viewed...

NB300-221
Species: Av, Bv, Ca, Ch, ChHa, Dr, Eq, Fe, Ha, Hu, Mu, Ma-Op, Po, Pm, Rb, Rt, Sh, Ze
Applications: ChIP, ICC/IF, IHC, IHC-Fr, IP, KD, Simple Western, Single-Cell Western, WB
NB100-64792
Species: Hu
Applications: ELISA, Flow, ICC/IF, IHC, IHC-Fr,  IHC-P, WB
MAB6609
Species: Hu, Mu
Applications: IHC, WB
NB500-317
Species: Bv(-), Ca(-), Ch(-), Hu, Mu(-), Rb(-)
Applications: ELISA, Flow, ICC/IF, IHC,  IHC-P, IP, RIA, WB
NBP1-89522
Species: Hu, Mu, Rt
Applications: ICC/IF, IHC,  IHC-P, WB
NBP1-33527
Species: Hu, Mu, Rt
Applications: ICC/IF, IHC,  IHC-P, KO, Simple Western, WB
NB600-501
Species: Bv, Ca, Ch, Dr(-), Fe, Fi, Gt, Gp, Ha, Hu, Le, Ma, Mu, Po, Pm, Rb, Rt, Sh, Sq, Tr, Ze
Applications: ChIP, ELISA, Flow, ICC/IF, IHC, IHC-Fr,  IHC-P, IP, KD, KO, Simple Western, WB
NBP2-33600
Species: Hu, Mu
Applications: ICC/IF, IHC,  IHC-P, WB
NB100-56360
Species: Hu
Applications: WB
NBP1-76593
Species: Hu, Mu, Rt
Applications: ELISA, ICC/IF, IHC,  IHC-P, WB
AF9024
Species: Mu, Rt
Applications: IHC, WB
NBP2-13961
Species: Hu
Applications: ICC/IF, IHC,  IHC-P, WB
MAB2669
Species: Hu
Applications: IHC, Simple Western, WB
NBP2-54301
Species: Hu, Mu, Rt
Applications: CyTOF-ready, ELISA, IHC,  IHC-P, WB
NBP3-13522
Species: Hu, Mu, Rt
Applications: ICC/IF, IHC,  IHC-P, WB
H00006908-Q01
Species: Hu
Applications: ELISA, AP, PA, PAGE, WB
E2-622
Species: Hu
Applications: EnzAct
NB100-93302
Species: Hu
Applications: ICC/IF, IHC,  IHC-P, IP, WB
NBP2-13075
Species: Ba, Hu, Pm, Mu, Rt
Applications: DB, ELISA, IB, ICC/IF, IHC-FrFl, IHC, IHC-Fr,  IHC-P, IP, WB
NBP2-66759
Species: Hu, Mu, Rt
Applications: WB, ICC/IF, IHC

Publications for Ubiquitin B Antibody (NBP2-66759) (0)

There are no publications for Ubiquitin B Antibody (NBP2-66759).
By submitting your publication information earn gift cards and discounts for future purchases.

Reviews for Ubiquitin B Antibody (NBP2-66759) (0)

There are no reviews for Ubiquitin B Antibody (NBP2-66759). By submitting a review you will receive an Amazon e-Gift Card or Novus Product Discount.
  • Review with no image -- $10/€7/£6/$10 CAD/¥70 Yuan/¥1110 Yen
  • Review with an image -- $25/€18/£15/$25 CAD/¥150 Yuan/¥2500 Yen

Product General Protocols

Find general support by application which include: protocols, troubleshooting, illustrated assays, videos and webinars.

Video Protocols

WB Video Protocol
ICC/IF Video Protocol

FAQs for Ubiquitin B Antibody (NBP2-66759) (0)

There are no specific FAQs related to this product. Read our general customer & technical service FAQs.

Secondary Antibodies

 

Isotype Controls

Additional Ubiquitin B Products

Research Areas for Ubiquitin B Antibody (NBP2-66759)

Find related products by research area.

Blogs on Ubiquitin B

There are no specific blogs for Ubiquitin B, but you can read our latest blog posts.

Contact Information

Product PDFs

Calculators

Concentration Calculator

The concentration calculator allows you to quickly calculate the volume, mass or concentration of your vial. Simply enter your mass, volume, or concentration values for your reagent and the calculator will determine the rest.

=
÷

Review this Product

Be the first to review our Ubiquitin B Antibody (JM09-67) and receive a gift card or discount.

Bioinformatics

Gene Symbol UBB