U1A Antibody

Images

 
SNRPA antibody detects SNRPA protein at nucleus on rat fore brain by immunohistochemical analysis. Sample: Paraffin-embedded rat fore brain. SNRPA antibody (NBP2-53095) dilution: 1:500.Antigen Retrieval: Trilogy(TM) ...read more
SNRPA antibody detects SNRPA protein at nucleus on mouse liver by immunohistochemical analysis. Sample: Paraffin-embedded mouse liver. SNRPA antibody (NBP2-53095) dilution: 1:500.Antigen Retrieval: Trilogy(TM) (EDTA ...read more
Immunohistochemical analysis of paraffin-embedded human breast cancer, using SNRPA(NBP2-53095) antibody at 1:250 dilution.Antigen Retrieval: Trilogy(TM) (EDTA based, pH 8.0) buffer, 15min
Various whole cell extracts (30 ug) were separated by 12% SDS-PAGE, and the membrane was blotted with SNRPA antibody (NBP2-53095) diluted at 1:1000. The HRP-conjugated anti-rabbit IgG antibody was used to detect the ...read more
SNRPA antibody detects SNRPA protein at nucleus on mouse fore brain by immunohistochemical analysis. Sample: Paraffin-embedded mouse fore brain. SNRPA antibody (NBP2-53095) dilution: 1:500.Antigen Retrieval: Trilogy(TM) ...read more
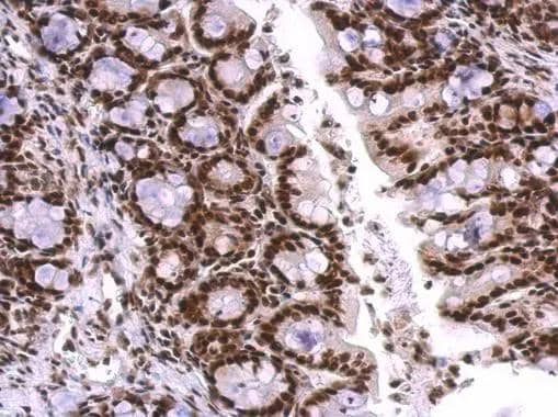
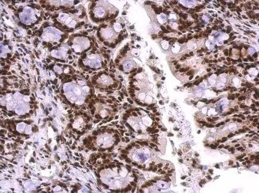
SNRPA antibody detects SNRPA protein at nucleus on mouse colon by immunohistochemical analysis. Sample: Paraffin-embedded mouse colon. SNRPA antibody (NBP2-53095) dilution: 1:500.Antigen Retrieval: Trilogy(TM) (EDTA ...read more

Product Details

Summary
Reactivity Hu, Mu, Rt, Po, Bv, Rb, RM, Sh, Xp, ZeSpecies Glossary
Applications WB, ICC/IF, IHC
Clonality
Polyclonal
Host
Rabbit
Conjugate
Unconjugated

Order Details

U1A Antibody Summary

Description
Novus Biologicals Rabbit U1A Antibody (NBP2-53095) is a polyclonal antibody validated for use in IHC, WB and ICC/IF. Anti-U1A Antibody: Cited in 1 publication. All Novus Biologicals antibodies are covered by our 100% guarantee.
Immunogen
Recombinant protein encompassing a sequence within the C-terminus region of human SNRPA. The exact sequence is proprietary.
Localization
Nucleus
Predicted Species
Porcine (100%), Bovine (100%), Rabbit (98%), Rhesus Macaque (100%), Zebrafish (90%), Xenopus (91%), Sheep (100%). Backed by our 100% Guarantee.
Isotype
IgG
Clonality
Polyclonal
Host
Rabbit
Gene
SNRPA
Purity
Antigen Affinity-purified
Innovator's Reward
Test in a species/application not listed above to receive a full credit towards a future purchase.

Applications/Dilutions

Dilutions
  • Immunocytochemistry/ Immunofluorescence 1:100 - 1:1000
  • Immunohistochemistry
  • Immunohistochemistry-Paraffin 1:100 - 1:1000
  • Western Blot 1:500 - 1:3000
Theoretical MW
31 kDa.
Disclaimer note: The observed molecular weight of the protein may vary from the listed predicted molecular weight due to post translational modifications, post translation cleavages, relative charges, and other experimental factors.
Publications
Read Publication using
NBP2-53095 in the following applications:

Packaging, Storage & Formulations

Storage
Store at -20 to -80C. Avoid freeze-thaw cycles.
Buffer
PBS, 1% BSA, 20% Glycerol
Preservative
0.01% Thimerosal
Purity
Antigen Affinity-purified

Alternate Names for U1A Antibody

  • Mud1
  • small nuclear ribonucleoprotein polypeptide A
  • U1 snRNP A
  • U1 snRNP-specific protein A
  • U1-AU1 small nuclear ribonucleoprotein A
  • U1AU1 small nuclear RNP-specific A

Background

U1A binds stem loop II of U1 snRNA. It is the first snRNP to interact with pre-mRNA. This interaction is required for the subsequent binding of U2 snRNP and the U4/U6/U5 tri-snRNP. In a snRNP-free form (SF-A) may be involved in coupled pre-mRNA splicing and p

Limitations

This product is for research use only and is not approved for use in humans or in clinical diagnosis. Primary Antibodies are guaranteed for 1 year from date of receipt.

Customers Who Viewed This Item Also Viewed...

NBP1-57487
Species: Hu, Mu
Applications: IHC,  IHC-P, WB
NBP2-57100
Species: Hu
Applications: ICC/IF
NBP1-92692
Species: Hu, Mu, Rt
Applications: ICC/IF, IHC, WB
NBP2-45731
Species: Ca, Hu, Pm
Applications: IHC,  IHC-P, WB
NBP2-43686
Species: Hu
Applications: ICC/IF, IHC,  IHC-P, WB
NBP2-38755
Species: Hu
Applications: ICC/IF, IHC,  IHC-P, WB
NBP2-24763
Species: Hu, Pm
Applications: IHC,  IHC-P, WB
NBP3-20223
Species: Hu
Applications: ICC/IF, IP, WB
NBP1-87345
Species: Hu
Applications: ICC/IF, IHC,  IHC-P
NBP1-87343
Species: Hu, Rt
Applications: IHC,  IHC-P, WB
NBP2-24614
Species: Hu, Mu, Ma-Op, Pm, Rt
Applications: WB
NBP3-04411
Species: Hu, Mu, Rt
Applications: IHC,  IHC-P, WB
NBP2-48909
Species: Hu, Mu
Applications: ICC/IF, IHC,  IHC-P, KO
NBP2-45893
Species: Hu, Mu, Rt
Applications: IHC,  IHC-P, WB
NB100-1556
Species: Hu, Mu, Rt
Applications: ICC/IF, IHC,  IHC-P, IP, WB
AF1031
Species: Hu
Applications: ICC, IP, WB
NBP1-88927
Species: Hu, Mu
Applications: ICC/IF, IHC,  IHC-P, WB
NBP2-53095
Species: Hu, Mu, Rt, Po, Bv, Rb, RM, Sh, Xp, Ze
Applications: WB, ICC/IF, IHC
⚠ WARNING: This product can expose you to chemicals including mercury, which is known to the State of California to cause reproductive toxicity with developmental effects.  For more information go to www.P65Warnings.ca.gov.

Publications for U1A Antibody (NBP2-53095)(1)

We have publications tested in 1 confirmed species: Human.

We have publications tested in 2 applications: ICC/IF, WB.


Filter By Application
ICC/IF
(1)
WB
(1)
All Applications
Filter By Species
Human
(1)
All Species

Reviews for U1A Antibody (NBP2-53095) (0)

There are no reviews for U1A Antibody (NBP2-53095). By submitting a review you will receive an Amazon e-Gift Card or Novus Product Discount.
  • Review with no image -- $10/€7/£6/$10 CAD/¥70 Yuan/¥1110 Yen
  • Review with an image -- $25/€18/£15/$25 CAD/¥150 Yuan/¥2500 Yen

Product General Protocols

Find general support by application which include: protocols, troubleshooting, illustrated assays, videos and webinars.

Video Protocols

WB Video Protocol
ICC/IF Video Protocol

FAQs for U1A Antibody (NBP2-53095) (0)

There are no specific FAQs related to this product. Read our general customer & technical service FAQs.

Secondary Antibodies

 

Isotype Controls

Additional U1A Products

Research Areas for U1A Antibody (NBP2-53095)

Find related products by research area.

Blogs on U1A

There are no specific blogs for U1A, but you can read our latest blog posts.

Customers Who Bought This Also Bought

Contact Information

Product PDFs

Calculators

Concentration Calculator

The concentration calculator allows you to quickly calculate the volume, mass or concentration of your vial. Simply enter your mass, volume, or concentration values for your reagent and the calculator will determine the rest.

=
÷

Review this Product

Be the first to review our U1A Antibody and receive a gift card or discount.

Bioinformatics

Gene Symbol SNRPA