Trypsin Pan Specific/PRSS1/2/3 Antibody [Unconjugated]

Images

 
Western blot shows lysates of human pancreas. PVDF membrane was probed with 1 µg/mL of Sheep Anti-Human Trypsin Pan Specific (PRSS1/2/3) Antigen Affinity-purified Polyclonal Antibody (Catalog # AF3586) followed by ...read more
Western blot shows recombinant human Trypsin 1, 2, and 3. PVDF membrane was probed with 1 µg/mL of Sheep Anti-Human Trypsin Pan Specific (PRSS1/2/3) Antigen Affinity-purified Polyclonal Antibody (Catalog # AF3586) ...read more
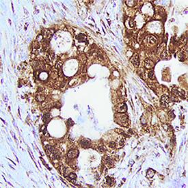
Trypsin was detected in immersion fixed paraffin-embedded sections of human pancreas using Sheep Anti-Human Trypsin Pan Specific (PRSS1/2/3) Antigen Affinity-purified Polyclonal Antibody (Catalog # AF3586) at 15 µg/mL ...read more
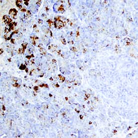
Trypsin was detected in immersion fixed paraffin-embedded sections of human pancreatic cancer tissue using Sheep Anti-Human Trypsin Pan Specific (PRSS1/2/3) Antigen Affinity-purified Polyclonal Antibody (Catalog # ...read more
Human Trypsin 2/PRSS2 was immunoprecipitated from 500 μg of human pancreas lysates with 12.5 ug Mouse Anti-Human Trypsin 2/PRSS2 Monoclonal Antibody (Catalog # MAB3586). The Trypsin 2/PRSS2-antibody complexes were ...read more

Product Details

Summary
Reactivity HuSpecies Glossary
Applications WB, IHC, IP, B/N
Clonality
Polyclonal
Host
Sheep
Conjugate
Unconjugated
Concentration
LYOPH

Order Details

Trypsin Pan Specific/PRSS1/2/3 Antibody [Unconjugated] Summary

Immunogen
Mouse myeloma cell line NS0-derived recombinant human Trypsin 2
Ala16-Ser247
Accession # P07478
Specificity
Detects human Trypsin Pan Specific (PRSS1/2/3) in direct ELISAs and Western blots.
Source
N/A
Isotype
IgG
Clonality
Polyclonal
Host
Sheep
Purity Statement
Antigen Affinity-purified
Innovator's Reward
Test in a species/application not listed above to receive a full credit towards a future purchase.

Applications/Dilutions

Dilutions
  • Immunohistochemistry 5-15 ug/mL
  • Neutralization 0.3 ug/mL
  • Western Blot 1 ug/mL
Reviewed Applications
Read 2 Reviews rated 5
using
AF3586 in the following applications:

Publications
Read Publications using
AF3586 in the following applications:

Packaging, Storage & Formulations

Storage
Use a manual defrost freezer and avoid repeated freeze-thaw cycles.
  • 12 months from date of receipt, -20 to -70 °C as supplied.
  • 1 month, 2 to 8 °C under sterile conditions after reconstitution.
  • 6 months, -20 to -70 °C under sterile conditions after reconstitution.
Buffer
Lyophilized from a 0.2 μm filtered solution in PBS with Trehalose. *Small pack size (SP) is supplied either lyophilized or as a 0.2 µm filtered solution in PBS.
Preservative
No Preservative
Concentration
LYOPH
Reconstitution Instructions
Reconstitute at 0.2 mg/mL in sterile PBS.

Notes

This product is produced by and ships from R&D Systems, Inc., a Bio-Techne brand.

Alternate Names for Trypsin Pan Specific/PRSS1/2/3 Antibody [Unconjugated]

  • TRY2
  • TRY8
  • TRYP2
  • Trypsin

Background

Trypsin is a general term for any of three 24 kDa gene products that belong to the peptidase S1 family of enzymes. Trypsin in Greek means “rubbing or friction”, and it was chosen here because the first trypsins were extracted from pancreas via a glycerin-based rubbing maceration. Trypsin-1 (cationic), -2 (anionic) , and -3 (mesotrypsin) are synthesized as 26 kDa trypsinogens (plus a 35 kDa trypsinogen-3 isoform) that are 247 amino acids (aa) in length. The first 15 aa constitute a signal sequence, followed by an enterokinase-cleavable eight aa propeptide, and a 224 aa mature molecule. Asp194 is linked to enzyme activity, and Tyr154 is sulfated. Over their mature regions, the three trypsins share 84% aa identity.  Mouse trypsin-1 shares 74% aa identity with the human trypsin consensus sequence. Trypsin-1 and -2 cleave peptide bonds carboxylterminal to a Lys or Arg. Trypsin-3 has limited activity on trypsin inhibitors, and thus regulates general trypsin activity. Trypsin-1, -2, and -3 are expressed by multiple tissues, including pancreas (for general digestion), liver, lung and skin. In blood, trypsinogen-1 and -2 circulate at ng/mL concentrations. In pancreatic fluid, trypsin-1, -2, and -3 are found in a 58:40:2 ratio. This antibody did not neutralize the activity of rhTrypsin 1 and rhTrypsin 3 significantly.  

Limitations

This product is for research use only and is not approved for use in humans or in clinical diagnosis. Primary Antibodies are guaranteed for 1 year from date of receipt.

Customers Who Viewed This Item Also Viewed...

AF3848
Species: Hu
Applications: IHC, IP, WB
H00006690-M01
Species: Hu, Mu
Applications: ELISA, ICC/IF, IHC, IHC-Fr,  IHC-P, IP, WB
H00136541-P01
Species: Hu
Applications: ELISA, AP, PA, WB
1585-SE
Species: Hu
Applications: EnzAct
NBP2-15698
Species: Hu, Mu, Rt
Applications: IHC,  IHC-P, WB
AF3565
Species: Mu
Applications: IHC, IP, WB
NBP1-58986
Species: Hu
Applications: IHC,  IHC-P, WB
DY1707
Species: Hu
Applications: ELISA
DMP900
Species: Hu
Applications: ELISA
MMP200
Species: Ca, Hu, Mu, Po, Rt
Applications: ELISA
NBP2-92859
Species: Hu, Mu, Rt
Applications: IHC,  IHC-P, WB
AF2307
Species: Hu
Applications: ELISA(Cap), ELISA(Det), ELISA(Sta), WB
AF6907
Species: Hu
Applications: IHC, WB
NBP2-62664
Species: Hu
Applications: IHC,  IHC-P
DM1300
Species: Hu
Applications: ELISA
DCP00
Species: Hu
Applications: ELISA
AF3586
Species: Hu
Applications: WB, IHC, IP, B/N

Publications for Trypsin Pan Specific/PRSS1/2/3 Antibody (AF3586)(5)

We have publications tested in 1 confirmed species: Human.

We have publications tested in 4 applications: ICC, IHC, IHC-P, Immunocytochemistry.


Filter By Application
ICC
(1)
IHC
(1)
IHC-P
(1)
Immunocytochemistry
(1)
All Applications
Filter By Species
Human
(4)
All Species

Reviews for Trypsin Pan Specific/PRSS1/2/3 Antibody (AF3586) (2) 52

Average Rating: 5
(Based on 2 reviews)
We have 2 reviews tested in 2 species: Mouse, Human and Rat.

Reviews using AF3586:
Filter by Applications
ICC
(1)
WB
(1)
All Applications
Filter by Species
Mouse
(1)
Human and Rat
(1)
All Species
Images Ratings Applications Species Date Details
Immunocytochemistry Trypsin Pan Specific/PRSS1/2/3 AF3586
Enlarge
5
reviewed by:
Scott Messenger
ICC Mouse 06/09/2017
View

Summary

ApplicationImmunocytochemistry
Sample TestedMouse pancreas in OCT
SpeciesMouse

Comments

Commentscryosection of mouse pancreas, primary 1/100, secondary 1/200 488. Epi-fluorescence 60 x. signal weak
Western Blot Trypsin Pan Specific/PRSS1/2/3 AF3586
Enlarge
5
reviewed by:
Scott Messenger
WB Human and Rat 05/24/2017
View

Summary

ApplicationWestern Blot
Sample TestedAR42J rat acinar-like cells,human acini,rat acini
SpeciesHuman and Rat

Comments

Comments1/1000, 12% gel, 50 ug protein

Product General Protocols

Find general support by application which include: protocols, troubleshooting, illustrated assays, videos and webinars.

Video Protocols

WB Video Protocol

FAQs for Trypsin Pan Specific/PRSS1/2/3 Antibody (AF3586) (0)

There are no specific FAQs related to this product. Read our general customer & technical service FAQs.

Secondary Antibodies

 

Isotype Controls

Additional Trypsin Pan Specific/PRSS1/2/3 Products

Blogs on Trypsin Pan Specific/PRSS1/2/3

There are no specific blogs for Trypsin Pan Specific/PRSS1/2/3, but you can read our latest blog posts.

Customers Who Bought This Also Bought

Contact Information

Product PDFs

Calculators

Concentration Calculator

The concentration calculator allows you to quickly calculate the volume, mass or concentration of your vial. Simply enter your mass, volume, or concentration values for your reagent and the calculator will determine the rest.

=
÷

Recent Reviews

5
5
2
4
0
3
0
2
0
1
0

Scott Messenger
06/09/2017
Application: ICC
Species: Mouse

Scott Messenger
05/24/2017
Application: WB
Species: Human and Rat

Bioinformatics

Uniprot