| Immunogen | Partial recombinant human TRF2 (between residues 300-500) expressed in E. coli [Uniprot# Q15554] |
| Localization | Nucleus |
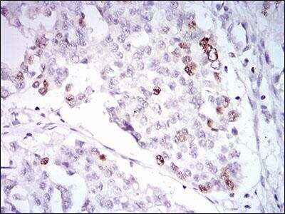
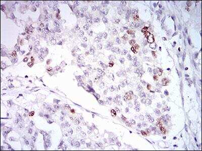
| Marker | Telomeres marker |
| Isotype | IgG1 |
| Clonality | Monoclonal |
| Host | Mouse |
| Gene | TERF2 |
| Purity | Ammonium sulfate precipitation |
| Innovator's Reward | Test in a species/application not listed above to receive a full credit towards a future purchase. |
| Dilutions |
|
| Theoretical MW | 55 kDa. Disclaimer note: The observed molecular weight of the protein may vary from the listed predicted molecular weight due to post translational modifications, post translation cleavages, relative charges, and other experimental factors. |
| Storage | Store at 4C short term. Aliquot and store at -20C long term. Avoid freeze-thaw cycles. |
| Buffer | PBS, 0.5% protein stabilizer |
| Preservative | 0.05% Sodium Azide |
| Concentration | 1.0 mg/ml |
| Purity | Ammonium sulfate precipitation |
Secondary Antibodies |
Isotype Controls |
Research Areas for TRF-2 Antibody (NBP2-26298)Find related products by research area.
|
|
Application Highlight: Recent uses of TERF2 in immunofluorescence (IF) Telomeres are a region of repeat nucleotide sequences located at the end of chromosomes to protect our DNA from becoming damaged via end-to-end fusion. TERF2, or telomeric-repeat binding factor 2, is important for telomere integrity and aids in th... Read full blog post. |
|
TRF2: Telomere Maintenance and Protection TRF2 (telomeric repeat-binding factor 2) is a homodimeric protein that binds the double-stranded 5'-TTAGGG-3' repeat in telomeres. It plays a critical role in the maintenance of telomeres, protecting telomeres against end-to-end chromosomal fusion, an... Read full blog post. |
The concentration calculator allows you to quickly calculate the volume, mass or concentration of your vial. Simply enter your mass, volume, or concentration values for your reagent and the calculator will determine the rest.