Transthyretin/Prealbumin Antibody (JM11-43)

Images

 
Western Blot: Transthyretin/Prealbumin Antibody (JM11-43) [NBP2-67227] - Western blot analysis of Transthyretin/Prealbumin on different lysates. Proteins were transferred to a PVDF membrane and blocked with 5% BSA in ...read more
Immunocytochemistry/ Immunofluorescence: Transthyretin/Prealbumin Antibody (JM11-43) [NBP2-67227] - Staining TTR in MCF-7 cells (red). The nuclear counter stain is DAPI (blue). Cells were fixed in paraformaldehyde, ...read more
Immunohistochemistry-Paraffin: Transthyretin/Prealbumin Antibody (JM11-43) [NBP2-67227] - Analysis of paraffin-embedded human thyroid tissue using anti-TTR antibody. Counter stained with hematoxylin.
Flow Cytometry: Transthyretin/Prealbumin Antibody (JM11-43) [NBP2-67227] - Analysis of MCF-7 cells with TTR antibody at 1/50 dilution (red) compared with an unlabelled control (cells without incubation with primary ...read more
Immunocytochemistry/ Immunofluorescence: Transthyretin/Prealbumin Antibody (JM11-43) [NBP2-67227] - Staining TTR in A549 cells (red). The nuclear counter stain is DAPI (blue). Cells were fixed in paraformaldehyde, ...read more
Immunohistochemistry-Paraffin: Transthyretin/Prealbumin Antibody (JM11-43) [NBP2-67227] - Analysis of paraffin-embedded human kidney tissue using anti-TTR antibody. Counter stained with hematoxylin.
Immunohistochemistry-Paraffin: Transthyretin/Prealbumin Antibody (JM11-43) [NBP2-67227] - Analysis of paraffin-embedded human liver cancer tissue using anti-TTR antibody. Counter stained with hematoxylin.
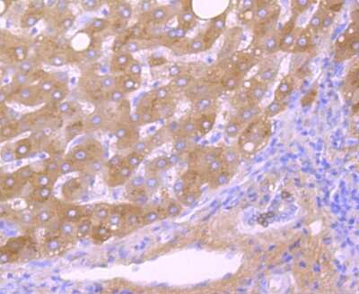
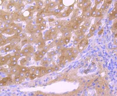
Immunohistochemistry-Paraffin: Transthyretin/Prealbumin Antibody (JM11-43) [NBP2-67227] - Analysis of paraffin-embedded human liver tissue using anti- TTR antibody. Counter stained with hematoxylin.
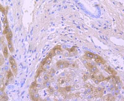
Immunohistochemistry-Paraffin: Transthyretin/Prealbumin Antibody (JM11-43) [NBP2-67227] - Analysis of paraffin-embedded human pancreas tissue using anti-TTR antibody. Counter stained with hematoxylin.

Product Details

Summary
Product Discontinued
View other related Transthyretin/Prealbumin Primary Antibodies

Order Details


    • Catalog Number
      NBP2-67227
    • Availability
      Product Discontinued

    Can't find what you are looking for? Use our Antibody Concierge Service & we will help you locate your antibody!

    Or feel free to contact us for alternative products.

Transthyretin/Prealbumin Antibody (JM11-43) Summary

Additional Information
Recombinant Monoclonal Antibody.
Immunogen
Synthetic peptide within Human Transthyretin/Prealbumin aa 115-147 / 147. (SwissProt: P02766 Human)
Localization
Secreted.Cytoplasm.
Isotype
IgG
Clonality
Monoclonal
Host
Rabbit
Gene
TTR
Purity
Protein A purified
Innovator's Reward
Test in a species/application not listed above to receive a full credit towards a future purchase.

Applications/Dilutions

Dilutions
  • Flow Cytometry 1:50-1:100
  • Immunocytochemistry/ Immunofluorescence 1:50-1:200
  • Immunohistochemistry
  • Immunohistochemistry-Paraffin 1:50-1:200
  • Immunoprecipitation
  • Western Blot 1:500-1:2000

Packaging, Storage & Formulations

Storage
Store at 4C short term. Aliquot and store at -20C long term. Avoid freeze-thaw cycles.
Buffer
TBS (pH7.4), 0.05% BSA, 40% Glycerol
Preservative
0.05% Sodium Azide
Concentration
1 mg/ml
Purity
Protein A purified

Alternate Names for Transthyretin/Prealbumin Antibody (JM11-43)

  • ATTR
  • HsT2651
  • PALB
  • PALBTBPA
  • Prealbumin
  • prealbumin, amyloidosis type I
  • TBPA
  • thyroxine-binding prealbumin
  • Transthyretin
  • TTR

Background

Prealbumin is a serum protein usually occurring at 200-400mg/L serum. Prealbumin migrates faster than albumin in acidic starch gels and include alpha 1 antitrypsin, thyroxine binding prealbumin, and orosomucoid, an alpha 1 acid glycoprotein. The functions of prealbumin are to transport thyroxine, a task it shares with thyroxine binding globulin, retinol binding protein and vitamin A. Polymorphism of prealbumin is known in the mouse and pig.

Limitations

This product is for research use only and is not approved for use in humans or in clinical diagnosis. Primary Antibodies are guaranteed for 1 year from date of receipt.

Customers Who Viewed This Item Also Viewed...

MAB1455
Species: Hu
Applications: CyTOF-ready, Dual ISH-IHC, ICC, IHC, ICFlow, Simple Western, WB
DRB400
Species: Hu
Applications: ELISA
NBP1-88502
Species: Hu
Applications: IHC,  IHC-P
AF3715
Species: Hu
Applications: Dual ISH-IHC, IHC, IP, KO, Simple Western, WB
NBP2-16669
Species: Hu, Mu, Rt
Applications: ICC/IF, IHC,  IHC-P, WB
NBP1-80851
Species: Hu, Mu, Rt
Applications: IHC,  IHC-P, WB
NBP1-88000
Species: Hu, Mu, Rt
Applications: ICC/IF, IHC,  IHC-P, KD, WB
NBP2-37322
Species: Hu
Applications: CyTOF-ready, ELISA, Flow, ICC/IF, IHC,  IHC-P, WB
7954-GM/CF
Species: Hu
Applications: BA
NBP2-42388
Species: Hu
Applications: ICC/IF, IHC,  IHC-P, KD, WB
2914-HT
Species: Hu
Applications: BA
DY1707
Species: Hu
Applications: ELISA
NBP2-92630
Species: Hu, Mu, Rt
Applications: ELISA, ICC/IF, IHC,  IHC-P, WB
NBP2-13075
Species: Ba, Hu, Pm, Mu, Rt
Applications: DB, ELISA, IB, ICC/IF, IHC-FrFl, IHC, IHC-Fr,  IHC-P, IP, WB
NBP2-52979
Species: Hu, Mu
Applications: Flow, ICC/IF, IHC,  IHC-P, WB
DHAPG0
Species: Hu
Applications: ELISA
NBP3-15868
Species: Hu, Mu, Rt
Applications: ELISA, ICC/IF, IHC,  IHC-P, WB
AF5739
Species: Hu, Mu, Rt
Applications: WB
MAB1417
Species: Bv, Hu, Mu
Applications: ICC, IHC
NBP2-67227
Species: Hu
Applications: WB, Flow, ICC/IF, IHC, IP

Publications for Transthyretin/Prealbumin Antibody (NBP2-67227) (0)

There are no publications for Transthyretin/Prealbumin Antibody (NBP2-67227).
By submitting your publication information earn gift cards and discounts for future purchases.

Reviews for Transthyretin/Prealbumin Antibody (NBP2-67227) (0)

There are no reviews for Transthyretin/Prealbumin Antibody (NBP2-67227). By submitting a review you will receive an Amazon e-Gift Card or Novus Product Discount.
  • Review with no image -- $10/€7/£6/$10 CAD/¥70 Yuan/¥1110 Yen
  • Review with an image -- $25/€18/£15/$25 CAD/¥150 Yuan/¥2500 Yen

Product General Protocols

Video Protocols

WB Video Protocol
ICC/IF Video Protocol

FAQs for Transthyretin/Prealbumin Antibody (NBP2-67227) (0)

There are no specific FAQs related to this product. Read our general customer & technical service FAQs.

Secondary Antibodies

 

Isotype Controls

Additional Transthyretin/Prealbumin Products

Research Areas for Transthyretin/Prealbumin Antibody (NBP2-67227)

Find related products by research area.

Blogs on Transthyretin/Prealbumin

There are no specific blogs for Transthyretin/Prealbumin, but you can read our latest blog posts.

Contact Information

Product PDFs

Calculators

Concentration Calculator

The concentration calculator allows you to quickly calculate the volume, mass or concentration of your vial. Simply enter your mass, volume, or concentration values for your reagent and the calculator will determine the rest.

=
÷

Review this Product

Be the first to review our Transthyretin/Prealbumin Antibody (JM11-43) and receive a gift card or discount.

Bioinformatics

Gene Symbol TTR